您好,看完这篇文章你可能需要三分钟,但是你会收获以下知识:
1.肺结核离我们有多远?
2. 那些 情况可能是肺结核?需要去医院?
3.肺结核的治疗,都是免费的?
最近,听说这样一个患者,还不到30岁,在家突然咳嗽,一开始吓坏了,以为是新型冠状病毒肺炎的赶紧去医院做了核酸和抗体,结果都是阴性的。
觉得可能是伤风感冒,于是回家多喝热水了,可是咳嗽的症状仍然没有好转,甚至在两周的发现咳出来的痰中还有血。
这可把患者吓坏了,难道是肺癌吗?

再次来到医院检查核酸和抗体还是阴性的,细心的医生询问了病史,做了胸部放射线检查,最后建议患者去传染病医院看一下。
原来,竟然是结核病,一开始挺害怕会有问题的,没想到医院不但免费做检查,而且还免费发药物。
结核病到底离我们有多远?结核病可怕吗?@康复Therapy我们一起来看一下。
一、结核病离我们有多远?
无论是在我们国家还是在全球来说,结核病的问题都是不容小觑的。
可以说结核病的发病历史已经很久远了,而且可谓是目前最严重的传染性疾病之一。
根据世界卫生组织统计的结果,全球目前有22个国家,对结核病的负担是十分严重的,其中就有我们国家。
根据世界卫生组织在2018年的结核病报告,全球每年有1000万人感染结核病,而因结核病丧失生命的人已经达到了每年160万。

结核病很难控制,最主要的原因就是控制传染源很困难,传染性非常强,而且目前的药物治疗是很漫长的。
在我国,结核病患者是很多的,是世界上结核病患者第二多的国家。
在这里补充一句,世界上结核病患者最多的国家是印度。

虽然在最近几年结核病的发病率正逐年下降,但是结核病的人数仍然不容小觑,
而在2011~2015年统计的结核病发病率中,发病人数最多的省份是*藏西**,*疆新**,贵州和黑龙江。
这可能是人口流动大,导致结核病的传染率大大增加,同时经济发展非常不平衡,很多地区医疗资源匮乏,政策落实的不完善,导致结核病患者非常多。
但是哪些症状可能是结核病呢?出现什么样的问题应该考虑去医院检查呢?

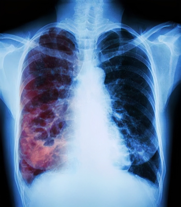
二、咳嗽两周就要重视。
结核病最主要累及的就是呼吸系统,所以很多患者会表现为呼吸道的症状,主要有以下几点。
- 1.咳嗽咳痰。
很多患者咳嗽都非常轻微,而且多数是干咳,只有少量患者会表现为黏液痰。但是如果合并了支气管结核的话,咳嗽就会十分剧烈而且会出现刺激性呛咳。
- 2.咳血。
有研究显示1/3~1/2的患者会在不同的时期出现咳血症状,这种咳血的原因是炎症导致毛细血管通透性增高,使血液进入痰中。
- 3.胸痛。
神经反射所引起的疼痛通常是不固定的,隐隐作痛。但是很多疼痛都是固定性的,针刺样疼痛会随着呼吸和咳嗽加重。

以上就是肺结核病,特别典型的临床表现,除此之外还会有胸闷胸痛和低热盗汗的症状,也有患者看起来会逐渐消瘦,食欲也会减退。
但是目前的指南建议,如果咳嗽咳痰超过两周,而且在痰中发现血液的话,就要及时去医院看一下了,很有可能是肺结核。
很多人担心发现肺结核之后是不是要花很多钱才能治好呢?
别害怕,我们国家对肺结核病是有减免政策的。
三、国家的减免政策。
肺结核是我们国家的大问题,所以出台了很多政策,帮助大家治疗肺结核疾病。
在我国县级以上的地区都会设有结核病防治中心,在这里,只要是可疑肺结核的患者,都会免费做胸片和痰涂片等检查。
如果根据检查结果可以确定是肺结核的患者了,那么医生都会给患者开出6~8个月的抗结核药物,这些药物也都是完全免费的。

而且根据我国目前的情况,新生儿都会注射预防结核病的卡介苗,这些疫苗也都是免费接种的。
所以得病之后也不要太着急,国家会承担大部分的费用和支出,患者只需要定时吃药就够了。
其实我国对结核病的防治是非常积极的,可是大家对结核病的防治了解并不多。
根据目前的指南建议咳嗽咳痰两周以上就应该积极就诊了,考虑是不是肺结核的原因。
而且人们对这类传染病的相关知识并不太了解,其实肺结核的治疗是免费的,国家已经承担了很大的责任和义务。
另外肺结核也不是绝症,不像以前一样患上了就只能眼巴巴地看着,现在只要规律服药,大多数患者都可以痊愈。
所以更重要的是大家普及这类知识,消除大家对肺结核的恐惧,提高结核病治愈率。
#哆咖医生超能团# #健康守护者# #谣零零计划# @头条健康

非法摘取11名死者器官,肝脏能随便移植吗?辟谣:哪有那么简单
腰扭伤怎么办?别急,躺下来,先冷敷后热敷,6个方法肯定能好
躺在枕头上感觉头痛?医生教你1个简单小方法,缓解枕下肌群疲劳
辟谣:年轻女性经常拉肚子,是癌?医生:别怕,更可能是肠易激