
广州中医药大学一附院微信订阅号【筋骨堂】专栏,逢周四推送!本栏文章由该院骨科专家名医亲自撰文或指导写作,内容涉及众多骨科常见病的科普讲解与防治建议,实用、权威!敬请关注!
人工髋关节并非一劳永逸
医学指导/三骨科 何 伟主任医师
文/三骨科 陈雷雷副主任医师
上周“筋骨堂”栏目我们简要介绍了人工髋关节置换备忘录,接下来三期我们分专题结合具体病例予以详细讲解,希望能够给更多患者以提醒,避免各种错误认知影响人工关节的使用寿命。
目前,人工髋关节置换技术日臻成熟,是骨科乃至整个外科成功率最高的手术之一。不过,人工髋关节也有其使用寿命,并不像许多患者想象的那样,换上人工髋关节就可以一劳永逸。何伟教授解释,早些年接受人工髋关节置换术的以老年人为主,近些年有越来越多的中青年患者也选择接受这一治疗方案。人工髋关节初次置换的10年成功率已经超过90%,20年成功率超过80%,但它的使用寿命对于许多中青年患者仍不够长。

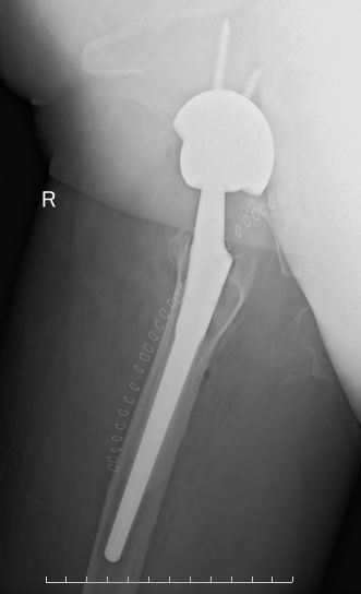
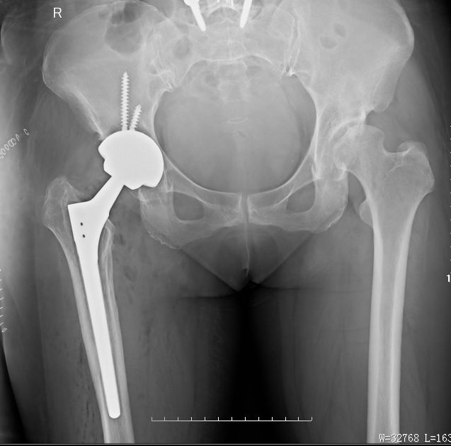
图1,75岁,女性患者,23年前因“双髋发育不良并骨关节炎”行双侧全髋关节置换术,术后恢复良好;右侧内衬磨损,行右侧髋关节翻修术(更换内衬和股骨头);左髋无痛,功能可。
人工髋关节置换已成为多种髋关节疾病的“终极”解决方案,为越来越多的髋关节骨关节炎、股骨头坏死、类风湿、强直性脊柱炎患者所熟知。装了人工髋关节的患者总希望人工髋关节一旦装上就可以一劳永逸,其实不然。像所有机械产品一样,人工髋关节也具有使用寿命,如果出现假体松动、感染、脱位等问题,还需要进行翻修术,以新换旧。

图2各种原因所致人工髋关节假体失败,需要行髋关节翻修术
如何尽可能延长人工髋关节的使用寿命?何伟教授介绍,人工髋关节使用寿命与很多因素有关,其中医生的技术是影响假体使用寿命最主要的因素,其次是选择的假体是否合适以及患者使用是否确当。一般而言,超重的体重、过大的活动量等都是影响假体使用寿命的不利因素。
另外,患者还要有“保养”的意识。如同汽车需要年审一样,对于每一个置换了人工髋关节的患者来说,定期复查是必不可少的,复查内容包括:是否有疼痛、行走步态、髋关节功能等,需要拍X光片了解假体的位置、稳定性等,有时还需要做血液学检查(查血沉、C反应蛋白)、CT、ECT(同位素骨扫描)等。
附:翻修病例
55岁,女性患者,8年前于外院行右侧全髋关节置换术,术后恢复良好;2年前开始出现右髋疼痛,下蹲困难,行走后疼痛明显。门诊以“右髋关节假体松动”收入院。

术前X线片示右侧全髋关节置换术后,假体柄周围见透亮影,考虑假体柄松动

术中假体照片,髋臼假体少量骨长入,股骨柄假体松动,无骨长入。

右髋翻修术后髋关节假体稳定,假体位置角度良好,可早期下地活动锻炼

专家简介

何伟,广州中医药大学中医骨伤科学国家重点学科带头人,博士研究生导师,博士后合作导师,广东省名中医,享受国务院颁发的政府特殊津贴,国家科技进步二等奖、中华中医药科技进步二等奖获得者。
中国中西医结合学会骨科分会骨坏死工作委员会主任委员、中华中医药学会骨伤科分会常委、中国医师协会骨科分会骨循环与骨坏死工作委员会副主任委员、中华中医药学会骨伤科分会股骨头坏死专业委员会主任委员、中国中医药研究促进会骨伤科专业委员会副主任委员、中国康复医学会修复与重建专业委员会骨坏死分会副主任委员、中国中西医结合学会骨科分会关节外科学组副主任委员、中国医师协会骨科医师分会关节外科工作委员会保髋工作组副组长、广东省中西医结合学会关节病专业委员会主任委员、广东省康复医学会骨关节与风湿病专业委员会副主任委员。
擅长:股骨头坏死中西医结合保髋治疗、髋关节疑难疾病的诊断与手术治疗、复杂人工髋、膝关节置换与翻修等。
出诊时间:周一下午(门诊楼六楼骨科 7 号诊室)、周四上午(门诊南楼四楼岭南名医门诊)
作者简介

陈雷雷,广州中医药大学第一附属医院副主任医师,硕士生导师。广东省自然科学杰出青年基金获得者,“广东特支计划”科技青年拔尖人才,广东省杰出青年医学人才,岭南医学研究中心PI,广州中医药大学第一附属医院2017年度科研青年岗位能手。
师从我国著名股骨头坏死专家何伟教授,长期致力于股骨头坏死等髋关节疾病的基础与临床研究。近5年先后主持国家省部级课题共7项,先后在国内外核心期刊发表学术论文30余篇,其中SCI收录10篇,参译临床专著2部。
擅长病种:股骨头坏死、髋关节退变、髋关节发育不良、小儿股骨头坏死等髋关节疾病;膝关节退变、运动损伤等。
出诊时间:周四下午(门诊楼六楼骨科 2 号诊室)
温馨提醒
请关注下方“广州中医药大学一附院”或“广州中医药大学第一附属医院” 公众号。关注后进入页面菜单栏“就诊助手”或“门诊服务”,搜索“医生姓名”即可挂号。

觉得不错,请点赞↓↓↓
