不知道大家遇到过这样的情景没有?两个老人家在一起聊天唠腿疼的事儿,其中一位老人家会对另外一位说:“腿疼不要紧,那是关节炎, 就是关节里面有炎症了,不是有消炎药吗?吃点儿头孢就好了......”

两位老人家说的大部分没问题,关节炎确实是关节内存在了炎症,吃点儿消炎药也可以帮助老人家患者疼痛的症状,但是这个消炎药吃“头孢”就需要讨论下了,很多人认为青霉素、头孢这一类的药物是“消炎药”,这个想法是绝对错误的,青霉素和头孢属于“抗菌素”。

抗炎药和抗菌素有根本的区别,但是很多人却不知道,错用药物并不能帮助人们治疗关节炎 请大家记住 抗炎药≠抗菌素!!!
抗炎药物是什么,有哪些呢?
当我们的关节无论是因为软骨磨损、韧带损伤、风湿以及类风湿等原因都会导致关节内出现无菌性的炎症,也就是说这个炎症不是由于细菌感染导致的,是身体自身的一种反应,医学上将之定义为无菌性炎症。
这种炎症导致关节内出现滑膜的肿胀、渗出以及各种炎性因子的释放,所以患者会表现出关节的疼痛、肿胀。针对这种情况,我们需要使用抗炎药来给与治疗。

抗炎药是能够抑制炎症因子产生或释放的一类药物,通过对炎症因子的抑制,减轻患者的疼痛以及肿胀。其实抗炎药只是咱们的俗称,在医学上其实叫解热镇痛抗炎药,常用的消炎药分为甾体类及非甾体类抗炎药。
非甾体抗炎药临床上常用的是洛索洛芬钠、布洛芬缓释胶囊以及双氯酚酸钠这一类的药物。这类药对于由于各种炎性因子导致的关节疼痛以及渗出,作用还是比较不错的,也是属于治疗无菌性炎症的一线用药。但是这一类药物有一个弱点,就是会对我们的胃部造成一定的损害,所以如果有胃溃疡或者是心脏支架术后抗凝期的患者是忌用的,因为有可能会导致黏膜损害出现胃出血。对于这一类的人群,我们可以服用西乐葆 这一类COX2*制剂抑**,对粘膜损害比较小,也可以同时服用胃黏膜保护剂。

甾体类抗炎药通常指的就是激素:肾上腺皮质激素、雄激素、雌激素,具有一定的抗炎作用。这类药物中文名字一般都带个“松”字结尾,比如可的松、氢化可的松,具有一定的抗炎作用。
这一类药物临床上使用会很慎重,因为长期使用副作用比较大,所以不建议患者自行服用,要按医嘱服用。

除了解热镇痛,他们还有抗炎,抗风湿的作用。
抗菌素又是何方神圣呢?
抗菌素也叫抗生素,简单的可以理解为杀灭细菌的药物,一般细菌由细菌引起的感染,服用抗生素有效。当然抗生素它不只是杀灭细菌,我们熟知的病原微生物如支原体,衣原体,立克次体。螺旋体等都有效,但是对病毒感染无效。

啥样的问题需要抗菌素出手呢?就是我们要明确存在感染,比如泌尿系感染、切口感染等情况。除了红、肿、热、痛这些表现之外,一般还要有脓性的渗出,这种情况医生才会选择使用抗菌素,此时一般医生会给与脓性渗出取出来,做菌培养以及药物敏感试验,明确到底是什么细菌导致的感染,以及什么药物更适合控制感染。

由于感染的图片大家看了会比较不适应,给大家选了一张手指感染的图片,会更好的明确什么是感染,为什么感染要使用抗菌素。

总结:
相信看到这里大家应该对抗炎药以及抗菌素有了明确的认识,抗炎药物主要针对无菌性炎症,比如头痛、牙痛以及关节疼痛;而抗菌素主要针对的是细菌以及其他微生物导致的感染,滥用抗菌素会导致人体出现耐药性,所以绝不对要滥用抗生素。
所以,关节炎导致的关节疼痛,吃头孢不仅不会有作用,还会导致老人的身体出现耐药性,是不可取的一种错误行为。

接下来给大家简单科普下常见的关节炎有哪儿些,如何自我判断呢!?
关节炎是一个非常广泛的范畴,并不是简单的关节疼痛就是关节炎,但是我们可以从常见的关节炎入手给大家讲解一下,怎样确定自己患的是什么样的关节炎。

临床上我们常见的关节炎主要有骨性关节炎、痛风性关节炎以及类风湿性关节炎,今天就从这三方面给大家讲解一下如何判断自己的问题。
最常见的是骨性关节炎
骨性关节炎的发病基础
骨性关节炎的发病基础是关节内的软骨退变,当软骨出现了损伤以后,关节内的磨损就会越来越加重。随着病情的加重,会出现软骨下骨的硬化以及骨质增生,也就是骨赘的形成,当病情进一步的进展会导致关节的间隙变得狭窄,患者就会出现明显的关节畸形,如果是内侧关节间隙的狭窄,会导致患者出现o型腿,如果是外侧间隙的关节狭窄会导致患者呈现为x型腿。

如何判断骨关节炎病情呢?
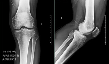
前面已经说到骨关节炎会导致骨赘的形成以及关节间隙的狭窄,所以我们依靠膝关节x片子来初步判断骨关节炎的病情,通常我们采用K_L分期判断病情。
0期的患者:也就是正常的患者,患者不会有任何的症状。

一期患者:患者的关节会开始有轻度的无罪行程,一般这个阶段的患者会有比较明显的上下楼梯的疼痛或者是不适,但是往往走平路反而正常,所以很多这个阶段的患者并没有得到很好的重视。在这个阶段,如果能开始注意保护我们的关节,减轻体重、减少对于关节的使用往往是可以逆转的,但是正是由于症状不是特别的明显,反而很多人忽视了这个病情。

二期患者:2期的患者关节的那个骨赘就已经开始明显增多了,但是这个时期关节的间隙仍然不会发生狭窄,这就说明关节内的软骨虽然已经有了磨损,但是磨损的程度还可以,不是特别的重。

往往这个时期的患者,如果症状比较明显,在医院检查发现了骨关节炎,治疗起来反而效果最好。因为关节的软骨还没有磨损的特别严重,此时我们通常可以采取给于关节内进行玻璃酸钠、几丁糖或者是富血小板血浆因子注射的办法来减缓软骨磨损的进程,缓解患者的症状。此时也可以给予患者口服氨糖。

三期患者:3期的患者不仅有了骨赘大量形成,而且关节间隙已经开始发生了明显的狭窄,患者的症状会越来越严重,很多会表现出来蹲起的疼痛,甚至有的患者不能长时间的行走,否则次日关节就会有明显的肿胀,有的患者在屈伸关节的过程当中会听到响声,类似于冬天我们用脚踩雪的那种响声。

在此阶段我们通常仍然会采取关节内注射的办法以及一些保守治疗的办法,缓解患者的痛苦。患者也可以口服仙灵骨葆这一类的中成药。
四期患者:4期的骨关节炎患者关节已经出现了严重的畸形,这个时期患者会非常的痛苦,关节会有严重的畸形,通常不能行走很长的距离,有一些患者甚至行走500米就疼痛难忍了。而且患者通常会出现比较明显的休息痛以及静息痛,什么意思呢?就是说,不动也痛。

此时我们只有通过进行关节置换手术的办法,才能帮助患者来解决痛苦。医生也知道很多患者不想做全膝关节置换术,所以说现在也研究出来单髁的置换手术,也算是一种保膝治疗。

以上x光的检查方式,只不过是比较初步的检查,可以帮助我们进行一个初步的诊断,对于关节内软骨韧带以及其他软组织的判断,最好的办法还是要依赖核磁。核磁可以非常早期的显示出关节内软骨磨损的程度以及是否出现了软骨下骨的硬化以及囊变,可以更准确的提供给医生需要的信息。比如像下图所示的这种髌骨外侧高压也是骨关节炎的一种,但是排x光片可能并不会像核磁能显示出这么清晰的软骨改变。

痛风性关节炎
痛风性关节炎是由于尿酸盐结晶沉积在关节内的软骨、骨髓、关节囊以及其他结构当中诱发的炎症。大家看下图所示的切片,就会明白痛风性关节炎有多可怕,在患者的骨髓当中都可以看到痛风石的形成。

痛风性关节炎的急性期会有非常明显的关节红肿热痛,这种疼痛多数在后半夜发作,容易在受凉之后发作。患者表现出来不仅是活动以后的疼痛,而且不动也会很痛。如果患者有过高尿酸血症的病史,或者是有过痛风发作史,那么可就可以做出非常明确的诊断。

当痛风性关节炎进入慢性期的时候,往往是比较危险的时候,虽然这个时候患者没有任何的症状,但是这些痛风石会逐渐慢慢的沉积在患者的关节内,虽然并不会引起患者的疼痛,但是随着时间的累积,尿酸盐沉积的增多会严重导致患者的关节变形,影响患者的关节功能。此时往往给予患者进行普通的x光检查,或者从体表就能发现患者是存在明确的痛风性关节炎呢。

对于这个阶段患者的治疗,我们只能采取药物控制的办法,当某一个部位的痛风石如果过大,严重影响患者生活的时候,可以给予进行手术切除,但是愈合很困难,治疗起来非常的棘手。

看到这里可能很多人会说,痛风性的关节炎离我们很远,但是谢医生要负责任的告诉大家,我们国家有1亿3000万的人是高尿酸血症,这其中有20%可能会转变为痛风,痛风性关节炎离我们一直都不远,非常近。
类风湿关节炎
类风湿关节炎,其主要的病理基础是滑膜的改变,当滑膜出现了类风湿滑膜炎改变以后,会逐渐的破坏掉关节腔内的软骨,导致关节间隙的狭窄和关节的粘连,严重的影响患者的生活质量,很多人因为手部的变形甚至筷子都拿不了。

类风湿性关节炎的患者早期通常会表现出明显的晨僵,尤其是表现在手部。很多患者会在早期的时候表现出早上起来的时候,手指的僵硬感,握不拢,而且握拳的时候会有疼痛,通常需要经过30分钟左右的时间才能缓解。
如果患者出现了以上的情况,那么建议您一定要到医院做一个采取的化验,我们叫风湿4项,不仅可以明确是否有风湿和类风湿,还可以对血尿酸进行检查。为了更加准确的判断病情,我们同时建议检查抗环瓜氨酸抗体。如果这两项都表现为阳性,那么患者患有类风湿关节炎的几率是特别高的,可以达到80%。

当然当很多患者已经到了晚期,关节已经出现了明显的变形,从相关的查体以及x光片子,也可以明确患者是否存在类风湿性的关节炎。从下图您仔细看就会看出正常的手与类风湿性关节炎手部的骨骼改变。

另外类风湿这种疾病也会导致患者出现比较严重的骨质疏松,建议类风湿患者一定要做双能x线检查,明确自己是否存在骨质疏松,或者说骨质疏松到了什么样的程度,根据结果进行系统的抗骨质疏松治疗。

类风湿性关节炎早期的时候还是以内科的药物治疗为主,尽量将病情控制住。到了晚期如果某一些关节严重的影响患者的生活质量,导致患者屈伸功能的障碍,比如膝关节的类风湿性关节炎,我们同样可以采取关节置换的办法解决患者的问题。

综上所述
导致关节炎的问题有太多了,只能将常见的几种导致关节炎的疾病给大家做一个简单的科普,如果大家还有其他的疑惑可以私信我,或者在下方留言,大家共同探讨。
请大家一定要有这种认识,不是关节疼痛了就是风湿病,不是关节疼痛了就一定是关节炎,也不要关节疼痛就随便的吃点儿青霉素、头孢来治病。
我们需要的是明确诊断,之后再进行对症的治疗。
我是坚持用简单语言解释复杂疾病知识的谢新辉,码字不易,如果您赞同我的观点,请帮忙点个关注,或点个赞吧,谢谢了!
