孩子只是摔倒、扭了一下为什么要打石膏?
在急诊摔倒、扭伤的孩子家长往往不能理解或接受医生要求石膏固定的嘱托。那医生为什么给孩子打石膏,打石膏有什么好处:
一、脚踝扭伤
问:孩子只是扭脚了,医生为什么要给打石膏?
答:儿童不同于成人之处在于韧带的强度大于 骺 板,当踝部扭伤时骺板钙化层在韧带牵拉下分离多造成1型或2型骺损伤。石膏的固定可以为愈合提供良好的愈合条件。
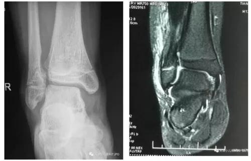
13岁,男,右外踝骨折史约1年余,今扭伤来诊,右外踝压痛,无明显肿胀。X线未见明显骨折,MRI可见外踝骺板高信号。

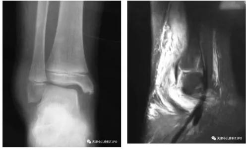
11岁,男,扭伤来诊外踝肿胀压痛;X线可见外踝肿胀影,未见明显骨折;MRI示外踝2型骺损伤。

二、腕部损伤
问:孩子只是摔了个“大马趴”,医生为什么要给打石膏?
答:儿童不同于成人之处在于韧带的强度大于骺板,没有弯曲的青枝骨折不易发现;当腕部受到力的作用时 骺板 及周围韧带往往产生损伤。石膏的固定可以为愈合提供良好的愈合条件,同时可以缓解疼痛避免再次损伤。
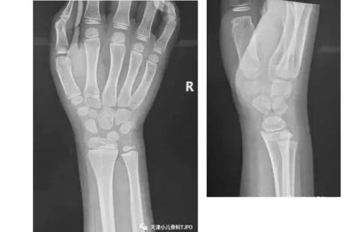
9岁,男,不慎摔倒右腕无明显肿胀,轻压痛外旋明显;X线未见明显骨折。

三、尺骨鹰嘴
问:孩子常摔脚也没看医生,片子上也没有折为什么这一来要给打石膏?
答:片子不是没有骨折是没有你认为的骨折,骨皮质的翘棱,纹路的不规则都可称为骨折。再看孩子肘下后方压痛明显,屈肘小于90度即有 明现 抵抗疼痛。
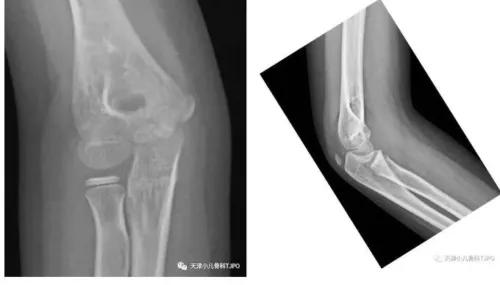
3岁8月,女,不慎摔伤肘下后方压痛,无明显肿胀;X线见纵行裂隙。

四、桡骨“小头”
问:医生您让我打石膏,那你给我指指哪儿是骨折?
答:孩子的桡骨小头还未骨化,X线片无法显示,骨折线同样无法显示且不是所有的骨折都有骨折线。孩子肘关节屈曲虽无明显受限,但在孩子屈肘约30度时前臂旋后会出现明显疼痛。
3岁1月,女,不慎摔倒无明显肿胀;肘关节屈曲虽无明显受限,屈肘约30度时旋后明显疼痛。

五、肱骨 髁 上
问:我们家的老大夫说没事,你为什么说骨折?
答:你先前看的医生一定不是小儿骨科医生,儿童青枝骨折不会像成人一样有明显移位或者明显的骨折线。对于未移位也未出现弯曲的儿童骨折,在X线上只能通过软组织出血、肿胀影间接判断。孩子往往会健后扶患手拒碰,肘上压痛,屈肘接近90 度时痛疼更加明显。
8岁6月,男,从单杠摔下肘上轻度肿胀压痛; X 线示 :正位未见明显异常,侧位可见帆船征。

孩他妈:医生你说的怪好,讲的也明白,但我就是不愿意给孩子打石膏,我们贴膏药怎么样。
医生:这种轻度的损伤不打石膏回家卧床休息(踝扭伤)别下地,3周左右就可以恢复。(上肢伤)三角巾悬吊,注意少活动,4周左右可以恢复。 也就是说制动是必需的。
孩他姨:既然这样你为什么让我们打石膏
医生:这种损伤3天左右就不会疼痛,孩子一旦不疼了就会满地撒欢,造成再成损伤,反反复复不易修复。
孩他姑:孩子关节固定那么久会不会使僵死。
医生:3周左右的固定,对关节活动没有任何影响。
孩姥姥:孩子介多天,咋洗澡
医生:高分子石膏不怕水,为了避免进水后孩子不舒服。你可以用保鲜膜包上别让他进水就可以。
孩奶奶:你把手给捆住,俺孩咋吃饭?
医生:腕部的损伤固定只到掌指关节,他可以用勺吃饭。
孩他婶:孩子咋上学,介学习可不呢拉了。
医生:上肢的固定加吊个三角巾一样去学校,注意别再摔倒就可以;下肢的固定你可以送他去学校,上厕所扶拐就可以,注意别摔倒。
孩爷爷:大夫我们用给孩子炖点排骨、蒸个螃蟹补补吗?
医生:可以吃,好东西不受伤也可以给孩子吃
孩他爸:.......
医生:大老爷们别跟着磨叽,去,一家子好好商量一下
孩他7姑8姨3婶*奶2**奶:大夫我们还是打石膏吧
..................
医生:好,石膏打完了,明天门诊复查。
~~~~~:啊~,明天就复查,查什么,拆开么,还用拍片子么
医生:对,明天就复查,主要看看有没有肿胀,血运不好或其他不适,一般不拆开、不拍片,如果病情需要会拆也会拍片子。
来源:天津医院 邓书贞
转载须获授权
文章仅供参考和学习交流
一切视患者自身情况和以专业医生诊断治疗为准