今年43岁的祝女士,被癫痫发作折磨了24年之久。因病变位置特殊,祝女士一直不敢接受手术。前段时间,广东三九脑科医院神经外六科团队在神经导航技术下成功为她切除病变,终于替她解决了困扰多年的海绵状血管瘤。

据祝女士本人回忆,第一次癫痫发作要追溯到24年前,那时她不过才19岁。“听别人说,我的双手双腿突然绷直、不停地抽搐。但我自己是完全没有意识的。”
第二次出现这样的情况是在2001年,那时她23岁,已经怀孕3个月。那次癫痫发作让她差点流产。但都因为只是偶然才发作,祝女士并未进一步检查。
2005年前后,祝女士有段时间频繁头痛发作,才到医院检查。当时MRI影像检查提示,右侧顶中央区占位性病变。外院医生怀疑是海绵状血管瘤。由于病变的位置,医生分析,实施手术切除可能会影响到患者的感觉与运动功能。祝女士及家人因担心手术风险,最终选择了保守治疗。
祝女士偶尔仍会头痛、抽搐等,但依靠吃药就这样又熬过了十几年。近半年来,祝女士头痛越来越严重,癫痫发作的情况也越来越频繁。在朋友的介绍下,祝女士决定来到广东三九脑科医院进一步治疗。

我院神经外六科主任吴杰接诊了患者。结合患者的病史和头部MR检查结果,吴杰认为患者右侧顶叶海绵状血管瘤的诊断基本明确,高度怀疑这是导致患者癫痫症状的罪魁祸首。

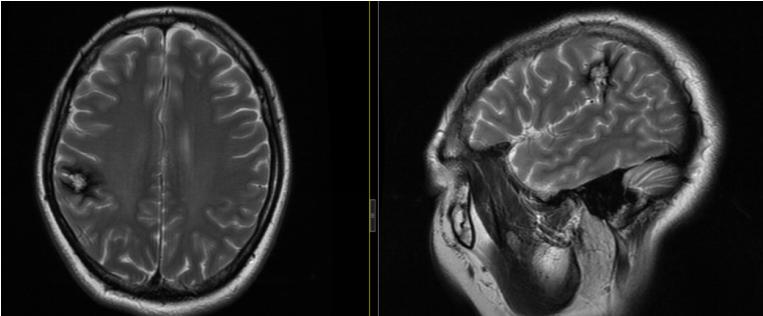
▲术前MRI:海绵状血管瘤可能性大
“病变主要位于中央后回的后部,若使用手术导航定位,手术中操作小心,不会影响到患者的肢体感觉与运动功能。”吴杰的解释打消了祝女士和家属的担忧。
完善相关检查后,神经外六科团队为患者实施“神经导航引导下右侧中央区海绵状血管瘤切除术”。
“切除病变前行电生理监测,可见癫痫样放电明显;病变切除后复查可见异常放电消失。”吴杰介绍道。术后,祝女士的手脚感觉正常、活动灵活,没有出现手术并发症,住院一段时间后便顺利拆线出院。

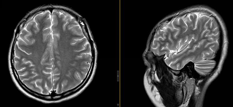
▲术后MRI:占位已完整切除

▲术后病理结果:海绵状血管瘤伴出血

吴杰点评:
海绵状血管瘤是由众多薄壁血管组成的海绵状的异常血管畸形,可能发生在任何年龄。根据海绵状血管瘤的位置、大小不同,可表现为癫痫、头痛、恶心、呕吐、呼吸不稳、感觉异常、肢体麻木、昏迷等。
手术是治疗海绵状血管瘤最主要的方法。患者若因为上述症状检查发现海绵状血管瘤,应及时就医,医生会根据患者情况制定妥善的治疗方案。随着医疗技术的发展,结合手术导航、电生理监测等技术的应用,海绵状血管瘤得到积极有效的治疗后,一般预后较好。