泥膜也就是大家常说的清洁面膜,包括火山泥面膜、深海泥膜,绿豆泥膜、白泥面膜等,一般像这个样子:


这种真的不是天然淤泥,也是配方产品,毕竟河里的淤泥不能直接上脸,太多细菌,不管看起来有多么像泥巴。
先看泥膜成分:


看到了吧,主要成分也是 高岭土、膨润土 这些,像这样:

这都 是多孔吸附材质,具有吸附油脂的功效:


所以当你们涂抹泥膜的时候,泥膜里面的高岭土会把皮肤表面的油脂吸附走,用完就会觉得清爽:



这是因为面部的浮油被吸走了,所以觉得比较干净。

请看清楚,泥膜吸附的是浮油,也就是液体油脂,而不是固体油脂。
如果你们用完泥膜,你会发现表面的液体浮油被清理了,而毛孔里的固体油脂几乎毫发未损。

举个例子,如果做饭的时候不小心打泼了油瓶,可以用面粉或者滑石粉去吸附,但如果是衣服上不小心滴了蜡烛油,再用面粉或者滑石粉还能吸附的走吗?

很明显,粉质材料无法吸走这些凝结的蜡烛油,同样也无法吸附黑头。
接下来我们看一下黑头的本质,以及怎样做才能去除黑头:
黑头 是开放性粉刺的俗称,很常见,有些人挤鼻子,能挤出一颗颗的油脂颗粒,像这样的:

或者像这样:

这就是 黑头 ,本质就是 固体油脂颗粒 ,因为都是直接从毛孔里冒头出来,所以会叫做开放性粉刺,很形象的名字。
黑头最主要集中在鼻子上, 眉心、下巴、脸颊偶见。根据老化程度不同,可能呈现出米白色、米黄色、棕黑色等。
下面讲一下黑头的形成过程:
一般从进入青春期开始,随着体内激素水平的攀升,皮肤突然旺盛的出油:

尤其是T区上,皮脂腺分布最为稠密,T区位置如下图所示:

T区的位置
过量分泌的油脂不仅停留在 肌肤表面 ,还会跑到毛孔里堆积,并不断硬化,有时候洗热水澡,压一压鼻子,都能压出一些白色的“ 浆浆 ”:

甚至天气热,有些人的鼻翼也会有一些半软不硬、黏糊糊的油脂:

这些黏糊糊的“ 浆浆 ”其实是 皮脂半凝固 的样子,继续硬化下去,就能直接看到毛孔里一颗颗米白色的小米粒了:

油脂粒刚形成的时候多是 米白色 ,慢慢的老化了颜色 发黄、发黑 :

初期多为白色:

逐渐老化颜色变深
这就是黑头形成的全过程,就是油脂凝结而来。
黑头的确是由浮油凝结而来,但从液体变道固体的过程中,物化性能发生了巨大的变化,再用泥膜那肯定无法清理。
不光泥膜不行,用洗面奶也无法清理。
很多人实在忍不住,就动手去挤。

尽管黑头可以被挤出来,但是不建议挤黑头,因为挤的过程非常*力暴**,会导致肌肤表皮组织缺失,进而毛孔变大:

这和挤痘痘容易留下痘坑道理是一样的,挤黑头也容易形成凹坑。
所以不要胡乱的挤黑头,正确去黑头的思路,要 先把黑头油脂粒软化 ,然后再用工具清理走。
准备这样一套材料:

专业级别的黑头导出液+舒缓收毛孔精华液
上面这两瓶专业级的黑头导出液和舒缓收毛孔精华液,一个负责软化黑头,一个负责收敛细致。
黑头导出液(黑色盖子的那瓶)的作用大致如下图所示:

用法也很简单,先把 黑头导出液 打湿一张化妆棉,湿透以后敷鼻子上:

大概敷十分钟左右,黑头会被导出液分解,变成松软的白点点,从毛孔里浮出来:

每个人黑头严重程度不同,浮出的视觉效果也不一样:

一般来说,黑头越严重,浮出的东西越多。
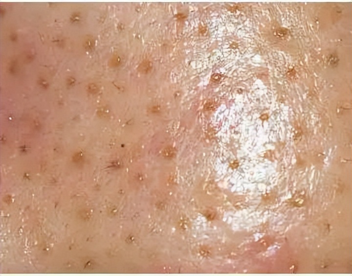
这时黑头已经变得很松软了,用圆头针轻轻刮走即可:

黑头已经被软化,很容易清理,无需*力暴**挤压,只需轻轻刮即可:

看一下刮出来的油脂,已经不再是一条条的固体油脂颗粒了,而是松软的油脂。
黑头刮干净以后,洗洗脸,再敷15分钟的毛孔收缩水(白色盖子的那瓶),及时收敛细致,鼻子会变得干干净净。


这种方法第一次做就能明显的看到效果,如果你们的手机支持微距,可以拍清理前后的效果对比:

而!且!是!肉!眼!可!见!的!效!果!!!
毛孔变干净了,这是骗不了人的。
上述办法无需频繁使用,一般油性皮肤一周一次即可,也可以根据自身油腻程度,灵活调整使用频率。
比如你皮肤不是特别油腻,那么十天半个月做一次也是可以的。
除了上面的定期去黑头,日常护肤保养注意做好清洁控油即可。
清洁的目的是将每日过量分泌的油脂及时清理走,一般用一些去油效果良好的洗面奶,然后再用一些控油型的爽肤水,保持面部清爽。


虽然日常护肤无法彻底的把所有的油脂都清洁干净,但减少一点是一点,也能延缓黑头的再次长成周期。
好,就这样啦,赶紧行动起来吧~~~