康骨堂治疗颈椎病效果评论 (筋骨堂颈椎病)

广州中医药大学一附院微信订阅号【筋骨堂】专栏,逢周四推送!本栏文章由该院骨科专家名医亲自撰文或指导写作,内容涉及众多骨科常见病的科普讲解与防治建议,实用、权威!敬请关注!

颈椎病怎么治?看看我院有哪些绝招!

医学指导:梁德 主任中医师

文/脊柱骨科:江晓兵 副主任中医师

一、什么是颈椎病?

颈椎病是一种以退行性病理改变为基础的疾患。主要由于颈椎长期劳损,导致骨质增生或椎间盘脱出、韧带增厚,致使颈椎脊髓、神经根或椎动脉受压,出现一系列功能障碍的临床综合征。颈椎病常分以下几型:颈型颈椎病(表现为颈肩部酸痛不适)、神经根型颈椎病(表现为上肢疼痛、麻木)、脊髓型颈椎病(表现为四肢麻木、行走不稳)、椎动脉型颈椎病(表现为颈部乏力、头晕)。

二、颈椎病,怎样保守治疗 (中西结合、筋骨并重)

(一)中医辨证论治

1

颈型颈椎病

疏风解表、散寒通络,常用桂枝加葛根汤或葛根汤加减。

2

神经根型颈椎病

若以痛为主,偏淤阻寒凝,宜祛瘀通络,常用身痛逐瘀汤;如偏湿热,则予四妙散加减,如伴有麻木,则可酌情加蜈蚣、全蝎等。若麻木伴肌肉萎缩,辩证气虚血瘀型者,可予补阳还五汤加蜈蚣、全蝎等。

3

椎动脉型颈椎病

头晕伴头痛者,血瘀为主则需祛瘀通络止痛,常用血府逐瘀汤加减,头晕较重,但无明显麻木的患者,适当加姜黄、蔓荆子、蒺藜等;偏痰湿者,宜用半夏白术天麻汤加减。广东地区湿热证偏多,且常夹瘀,故用四妙散基础上加用桃仁、醋三棱、厚朴花等药。

4

脊髓型颈椎病

肌张力增高,胸腹有束带感,取祛瘀通络法,用复元活血汤;若下肢无力、肌肉萎缩,予补中益气、调补脾肾,予地黄饮子合圣愈汤加减。

5

其他类型颈椎病

根据症状、病情辨证施治。

(二)外治法

我院特色技术——棍点理筋正骨手法

棍点理筋正骨手法的简要介绍(项目负责人:江晓兵、徐继禧,指导:梁徳)

1

手摸心会

发挥传统中医骨伤科的特色,以拇指触诊感知筋膜、肌肉、骨骼病变。

2

棍点代手

人力通过木棍直达病所,完成松解粘连、筋膜肌肉激活、骨错缝复位。

棍点理筋正骨手法

操作规范简介

擀法

舒筋法——大范围放松

搓法

促进浅表肌肉粘连的改善,筋膜肌肉激活。

点法

骨错缝复位,对深部病患,点切治疗。

(三)颈椎关节、神经精准注药术

(国外引进技术)

该技术由江晓兵副教授自美国科罗拉多州丹佛市脊柱病研究所中心引进,在梁徳主任指导下,已成熟开展。

颈椎关节、神经注药术具有局部消炎、松解粘连、神经根管液性松解作用。

三、7毫米切口经皮内镜 微创治疗颈椎病

在梁徳教授指导下,江晓兵副教授所总结的经皮颈椎内镜安全流程已在国内广泛推广。目前,针对绝大部分需要手术的神经根型颈椎病患者,可以通过微创经皮内镜获得满意疗效,该技术仅需要7毫米切口便可完成颈椎神经根减压。

典型案例

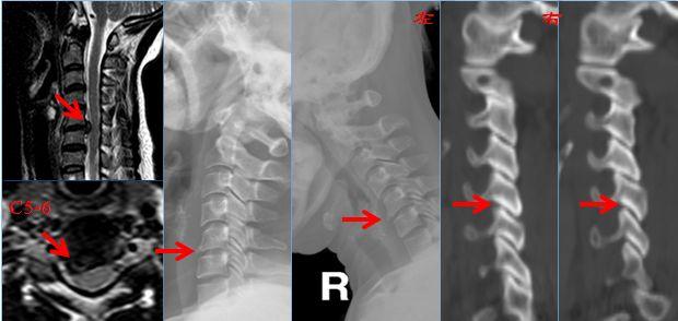
患者,男性,45岁,严重右上肢放射痛、麻木3月余。

行颈5-6微创经皮颈椎内镜术后获得满意疗效。

四、颈椎前路微创精准减压融合 或椎间盘置换术

对于部分颈椎患者,需要进行椎间盘彻底切除,并进行融合,部分患者可以保留颈椎活动,行椎间盘置换手术,这类微创手术切口为4厘米左右,出血50-100毫升。

典型案例

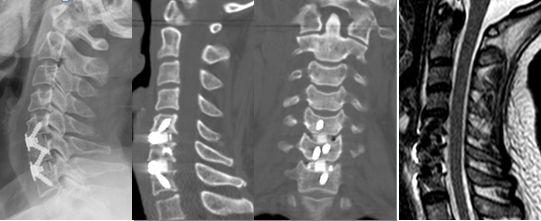
黄某,女,39岁,颈痛伴左上肢放射痛及麻木感1年,诊断为神经根型颈椎病。行颈5-6椎间盘切除减压、人工椎间盘置换术。

术前X线、CT、MRI提示颈5-6椎间盘右后型突出并神经根受压。

颈5-6人工椎间盘置换术后,颈椎手术节段运动可以继续保留。

微创前路颈椎椎间盘切除减压融合固定术后,切口仅需4厘米,出血约50-100毫升,术后脊髓压迫彻底解除。

五、我院原创精准微创颈椎后路椎板开门成形术,适用于颈椎椎管狭窄导致的脊髓神经压迫患者。

典型案例

禤某,男,40岁,车祸致全身疼痛、乏力2天,诊断为1. 颈脊髓损伤;2. 颈椎管狭窄症(发育性颈椎管狭窄)。

术前X线、CT、MRI提示颈4-5平面脊髓挫伤、发育性椎管狭窄。

行我院原创改良颈3椎板切除、颈7头侧半椎板切除+颈4、5、6椎板单开门成形术后,症状明显缓解。

专家简介

梁德

主任中医师,博士研究生导师。

擅长:对脊柱创伤、退变、畸形、结核、肿瘤等疾病的诊断和手术治疗有丰富的临床经验。善于利用非手术疗法治疗早、中期脊柱病患,对骨质疏松症、颈肩腰腿痛、老年脊柱病进行辩证施治,结合手法、小针刀及中药治疗,取得了良好的疗效。

出诊时间:周一下午 岭南名医门诊(门诊南楼3楼);周三上午 脊柱骨科门诊(门诊楼六楼骨科门诊)

江晓兵

副主任中医师、硕士导师,梁徳教授学术继承人,省杰出青中年医学人才,棍点理筋手法项目负责人之一。

擅长:手法、微创、显微手术及高难度脊柱重建翻修手术。

出诊时间:周二上午、周五上午门诊(门诊楼六楼骨科门诊4诊室)

觉得不错,请点赞↓↓↓