再续“寻理”淋巴瘤病理教育系列网络会议第三期——成熟T/NK细胞淋巴瘤专场已于2020年8月28日顺利进行。五位专家:四川大学华西医院刘卫平教授、四川大学华西医院赵莎教授、武汉大学中南医院田素芳教授、陆军特*医色**学中心肖华亮教授、山西省肿瘤医院郗彦凤教授在线直播,吸引了一千余名观众在线观看,直播时长达3小时余,为广大病理科医生带来了一场淋巴瘤病理学习与交流的学术盛宴。在此,我们总结了各位专家的直播亮点及诊断经验,并提供了回放链接,以便各位医师后续学习。
亮点回顾
首先,大会主席刘卫平教授对再续“寻理”淋巴瘤病理教育系列网络会议进行了系统介绍,并对本场的四位分享嘉宾及相关讲题进行了简单介绍。本期讨论主题为成熟T/NK细胞淋巴瘤,虽然其在淋巴瘤中占比不高,但这类疾病在病理诊断与临床治疗方面都存在着较多困难,四位专家将分别从不同疾病切入进行深入讲解,与各位病理同仁一同探讨其病理诊断。本次直播采用大咖诊断经验分享+知识问答互动+线上答疑的形式,更加强调淋巴瘤诊断的实操性,希望可以帮助病理医生不断提高淋巴瘤诊断水平。
赵莎教授:结外鼻型NK/T细胞淋巴瘤
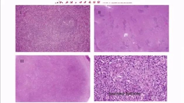
诊断经验语录: 结外鼻型NK/T细胞淋巴瘤可发生在不同的解剖部位,出现坏死是线索,EBER1/2检测是基础。
赵莎教授首先对结外鼻型NK/T细胞淋巴瘤(ENKTL-N)进行了简单的概述,该疾病在非霍奇金淋巴瘤(NHL)中仅次于弥漫大B细胞淋巴瘤(DLBCL),在成熟T/NK细胞淋巴瘤中占比过半(56.6%),“占比高”是其在我国的发病特点。此外,ENKTL-N在EBV感染相关淋巴瘤中占比最高。赵莎教授还为我们梳理了ENKTL-N基本病变和病理诊断、不同解剖部位ENKTL-N的临床病理特征及诊断、ENKTL-N可能的发病机制。
亮点1:ENKTL-N的形态学特点
ENKTL-N在形态学表现上有很多“Key”,注意不要遗漏。

赵莎教授对一些关键点进行了强调或补充:
-
组织坏死是特点也是难点,当只取到坏死组织而没有取到肿瘤组织时易漏诊;
-
血管中心性浸润现象是诊断关键线索之一,但其他非NK/T细胞淋巴瘤的情况(例如中枢大B细胞淋巴瘤等)也会出现典型的围血管或血管中心性浸润现象;
-
大量的炎性细胞可能会掩盖肿瘤细胞,大量弥漫的肿瘤细胞有可能误导诊断方向;
-
肿瘤细胞可小可大,可以隐藏,也可以显现,都需要注意进行鉴别诊断;
-
另外要和病人持续沟通,当症状改变时建议再次取活检。
亮点2:ENKTL-N的免疫表型特点

ENKTL-N的典型免疫表型为CD3+(胞浆染色,可见膜和浆),CD20-(可见残存的B细胞),CD56+,CD5-,GranzymeB+,TIA-1+,Ki-67 30-40%(或更多),EBER1/2+。此外,不典型免疫表型存在于约10%的病例中,需要注意鉴别。
赵莎教授还分享了华西医院诊断ENKTL-N常用的IHC panel,并补充和强调EBER状态是诊断的“分水岭”,一定要准确,有时候坏死组织会影响EBER的判读等,需要仔细辨认“真假”,必要时加做TCRγ/PCR检测。
亮点3:流式细胞术也可提供诊断线索
流式细胞术由于自身具备的多参数、特异性、灵敏度和易操作等特点,可以为诊断提供线索。
-
线索1:ENKTL-N的NK细胞数量与外周血和鼻咽部反应性增生组织相比有增加;
-
线索2:判断细胞大小:可观察到肿瘤细胞的体积与外周血和鼻咽部反应性增生组织相比有增大,不同的ENKTL病例也可观察到肿瘤细胞的体积不同;
-
线索3:更好的将异常细胞聚集成群,观察其表型特点,而免疫组化易出现背景干扰,有些标记难判读;
-
线索4:判断NK细胞克隆性:KIRs与NK细胞出现了非常一致的表达性时(均表达或均不表达)提示NK细胞具有克隆性。
亮点4:不同解剖部位的ENKTL-N
对于鼻NK/T细胞淋巴瘤的诊断,除了注意各个诊断的“Key”,还应注意与感染性疾病(结核、霉菌等)、肉芽肿性多血管炎、继发NHL(特别是鼻咽部)和非淋巴组织肿瘤(低分化癌、肉瘤、恶性黑色素瘤)相鉴别。
对于鼻外NT/T细胞淋巴瘤,赵莎教授从临床表现、形态学特点、免疫表型特点和鉴别诊断等方面,分别详细介绍了发生于消化道、皮肤、喉、*丸睾**、脾脏、肺的ENKTCL-NT,对于诊断的关键点进行了强调和总结,并用具体的病例或研究带领大家深入理解和认识疾病。
最后,赵莎教授强调,ENKTCL是中国最常见的结外非B细胞肿瘤,在日常工作中需要重视,它的基本病变和病理诊断具有一些共性,但不同解剖部位的ENKTCL有其自身的特点(个性),而且其分子生物学具有一定的特点,值得深入研究探讨。
田素芳教授:血管免疫母细胞性T细胞淋巴瘤
诊断经验语录: 众里寻它(们)(肿瘤细胞)千百度,蓦然回首,它们却在院子外(滤泡周围)、小河边(HEV周围)——AITL pattern I
田教授从血管免疫母细胞性T细胞淋巴瘤(AITL)的疾病认识过程、疾病发生机制、WHO分类等方面对AITL进行了清晰的概述,并且带领大家梳理了AITL的临床特点、形态学特征、免疫表型和遗传学特征以及鉴别诊断要点。
亮点1:AITL形态学特点
田教授按照从淋巴结外到内的顺序详细梳理了AITL特征性的形态学特点,并对各个特点详细讲解。

对于AITL的三种组织学模式(伴增生性滤泡;伴萎缩滤泡;无滤泡),不同模式与病程并无直接联系,并可以相互转化,或不同的模式并存。

亮点2:AITL免疫表型和遗传学特征
AITL表达全T抗原,由于是TFH来源细胞,可表达TFH的标记物。如果背景浆细胞增多,有可能是单克隆或多克隆。对于克隆性重排,90%以上病例有TCR克隆性重排,10-30%的病例有IG克隆性重排,另外文献报道AITL可以有40%的病例同时有TCR和IG重排。

另外,AITL还会有一些遗传学改变:

亮点3:AITL鉴别诊断和陷阱

而在日常诊断中,如下现象可能会对诊断带来疑问,田教授为大家分享了自己的经验和见解。
-
CD10和BCL-6在AITL中的阳性情况;
-
PD-1和CXCL-13与AITL;
-
关于AITL中RS样细胞;
-
关于AITL中B细胞和浆细胞增生以及克隆性检测;
-
关于其他伴有TFH表型的肿瘤。
最后,田教授对AITL的病理学要点以及研究进展进行了小结,并再次强调了AITL组织学I型容易存在漏诊误诊,需掌握好诊断要点:众里寻它(们)(肿瘤细胞)千百度,蓦然回首,它们却在院子外(滤泡周围)、小河边(HEV周围)——AITL pattern I。
肖华亮:外周T细胞淋巴瘤(非特指)
诊断经验语录: 外周T细胞淋巴瘤(NOS)病理诊断看似是“垃圾桶”,但千万别把一些酷似肿瘤的良性组织增生放到这个“桶”里。
肖教授开篇从外周T细胞淋巴瘤(非特指)的概况讲起,总结了其形态学、免疫表型及分子生物学研究进展,最后结合病例讨论了外周T细胞淋巴瘤(非特指)病理诊断的常见问题与对策。
亮点一:用发展的眼光看待外周T细胞淋巴瘤(非特指)
外周T细胞淋巴瘤(非特指)是一组异质性疾病群体,依据目前的形态学、免疫表型及分子病理等手段不能归入WHO分类中任何特定类型的一类成熟T细胞淋巴瘤。从客观上讲,外周T细胞淋巴瘤(非特指)并非一种肿瘤类型,相信随着分子遗传学技术的进步以及研究的深入,其内涵是不断演变和发展的。
亮点二:外周T细胞淋巴瘤(非特指)的组织学特征、免疫表型特征、分子病理学特征及鉴别诊断

亮点三:外周T细胞淋巴瘤(非特指)病理诊断的主要问题
1. 诊断困难,延迟诊断及误诊率高,文献报道不一致率为19%
-
疾病本身的复杂性
-
缺乏有诊断特异性的形态学或免疫标记物
-
不重视临床信息
-
对某些淋巴瘤类型认识不足
-
鉴别诊断工作做得不够
2. 病理诊断的规范性问题
-
疾病名称的规范化,Nos不能省略
-
免疫组化套餐化并正确标注结果,如肿瘤细胞表达……,背景细胞表达……;CD4/CD8应标注大致比例;Ki-67及EBER ISH应列出大致的阳性率等
-
必要的分子病理检测:如TCR基因重排
最后,肖教授通过3个病例总结了外周T细胞淋巴瘤(非特指)病理诊断过程中遇到的问题,并提出:形态学是根本、密切联系临床是保障、多讨论多会诊是有效避免漏诊误诊的法宝(病例详见直播回放)。
郗彦凤:间变性大细胞淋巴瘤病例分享
诊断经验语录: 渐变淋巴样细胞,一定要做CD30,T标记多加,不要忘记CD4,CD8,加细胞毒标记,加EBER,必要时FISH,ALCL不漏诊。
郗彦凤教授开篇通过分享两例间变性大细胞淋巴瘤(ALCL)病例,梳理了ALK阳性与ALK阴性ALCL的病理诊断思路,之后总结了间变性大细胞淋巴瘤的形态学特征、免疫表型以及鉴别诊断要点。
亮点一:ALK阳性和ALK阴性ALCL的病理诊断思路

在此,郗彦凤教授强调,诊断间变性大细胞淋巴瘤时一定要做CD30标记,多加做T标记的同时不要忘记CD4、CD8以及细胞毒标记。
亮点二:间变性大细胞淋巴瘤的5种形态学类型及免疫表型

亮点三:ALCL与浆母细胞淋巴瘤及ALK阳性大B细胞淋巴瘤的鉴别诊断

最后,郗彦凤教授通过两例病例与大家共同复习了ALCL的诊断思路,并总结如下:
-
一定要做CD30
-
T系标记多加
-
不要忘记CD4,CD8
-
加细胞毒标记,加EBER
-
必要时FISH
-
不漏诊ALCL
最后,刘卫平教授总结了几位专家的讲题,并在此基础上强调:
-
在鉴别诊断EB病毒相关的淋巴组织增生性疾病和淋巴瘤时,我们仍面临许多挑战。建议病理医生加做EBER检测,以免出现漏诊现象。
-
血管免疫母细胞淋巴瘤与经典霍奇金淋巴瘤及大B细胞淋巴瘤间的的鉴别诊断存在很大的挑战,在老年人中诊断经典霍奇金淋巴瘤要非常审慎。二代测序及流式细胞术可有效辅助我们判定增生细胞的免疫表型。
-
外周T细胞淋巴瘤(非特指)日常诊断中非常少见,对其进行分子分型及基于免疫表型分型需要我们多做尝试与总结。
-
对于ALK阴性间变性大细胞淋巴瘤及原发皮肤间变性大细胞淋巴瘤需要做DUSP22和TP63的FISH检测。
习题回顾
1.结外鼻型NK/T细胞淋巴瘤肿瘤细胞可以表达的标记有?
A. ALK-1
B. CD20
C. CD34
D. MPO
E. TDT
2.下列可具有TFH表型的肿瘤有?
A. 蕈样霉菌病
B. Sezary综合征
C. 滤泡性T细胞淋巴瘤
D. 阳性的小/中T细胞LPD
E. 以上都是
F. 以上都不是
3. 在WHO最新(2017)淋巴瘤分类中属于外周T细胞淋巴瘤,(NOS)形态学变异型的是?
A. 滤泡性T细胞淋巴瘤
B. Lennert’s淋巴瘤
C. AITL
D. 伴TFH表型的外周T细胞淋巴瘤
4. 以下哪项不支持间变性大细胞淋巴瘤?
A. CD30+
B. ALK-
C. CD4+
D. EBER+
如果您想查看本场直播回放,请点击“阅读原文”
下期预告
再续“寻理”淋巴瘤病理教育系列网络会议第四场直播时间:9 月18日,主题:霍奇金淋巴瘤。大会主席:复旦大学附属肿瘤医院朱雄增教授,讲者:海军军医大学第一附属医院何妙侠教授、广东省人民医院罗东兰教授、徐州医科大学附属医院刘慧教授、*疆新**医科大学第一附属医院李新霞教授。
