颅内血管疾病分类
- 先天发育异常
- 脑血管畸形
- 颅内动脉瘤
- 静脉及静脉窦闭塞
- 海绵窦综合征
- 脑出血
- 蛛网膜下腔出血
- 脑梗死
- 皮层下动脉硬化性疾病
- 烟雾病
一、先天发育异常
动脉:大脑前交通动脉(重复、缺如)、大脑前动脉(单支/三倍、A1段发育不良/缺如)、大脑中动脉(副大脑中动脉、重复)、大脑后交通(缺如、发育不良)、大脑后动脉(单/双侧胚胎型大脑后动脉),椎动脉(发育纤细、走形异常)








静脉: 发育性静脉异常是一种先天性静脉回流异常,通常无症状。组织学表现为单或多支扩张的髓质静脉汇集到一支中心静脉,而后流入静脉窦或深部室管膜静脉。
静脉窦:未发育和不发育常见
颅内静脉窦的发育程度在个体间差异较大,最常见的表现形式是成对的静脉窦左右两侧粗细不对称,尤其是双侧横窦及乙状窦。优势侧静脉窦往往较为粗大,且以右侧多见。此外,优势侧横窦多直接与上矢状窦相连,而非优势侧往往发育不良,甚至完全不发育,以左侧横窦常见,常伴有左侧乙状窦及颈内静脉窦不发育。



二、脑内血管畸形
- 动静脉畸形(AVM ): 迂曲扩张的 供血动 脉与 引流静脉 之间无正常毛细血管,而是通过 畸形的血管 袢 直接相通,形成 异常的血管团 。畸形血管易破裂出血,由于动静脉短路,周围脑组织因缺血而发生萎缩,称为“盗血”现象。多见于大脑中动脉分布的脑皮质,也可发生于侧脑室脉络丛、硬脑膜、软脑膜、小脑及脑干。主要临表:出血(蛛网膜下腔出血及脑实质出血)、癫痫、头痛。
- 脑血管造影(DSA)及CTA :是诊断AVM的可靠办法,可以显示动静脉畸形血管团、明显增粗迂曲的供血动脉及引流静脉。
- CT检查:平扫表现为局灶性团块状或点状混杂密度区、形态不规则,边界不清,可见钙化;增强扫描病灶区呈蚯蚓状、团块状强化,有时可见点线状迂曲的扩张血管影,其周围可见粗大的供血动脉及迂曲扩张的引流静脉。可出现局限性脑萎缩,无占位效应、无脑水肿。
- MRI检查:畸形血管团由于流空效应,在T1WI及T2WI上均无信号,供血动脉表现为低或无信号。不伴有出血时,病灶无占位效应及周围水肿,邻近脑组织呈萎缩。
- 鉴别诊断: 海绵状血管瘤在T1WI、T2WI上均混杂信号,境界清楚病灶内无流空效应,T2WI病灶周围可见低信号含铁血黄素环,使病灶呈“爆米花”状,具有特征性,增强扫描病灶轻度-明显强化(与病灶内血栓及钙化量多少有关,血栓少则强化明细)。


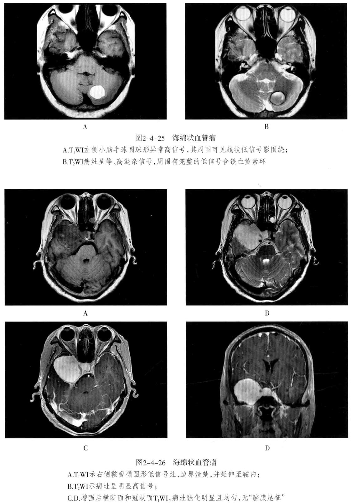
- 海绵状血管瘤 : 病变主要由不规则、大小不等的薄壁海绵状血窦组成,其间有增生的胶质组织,没有正常的神经组织,可反复少量出血,常有不同程度的钙化和含铁血黄素沉着。可发生于脑内(常见于大脑半球各叶)、脑外(常见于颅底)。常无任何症状,或表现为癫痫等。
- 脑血管造影:显示率较低,静脉期有密集的静脉池和局部病灶染色是此病的两大特征。
- CT检查:类圆形高密度或稍高密度病灶,边界清楚,病灶内密度多数不均匀,常伴有明显钙化,呈斑点状或斑块状。病灶周围一般无水肿。增强扫描出现不同程度强化。
- MRI检查:T1WI多呈高信号、稍高信号或混杂信号,T2WI上呈高、低混杂信号,典型者呈“爆米花”状,境界清楚,病灶周围有含铁血黄素沉积,T2WI是表现为低信号环。病灶内及周边无流空血管影。病灶无占位效应,周围脑组织无水肿。大量出血时,表现为病灶短期明显增大,可有占位效应。增强后脑内者病灶可轻度强化,亦可无强化。脑外者多于颅底鞍旁,T1WI低信号,T2WI明显高信号,边界清楚,增强后明显强化且强化均匀。


- 静脉畸形 : 主要包 括 静脉性血管瘤 和 大脑大静脉畸 形(Galen静脉瘤) 。
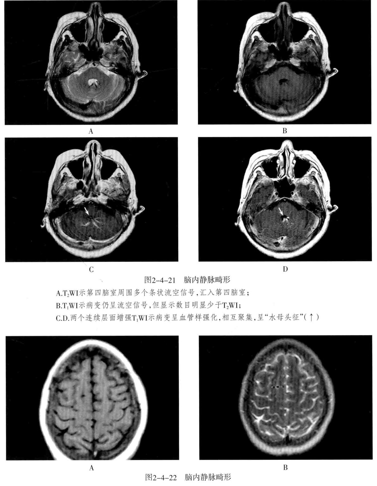
- 脑静脉性血管瘤 极为少见。静脉性血管瘤是一种组织上完全由静脉成分构成的脑血管畸形,任何年龄均可见,病理特点为许多放射状排列的扩张髓静脉连接成一条或多条扩张的经皮质或室管膜下引流静脉,最后汇入静脉窦。常发生于 额叶及小脑,以第四脑室周围多见 ,常伴发其他血管畸形,最常见为海绵状血管瘤。
- CT表现:平扫显示不清,周围无脑水肿,有时可见出血等改变,CTA典型表现为额叶或小脑许多细小髓静脉放射状汇入一条或几条引流静脉,最后汇入静脉窦,呈“水母头征”。
- MRI表现:可因病灶大小及血流速度不同而在MRI上呈多种信号,T1WI、T2WI多呈流空信号,少数由于血流缓慢也可呈略高信号,FLAIR呈低信号。增强后髓静脉及引流静脉明显强化,典型者呈“水母头征”,引流静脉可走向脑表面而引流至静脉窦,或走向脑室引流至室管膜静脉。MRV可显示引流静脉及其引流情况,但不显示髓静脉,SWI序列对本病显示很敏感。病灶周围无脑水肿表现,有时可见出血。
- 鉴别诊断:动静脉畸形:由供血动脉、畸形血管团、粗大引流静脉构成。海绵状血管瘤:多可见不同时期反复出血的产物,周围脑实质多有脑萎缩改变,MRI呈爆米花样改变为特征,周边见含铁血黄素环,增强后轻度或无去强化。



Galen静脉瘤是由于动-静脉短路,大量血流进入大脑大静脉,造成该静脉瘤样扩张所致。多见于儿童,特别是婴幼儿。典型的Galen静脉瘤包括明显扩张的Galen静脉和扩大迂曲的引流静脉。因动静脉短路造成盗血现象,可引起相应区域脑缺血。
Galen发生于Galen静脉区的特定部位,较大的Galen静脉瘤压迫中脑,导致中脑导水管闭塞,引发梗阻性脑积水。
脑血管造影、MRV/A:可直接显示扩张的瘤体,同时可见扩张的颈动脉或椎动脉分支直接与Galen静脉短路。CTA可见扩张的瘤体、供血动脉、引流静脉及扩张的静脉窦。
CT平扫:大脑大静脉区可见边界清楚的类圆形、三角形的高密度影,密度均匀,边缘常可见点状线状钙化。可见三脑室及其以上脑室系统积水,增强后均匀强化,有时可显示增粗的供血动脉和引流静脉及扩张的静脉窦。
MRI表现:是确诊Galen静脉瘤最好的方法;大脑大静脉区边界清楚的类圆形或三角形的信号不均的病灶。增强呈血管样明显强化,血流瘀滞表现为T1WI等或低信号、T2WI稍高信号。

三、颅内动脉瘤
定义:颅内动脉局灶性异常扩大。
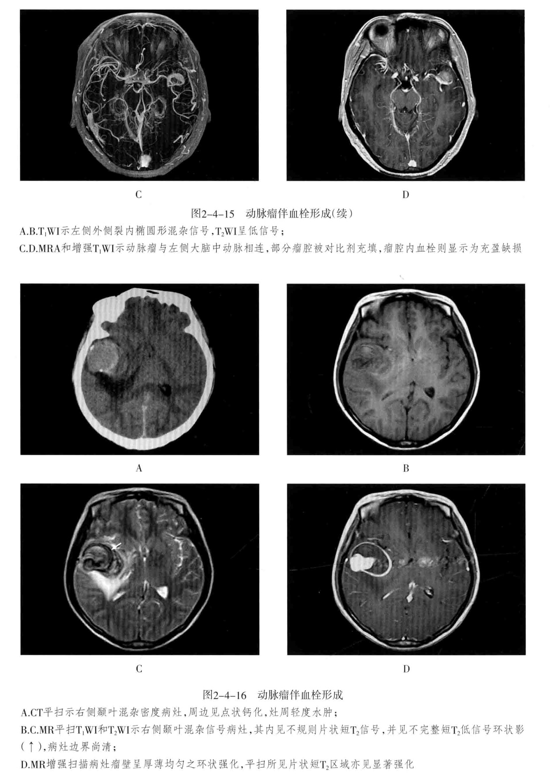
- CT平扫为圆形高密度影,边缘清楚、增强有均匀强化,CTA或MRA可明确显示动脉瘤及其与载瘤动脉的关系。瘤样凸起。
- 动脉瘤的瘤腔在T1WI、T2WI上均呈低信号,动脉瘤内有涡流时,也可产生轻微的不均质信号;瘤内血栓显示为高低相间的混杂信号。



四、海绵窦综合征
- 肿瘤性病变: 垂体大腺瘤、颅咽管瘤、脊索瘤、三叉神经瘤、鼻咽癌等颅底肿瘤使海绵窦增宽变形、密度和信号异常,颈内动脉被包绕。
颈内动脉海绵窦瘘: 定义:指海绵窦段的颈内动脉及其分支破裂,与海绵窦之间形成动静脉的异常沟通所引起的一组神经眼科综合征。75%以上由外伤性引起,多为单侧发病,眼部征像多出现在患侧。
- CT表现为海绵窦增宽,增强扫描海绵窦明显强化,眼上静脉增粗扭曲。CTA可清楚显示扩张的眼上静脉和海绵窦。眼外肌充血增粗和眼球突出。
- MRI:海绵窦扩大,海绵窦内血管影增多,且迂曲、粗大、不规则。同侧眼上静脉明显扩张,呈迂曲的流空信号。眼外肌增粗充血和眼球突出。需与海绵窦肿瘤性病变鉴别。
- DSA检查:颈内动脉海绵窦段、海绵窦及增粗的眼上静脉 于 动脉期同时显影;


- 海绵窦血栓性静脉炎: 多因头面部化脓性病灶引起,致病菌通过静脉反流至海绵窦而发病。MRI可显示静脉流空效应消失,静脉或静脉窦管腔内出现异常高信号影,是诊断颅内静脉窦血栓形成的直接征象。
五、静脉及静脉窦闭塞
多由血栓形成所致,常继发于面部或全身感染、严重脱水,脑外伤、产褥期、脑肿瘤侵犯及血液病等。常引起脑静脉回流障碍,所属引流区发生脑水肿、脑梗死、脑出血。
CT表现:平扫可见闭塞的静脉窦和或脑静脉呈条状高密度,称为“带征”的特征性表现。相应区域可见低密度水肿和脑梗死。增强后静脉窦或脑静脉充盈缺损,血栓不强化,可见“空三角征”。CTA可直接显示静脉窦和脑静脉闭塞的位置和范围及侧支循环通路。MRI上静脉窦流空效应消失。


六、脑出血:脑实质内的出血
- 分外伤性和非外伤性,非外伤性包括——高血压性脑出血、脑血管畸形出血、脑肿瘤破裂出血、脑梗死或脑血管栓塞后再灌注所致的出血性脑梗死等。
七、蛛网膜下腔出血:颅内血管破裂后血液流入蛛网膜下隙
- 分外伤性和非外伤性,非外伤性包括——颅内动脉瘤(最常见病因)、高血压动脉硬化和颅内血管畸形等导致血管破裂引起。
- 影像表现:CT:大脑镰、小脑幕密度增高,脑沟、脑裂内线样高密度影
- MRI:急性期不敏感,以FLAIR显示较佳,呈高信号;亚急性期表现为蛛网膜下隙内局灶性信号异常,FLAIR、T1WI、T2WI均为高信号。慢性期在T2WI上出现低信号为特征。

八、脑梗死:是一种缺血性脑血管疾病,常见有动脉闭塞性梗死和腔隙性脑梗死。主要病因为脑的大或中等管径的动脉发生粥样硬化,继发血栓形成,导致管腔狭窄、闭塞。以大脑中动脉闭塞最常见。脑梗死发生4-6小时脑组织发生缺血与水肿,继而脑组织出现坏死。1-2周后脑组织水肿逐渐减轻,坏死脑组织液化,梗死区出现吞噬细胞浸润,清除坏死组织,同时有胶质细胞增生和肉芽组织形成,8-10周后形成含液体的囊腔即软化灶。少数缺血性脑梗死在发病24-48小时后可因再灌注而发生梗死区内出血,转为出血性脑梗死。常见症状为偏瘫和偏侧感觉障碍、偏盲、失语等。
- CT表现为脑组织内低密度灶,梗死后2-15天为脑水肿高峰期,此时可有脑水肿表现;梗死1个月以后,相邻部位的脑室、脑池或脑沟扩大,出现脑萎缩表现。增强后梗死区可出现不均匀强化,呈脑回状、条状、环状或结节状强化。梗死区强化是由于血脑屏障破坏、新生毛细血管和血液灌注过度所致。
- MRI在脑梗死6小时之内,由于细胞毒性水肿,DWI可发现高信号,此后发生血管源性水肿、细胞死亡、髓鞘脱失、血脑屏障破坏,T1与T2弛豫时间延长。梗死后期,小的病灶不显示,表现为脑萎缩,大的病灶表现为软化灶。





九、皮层下动脉硬化性疾病
又称为Binswanger病、进行性皮质下血管性脑病。为老年人在脑动脉硬化基础上的大脑半球白质弥漫性脱髓鞘性脑病。大多数发生在50岁以上。主要累及侧脑室周围、半卵圆中心等皮质下脑深部白质,多为双侧性,常伴有腔隙性脑梗死、脑萎缩。临床表现为进行性痴呆。病情可缓解,并反复加重。
- CT平扫表现为侧脑室周围及半卵圆中心脑白质可见斑片状低密度影,以侧脑室前角、后角周围最为明显,严重者大脑各叶白质全部明显累及,双侧对称性分布。可伴有不同程度脑萎缩,常合并基底节区、丘脑区多发性腔隙性梗死灶。
- MRI表现为中央半卵圆区及双侧侧脑室旁,尤以前角附近明显,侧脑室周围病灶常融合成不规则带状,且双侧比较对称。T1WI低信号,T2WI高信号,无占位效应。

十、烟雾病
又称为脑底异常血管网症、脑底动脉环闭塞症。是以脑内虹吸段至大脑前、中动脉近端狭窄或闭塞,同时伴有广泛侧支循环形成,导致颅底出现异常毛细血管网为特征的脑血管病。好发年龄10岁以下和40-50岁。临床表现为脑缺血和脑出血两大类。儿童多为颈内动脉系统缺血性改变,成人多为颅内出血。
- CT平扫表现为双侧额叶、顶叶及颞叶皮质或皮质下区多发脑梗死及脑萎缩改变,也可以出现颅内出血。增强有时可见到颈内动脉及大脑前中动脉粗细明显不对称,或者充盈不良,甚至不显影。可显示基底池及基底节区的侧支循环网,大多表现为为不规则的扭曲成团的强化血管影。
- MRI表现为脑缺血引起的T1WI低、T2WI高信号脑梗死区,颈内动脉及大脑中动脉主干的“流空效应”变弱或消失,异常血管网在T2WI上表现为基底节区和鞍上池内多发细小血管影,呈网状低信号或无信号区。皮质侧支循环形成时,增强扫描可见皮质血管增多、扩张、强化、呈“常春藤征”。
- MRA可直接显示颈内动脉、大脑前、中动脉狭窄或闭塞,于颅底见烟雾状异常血管网,常可见到颈外动脉和椎-基底动脉分支代偿性增粗。
- 脑血管造影是确诊烟雾病的主要检查方法,可显示狭窄或闭塞的动脉及异常扩张的血管网。


