胫骨结节骨软骨炎,又称胫骨结节骨骺炎、胫骨结节缺血坏死、Osgood–Schlatter 病等,多见于爱好运动的青少年,外伤史不明显。

病因
胫骨结节骨骺未融合,衔接薄弱,容易受到损伤。当进行跑、跳、踢等剧烈运动时,股四头肌长期、猛烈收缩,可使髌韧带反复牵拉附着处的胫骨结节,致结节软骨慢性损伤,引起创伤性炎症和修复性反应,造成胫骨结节炎和局部隆起。

病理&生理

临床表现
1.疼痛:膝前方局限性疼痛。病儿上下阶梯、跳及下跪时疼痛明显,休息后疼痛可缓解或消失。
2.胫骨结节增大、髌韧带肥厚。
3.膝关节无肿胀或积液,浮髌试验(一)。无红、热及功能障碍等炎性表现。
4.外伤史常不明显。体息后疼痛可缓解或消失。
影像学表现
一、X线
1.早期表现为局部软组织肿胀,髌韧带增粗肥厚显著,继之则产生肌腱的钙化和骨化,胫骨结节呈舌状隆突,密度增高、碎裂,且与骨干轻度分离,形成大小、形态不一的骨碎块。
2.分离部位的骨骺边缘可见小的裂隙状缺损。
3.骨骺修复后胫骨结节可恢复正常或略有增高隆起,但常可留下分离的碎骨块,至成年时为胫骨结节上方的游离体,长期游离于髌韧带内。
二、CT
CT 与 X 线类似,均能显示髌韧带的肿胀增厚,胫骨结节的骨质增生及骨化,对胫骨结节有无撕脱骨折及小骨片的显示具有优势,但是对骨化结节形成前的 OSD 的诊断有一定局限性。
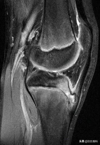
三、MRI
分为五期:正常、早期、进展期、终末期、愈合期。
1.正常: 尽管患者已有症状,但是MRI显示正常;
2.早期: 无炎症表现,无二次骨化中心撕脱;
3.进展期: 二次骨化中心部分软骨撕脱;
4.终末期: 可见游离骨片;
5.愈合期: 胫骨结节骨性愈合,无游离骨片。

国外一些研究者认为MRI检查是诊断胫骨结节骨软骨炎最好的方法,特别是能发现早期和进展期病灶,MRI检查可以反映胫骨结节骨软骨炎疾病过程,而其他检查方法无能为力。但是MRI检查比较昂贵且不普及这样就限制了它在国内诊断胫骨结节骨软骨炎的应用。
看病历▼

男,11岁,胫骨前结节稍肿胀,右膝疼痛两月余,按压疼痛,胫骨结节下部与骨干分离。
X线片可显示胫骨结节骨软骨炎患者骨质及软组织的异常改变,是诊断胫骨结节骨软骨炎颇有价值的方法,对一些早期及可疑患者可进一步做CT或MRI检査。
评估思路:
1.有过量的运动病史
2.胫骨结节压痛
3.股四头肌牵拉痛
4.股四头肌无力
5.膝盖骨下方的胫骨结节处有明显肿块
6.运动加剧疼痛和肿胀
7.胫骨结节出现肿胀
鉴别诊断:
1.骨骼变异:一般无任何症状,在做X线检查时发现。
2.髌骨缺血性坏死:症状上与胫骨结节骨垢炎相似,但是症状部位在髌骨肌腱处。
3.骨垢撕脱性骨折:明显外伤史且局部肿胀范围明显增大、伴有组织淤血。无法行走、站立。X线检查可见骨折线或者骨骺的明显移位,骨骺边缘较圆滑,无锋利的尖角形成等。
治疗: 本病为自限性疾病,骨骺闭合后,症状可自行消失。
一、保守治疗
一经诊断,应首先选择保守治疗。标准的保守治疗包括:热敷、限制活动量、非甾体抗炎药、膝关节护垫、物理治疗。
轻微疼痛的患者停止剧烈运动4-6个月,应用抗炎药物、膝关节护垫。中度至重度疼痛者,可局部注射醋酸曲安奈德,在肿胀的髌腱或骨骺周围软组织中行局部封闭(普鲁卡因 + 泼尼松龙),也能起到很好的减轻疼痛、缩短病程的作用;但也有人反对,因它可致周围软组织萎缩,甚至引起髌腱自发性断裂。也可用石膏托或石膏管型固定制动3-6周,允许下肢负重。
疼痛剧烈者应卧床休息或拄拐以减轻对胫骨结节的应力,石膏固定或限制膝关节屈曲时间不能少于5周,4个月内避免剧烈运动。

物理治疗主要是提高肌肉的力量和弹性,包括:股四头肌、腘绳肌、髂胫束、腓肠肌,其可缓解急性症状。起始时应进行低强度的股四头肌功能锻炼,如股四头肌等长收缩;避免高强度的股四头肌肌力锻炼,因为其增加胫骨结节的应力。以后可逐渐增加高强度的股四头肌锻炼和腘绳肌锻炼。

二、手术治疗
约5%-10%的患者保守治疗无效,可能伴随膝关节疼痛、下跪困难、活动受限等症状直至成年期;对于这些患者,待骨成熟后,可考虑根据患者的症状、生活质量选择手术治疗。手术方式包括胫骨骨碎片切除术、胫骨结节钻孔术、胫骨结节骨钉置入术、胫骨结节部分切除术(缩小)、髌腱纵行切开术等,或联合应用上述手术。

Ferciot和Thomson切除不愈合胫骨结节的手术方法。A:显露胫骨结节;B:切除骨性突起。

Bosworth 认为问题的关键在于突出的生长板,通过在生长板上钻孔,和/或骨钉置入术,以促进其融合。