今天来跟大家说说痘印这事,
长痘痘真的很烦,身边很多痘皮都说,
自己对那种光滑小脸蛋真是无限地羡慕,
妆随便画画都好看,哭辽。
可是,好不容易内服外敷治好了痘痘,
针对这些痘印,很多人都表示束手无策,
想等皮肤自然痊愈,但留下的痘印岂是一天两天能去掉的?

你说化妆吧,长时间涂抹粉底遮瑕会反复闷痘啊!
但不化妆吧,又怕实在没办法上班面对同事啊!!
你说怎么办!!!
首先,我想让大家先理解一个概念:要先祛痘印、治疗痘印,必须先明确一点,你的痘痘炎症,也就是在医学内常说的*疮痤**是不是仍在活跃期。

为什么会出现痘印
痘印,通俗的来说就是痘痘消褪之后留下来的疤痕。 当我们的皮肤真皮损伤,大量表皮缺失,该部位的表皮不能再生的时候,就被真皮纤维细胞以及毛细血管所取代, 这时候,我们的痘印就出现了。

踩了什么雷会留下痘印?
长痘留痘印,真的是躲不掉的宿命,但留不留痘印还真分「听天由命」or「人定胜天」。

和闭口粉刺、较小的白头痘痘相比, 发炎红肿的大痘痘一般都伤到了皮肤深处的「真皮层」,所以更易留印留疤 ;
而比较小的痘痘,一般也就在表皮兴风作浪,基本上很少留下痘印,即使留下了痘印,过了一段时间也能自己消失。

脸上长了痘痘,能忍住不挤的都是勇士! 不过挤痘确实不可取,因为挤压不当,会增加痘痘化脓感染的几率,感染扩散到了真皮层, 让小痘痘变身大痘痘,就会留下痘印、痘疤。
痘印的类型
分两种,一种是以红为主,一种是以黑为主,另一种就是痘坑痘疤。
红色痘印 可以理解为新生的痘印,黑色的痘印一般来讲形成时间会更长,为陈旧性的多见。

大部分不人为干预痘印,会呈现「痘痘——红色痘印——黑色痘印——黑色痘印逐渐变淡——恢复至自然肤色」这样的一个过程。
红色痘印
红色痘印 之所以红 ,是因为原来长痘痘的地方 由炎症引起毛细血管扩张,痘痘没了,但炎症未完全消退,毛细血管通透性未收缩至原来状态, 从而形成的暂时性的红印,后期逐渐转成褐色。

对付黑色痘印的核心要点
收缩血管
加快血液流动
消炎
防晒

护肤: 百植萃/修丽可CE+b5,易孚,泽芙雪积雪草精华霜,新愈眼贴膜局部过夜。
医美: 强脉冲光(M22OPT II代/BBL)+viva(红痘印+浅痘坑形成的痘痕)。

强脉冲光在治疗痘印的过程中, 采用特定宽光谱彩光,选择性作用于皮下色素或血管,还能刺激皮下胶原蛋白的增生。
同时,还能达到一定的控油嫩肤效果,对于痘印肌肤来讲,可以说是非常适合的治疗。并且此项治疗几乎没有恢复期,做完治疗基本上敷个面膜冰敷下就可以离开医院,也不会影响第二天的上班。
黑色痘印
黑色痘印 是由于炎症产生之后,黑色素异常沉淀形成的。 就是在*疮痤**发生期间刺激了黑色素细胞的分泌,从而产生大量的色素沉积在表皮上。

自然消退的时间比红色痘印更长,大约需要 6 个月以上。去除的难度和黑色素沉积的深浅有关,如果黑色素沉积在真皮层以下,消除的难度会更大。
对付黑色痘印的核心要点
抗炎,痘痘成了痘印之后依然还会复发的可能性。
加速黑色素的代谢,避免新的色素沉积。

护肤: 百植萃/修丽可CE++仙瑟氨甲环酸,配合纳晶导入,修丽可焕彩无瑕精华乳+百植萃复合果酸焕颜面膜过夜。
医美: 果酸/水杨酸焕肤,强光/超皮秒,美白的水光注射。

果酸/水杨酸焕肤就是让皮肤表面多余的角质层剥落。通过角质层的剥落,也同时可以带走我们角质层的黑色素,形成一个焕肤过程。 而一切有关黑色素的问题,都可以交给超皮秒解决。

所以大家要做好防晒、防晒、防晒呀!!!

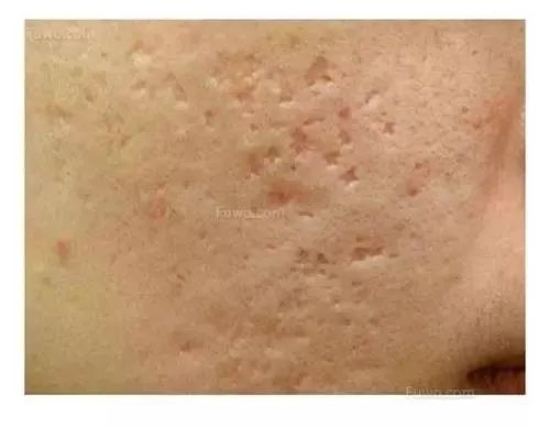
痘坑痘疤
有的痘痘离开时没有一丝痕迹,但有的痘痘就没那么幸运了,一旦破坏到深层的真皮组织,就得走另外一种修复路线了。虽然产生痘坑的原因有很多种,但是最重要的是因为:手贱!

很多人看到这里是不是都要打自己的手了,深深开始后悔。说是这样说,可长痘的时候还是忍不住摸脸,抠脸。这个习惯必须改。

痘坑也叫做萎缩性瘢痕,可以分为冰凿型、凹凸型、箱车型。
那要怎么恢复呢,一句话,外用护肤品基本上没有什么用,如果脸上产生了大量这样的痘疤,就必须做医美来改善了。

医美:
1、重度冰凿样的痘疤:剥脱性点阵激光(如CO2微雕点阵),配合削峰填谷的铒激光(profile);
2、中度痘疤+黑色痘印:黄金点阵射频,或纳米射频点阵(viva),配合果酸焕肤;
3、浅痘坑+红色痘印:非剥脱点阵(王者之冠1565/冰晶点阵1540nm)+强脉冲光(BBL)。

日常饮食习惯:
不熬夜、早睡、减压、不要长胖、不能曝晒。
禁忌食品:肥甘厚腻的高热量食品(甜饮料、奶制品、性食物(榴莲)、少吃辣)
适宜食品:地中海饮食,每周至少2次海鲜(富含多不饱和脂肪酸欧米伽-3)、高纤维素的蔬菜、适量坚果(每天8颗扁桃仁)。

护肤品和医美手术都不是仅仅用一次就能见效的,它需要长期保持。
总结:慢慢来,祛痘印是一场持久战。
护肤也是一场持久战,谁不想拥有完美的肌肤呢。
希望大家不要失去自信,也不要自卑。