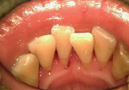
随着年龄的增长,牙龈会慢慢的萎缩。另外没有注意口腔卫生或者咀嚼过于坚硬的食物也会引起牙龈提前萎缩,让患者牙齿出现酸痛感,该如何治疗呢。
牙龈萎缩怎么治疗?

1、对局部进行按摩
牙龈萎缩是不可逆的过程,如果只是通过按摩,一般只能减缓其萎缩的速度,并不能让牙龈萎缩恢复到正常状态。每天早晨醒来之后可让上下牙齿叩齿100次,能加强牙龈的承受能力。每次刷牙后可使用牙刷背面对牙龈部位按摩30秒,能加快局部的血液循环。另外也可把双手食指清洗干净,放在唇部上下两处来回的按摩。

2、食疗
把15克熟地黄洗干净切成小块,15克生姜切成丝放在水里面煮15分钟,然后再打入一个鸡蛋,每天喝一碗。熟地黄具有滋阴补血的效果,生姜能解毒,能辅助治疗牙龈萎缩。

3、用核桃生大蒜来治疗

把适量的生核桃、生大蒜放上牙龈肿痛或者出血的地方,让汁液慢慢的渗入到牙龈里面,具有消肿止痛以及解毒杀虫的效果,能辅助治疗牙龈炎所引起的牙龈萎缩,但是大蒜具有很强的刺激性,对于肝炎和眼病患者不能使用。
4、使用药物治疗

对于牙周疾病导致的牙龈萎缩可通过药物的方式来治疗。部分人群是因为口腔受到了感染所引起的,必须选择抗菌炎的药物来治疗。若是因为全身性疾病,比如内分泌发生紊乱,败血症或者糖尿病所引起的牙髓萎缩,应该先积极的治疗原发疾病,然后再积极治疗,患者要严格按照医生嘱咐用药,不能盲目的去药店购买药,以免给身体带来严重的并发症。
5、通过手术治疗
牙龈萎缩比较严重的话,必须通过手术的方式来让受到损害和萎缩的牙龈得到修复或者弥补。但手术只能从一定程度上缓解其严重程度。对于年龄比较大的人群不能做此手术,手术前必须要考虑有没有患有心脏病高血压以及高血脂、糖尿病等慢性疾病。

温馨提示
牙龈萎缩属于不可逆的过程,必须要做好防治工作,养成早晚刷牙以及饭后漱口的好习惯,保证牙齿的每个面都要彻底的清洗干净。每6个月去洗牙一次,能及时清除牙结石,以免对牙龈带来损伤,要积极的防治口腔疾病。