唐都医院神经外科癫痫中心:王超、l井晓荣、张伟、夏毅、屈延。
今年33岁的刘先生(化名)最近工作比较忙,又逢公司晋升关键时刻,常常需要加班,可现在却不得不停下忙碌的脚步了。2周前,工作中的刘先生突然晕倒在地,全身抽搐。
这是怎么了?是最近劳累了?还是癫痫发作?刘先生为进一步查明原因,来到空军军医大学唐都医院神经外科癫痫中心王超教授门诊。经过各项全面检查,确定刘先生是癫痫发作,但是罪魁祸首却是颅内“左额叶的海绵状血管瘤”。治病要治本,王超教授建议进行“左额叶海绵状血管瘤+癫痫病灶切除术”,只有拔除病因,才能让刘先生今后远离癫痫。
基本病史:
患者,男,33岁。
1.出生及其他病史:顺产,无癫痫家族史,无脑炎史,无脑外伤史,存在热惊厥史。
2.发作史:术前2周,无先兆——全身强直阵挛发作,共1次。
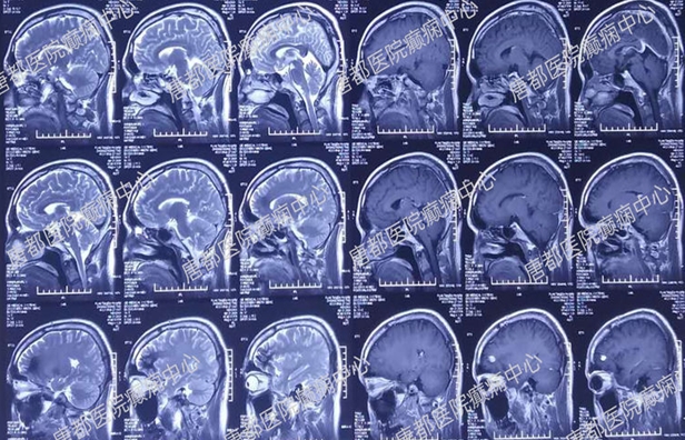
术前核磁检查:
左额叶海绵状血管瘤


脑电图检查:
间期:双侧额叶或左额少量尖慢波或尖波。


术后CT检查:


病理结果显示:

(左额叶)符合血管畸形伴局部海绵状血管瘤形成并血栓形成及机化,周围脑组织内胶质细胞增生,部分细胞增生活跃。
术后3个月无发作。
小科普:
脑海绵状血管瘤发病率约为0.1-0.5%,占脑脊髓血管畸形5-10%,最常见部位是额叶,其次是颞叶、顶叶、枕叶。70%脑海绵状血管瘤患者表现为癫痫发作,其中40%患者成为药物难治性癫痫。
脑海绵状血管瘤会导致癫痫发作的原因是:反复出血后血液降解产物引起临近脑皮质神经元兴奋性増高。
这种情况,外科是最有效的治疗方式。一般来说,切除范围越大疗效越好,单纯切除海绵状血管瘤疗效低于同时切除周围异常脑皮质。
患者病程越长疗效越差,所以建议早发现早治疗。