很多人都不知道,一些患牙是一定要拔掉的,还很疑惑为什么非要拔?不能挽留了吗?今天就给大家依次来解释下,为什么这7类患牙一定要拔!
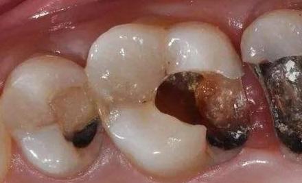
一、严重蛀牙等造成的残冠残根
蛀牙,没有发生大面积的龋坏的时期补牙就可以治疗好;但如果发展到中龋、深龋伤及到牙髓则需要进行根管治疗;而对于一些大面积龋坏,根管治疗都于事无补,留着残根残冠长时间还会感染,甚至影响邻牙,拔掉及时做修复才是最佳的选择!

二、牙周炎导致的松动牙
通常牙周炎是口腔清洁不到位引起的,而牙周炎若不治疗,则会造成牙齿松动,如果轻微松动牙及时去做牙周治疗消除炎症,还可以尽量的保留下来。
一旦没有及时将炎症控制住,那么松动牙即使暂时不拔掉那么后期也有可能会自然脱落!还可能出现牙龈萎缩的症状,邻牙也会受到牵连,以免给后期的治疗和修复造成更多的麻烦,要及时拔除!

三、阻生牙
智齿一般会在16-36岁之间萌出,人类的第三磨牙。而一些水平阻生的智齿由于很多死角难以清洁,会在口腔内产生大量细菌,引发一系列的口腔疾病。
所以萌出不全、异位萌出等阻生的智齿要及时拔掉。

四、滞留的乳牙
在宝宝换牙期,如果乳牙滞留可能会影响恒牙的发育和位置!所以要及时戴宝宝去看牙医,需要拔掉的话要及时拔除。
五、多生牙
乳牙滞留,于是恒牙被迫从乳牙后面“萌出”,从而形成一前一后两层牙齿。
这时候,如果不及时请医生把顽固的乳牙拔掉,乳牙就会影响恒牙的正常生长。还会导致宝宝的牙齿错位,排列不齐,咬合不正。

六、矫正时需要拔除的牙齿
对于严重拥挤、突牙的患者,颌骨空间不足,那势必要拔除某些牙齿腾出位置,剩下的牙齿才能井然有序地排列整齐。
反之,如果不拔牙,硬生生将牙齿排整齐的话,结果只能是"两败俱伤",严重点的还会影响咀嚼,引起消化不良等负面影响。

七、引起局部或全身疾病的病灶牙
有些牙齿是引起颌骨骨髓炎或者上颌窦炎的病灶牙,拔除有利于上述疾病的痊愈。
其实,什么多一颗牙无所谓,少一颗牙我照样能吃饭,这样的想法是错误。大家还是要听从专业牙医的诊断,如果能留则留;必须拔掉的,也不要太拖沓,以免错过最佳的治疗时间。