
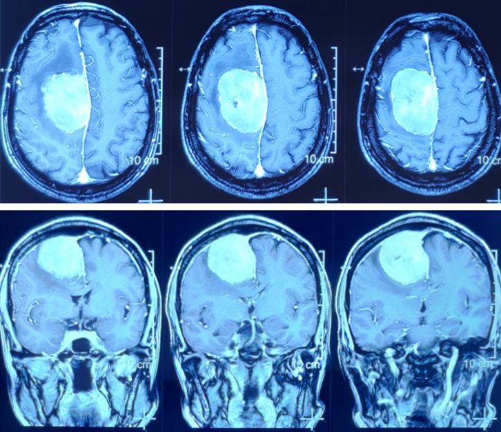
72岁老人,右侧额顶部镰旁巨大脑膜瘤
不用怕!
4月4日下午(下周四)
首都医科大学三博脑科医院院长
全国著名神经外科专家闫长祥教授
将从北京飞抵重庆三博江陵医院
为老人实施手术!
同时,4月4日(下周四)上午
闫长祥教授将在我院门诊
有需要的病人可提前预约
机会难得!

预约专家号,您可以这样做
微信预约
微信关注“重庆三博江陵医院”,微信号:sbjlyy
添加关注后留言:姓名+性别+年龄+症状+电话号码
网站预约
输入网址:http://www.sbnkjl.com/
进入三博江陵医院官方网站,
找到“预约就诊”栏目,
填写就诊患者信息,
点击“马上预约”轻松搞定!
电话预约就诊
咨询预约电话023-67933011
18102346936(24小时)
当天挂号就诊
专家在线
闫长祥
主任医师,教授
博士研究生导师

首都医科大学三博脑科医院院长
首都医科大学第十一临床医学院副院长
首都医科大学神经外科学院副院长兼三系主任
中国非公立医疗机构协会神经外科专业委员会主任委员
中国微循环学会神经保护与康复专业委员会第一届委员会副主任委员
中国医疗保健国际交流促进会神经外科分会常务委员
中国医师学会神经外科医师分会委员会委员
北京抗癌协会神经肿瘤专业委员会委员
《外科学》(普通高等教育“十二五”国家级规划教材)编委
中国耳鼻喉颅底外科杂志第六届常务编委
北京市卫生技术系列(外科)高级专业技术职务任职资格评审委员会评审委员
北京市模范集体荣誉称号
于2013年、2014年、2015年和2016年荣登中国名医百强榜(胶质瘤、垂体瘤和颅底肿瘤十佳外科医生)
获“2017胡润·平安中国好医生”荣誉称号
北京预防医学会第一届卫生管理委员会专业委员
擅长:各种颅内肿瘤(垂体腺瘤、胶质瘤、脑膜瘤、听神经鞘瘤、颅咽管瘤等)和动脉瘤等疾病的诊疗;尤其在鞍区、颅底、脑干、丘脑、三脑室后部等复杂区域肿瘤的手术治疗方面有独到之处。开展了多技术辅助下鞍区及颅底肿瘤切除术的解剖研究和临床应用。
目前完成各类颅脑手术万余例,其中各类颅内肿瘤9000余例。脑动脉瘤、脊髓疾病及各类颅脑外伤等手术1000余例。
在垂体腺瘤的诊治方面积累了丰富经验,经鼻-蝶、经颅手术治疗垂体腺瘤3000余例,对不同临床类型的垂体腺瘤采用个体化治疗方案,获得比单纯手术更满意的效果;对垂体腺瘤导致的难治性不孕不育进行了深入研究,获得较满意的效果。
完成各种类型的胶质瘤手术3000余例,对胶质瘤的综合治疗有深入研究。
脑干和丘脑肿瘤手术600余例,手术效果均达国内先进水平。
多次受邀到全国二十多个省、市、自治区的百余家省级和地市级医院实施各类复杂颅脑手术或学术交流,均取得满意效果。

重庆三博江陵医院
技术 品质 服务
高端技术服务普通大众
首都医科大学三博脑科医院(总院)
卫生部国家临床重点专科(神经外科)
中国抗癫痫协会临床实践与培训基地
重庆市城镇职工医保、城乡合作医保
工伤、生育、商业保险定点医院
特病鉴定医院
异地医保结算医院
咨询:023-67933011
18102346936(24小时)
急救:023-67930120
医
院
地
址
江北区大石坝街1号
官 网:www.sbnkjl.com
公众号sbjlyy
猛戳有惊喜