立冬初至,敏感也随之而来。如何舒缓肌肤、缓解敏感是当务之急、重中之重,因此如何评价化妆品或活性物的舒缓功效也成为了亟待解决的问题。本文将从三个方面进行展开,提供舒缓功效评价的思路和方法。
causes of sensitive skin
敏感肌肤成因
皮肤敏感性的成因并不是特定物质的接触和作用,而是皮肤自身结构和感受神经的既定状态。其成因包括以下几个可能因素:
NO.1 屏障功能
皮肤屏障能有效防止外界有害因素的入侵和体内营养物质的流失,皮肤屏障功能受损,是皮肤敏感的重要原因。
研究者发现,角质层较薄的人更容易受化学物质的刺激,Frosch等使用斑贴刺激试验检测正常人群的反应,其中14%的人表现出敏感皮肤,而这些人屏障功能普遍较差,该结果正是因为角质层薄弱的皮肤渗透能力强,刺激物更容易进入而引起皮肤的炎性反应。
NO.2 神经因素
表皮还具有感觉功能,表皮细胞产生感觉信号的原因: 一是皮肤角质层中存在两大类感觉传入神经纤维,感觉神经纤维能够感知到外界的各种刺激因素 ;

皮肤躯体感觉神经元的多样性
(Lumpkin E , Caterina M . Mechanisms of sensory transduction in the skin, 2007)
二是角质形成细胞表面会表达一些能够感觉到温度、疼痛等的受体如TRP类。
如 TRPV1 (辣椒素受体), TRPV1通过两种方式引发神经反应 ,一方面通过电信号传入到神经中枢,从而产生刺痛感、瘙痒等症状,另一方面会引发神经性炎症,最终导致皮肤泛红、出现红斑等症状。

敏感皮肤的神经元机制
(Putative neuronal mechanisms of sensitive skin. 2009)
Yokota 等通过非侵入的方法对敏感皮肤的特征进行研究,在角质层中观察到其所有类型的神经生长含量均高于非敏感的皮肤,由此可知 敏感皮肤过敏反应与神经因素密切相关 。
NO.3 炎症反应
由于皮肤敏感存在屏障功能损伤或神经功能异常的特点,与正常皮肤相比更难于抵御外界刺激物与过敏原的侵袭,容易发生一系列刺激或过敏导致的皮肤炎症反应,然后进一步损害皮肤屏障结构与神经末梢,导致恶性循环。炎症反应是敏感皮肤的重要因素。
cosmetics and sensitive skin
化妆品与敏感性皮肤的关系
化妆品可能诱发敏感性皮肤形成,使用质量低下、有毒物质含量超标、添加糖皮质激素类禁用药物等化妆品,就有可能出现化妆品皮炎。 一般情况下,敏感性皮肤被认为是对接触的化妆品耐受性降低的皮肤类型。
近些年来,敏感性皮肤护理成为了热点,多个品牌都推出了针对性产品。在这些产品中均不同程度地添加了抗敏、抗刺激功效植提物,这些植提物在屏障修护、神经镇静和抗炎杀菌中各有所长。

修护敏感肌常用活性成分
(敏感皮肤成因解析及化妆品抗敏活性评价进展, 2015)
methods
舒缓功效评价相关指标及方法
那么应该如何确定产品或原料成分具有其所宣称的舒缓功效呢?对于化妆品舒缓功效的评价,主要分为在体实验和体外实验,在体实验又包括动物实验和人体实验。体外实验又包括物理化学法、生物化学法、细胞生物学法和3D皮肤模型替代法。
我们分别从屏障修护、神经镇静和抗炎杀菌这三个方面出发来对体外检测指标及方法进行描述 :
NO.1 屏障修护
(1)透明质酸酶抑制率
透明质酸(HA)在维持皮肤水分和弹性、创伤愈合和血管形成等过程中起主要的作用,同时,透明质酸还参与血管扩张和过敏反应,因此与皮肤敏感也有很大关系。透明质酸酶是HA特异性裂解酶,其过度活动会导致HA的降解,从而导致皮肤老化和炎症的发展与进展。
透明质酸酶抑制实验是最典型的抗敏活性评价体外方法, 以透明质酸酶抑制率为指标评价物质的抗过敏活性,透明质酸酶抑制率越大则抗过敏活性越强。
(2)自由基清除能力
线粒体在电子传递的过程中产生的自由基会攻击细胞膜、蛋白质甚至 DNA,导致细胞的衰老甚至死亡,与多种疾病都有紧密关系。抑制自由基活性可以有效缓解外界刺激后产生的过量自由基作用下细胞结构功能的退化,进而维护包括皮肤在内各种器官的正常屏障结构。
(3)红细胞溶血实验
红细胞溶血实验最初用于替代Draize 兔眼实验,其原理在于测定从红细胞中漏出的血红蛋白的量来评价细胞膜的损伤程度,血红蛋白漏出量越多,损伤越大。
国内引进该实验以后,通过结果比较,证实了溶血实验的可靠性,现已将其广泛用于刺激物的作用强度或活性物质的安全性评价中。根据红细胞溶血实验的原理推断,通过对其进行改良, 同时添加刺激物与活性物质作用于红细胞,也可以评价活性物质对细胞膜的保护功能。
(4)皮肤角质层神经酰胺含量分析
神经酰胺是人体角质层脂质的重要成分,功能主要有调节皮肤水分流失(水合作用)、维持皮肤屏障功能、抗衰老和美白等等。有研究显示小鼠的 表皮神经酰胺含量与皮肤机械屏障功能呈正相关且相互影响 。目前对此已经有较为系统的量化分析法,但尚未应用在外源物质对角质层的影响分析方面。
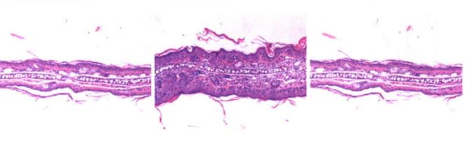
王孝盼等用富含亚油酸-神经酰胺的保湿剂在特应性皮炎小鼠模型上进行研究,发现保湿剂可以减轻炎症、修护屏障:

小鼠耳组织HE染色,从左至右依次为对照组、疾病组和治疗组
(5)皮肤屏障结构相关蛋白表达测定
比如 TGM1 (转谷氨酰胺1),它编码与膜相连的钙依赖性硫醇酶,具有转移氨基酸到蛋白质的谷氨酸残基上形成异肽键的能力,参与角质蛋白膜套过程中ε-(γ谷氨酰)赖氨酸交联的形成,是角质形成细胞终末分化组成蛋白膜套的关键步骤,是 皮肤屏障功能的物质基础 。
中间丝相关蛋白 ,如 FLG (Filaggrin,即丝聚蛋白), LOR (Loricrin,即兜甲蛋白)和 IVL (Involucrin,即内皮蛋白)等也是蛋白膜套形成的基础。

角质层中蛋白膜套构成
以FLG为例,它连接角蛋白纤维,维持角质细胞扁平状,形成角质包膜。FLR基因编码的突变会导致一些皮肤干燥和皮肤屏障功能受损的疾病,如特应性皮炎和寻常型鱼鳞病。


免疫荧光显示EpiKutis®皮肤模型在给药前后FLG表达变化
(博溪生物)
检测皮肤屏障结构相关蛋白的表达也可以用来评估成分和产品的皮肤屏障修复功效。
(6)表皮紧密连接相关基因表达
紧密连接是维持表皮机械屏障和通透性的重要结构,紧密连接蛋白包括Claudin-1、Occludin、ZO-1等等,定位于颗粒层的ZO-1,不仅参与调节细胞物质转运、维持上皮极性,还与细胞增殖分化等多个方面有关。

紧密连接的分子组成
(Tight junctions and the modulation of barrier function in disease, 2008.)
ZO-1与紧密连接的其他成员密切相关,只要ZO-1受到破坏,紧密连接的功能就会随之改变。 因此测定ZO-1相关蛋白的表达,可以用来评估屏障修复功效。


免疫荧光(IF)显示KC细胞在给药前后ZO-1蛋白表达变化
(博溪生物)
NO.2 神经镇静
(1)降钙素基因相关肽
外界刺激下,钙离子内流入神经元,导致其释放降钙素基因相关肽(CGRP),进而引起一系列神经激活和血管扩张等免疫应答反应。研究表明,炎症部位的CGRP表达量显著增强,当外界刺激与活性物质同时作用于皮肤, 通过测定CGRP量可以评估神经元信号传递,从而研究活性物质是否具有刺激条件下的神经镇静作用 。
(2)香草酸亚型瞬时受体电位1通道蛋白(TRPV1)
外界刺激或包括缓激肽、神经生长因子等内源性物质都会激活TRPV1,从而引起钙离子内流,导致皮肤渗透性增加,产生刺痛、烧灼感。同时TRPV1还会促进释放包括P物质在内的神经源性炎症因子,进一步诱导炎症因子的分子,导致局部毛细血管扩张。
目前针对神经源性皮肤敏感开发的化妆品原料多为 TRPV1表达抑制或功能拮抗剂,通过检测其表达量降低说明活性物具有舒缓面部不适感的抗敏功效。

皮肤TRPV1与敏感关系
(敏感皮肤成因解析及化妆品抗敏活性评价进展,2015)
我们可以通过检测TRPV1蛋白的表达量,从而评价产品的舒缓功效:


TRPV1相对表达量测定结果 ,其中BC是本底条件下细胞的TRPV1表达量,NC是辣椒素刺激后TRPV1的表达量,PC是经过辣椒素刺激同时进行TRPV1受体拮抗剂作用后TRPV1的表达量。
(博溪生物)
NO.3 抑制炎症反应评价试验
在细胞水平上,我们可以通过测定COX-2的表达量来评价活性物抑制炎症的功效。

Cox-2表达量 (博溪生物)
我们同样也可以利用3D皮肤模型,通过UVB照射或SLS刺激Epikutis表皮模型来进行评估。
以SLS刺激为例,以地塞米松为对照条件,通过模拟皮肤受到化学刺激时的状态,检测组织活力、模型形态学变化和炎症因子的表达量,来评估活性物的抗炎功效。

IL-α和IL-8表达量 (博溪生物)
上述内容汇总和梳理了舒缓功效体外评价指标和方法,大家有任何问题或者感兴趣的内容可以联系小助手微信进行交流。