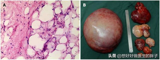
谈起脂肪瘤这个问题,首先想到的不是恶变与否,而是想起了刚毕业的时候和我们科的老主任做的手术,那个患者就是一例多发脂肪瘤,手术做了五个多小时,不是因为难,而是太多了!

首先和大家科普下脂肪瘤
脂肪瘤从名字上就可以知道这种肿瘤主要来源是脂肪组织,可以说脂肪瘤是在人群当中非常常见的一种良性肿瘤,数据统计,脂肪瘤的发病率为1%,实际上一般1000人中会有一人存在脂肪瘤。
脂肪瘤具体的成因到现在也没有一个定论,但是专家给出了一些高危因素:肥胖人群、糖尿病患者、胆固醇高的患者、肝病患者比较高发。遗传因素也起着至关重要的作用,但家族性多发脂肪瘤病(FML)比较少见。另外现在也有研究推测脂肪瘤与创伤有着一定的关系【1】。
文章一开始那例多发脂肪瘤的患者就是有非常不好的饮食习惯,他每天必须半斤到一斤的烈性高度白酒、必须吃白肉、重来不运动、每天2-3包烟,可以说是“五毒俱全”的生活习惯了,导致了其多发脂肪瘤(也不排除遗传因素)
●脂肪瘤可以生长在人身上的任何部位,比较常见的是颈、肩、背、腰部的皮下脂肪内,还有比较少见的脂肪瘤生长在内脏附近。

通常情况下,脂肪瘤一般在1~2厘米左右大小,也有的生长在肩背部的脂肪瘤比较大,有的甚至超过10厘米。
在一般情况下,脂肪瘤不会诱发任何的症状,仅仅是在美观上对患者造成困扰。深层脂肪瘤可能会对内脏或神经造成压力,并引起相关症状。例如一个人的脂肪瘤或接近肠道可能会出现恶心,呕吐,和便秘。另外如果脂肪瘤生长在浅表的皮神经周围刺激到了神经也会导致疼痛。
●脂肪瘤也会生长在脊柱内,这种情况以往核磁虽然有了体现,但是由于对这种疾病的认识过浅,往往容易被临床医生和操作医生所忽视,这种情况通常被成为:硬膜外脂肪瘤或特发性硬膜外脂肪增多症,胸椎发生比率较高,占60%,腰椎略少,占40%左右,这种疾病多见于常年使用激素人群和超重人群【2】。

说句题外话,对于这种疾病最开始本人也是没有意识到的,很多遇到的患者存在这种疾病因为没有认识而忽视了,后来也是在文献当中遇到了这种疾病才开始重视起来。之后在门诊遇到了一位父亲,他拿着孩子的腰椎核磁片子来复诊,谈及了这个疾病,为什么做腰椎核磁呢?因为孩子11岁了还是尿床,做了各种检查找不到病因,后来几经转折找到了一位专家,发现了椎管内特别严重的脂肪增多,怀疑椎管内脂肪瘤,手术切除了脂肪瘤以后,孩子的问题消失了。(说实话这次聊天令我很难忘,医生真的有必要时刻拓展自己的医学知识,有的时候一张核磁片子就摆在那里,能不能发现问题是真正的问题!)
如何初步诊断脂肪瘤呢?
当您在体表的皮肤下发现比较柔软的肿块,表面光滑、触摸表面的皮温不高,而且质地比较柔软,推动它会略微的活动,而且不会诱发明显的疼痛,那么就可以初步的怀疑是存在着脂肪瘤。
通常医生会给患者做超声的检查,可以简便快捷的明确是否可疑为脂肪瘤。

最准确的办法是将肿物切除,进行病理学检查,因为病理才是诊断肿物性质的金标准,但是如果没有明确的症状,完全可以观察。
什么时候需要治疗呢?
当脂肪瘤出现下列一些变化的时候,建议您一定要及时到医院去就诊。
●变大或突然迅速增长 :突然或迅速的增大,通常都意味着脂肪瘤性质的改变所以一定要及时去医院进行手术切除治疗明确病理。

●疼痛:像前面提到的,如果脂肪瘤位于神经周边并刺激到了神经,导致患者出现了疼痛,就是需要将其解决掉的时机了。
●变红或热:通常肿物变红或变热说明脂肪瘤内部发生了感染,这种情况就需要手术将其切除或者是切开引流。
●变成坚硬的或不可移动的肿块:一般良性的肿瘤,活动度都是比较好的,而且比较柔软,而一旦脂肪瘤开始变得坚硬或者是不能移动,说明脂肪瘤有可能发生了性质的改变,需要手术切除。
● 引起上覆皮肤的可见变化:一般脂肪瘤在皮肤的表现是比较光滑的,但是如果皮肤表面出现了明显的改变,比如变得粗糙,而且出现凹凸感,或者是橘皮样的外观,需要手术切除之,明确病理变化。

脂肪瘤的治疗办法
对于没有症状的脂肪瘤不必治疗,这是共识。当出现了上述一些异常改变以后,或者肿物过大影像美观,可以考虑手术切除肿物【3】;


目前还有另外一种治疗小于10厘米的脂肪瘤的办法, 就是吸脂术【4】,但是限于医疗美容手术,开展较少,而且手术风险也不小,目前也存在有因为美容等原因进行吸脂术后出现脂肪瘤的相关报道【5】,所以爱美人士在选择吸脂术时一定要慎重!

右肩部巨大脂肪瘤吸脂术治疗
最后一个问题:脂肪瘤是否会恶变呢?
这个问题其实是一直存在争议的,大部分的学者认为脂肪瘤是一种良性肿瘤不会恶变。然而在临床上也确实存在着一种疾病,称之为脂肪肉瘤。也在学界被拿出来,证明脂肪瘤是可以恶变的。

但是后来经过论证认为脂肪肉瘤在疾病的症状和表现上与脂肪瘤类似,也就是说当患者和医生发现肿物的时候,并不能明确的知道肿物是脂肪瘤还是脂肪肉瘤,就像我们看到了两个鸡蛋在皮儿上都是一样的,但是一个是好鸡蛋,一个是臭鸡蛋,如果不将壳打开,我们根本就不能明确鸡蛋的好坏。脂肪瘤的问题上也是这样,我们在体表上都能看到是一个肿物,两者并不存在明显的区别,只有将其手术切除,做病理才能明确是否为恶性肿瘤。也并不能证明脂肪肉瘤是脂肪瘤转化而来的【6】。

目前认为如果肿物部位出现疼痛、不适以及肿物超过5厘米时建议要进行病理检查排除脂肪肉瘤可能性,可以切除部分肿物的被膜或者完整切除肿物后进行病理学检查,明确是否是脂肪肉瘤。
所以目前来看,脂肪瘤还是不会恶变的,大家可以不必过于担心。
目前为什么会得脂肪瘤没有一个明确的解答,但是我们知道了一些高危因素,建议朋友们一定要控制体重,不要使自己的血脂过高,尤其是已经有脂肪瘤的朋友们,一定要严格的控制饮食,尽量不要饮酒、吸烟以及摄入大量的高油脂的食物,严格的控制饮食、减轻体重有减小脂肪瘤的可能。
目前的研究,脂肪瘤并不会恶变,脂肪肉瘤也是极少的一种存在,所以请大家不要担心。如果大家还有其他的疑惑,可以在下方留言,大家共同探讨。
参考文献
【1】Signorini M, Campiglio GL. Posttraumatic lipomas: where do they really come from?. Plast Reconstr Surg. 1998 Mar. 101(3):699-705.
【2】Borstlap AC, van Rooij WJ, Sluzewski M, Leyten AC, Beute G. Reversibility of lumbar epidural lipomatosis in obese patients after weight-reduction diet. Neuroradiology 1995;37:670-3.
【3】Al Absi E, Karim T, Colterjohn N, et al. A novel surgical approach to lipomatous tumours of the deltoid region. Sarcoma. 2010. 2010:495834.
【4】Al-basti HA, El-Khatib HA. The use of suction-assisted surgical extraction of moderate and large lipomas: long-term follow-up. Aesthetic Plast Surg. 2002 Mar-Apr. 26(2):114-7.
【5】Abner ML. Lipoma of the abdomen after suction lipectomy. Plast Reconstr Surg. 2001 Jan. 107(1):293.
【6】Yoshiyama A, Morii T, Tajima T, Aoyagi T, Honya K, Mochizuki K, et al. D-dimer levels in the differential diagnosis between lipoma and well-differentiated liposarcoma. Anticancer Res. 2014 Sep. 34 (9):5181-5.
我是坚持用简单语言解释复杂疾病知识的谢新辉,码字不易,如果您赞同我的观点,请帮忙点个关注或点个赞吧。如果您或者是您的家人朋友正在因为脂肪瘤的问题而有所担心,请把这篇文章转发给需要的他们吧,谢谢了!

#清风计划# #真相来了# #头条辟谣#