养娃最烦恼的一件事莫过于"身高",女生娇小一点好歹还能算是可爱,但男生太矮了总会被人冷眼相待。
我家邻居的儿子小泽就是一个"娇小"的男孩,从他上幼儿园起,就一直是细细的胳膊细细的腿儿,饭量小体能也低于一般孩子。小泽从幼儿园到小学,总是被班级里其他淘气的孩子欺负,这让他爸妈很烦恼,但是无论怎样给孩子加大饭量,孩子还是那样瘦弱。

一般来说家长看到自家孩子是这种情况的,会考虑带孩子去医院做全身检查,测量微量元素看孩子是不是缺什么需要补一补,但通常情况下检查不出什么来,只能给孩子多买一些肉、蛋、奶等食物,希望孩子长得壮一点。
实际上呢?孩子的身材大多是受到基因和遗传的影响,如果爸妈的身材比较纤细,并且家中亲戚也都不太高的话,孩子通常并不会长得太高。
邻居一家长得都不算很高,最高是小泽的爷爷,他的身高也才178cm,但是邻居不愿意"认输",希望孩子长得高一些,觉得就算是受遗传影响,也有不少孩子最后比全家所有人都高。
不服输的家长给小泽一顿"猛补",反倒让孩子身高发育减缓

邻居不愿认输的态度太过强硬,以至于他们把"给孩子补身体"当做了人生头等大事,一周给小泽熬三回骨头汤喝,几乎顿顿有肉,每天早饭给小泽必吃一个鸡蛋。
除此之外,邻居还给小泽买了儿童钙片、各种号称"补微量元素"的儿童保健品,还让小泽喝蜂蜜、喝蛋*粉白**,加强锻炼身体。
邻居原本以为这样给小泽补身体,他一定会很快长高,可是没成想,小泽到了初二的时候,个子依旧是全班最矮。

这可急坏了小泽的爸妈,要知道一般来说小学的时候男孩都比女孩矮,因为男孩发育得比女孩晚,所以小泽的爸妈在他小学的时候还不着急,但是初中是男孩子长高变壮的时期,同班的男孩子一个个都长得人高马大,只有小泽还徘徊在155cm。
等到上高一的时候,小泽的身高终于到了165cm,然而他的爸妈却发现,从那之后小泽再也没有长高过了,每次在家里测量身高,都发现和上一次的身高痕迹没有区别。
儿子难道只能一辈子165cm吗?这个认知简直击垮了小泽的爸妈。
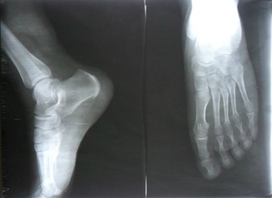
面对小泽的爸妈,医生无奈解释:骨缝线闭合

小泽的爸妈赶紧带孩子去医院做了个全身体检,找大夫问孩子为什么不长个了,怎么比爸爸个子还矮?医生看到他们慌慌张张的样子,拿着拍的片子无奈摇头。
原来,正是因为小泽的爸妈给他长期"大补特补",导致孩子营养过剩,骨缝线过早闭合,身体是不会再长高了。
另外,小泽一家人都比较瘦,因此小泽从小就长得瘦,这也是基因决定的,但是他爸妈不愿意相信这个道理,反复让小泽多吃很多高热量的食物,觉得孩子长胖一些就有营养长高,结果导致孩子体重一过120斤就发高烧生病。

医生说,这有可能是先天体质导致,也有可能是小的时候没注意补充营养,但是孩子体重上不去跟身高一点关系都没有,多吃的那些高热量的食物孩子消化不了,排出体外,吃了也白吃。
医生建议:想让孩子长高,这才是关键!
"吃"对于孩子的身高其实并没有特别重要,过度的吃会让孩子营养过剩,反而长不高,想要让娃长得高,要把握住这一点:睡眠尽量充足。

在成长阶段,孩子睡眠时身体会分泌成长激素,在婴儿时期、儿童成长期、青春期三个成长阶段都是如此,因此爸妈要懂得从小给娃足够的睡眠。
尤其是婴幼儿时期,孩子贪玩不想睡觉,直到自己困得不行了突然倒头就睡,家长别忽视,不能让孩子这样尽情撒野到"熬夜"的程度,规范睡眠习惯,到时间就让他们去睡觉。
上学之后睡眠时间大大减少,主要是因为学业负担重,作业太多,导致孩子没有那么多时间睡觉。

家长要考虑到学业和孩子身体发育的问题,就不要太多占用孩子的时间,比如了解孩子学习水平的时候,可以自己先去询问老师,或者自行去看孩子的作业和成绩,不要一个劲儿地盘问孩子,占用他们少得可怜的课余时间。
与孩子沟通学习生活的方式有很多,这里就不一一列举了,家长们可以动动脑筋想想小窍门、小技巧,想办法多给孩子一些睡觉的时间!