一个有趣的神经放射医生的工作是怎么样的呢?
“有的时候,像看鬼片一样。”
比如,一个猝不及防就收到来自患者冠状位的凝视。。。
(请大家做好心理准备,我要给大家上两张我的珍藏)

这一张我一直觉得可以过年贴门上辟邪

这张我考虑联系一个致力于拍鬼片的独立导演,卖给他做封面宣传
注:以上图像和颜值没有任何关系,相信我,无论是女神、小鲜肉、还是国民级老公,都经不起头颅核磁冠状位的考验
又或者每天被患者以轴位翻无数个白眼。。。。

“有时候,又很温馨。”
比如,作为一个单身狗,在七夕,收到来自患者增生前列腺的比心

“还有时候,会收获一些意外的惊喜。”
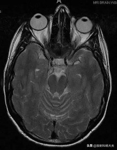
比如今天,我们的一线大夫在一个患者的头颅核磁里偶遇一只“忍者神龟”。

左边是患者的头颅核磁,右边就是伴随我整个童年的英雄--忍者神龟!
(话说我是不是暴露了年龄)

图A是正常人的延髓,图B是患者下橄榄核层面的延髓
从图片上,我们可以看出患者下橄榄核T2WI信号明显增高,并且体积增大,表现出明显的占位效应,还有一个特点就是非常对称。一线大夫考虑到病变有明显的占位效应,又结合各个序列的信号特点,考虑了肿瘤、炎性病变、脱髓鞘类疾病等,但是觉得这个形态和信号上的完全对称十分奇怪,举棋不定下写下了“建议结合临床进一步核磁增强检查”。
上级签片医生注意到患者桥脑有陈旧性出血改变,累及双侧中脑被盖,如下图。

如果把两个病灶一起考虑的话答案就清晰了,其实这是一个“肥大性下橄榄核变性(Hypertrophic olivary degeneration,HOD)“的表现,无需进一步增强检查,避免了因过度检查给患者造成经济负担。
为什么样的病例容易误诊呢?因为首先这种影像表现并不常见,医生可能受经验限制对疾病认识不足,另一方面,神经系统大部分慢性病程的变性病变都是以萎缩为表现的,而这个疾病却表现为体积增大,所以容易误导医生向肿瘤、炎症、脱髓鞘等其它类型疾病考虑。
其实这个疾病的临床、病理和影像都非常有特点,也很有趣,那么下面我们就一起深入了解一下这个神经变性界的奇葩。
(以下内容专业性较强,可酌情阅读)
1.肥大性下橄榄核变性(HOD)与临床
HOD是一种少见的跨突触变性。美国佛罗里达州和亚利桑那州梅奥诊所20年间(1995-2015)共诊断95例HOD,其中39例为单侧,56例为双侧。单侧发生的HOD多伴有格-莫三角区病变,常见原因包括中风(出血性>缺血性)、外伤、脑干肿瘤、脑干海绵状血管瘤术后。而双侧发生HOD多无明确病因。
HOD临床表现主要是腭肌阵挛、共济失调和眼震。共济失调最常见,约半数患者伴腭震颤。
2.肥大性下橄榄核变性(HOD)与格-莫三角
HOD的发生与一个叫格-莫三角的兄弟密切相关。所以,在正式介绍这个疾病之前我们要先认识一下这位新朋友--“Triangle of Guillain and Mollaret”,可以音译为格-莫三角,因为其损伤可以引起肌阵挛的症状,也被称为“肌阵挛三角”。

如上图所示,这个三角是由三个神经核(中脑红核-红色圆形、延髓下橄榄核-绿色椭圆和对侧的小脑齿状核-黄色月牙)作为顶点,神经核间的神经纤维束作为三角形的边构成的神经元环路。
红核经被盖中央束(CTT)将信号传递至同侧下橄榄核,下橄榄核先发出纤维经对侧小脑下脚(ICP)进入对侧小脑皮质浦肯野细胞,再由小脑皮质投射到对侧齿状核,小脑齿状核的信号经小脑上脚(SCP)神经纤维传递回到红核,形成环路。我们可以注意到下橄榄核与对侧齿状核不是直接连接。
我们再来看一下这个通路的简化示意图:

以下橄榄核作为目的地的话SCP和CTT都是传入神经,而下橄榄和与对侧齿状核间的连接是传出神经,事实上只有图中实线所示的齿状核-红核、红核-下橄榄核通路上发生病变才会引起HOD,这也符合HOD与传入阻断有关的假设。
从MRI横轴位上看这个三角的话,就如下图红色标注所示:

从上图我们可以更清晰地了解格-莫三角中各个结构的断层解剖位置,并且对其连接的侧别有更直观的认识。可见,当原发病变位于中央被盖束时,同侧可发生 HOD,原发病变位于小脑齿状核或小脑上脚时,对侧可发生 HOD,当原发病变同时累及中央被盖束和小脑上脚时双侧可发生 HOD。(同侧对侧有点绕,可参照上图多看几遍)
3.肥大性下橄榄核变性(HOD)的病理学改变
有人利用脑出血后生存时间不同的患者尸检结果进行研究,发现随着责任病变发生时间的变化,下橄榄核变性的病理学表现相应改变,并将其分为6期:
(1)24小时内,无变化;
(2)2-7天或更久,边缘变性;
(3)3周,神经元肥大不伴有胶质细胞反应增生,橄榄核轻度增大;
(4)约8.5个月,神经元和星形胶质细胞显著肥大;
(5)约9.5个月或更久,神经元溶解,橄榄核假性肥大;
(6)数年后,神经元消失,橄榄核萎缩。

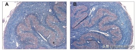
肥大性下橄榄核变性的病理特征。图A为肥大的下橄榄核;图B为对侧正常的下橄榄核(bodian luxol,x200),注意周围白质的轻度脱髓鞘表现。
4.肥大性下橄榄核变性(HOD)的影像学表现
HOD的诊断主要依靠MRI检查,其MR表现为延髓腹外侧下橄榄核形态及信号变化,表现为单侧或双侧下橄榄核T2WI/ FLAIR高或稍高信号,T1WI等或稍低信号,DWI、ADC、SWI等或稍高信号。个案报告所示增强病例未见明显强化。其中T2WI信号比较稳定,始终为高信号。下橄榄核肥大呈形态规则、边界清晰,累及双侧者可对称,或一侧略显著。
与病理学相对应,HOD在MR上的表现亦随时间演变,可分为三个阶段:
第一阶段:发病前6个月,橄榄核区T2WI信号增高,不伴肥大。
第二阶段:发病约6月-4年,下橄榄核高信号伴有肥大改变。
第三阶段:发病4年后,下橄榄核在T2WI呈高信号但伴有萎缩。
右侧肥大性下橄榄核变性影像表现随时间演变。A为右侧桥脑被盖急性梗塞灶(DWI);B为与A同次扫描下橄榄核未见异常(FLAIR);C为6个月后右侧下橄榄核FLAIR信号轻度增高;D为一年后信号进一步增高;E为两年后信号增高并伴肥大。
DTI研究发现HOD患者下橄榄核的FA值增高、AD值减低,但是格-莫三角其它结构的FA值降低、RD值增加。
最后,为什么增生后会形成一个“忍者神龟样”的表现呢?

上图是正常下橄榄核的图像,左侧是示意图,右侧是尸检标本,绿色标注的是神经核,其内是神经纤维,想象一下其增生的样子,和我们的影像表现是不是非常一致。
好了,今天的病例就分享到这里,不知道大家是不是对这个疾病有了一个更全面的认识,下次再见到“忍者神龟”可不要再说不认识了哦!
(文 放射科小S大夫)
参考文献:
1.Tilikete C, Desestret V. Hypertrophic Olivary Degeneration and Palatal or Oculopalatal Tremor. Front Neurol. 2017;8:302. Published 2017 Jun 29. doi:10.3389/fneur.2017.00302
2.Konno T, Broderick DF, Tacik P, Caviness JN, Wszolek ZK. Hypertrophic olivary degeneration: A clinico-radiologic study. Parkinsonism Relat Disord. 2016;28:36–40. doi:10.1016/j.parkreldis.2016.04.008
3. Van Eetvelde R, Lemmerling M, Backaert T, et al. Imaging Features of Hypertrophic Olivary Degeneration. J Belg Soc Radiol. 2016;100(1):71. Published 2016 Jul 25. doi:10.5334/jbr-btr.1065
4. Meoded A, Poretti A, Ilica AT, et al. Diffusion tensor imaging in a child with hypertrophic olivary degeneration. Cerebellum. 2013;12(4):469–474. doi:10.1007/s12311-013-0448-0
5. Kim MK, Cho BM, Park SH, Yoon DY. Holmes' tremor associated with bilateral hypertrophic olivary degeneration following brain stem hemorrhage: a case report. J Cerebrovasc Endovasc Neurosurg. 2014;16(3):299–302. doi:10.7461/jcen.2014.16.3.299