“叮呤呤……”电话铃声突然急促响起。
问 “李主任,我是你的患者李某某,这几天咳嗽,咳痰,胸闷,气喘明显加重了,还有发烧,怎么办,是不是肿瘤复发了?”
答 “先不要急,不要慌,尽快返院复查。”
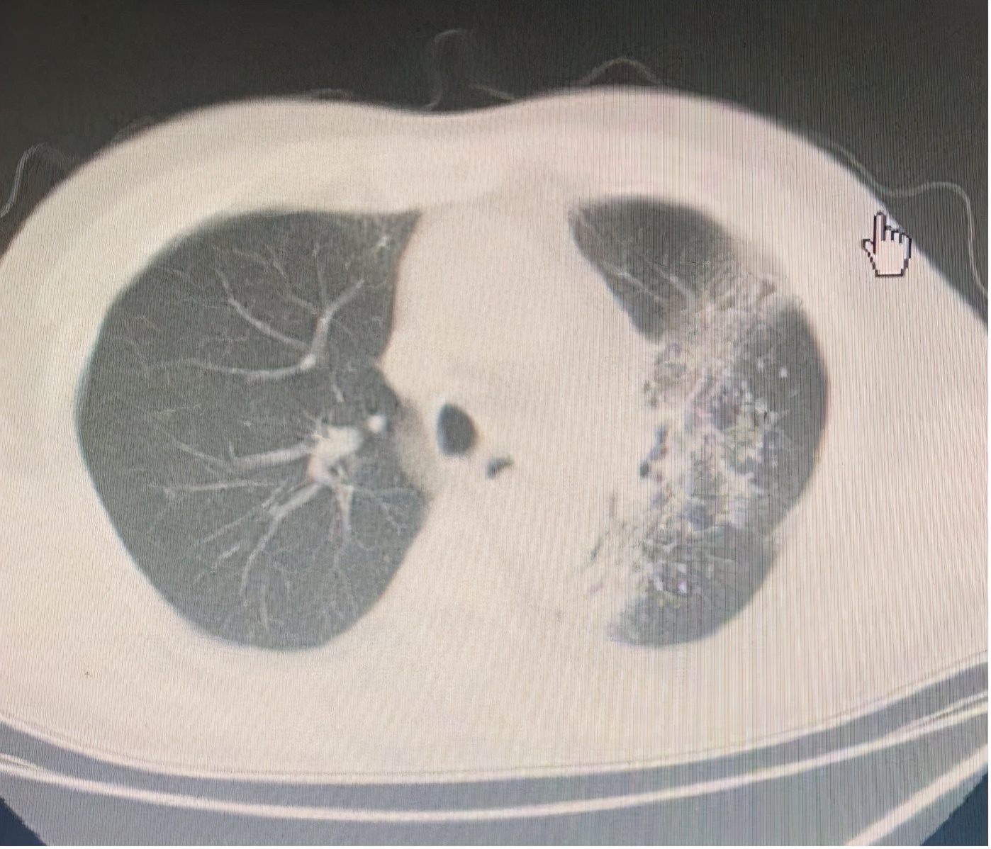
李某某今年56岁,因反复咳嗽咳痰、胸闷3月余于2020年4月来我院肿瘤科住院。胸部增强CT:“左肺中央型肺癌并左上叶阻塞性不张,纵隔淋巴结肿大”。电子支气管镜见左上叶新生物,病理及免疫组化:(左上新生物)“恶性肿瘤,符合鳞状细胞癌”。基因检测:未见热点基因突变,PD-L1阴性。予以化疗3程后,咳嗽,咳痰,胸闷等症状好转,左上肺肿瘤缩小,2取得了较好的治疗效果,2020年06月予以胸部放射治疗,治疗顺利。2020年08月提示左上肿块缩小,同时可见磨玻璃样影及小片、索条状影,与放射野相仿,考虑急性放射性肺炎。给予抗炎治疗后,左肺磨玻璃样影明显吸收。然后继续抗肿瘤治疗。


两张图片对比分析,典型的射野途径上产生的放射性肺炎,患者经抗炎治疗后好转。
肺癌综合治疗过程中,放射治疗是重要手段之一,少数患者难免会出现放射性肺炎。
放疗是局部治疗,放疗机发射放射线,汇聚在肿瘤靶区。虽然当今的放疗设备与二维放疗时代大有改进,但射线要经正常组织才能到达肿瘤,必须要经过一定的路线,会对途中的组织造成损伤,包括皮肤、食管以及正常的肺等,导致放射性损伤,并产生无菌性炎症,所以放疗有一定的风险。随科技进步越来越多的精准放疗方式应运而生,比如TOMO刀、射波刀,质子重离子等,其中碳离子放疗是目前最理想的放疗技术,但其治疗费用昂贵。
临床上放肺的发生从放疗结束后时间不等,早期的放肺发生在放疗后的1-3月,甚至放疗中发生,主要表现为放射性肺炎。后期则发生于放疗后数月或数年,主要表现为肺纤维化。其发生机制尚不完全明确,目前研究发现放肺的发生主要与电离辐射产生的氧自由基损伤细胞以及炎症因子的介导相关。
放肺发生后,病人表现为咳嗽、咳痰、胸闷等症状,如果损伤范围较大,病人有可能出现呼吸困难,甚至发生呼吸衰竭。一旦出现放肺,肺部容易继发病毒、细菌或真菌感染,使咳嗽、咳痰症状加重或出现发热。放肺的发生概率及症状轻重因人而异。肺损伤发生程度与放疗剂量、照射方法、放射野范围以及照射速度密切相关。从病人角度来看,如果一个人对放射线敏感性较高,以前长期抽烟、原肺功能的状态比较差,那么发生放肺概率更高,症状更重,当然放疗实施前,临床医生、放疗物理师、技术员会评估讨论。
对于已发生的放肺,主要通过激素、抗生素等抗炎治疗,并输注维生素促进上皮细胞修复,吸氧、祛痰、支气管扩张剂的使用也可明显改善患者症状。如果急性放射性炎症未完全控制,会逐渐慢性出现肺纤维化,而肺纤维化是一种不可逆的损伤,与患者后期生活质量密切相关,所以,放疗前计划的制定和评估极其重要。患者一定要注意放射治疗后的半年内,注意保暖、出门戴口罩,减少有害物质吸入,远离二手烟,并避免感冒,因为细菌感染是很强的诱发放射性肺炎的因素。
放疗医生、物理师、技术员对放射性肺炎的认识要充分,其中放疗计划的评估显得尤其重要。当今,肺癌治疗以手术、放化疗、靶向、免疫及抗血管生成为主的综合治疗,其中放疗是重要治疗手段之一,据统计全球70%肿瘤患者需要接受放疗,其中40%患者靠单纯放疗获益。患者及家属对放射性肺炎也要有所了解,有客观的认识。