来源:器械之家,未经授权不得转载,且24小时后方可转载。
4月26日,上交所官网显示,联影医疗科创板IPO审核状态已由“上市委会议通过”变更为“提交注册”,这意味着联影医疗离上市更近了一步。此外,联影医疗与上海复旦大学附属中山医院开启的首款国产全身5T磁共振设备uMR Jupiter的临床试验合作最近也有了新进展,可谓“喜上加喜”!

图片来源:上交所官网
去年3月,上海复旦大学附属中山医院作为牵头与联影共建的分子影像远程互联融合创新中心在上海揭牌。作为首位体验者,中国科学院院士、复旦大学附属中山医院院长樊嘉完成了安装调试后的人体第一次扫描,并与联影集团董事长薛敏共同启动了“国产超高场5.0T磁共振临床试验合作”项目。
7月1日,正值建*党**百年之际,联影医疗与中山医院正式开启了首款国产全身5T磁共振设备uMR Jupiter的临床试验合作。该款5.0T磁共振打破了以往超高场磁共振只能进行神经系统扫描的极限,首次实现了超高场全身临床成像。

时隔近1年,围绕5.0T MRI 双方经过全方位的临床科研探索,近日,基于uMR Jupiter 5.0T开展了超高场腹部弥散加权成像的相关研究《Preliminary Experience of 5.0T Higher Field Abdominal Diffusion‐Weighted MRI: Agreement of Apparent Diffusion Coefficient With 3.0T Imaging》发表于国际磁共振领域知名杂志《Journal of Magnetic Resonance Imaging》上,这是全世界范围内首篇 5.0T 超高场磁共振研究成果报道!
01
研究成果报道都讲了哪些内容?
作为 uMR Jupiter 5.0T 的临床验证单位,中山医院针对多个磁共振成像技术在 5.0T MRI 与 3.0T MRI 上做了对比研究,探究 5.0T MRI 在临床科研上的独特优势。本研究主要围绕弥散加权成像(Diffusion Weighted Imaging, DWI)在 5.0T MRI与 3.0T MRI 的对比做了系统的研究。既往研究表明,表观弥散系数(Apparent Diffusion Coefficient, ADC)作为 DWI 的衍生功能参数,不会因场强发生明显变化。本研究探讨了不同解剖组织器官的 ADC 数值范围在 5.0T 与 3.0T 场强下的一致性,以期为 uMR Jupiter 5.0T 的临床应用提供指导。

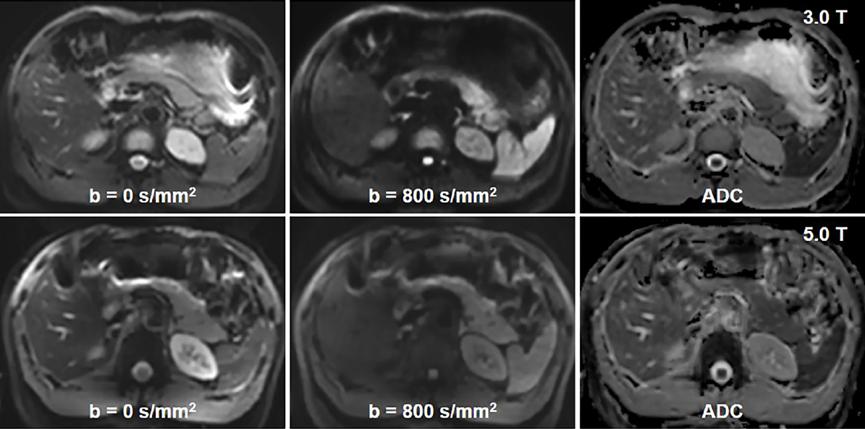
图1. 3.0T 和 5.0T 弥散成像代表性案例
研究共纳入 9 名志愿者,基于联影 3.0T 磁共振 uMR 780 和 5.0T 磁共振 uMR Jupiter,志愿者分别接受 3.0T 及5.0T 腹部 DWI 检查(b=0 s/mm2 和 800 s/mm2),基于单指数弥散模型计算出 ADC 功能参数图,由两位资深腹部影像专家在对扫描参数和患者信息不知情的前提下,分别对肝脏、脾脏、胰腺和肾脏在两种不同场强下的 ADC 进行测量。
使用 Wilcoxon 秩和检验,Bland–Altman 法,组内相关系数(Intraclass Correlation Coefficients, ICC),变异系数(Coefficients of Variation, CV)评估 ADC 场强间一致性和观察者间一致性。此外两位腹部影像专家也对 3.0T 和 5.0T DWI 的主观图像质量进行评分(最低1.0 分,最高5.0 分)。研究结果表明,5.0T DWI 的图像质量评分高于 3.0T DWI (5.0T: 3.72±0.42,3.0 T: 3.50±0.47)。

图2. 3.0T 和 5.0T 弥散成像代表性案例,黄色箭头所示为囊肿病灶
表1. 主观图像质量评分结果

两位观察者对不同组织的 ADC 测量结果间未存在显著差异(P=0.331-1.000),且观察者间一致性为显著至极好(ICC: 0.698-1.000)。
表2. 不同解剖组织的ADC测量结果观察者间一致性评估

不同场强间统计比较结果显示:肝脏、胰腺、脾脏、肾脏的 ADC 在 3.0T 和 5.0T 下未存在显著性差异(P=0.134-0.572),经一致性评估证明:3.0T 和 5.0T 的场强间一致性为显著至极好(ICC=0.640-0.821, P<0.001)。

图3. 肝脏、脾脏、胰腺和肾脏的ADC场强间一致性评估
表3. 不同解剖组织的ADC测量结果场强间一致性评估

本研究进一步对肝脏、脾脏、胰腺、肾脏 ADC 的场强间一致性进行了评估,研究结果提示场强间的测量差异基本全部位于 95% 置信区间内,未存在显著性差异(P>0.05),场强间一致性良好。此外,经过详细的文献调研,本研究得出的不同解剖组织的 ADC 测量结果范围与前期的大量研究结果一致。

图4. 基于 Bland-Altman 法对 ADC 的场强间一致性进行评估
此外本研究还利用功效分析(Power-Analysis)对在现有样本量下的统计效能进行了论证,结果显示,在现有样本量和效应值下,本研究一致性分析的统计效能接近 0.95,统计效能优异。

图5. 场强间一致性分析统计功效检验
作为 5.0T 高场磁共振成像的早期研究,本研究初步论证了 5.0T 腹部 DWI 成像的可行性,研究结果显示 5.0T 腹部DWI成像的主观图像质量评分优于 3.0T腹部 DWI 成像。更重要的是,本研究论证了 5.0T 腹部 DWI 的重要功能参数 ADC 在肝脏,脾脏,胰腺,肾脏与 3.0T 对应组织 ADC 的一致性。上述结果将为后续的进一步研究奠定基础。
本研究是中山医院与联影医疗围绕 uMR Jupiter 5.0T 系列研究之一,基于双方良好的产医合作模式,中山医院将与联影携手,共同推动超高场磁共振更加广泛的临床应用,打造超高场 5.0T 磁共振全身影像数据库,以 5.0T 超高场带来的全新视野引领精准诊疗。
01
“中山-联影”模式何以被誉为全球创新标杆
长久以来,中国高端医疗装备行业不仅面临高筑的核心技术壁垒,更在产品使用上存在近一个时代的“代差”:从国外第一台超高场磁共振研发成功,到进入中国,至少间隔十到二十年时间。
中国的高端医疗设备到底行不行?打破国际医学界的“刻板印象”,靠的就是这样一次次的亮相与突围。从2014年到2021年,中山与联影第一次深度合作的七年里诞生了很多个“第一”,其中最具代表性的就是两项世界级创新产品:全景动态扫描PET-CT uEXPLORER和全身超高场强5.0T核磁共振。2019年,中山医院安装了由联影与其联合开发的全球首个PET-CT全身成像系统uEXPLORER;2021年,全球首款人体全身5.0T磁共振uMR Jupiter进驻中山医院,正式进入临床试验阶段。

如今,这些“全球新”高端医疗设备不仅仅进入中国的医院,更进入素以标准严苛著称的日本、美国的高水平医疗机构。“中山-联影”模式产生的科技成果,除了获国家科技进步一等奖1项,还获批国家级科研项目5项、省部级重大项目9个,开展10项国际先进技术攻关,获得发明专利11项。
“十三五”以来,国家大力推动产学研医深度融合创新,联影携手数十家顶级科研院所、医院先后承担十项科技部数字诊疗装备重点研发专项,其中,中山医院是联影最离不开的一名“战友”。中山医院不仅决定做“第一批吃螃蟹的人”,引入联影全线影像设备、成为国内最早的国产品牌应用示范之一,更重要的是,当年,中山医院便成立专家小组,由院领导、放射科、核医学科、设备材料科等负责人共同参与,实现了“生产者”与“使用者”的完美对接,开启了一场以“赶超、超越”为关键词的医企融合自主创新道路。
2017年,上海联影自主研发的PET/CT实现“走出国门”的第一步,首台“中国智造”医疗设备在日本成功安装并运转。PET-CT技术是业内公认的高精尖技术,全球少数几家可以自主研发,这是具有标杆意义的,当然中山医院功不可没,早在2015年底,机器在中山医院安装,次年3月投入临床应用。据统计,仅PET/CT软件操作系统,临床医生、技术团队就合作修改了7个版本,国产PET/CT正是在一次次改进中不断优化、迭代。

剖析“中山-联影”模式的内涵,离不开“创新”二字,创新如何“落地”?中山医院从临床前沿问题出发,提出需求,引领设备研发;联影公司通过不断摸索工艺和生产流程,实现中山医院研究的先进技术;中山医院再对产品进行不断优化赋能,使之成为符合临床应用需求的成熟产品;成熟产品的推广应用又可催生新的研究课题,开启新一轮临床研究和服务创新。这就是中山和联影建立的“医-研-产-医”创新循环。
诚如业内所言,构建世界级医学高峰,离不开国内顶尖医院与民族企业的升维发展,中山医院与联影的合作成果除了产品、科技成果、应用平台,最重要的财富就是“中山-联影”的合作模式,这被誉为双方合作的“最大无形成果”,开创了大型公立医院与头部民族医药企业全方位、多模态、多领域合作的新模式。
“中山-联影”产医融合创新模式,已然成为全国乃至全球的创新标杆。目前,联影与海外研究所、医院的合作呈“多点开花”态势,客户覆盖美洲、欧洲、非洲、大洋洲的44个国家和地区,产品进驻全球知名临床和科研机构。共筑全球医疗创新生态,未来,这条自主创新突围路也将更具看点。