
这两天突然冷了起来,感觉冬天一下就到了。我身边很多爱美的医生护士们也都耐不住冷的穿上了秋裤。而我在门诊时也发现很多中老年人早早的就把大毛裤,甚至棉裤都穿上了。每次说起来,很多人都会说:
"嗯,得穿厚一点,否则着凉容易落下病根,会得风湿病的!"
风湿是在中老年群体中非常关注的名词,而近年来在各个医院中都普及了一个名为"风湿免疫科"或"风湿内科"的科室。望文生义,风湿科自然是和"风"和"湿"有关咯?到网上一查,会发现甚至还有风湿性心脏病,这让风湿听上去非常可怕。而其中最常被提到的名字之一的就是类风湿性关节炎,那么这是不是就是我们所说的老寒腿呢?
今天,咱们就来一起聊一聊,咱们常说的"风湿"到底是什么。#清风计划# #健康真相官# #真相来了#

在说风湿之前,我像先说说类风湿性关节炎,因为这个才是最重要的,而我一般喜欢把最重要的放在最前面。
1、类风湿性关节炎
类风湿性关节炎是一种以侵蚀性关节炎为主要临床表现得自身免疫病,可发生于任何年龄,基本病理表现为滑膜炎、血管翳形成,并逐渐出血关节软骨和骨破坏,最终导致关节畸形和功能丧失,可并发肺部疾病、心血管疾病、恶性肿瘤及抑郁症等。
从这个疾病得定义中我们可以发现这是一种自身免疫病,自身免疫病是指在某些因素得作用下,免疫系统将身体自己得细胞识别成了外来得病原体,并发起攻击,引起炎症反应和后续病变("队长是我,别开枪!")

因此作为一种炎症,他和我们传统的印象有所不同,这个疾病中并没有什么细菌病毒作祟,跟抵抗力的关系也不那么大。
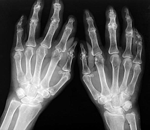
我们如何知道自己得了类风湿关节炎呢?简单判断可沿用1987年诊断标准,即以下七项症状中,符合四项及以上,即可诊断为类风湿性关节炎。具体内容如下:
(1)至少六周三个及三个以上关节肿胀、疼痛;
(2)至少六周指间、掌指或腕,至少有一个关节出现肿胀;
(3)至少六周对称性关节肿胀;
(4)至少六周晨僵至少一个小时;
(5)皮下类风湿结节;
(6)类风湿因子阳性;
(7)手、腕关节X线显示有骨侵蚀或明确的骨质疏松。

因此担心自己得了类风湿关节炎的时候首先不要害怕,先看看自己有没有这些症状,特别是前四项身体症状,如果存在,那么请及时就医,如果没有这些症状,请先不要担心。
2、风湿是什么

从上文来看,类风湿关节炎是一种自身免疫病,那么我们通常所说的风湿病,和各种名字里带风湿的疾病又是指什么呢?其实,在医学范畴内,"风湿"这个词在中医和现代医学中所指代的含义有所不同。
现代医学的风湿一词,通常指风湿病,泛指以侵犯关节骨骼,肌肉血管为主的一组疾病,种类上百,多为自身免疫病。如风湿性关节炎、风湿性心脏病,是指人体在感染溶血性链球菌之后自发的一系列全身免疫反应,通常继发于咽峡炎、丹毒感染。起病很急,常见于青少年,通常有发热、皮下结节、皮疹。风湿性关节炎有两个特点:关节红肿热痛明显,不能活动,多见于膝髋踝等大关节;疼痛在多处关节游走,持续时间不长,可消退,不遗留后遗症。
中医他们有自己对风湿的定义,和我们现代医学不一样,这里我就不多说了,因为我也搞不懂那些。
3、类风湿性关节炎是老寒腿吗?穿秋裤是不是可以预防?
类风湿性关节炎作为一种自身免疫病,其致病机理和病因一直都是基础医学研究的人们方向,目前的文献提出了一些可能的病因。
首先是现有的证据强烈地支持基因的危险因素——类风湿关节炎有家族聚集性,家庭中有病史的读者需要注意;吸烟被认为和类风湿性关节炎有着很强的联系,是一个危险因素;饮食因素也值得注意,维生素D缺乏、高盐、高糖、红肉都被文献报道为危险因素。文献同样显示将BMI控制在较低的水平会降低患类风湿性关节炎的风险。

目前来看,类风湿性关节炎和低温之间并没有被发现什么强有力的关联,不过爸妈的关心是对的——低温虽然不会导致关节炎,但是确实会影响血供,甚至导致冻伤,低温环境也会影响我们的免疫力,导致各种生病。因此秋高气爽之际,还请读者们及时添加衣物,注意保暖呀!
参考文献
1.The American Rheumatism Association 1987 revised criteria for the classification of rheumatoid arthritis. Arnett FC,Edworthy SM,Bloch DA,et al. Arthritis and Rheumatism . 1988
2.人民卫生出版社 外科学 第九版
3.Deane K D , Demoruelle M K , Kelmenson L B , et al. Genetic and environmental risk factors for rheumatoid arthritis[J]. Best Practice & Research Clinical Rheumatology