本文原载于《国际呼吸杂志》2019年第3期
本文作者:顾问 韩锋锋 王妍敏 管雯斌 郭雪君
胸腺癌是一种来源于胸腺上皮细胞的临床上罕见的纵隔恶性肿瘤,最常见的组织类型是鳞状细胞癌和未分化癌。大多数患者首发症状为胸痛,部分患者可有消瘦、盗汗、咳嗽、呼吸困难等症状。大多数胸腺癌患者在首次发现时已有胸腺外侵袭或转移表现。本文回顾性分析上海交通大学医学院附属新华医院收治的1例以结核性胸腔积液为表现的胸腺鳞癌患者的临床资料,并进行文献复习。

1 病例资料

患者男,60岁。因"咳嗽、气短3周,加重2 d"于2017年11月17日入住我院呼吸内科。患者于入院前3周左右劳累后开始出现咳嗽,为干咳,伴有气短,无明显咳痰,无鼻塞、流涕等上呼吸道感染症状,无发热。患者未予重视,仅自行服用止咳糖浆治疗,症状未缓解。入院前2天,患者自觉症状加重,于上海交通大学医学院附属新华医院呼吸科门诊就诊,查胸部CT平扫(2017年11月15日)提示:前纵隔占位,右侧胸腔积液,伴右肺下叶不张(图1)。为进一步诊治,收治入院。否认药物食物过敏史、手术外伤史、传染病史。否认既往其他系统病史。有吸烟史40余年,每日10支。无特殊职业史。入院查体:血压120/80 mmHg(1 mmHg=0.133 kPa)。意识清楚,呼吸稍促。全身皮肤未见黄染,无瘀点、瘀斑。浅表淋巴结未触及肿大。左肺呼吸音稍粗,右下肺呼吸音减弱,两肺未闻及干湿啰音和胸膜摩擦音。心率126次/min,律齐。腹平软,无压痛、反跳痛及肌卫,肝脾肋下未触及。双下肢无水肿。生理反射存在,病理反射未引出。

图1 入院前胸部CT平扫提示前纵隔占位,右侧胸腔积液 A:纵隔窗;B:肺窗
入院时血常规:白细胞、中性粒细胞、C反应蛋白正常,降钙素原、细菌内毒素、G试验正常,ESR 77 mm/1 h(正常参考值0~15 mm/1 h)。肝肾功能、肌酸激酶、氨基末端脑钠肽前体、肌钙蛋白I正常。甲状腺功能正常,免疫相关指标ANA14项、ANCA、dsDNA等正常。肿瘤指标:甲胎蛋白、癌胚抗原(carcinoembryonic antigen,CEA)、CA199、CA153、CA242、CA724、鳞癌抗原、CA211正常,CA125 177.30 U/ml(正常参考值0~35 U/ml),神经元特异性烯醇化酶20.08 μg/L(正常参考值0~16.3 μg/L)。D-二聚体1.15 mg/L(正常参考值0~0.5 mg/L)。3次痰找抗酸杆菌阴性,血T-SPOT阳性。予以胸水B超定位后,行胸腔置管抽液,连续引流3次,每日引流出400~500 ml左右深黄色微混胸水。综合3次胸水细胞学检查,结果提示胸水为渗出液,细胞分类以单个核细胞为主,胸水腺苷脱氨酶升高,肿瘤标记物CA125升高,胸水抗酸杆菌染色阴性(表1)。胸水病理:"胸水"涂片示大量淋巴细胞、组织细胞,少量间皮细胞,未见明显肿瘤细胞。免疫组织化学:CK5(-),p63(-),TTF1(-),SYN(-),Ki-67(散在+),LCA(+),Calretinin(-),WT-1(-),CK5/6(个别+),MC(-),p53(-),NapsinA(-),CEA(-),CD163(+),CK(散在+)。

表1 3次胸水细胞学检查的结果
入院后查甲状腺及颈部淋巴结B超未见异常。肺通气灌注显像提示:右肺下叶前基底段、后基底段及左肺上叶尖后段多发通气与血流灌注下降灶(匹配);余双肺通气及血流灌注未见异常,无肺栓塞依据。经过胸腔抽液后,复查肺动脉血管CT造影(2017年11月24日)提示肺血管未见明显异常,前纵隔占位(增强后CT值增加28 HU左右);两肺下叶炎症、右侧胸腔积液,较前片(2017年11月15日)好转;两肺多发纤维灶,右肺上叶微小结节(图2)。

图2 肺动脉血管CT造影 A、B:前纵隔占位(箭头示),增强后CT值增加28 HU左右;C、D:右侧包裹性胸腔积液(箭头示)
纵隔第7组淋巴结超声支气管镜引导下经支气管针吸活检病理(图3)示血凝块及少量淋巴组织,未找到肿瘤细胞。免疫组织化学:CD117(-),CD1a(-),CD20(部分+),CD3(部分+),CD5(-),CD57(N)(-),CK19(部分+),CK20(-),CK5(散在+),CK5/6(个别+),CK7(部分+),EMA(-),Ki-67(个别+),p63(个别+),TDT(-),CD4(-),CD8(个别+),CD99(个别+),DES(-),LCA(部分+)。

图3纵隔第7组淋巴结超声支气管镜引导下经支气管针吸活检病理示血凝块及少量淋巴组织 HE ×100
进一步行PET/CT检查,提示:(1)前上纵隔软组织块影伴代谢异常增高,考虑胸腺恶性肿瘤可能,邻近主动脉受累待排;膈区、心膈角、纵隔及右肺门淋巴结转移;右侧胸膜多发转移;右肺内多发小结节影,代谢不高,转移待排。(2)右侧胸腔包裹性积液引流中;右下肺少许炎症。(3)肝多发囊肿;左肾多发高或低密度囊肿。(4)双肾上腺代谢稍高,考虑增生性改变,建议随访。(5)前列腺增生,*丸睾**鞘膜积液。(6)多发椎体异常及含气腔,考虑良性可能大,建议必要时行核磁共振检查(图4)。

图4 PET/CT结果 A:前纵隔、纵隔淋巴结异常代谢增高;B:胸膜、心包异常代谢增高;C:心膈角异常代谢增高;D:右侧胸膜异常代谢增高,右肺结节
患者入院后完善相关检查,结合T-SPOT阳性和胸水细胞学检查,考虑结核性胸腔积液不能除外。但因前纵隔占位,恶性肿瘤(尤其是胸腺恶性肿瘤)高度怀疑,故请心胸外科会诊后,建议行胸腔镜活检。
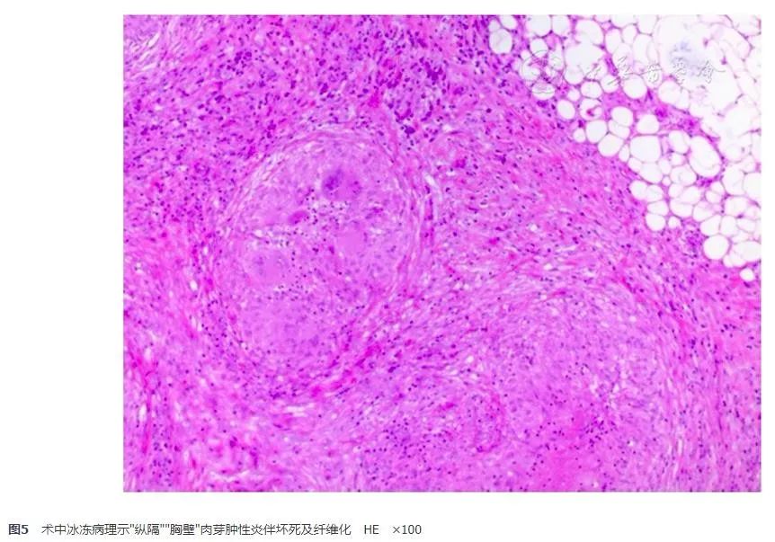
患者于2017年11月28日入住胸外科治疗,全身麻醉下行胸腔镜前纵隔占位活检+胸膜活检+胸膜粘连烙断术。胸腔镜探查见:胸腔较多粘连,前纵隔占位,胸壁见多发结节。分离胸膜粘连后,分别取前纵隔占位及胸膜结节1枚。术中冰冻病理报告:"纵隔""胸壁"肉芽肿性炎伴坏死及纤维化,并见淋巴结2枚呈肉芽肿性炎伴坏死(图5)。术后患者无胸闷、气促不适。

图5术中冰冻病理示"纵隔""胸壁"肉芽肿性炎伴坏死及纤维化 HE ×100
术后1周,石蜡切片病理报告提示:"纵隔"肉芽肿性炎伴坏死及纤维化;边缘见少量低分化癌浸润(图6)。免疫组织化学(图7):CD5(部分+),CD117(+),MSH2(+),MLH1(+),MSH6(+),PMSII(+),Ki-67(40%+),p53(10%+),PD1(-),PDL1(90%+),EBER(-),CK5(+),SYN(-),TTF1(-)。同时,病理切片抗酸染色,病理组织PCR法检测结核基因IS6110和RV0577,结果均提示阴性。

图6 石蜡切片病理 A:"纵隔"肉芽肿性炎伴坏死及纤维化;B、C:肉芽肿性炎边缘见少量低分化癌浸润 HE ×100(A、B) ×400(C)

图7 免疫组织化学结果 A:EBER(-),可除外淋巴上皮瘤样癌;B:SYN(-),除外神经内分泌癌;C:CD5(+),提示胸腺来源鳞癌;D:CD117(+),提示胸腺来源鳞癌;E:CK5(+),提示鳞癌 ×100
根据术后病理检查结果,该患者明确诊断为胸腺低分化鳞状细胞癌。嘱患者术后1个月随访复查,择期放化疗。
2 讨论
胸腺癌是胸腺肿瘤的一种,是临床上罕见的纵隔恶性肿瘤,在所有纵隔肿瘤中约占2.7%,约占原发性纵隔肿瘤的6%。WHO于2004年修订胸腺肿瘤分类,将胸腺肿瘤分为胸腺瘤(A、AB、B1、B2、B3型)和胸腺癌。胸腺瘤A型和AB型为良性肿瘤;B1型为低度恶性;B2型为中度恶性;B3型与胸腺癌均为高度恶性,侵袭性强。胸腺癌是指具有恶性细胞结构特征的高侵袭性的胸腺上皮肿瘤,表现为明显的恶性肿瘤细胞学特征,侵犯周围组织,早期即可发生远处转移。胸腺癌有多种组织学类型,如鳞状细胞癌、黏液表皮样癌、淋巴上皮瘤样癌、小细胞癌、肉瘤样癌、透明细胞癌、乳头状癌和未分化癌等,其中以鳞状细胞癌最为常见。胸部影像检查可以初步区分侵袭性胸腺肿瘤和非侵袭性胸腺肿瘤。侵袭性胸腺肿瘤往往与周围组织边界不清;而非侵袭性胸腺肿瘤一般肿块包膜完整,边界清晰,与周围组织有明显的分界。B3型胸腺瘤具有明显的侵袭性,在影像上与胸腺癌难以鉴别,在临床表现、生长方式、治疗结果和预后等有一定区别,主要依靠病理诊断区分(表2)[1]。B3型胸腺瘤和胸腺鳞癌在病理组织HE染色方面差别不明显,但通过免疫组织化学染色,CD5和CD117酶标阳性考虑为胸腺鳞癌,以此可以与B3型胸腺瘤进行鉴别。除此之外,有研究团队对胸腺鳞癌与B3型胸腺瘤的酶标进行分类研究,结果提示GLUT-1有较高的诊断价值[2]。GLUT-1和MUC-1对诊断胸腺鳞癌具有较高的敏感性,其他根据敏感性高低,依次为CK5/6、CD117、p63、CD5和CEA。CD5、CD117和CEA具有最高的特异性,接着依次为MUC-1、GLUT-1、p63和CD5/6。对诊断B3型胸腺瘤,特异性较高的是CD1a和TdT,敏感性较高的为CD19、TdT和CD1a[3]。免疫组织化学酶标单独检测不能用于疾病鉴别,但将c-Kit、CD5、c-Thys和TCDMs等酶标综合分析,可用于鉴别胸腺鳞癌和B3型胸腺瘤[4]。

表2 恶性胸腺瘤与胸腺癌的鉴别[1]
胸腺鳞癌临床表现常多见胸痛、呼吸困难、咳嗽和上腔静脉综合征,也有部分患者没有症状,在体检时发现。胸腺鳞癌常表现为邻近胸腔脏器和纵隔的侵犯,包括心包、肺组织、气管、食管等,可侵犯主动脉、无名静脉、肺血管、膈神经等,部分病例侵犯胸膜或肺实质[5]。在以往报道的胸腺鳞癌中,除了纵隔占位,常会较早发生远处转移,例如发生淋巴结转移、胸膜转移[6]、气道内转移[7]、脑转移[8]、骨转移等[9,10]。胸膜转移均以胸膜结节为表现,未检索到文献报道出现胸腔积液的病例。
本例患者以咳嗽、气短为表现,进一步检查发现有右侧胸腔积液、前纵隔占位、胸膜多发结节、纵隔及右肺门淋巴结转移。前纵隔占位需要考虑的疾病有胸腺瘤、淋巴瘤、生殖细胞肿瘤(畸胎瘤等)、间质组织肿瘤(脂肪瘤、纤维瘤、间皮瘤等)。患者同时合并胸腔积液,起初考虑恶性胸腔积液可能,经过多次胸水细胞学检查,均未发现肿瘤细胞,胸水检查结果结合血T-SPOT检查,不排除结核可能。行超声支气管镜纵隔第7组淋巴结穿刺未找到肿瘤细胞。因内科检查治疗无法确诊,该患者至胸外科行手术诊断,行胸膜结节和前纵隔占位活检,但术中冰冻提示肉芽肿性炎伴坏死及纤维化,符合结核的病理诊断标准。结合胸腔积液的性质,笔者考虑本例患者是否可能是纵隔结核合并结核性胸腔积液,故进行病理切片的抗酸染色和结核基因检测,结果为阴性。2周以后,最终病理提示"纵隔肿块"肉芽肿性炎伴坏死及纤维化,边缘见少量低分化癌浸润。结合免疫组织化学,提示胸腺来源低分化鳞状细胞癌。因此,该例患者的最终诊断考虑为胸腺鳞癌。
病理诊断可作为确诊依据,但如何解释纵隔肿块和胸壁结节的肉芽肿性炎伴坏死及纤维化的结果与结核病理相似,如何解释胸腔积液的性质更倾向于结核性胸腔积液。回顾文献,发生于纵隔,甚至胸腺的结核较为罕见,全球仅有十几例报道[11,12,13]。纵隔结核有较强的地域性,多发于贫穷、卫生条件差的地区。胸腺结核表现纵隔占位,同时伴有纵隔淋巴结肿大,早在1992年在Chest上就报道1例定居北美的菲利宾移民发生胸腺结核[14]。印度报道了1例纵隔占位的12岁儿童,手术切除占位后病理结果为胸腺结核,抗结核治疗后康复[15]。也有病例最初考虑为结核,但经过抗结核治疗无效,最终手术明确诊断为胸腺瘤[16],或者纵隔结核与胸腺瘤合并发生[17]。由此可见,胸腺癌或侵袭性胸腺瘤与胸腺结核有时候很难区分。胸腺是人体重要的免疫器官,诱导T细胞发育、分化,维持T细胞免疫平衡[18]。胸腺癌是发生于胸腺上皮的肿瘤,而结核的发病机制也是以T细胞介导的免疫反应为主,两者与T细胞都有一定关系,这可能可以解释两者发病的相似性。
除了胸腺癌和胸腺结核难以区分之外,文献回顾还发现许多与胸腺癌合并的疾病类型。例如,术后病理明确诊断胸腺鳞癌与AB型胸腺瘤混合[19],胸腺黏液表皮样癌与胸腺瘤混合[20],胸腺肉瘤样癌与鳞癌混合[21],胸腺腺癌同时合并胸腺囊肿的病例[22],胸腺癌合并淋巴瘤的病例。可见,胸腺疾病种类繁多,病理诊断在胸腺占位性疾病中具有非常高的诊断价值。
对于一些临床上的罕见病,或者鉴别诊断有一定难度的疾病,我们更需要完善评估检查,全面分析,慎重地进行诊断,并在一定的时间范围内需要随访观察,以免漏诊、误诊。在本例患者中,最初的胸水生化检查以及病理均指向结核的可能性,但是影像上又很难判定这只是一例肺结核、结核性胸腔积液或者发生于纵隔的结核。所以,最终的病理诊断找到胸腺鳞癌细胞,并且通过抗酸染色和基因检测排除了结核,起到了关键性的作用。文献回顾后,笔者也发现,胸腺癌和结核均为与T细胞免疫相关的疾病,因此不排除2种疾病伴发或者互相转化的可能性。如果该患者病理诊断没有找到肿瘤细胞,也需要考虑予以诊断性的抗结核治疗,并长期随访观察疗效。遗憾的是,该例患者在出院后便失访,后续的观察治疗未能延续。但这例患者让我们对纵隔肿瘤有了新的认识,积累了经验,便于在今后的工作中总结纵隔占位性疾病的诊治思路,早诊断、早治疗。
利益冲突
利益冲突所有作者均声明不存在利益冲突
(参考文献略)