
巧克力囊肿
巧克力囊肿介入硬化治疗已是临床上治疗巧克力囊肿成熟技术,临床疗效确切。目前我科正在进行CT引导下巧克力囊肿硬化治疗对卵巢功能及后续妊娠方面影响的临床研究,将为受试者减免部分手术费用。
入选标准:
- 年龄在18~40岁,经相关检查诊断为巧克力囊肿者,排除卵巢良恶性肿瘤者;
- 彩超等检查显示卵巢巧克力囊肿直径≥5cm以上,且一侧卵巢为单发囊肿者;
- 可合并其他部位子宫内膜异位症者(如子宫腺肌症、盆腹腔子宫内膜异位症);
- 既往经妇科药物保守治疗无效或者复发者;
- 不愿意接受经阴道超声介入硬化治疗者(如未婚未育者);
- 不愿意接受妇科手术或者腹腔镜手术切除/剔除卵巢囊肿治疗者;
- 既往行妇科手术或者腹腔镜手术切除/剔除卵巢囊肿治疗后复发者;
- 术前受试者愿意并签署手术知情同意书(最终能否入选由医生判断);
- 受试者意愿接受、配合治疗后定期随访工作(如定期复查彩超及抽血化验复查)。

何为巧克力囊肿?
卵巢是子宫内膜异位症是最常见的类型,俗称为“巧克力样囊肿”,占所有子宫内膜异位症患者的17%~44%。巧克力囊肿形成机制不明,主流认为为子宫内膜移行异位至卵巢,亦有推测由多能干细胞、卵泡或卵黄囊等演变而来。文献报道巧克力囊肿对卵巢储备功能影响不明确,仅单侧、无不育不孕病史的育龄期妇女仍具有较高的自然受孕率。即使需要生殖辅助技术生育的巧克力囊肿患者,其胚胎着床率、临床妊娠率和活产率仍相似。

临床工作还碰到少部分年轻患者,尚未婚育,妇科药物保守治疗无效,但又不愿意接受妇科手术者或者妇科手术治疗后复发者。经评估后部分患者还是机会接受CT介入硬化治疗,临床疗效确切,可有效减少治疗所带来的卵巢功能损伤及心理负担!

CT介入硬化治疗是如何治疗巧克力囊肿的?
在CT引导下,经皮肤(前腹壁或者臀部,视是否有安全穿刺路径而定),利用非常细小的金属套管针准确穿刺到囊腔内,将引流管留置于囊腔内。置管后充分冲洗囊壁,将陈旧积血冲洗干净,利于聚桂醇硬化剂充分接触、渗透囊壁异位内膜细胞,囊壁异位内膜细胞失活、坏死,纤维化粘连囊壁,从而达到临床治愈。保留硬化剂24小时后重复冲洗、硬化治疗,直至彻底破坏内侧囊壁细胞,囊壁细胞失活,将复发率降至最低!硬化结束后不保留硬化剂,防止拔管后出现硬化剂渗漏导致盆腔组织脏器粘连。

CT介入硬化治疗有何优势?
CT引导下介入硬化治疗的最大优势是真正的微创,在腹壁、囊肿壁上仅仅造成细微穿刺针眼,无切口、无需缝合,在局麻下就可以快速完成该手术。因可长时间安全保留引流管,可重复硬化治疗操作,直至确认囊壁较为彻底坏死后,再将引流管拔除结束治疗。
聚桂醇具有较强的硬化破坏能力、刺激性较小的性质,目前已广泛临床上多种疾病治疗,如血管瘤、脉管畸形及各类囊肿硬化治疗,临床疗效显著,安全性较好。聚桂醇注射液制作成泡沫硬化剂后,显著减少液体使用量,同时明显治疗接触面积,提供硬化疗效。因硬化剂仅作用、破坏囊壁内侧,囊壁外侧为纤维结缔组织,囊液难以渗透、吸收,显著减少对临近正常卵巢组织影响,有效保护卵巢储备功能,具有较高的安全性。尤其适合单发较大囊肿(直径≥5cm),有生育要求且未婚患者。如果实在担忧治疗对卵巢功能潜在损害,可以考虑术前穿刺取卵冻存卵子,留备日后所需,将相关风险降至最低。
联系方式
地址:厦门大学附属中山医院 肿瘤与血管介入科(3号楼6层),每周三上午门诊(4号楼2层)。
可通过网站平台私信或者微信(fourstar1)方式与刘大夫沟通联系。

经典病例
例1
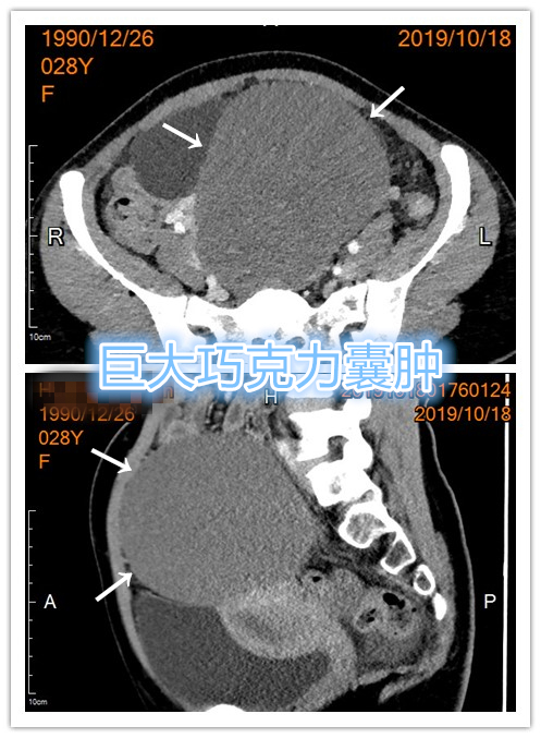
年轻患者,未婚未育,下腹胀半年余,下腹部可见明显隆起包块,行彩超检查提示右侧卵巢巨大巧克力囊肿。经药物保守调理治疗无缓解,因不愿接受妇科手术治疗,就诊要求行介入硬化治疗,遂行CT引导下巧克力囊肿穿刺置管抽吸+硬化治疗。
- CT检查显示巨大巧克力囊肿。


横断位CT

矢状位CT
- CT引导下介入硬化治疗,抽吸出大量粘稠囊液。

- 介入硬化治疗后复查CT显示囊腔已基本消失。

例2
年轻女性,已生育,诊断为右侧卵巢巧克力囊肿。近1年经期不规律,伴有下腹闷胀不适,彩超监测发现右侧巧克力囊肿进行性增大。经药物保守调理治疗无缓解,因不愿接受妇科手术治疗,就诊要求行介入硬化治疗,遂行CT引导下巧克力囊肿穿刺置管抽吸+硬化治疗。

经留置引流管抽吸出浓稠积血,使用生理盐水反复冲洗直至囊液转为清亮,随后注入聚桂醇硬化剂保留腔内硬化破坏囊壁,2天后拔除引流管。术后3个月复查彩超显示囊肿已明显萎缩,月经恢复正常,经期已无明显不适。
