出品:科普中国
制作:欧阳浩淼(中国科学院微生物研究所)
监制:中国科学院计算机网络信息中心
为了应对2019年底出现的新冠病毒引发的肺炎疫情,目前各地正紧张有序开展抗"疫"工作。根据以往经验,在这一阶段,真菌感染的风险也不容忽视。

新冠状病毒电镜图(图片来源:国家微生物科学数据中心http://nmdc.cn/#/nCoV)
新冠肺炎和真菌感染有什么关系?
根据《柳叶刀》杂志1月30号发表的文章,武汉金银潭医院的专家对99例新型冠状病毒肺炎患者的回顾性分析中发现,新型冠状病毒肺炎重症患者 有 合并真菌感染的情况。在99例患者中,可疑合并真菌感染者5例,高于合并细菌感染者(1例)[1]。
实际上,这并不是真菌感染第一次进入我们的视线。
基于2003年SARS经验和重症流感继发侵袭性曲霉感染的案例报道,病毒感染后会显著提高并发或继发真菌感染的可能性,并显著提高病死率。
2009年,日本发现一种新病原真菌——耳念珠菌,该菌株具有多重耐药和血液感染致死率高的特点,被称为"超级真菌"。

耳念珠菌扫描电镜图 (图片来源:参考文献2)
2019年,《纽约时报》报道称,"超级真菌"在美国多地爆发,感染者会有发高烧症状,并伴随各种器官衰竭、呼吸衰竭等表现,近50%感染者在90天内身亡。美国疾病控制与预防中心(CDC)已将耳念珠菌列入"紧急威胁"名单。

超级真菌在美国爆发(图片来源:http://qimg.hxnews.com/2019/0411/1554946740846.jpeg)
为此,北京大学第一医院的专家呼吁:应高度警惕新型冠状病毒肺炎继发侵袭性真菌感染,并针对新型冠状病毒肺炎合并真菌感染进行严密监测[3]。
细菌、真菌、病毒,傻傻分不清楚
很多人分不清细菌、真菌和病毒。简单来说:细菌没有核膜但是有细胞壁,真菌既有核膜又有细胞壁,而病毒没有细胞壁,只有核酸分子和蛋白质组成的外壳,而且病毒是不能自身复制的。
真菌作为真核生物体,比细菌更为复杂。尽管世界上已命名的真菌大约三十万种,其中与疾病相关的不足500种,而真正能感染免疫健全个体的不足50种。部分环境中的真菌可以成为条件致病菌,能够在免疫功能受损的宿主体内产生严重或致命的疾病。且由于真菌感染临床症状不典型,与病毒性肺炎难以鉴别,其鉴定工作也是临床微生物学家面临的严峻考验。
真菌感染的临床地位日益突出,已成为医院感染的重要组成部分,侵袭性真菌感染在呼吸科越来越常见。有研究者提示,深部真菌感染如果不及时治疗,就有可能出现"一着不慎,满盘皆输"的结果。
如何判断是否是真菌感染?
根据真菌侵犯人体的部分,真菌感染通常分为四类:浅表真菌病、皮肤真菌病、皮下组织真菌病及侵袭性真菌病。
浅表真菌病和皮肤真菌病又合称为浅部感染(Superficial Mycoses),指的是皮肤最外层的感染,例如手、足、甲癣等,主要感染的是皮肤癣菌病和浅表念珠菌病,大多感染轻微容易诊断。

足癣 (图片来源:veer图库)
皮下真菌病(Subcutaneous Mycoses),指的是真皮、皮下组织和骨骼的真菌感染,往往经过外伤发病,通过血液或淋巴系统引起广泛传播。通常较为少见,只发生在全身衰竭的病人体内。
侵袭性真菌病(Invasive Fungal Disease),常在各种器官移植,获得性免疫缺陷综合征 (AIDS)等免疫性缺失病人中发生,起源于肺,可以散播到全身器官。侵袭性真菌病每年导致大约150万人死亡,迫切需要建立新的抗真菌治疗方法。

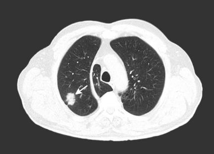
侵袭性真菌病肺部影像学表现(真菌感染区呈现团块状高密度阴影)(图片来源:veer图库)
抗击新冠病毒肺炎,要警惕肺部条件致病真菌感染
肺部条件致病真菌感染最常见的病原真菌为曲霉,念珠菌和隐球菌。

从左向右依次为烟曲霉、念珠菌和新生隐球菌 (图片来源:参考文献2、4)
肺部条件致病真菌感染通常发生在有严重基础疾病的患者,因此有着预后差, 病死率高的特点:念珠菌病病死率30%-40%,曲霉病病死率高达 50%-100%。
在2003年的严重急性呼吸综合征(SARS)疫情中,不少患者由于病情危重或不恰当地使用过量糖皮质激素造成真菌感染,且诊断不及时,导致全身真菌播散而死亡[5]。
同时,在长时间与人类斗智斗勇的过程中,人类病原真菌正在不断突破自己的"上限",条件致病菌新生隐球菌在中国出现了感染免疫健全人群的倾向[6]。近年来,深部真菌感染率呈现逐年递增的势态。据我国医院感染监控网分析, 1993-2000年间医院真菌感染率占比从13.9%上升24.4%[7]。
治疗真菌感染难度在哪?
对于真菌感染,如能充分利用实验室检测手段,早期快速精确诊断,及时进行治疗,可以有助于提高患者生存率并改善患者预后。但是,目前真菌的检测仍缺乏一种简便、快速、敏感、特异的诊断方法。
常见的真菌感染的检测方法有:血浆 (1-3)-β -D-葡聚糖 (BDG)测定、D-阿拉伯糖醇测定、聚合酶链反应(PCR)。在检测过程中,同样存在着挑战:
首先,真菌感染后的症状和体征没有特异性,往往易被原发病或已存在的细菌、病毒感染所掩盖。
其次,真菌感染的影像学改变呈多形性,经常难与结核杆菌、病毒感染区分。
同时,病原体检测不敏感,传统真菌培养的阳性率较低,也难以确定是污染、定植还是侵袭。
真菌感染的治疗以及抗真菌感染药物的消耗已成为住院患者医疗费用支出的重要组成之一。但另一方面,抗真菌治疗药物十分有限,且现有的任何一种抗真菌药都不能对所有真菌具有抗菌活性:
例如,克柔念珠菌对氟康唑天然耐药,对丝状真菌不具抗菌活性;
伊曲康唑、伏立康唑对毛霉无效;
两性霉素 B对葡萄牙念珠菌 、土曲霉、毛霉抗菌活性差;
卡泊芬净对隐球菌 、镰刀霉、接合霉无效。
此外,由于对真菌感染的不恰当预防性治疗可能导致真菌产生不同程度的耐药性,耐药菌株不断增多。有报道,27.3%的菌株对氟康唑耐药,19.5%的菌株对两性霉素 B耐药,16.7%的念珠菌对伊曲康唑耐药。真菌的耐药性问题已成为免疫缺损病人治疗过程中遇到的主要问题,尤其是放疗化疗、器官移植以及人类免疫缺陷病毒(HIV)感染的患者。
真菌感染带来的威胁,是全球性的大问题。要想打赢与真菌对抗的这场战役,需要多学科多方位的协同作战,加强国际合作交流,提高对公众的科普教育,建立创新人才团队。
有关病原性真菌规范化的分子检测、耐药性分析以及传播规律研究还有很大空间,同时对其感染机制的深化研究和新药开发也是当务之急。
参考文献:
1. Chen N., et al. Epidemiological and clinical characteristics of 99 cases of 2019 novel coronavirus pneumonia in Wuhan, China: a descriptive study.Lancet. 2020. pii: S0140-6736(20)30211-7. doi: 10.1016/S0140-6736(20)30211-7.
2. Yue et al. Filamentation in Candida auris, an emerging fungal pathogen of humans: passage through the mammalian body induces a heritable phenotypic switch.Emerging Microbes & Infections.2018.7:188. doi: 10.1038/s41426-018-0187-x.
3. 【警惕】新型冠状病毒肺炎继发侵袭性真菌感染. 2020. 公众号"医学真菌学术交流"。
4. Ouyang et al., Aspergillus fumigatus phosphoethanolamine transferase gene gpi7 is required for proper transportation of the cell wall GPI-anchored proteins and polarized growth.Sci Rep. 2019. 9(1):5857. doi: 10.1038/s41598-019-42344-1.
5. 刘惠媛等. 12例 SARS患者死亡危险因素分析.中国危重病急救医学.2003.15:526-528.
6. 白向征等. 病原真菌与"协同健康". 2019. 公众号"中科院之声".
7. 钟南山等. 深部真菌感染:新的挑战与展望.中华结核和呼吸杂志. 2006. 29(5):289-290.

文章仅代表作者观点,不代表中国科普博览立场