“药,是一种载体,它承载着医学共同体对某种疾病的整体认知和解决方案”。
——薄世宁
不得不说,贝达药业最近搞了个大新闻!
在肺癌靶向治疗领域——ALK*制剂抑**这个重量级牌桌上,首次出现了中国玩家!
2021年9月2日,国际顶级肿瘤学杂志《JAMA Oncology》公开发表了恩沙替尼对比克唑替尼,一线治疗ALK阳性非小细胞肺癌(NSCLC)的疗效及安全性数据。

国产新药——恩沙替尼,完胜进口同类药克唑替尼!恩沙替尼作为国产药的代表,实实在在扬眉吐气了一把!
克唑替尼何许药也?全球首款ALK*制剂抑**,美国辉瑞公司的传奇产品。2011年上市之后,这款药很快成为晚期ALK阳性的一线霸主,成为年销售峰值超过20亿美刀的现金奶牛,成为辉瑞的“销冠王”。
然而美国辉瑞的“销冠”, 却让中国老百姓又爱又恨!
这一点,身在四线城市的李先生夫妇深有体会。
2015年5月,42岁的李先生出现了严重的咳嗽、胸闷、气短。在小诊所里输液抗炎了1个月,不见好转。他索性拍了个CT,报告上提示:左肺下叶占位,左肺不张,左侧大量胸腔积液。

这是晚期肺癌的典型表现。
李先生是农民,一辈子老实本分,不吸烟不喝酒,在中国的小县城里,节俭的生活还算安逸平稳。得知自己可能得了肺癌,他觉得难以置信。
抱着怀疑的态度,李先生夫妇跑到了中国医学科学院肿瘤医院。
很快,二人拿到了一张“判决书”——来自医科院肿瘤医院的气管镜病理报告,上面赫然写着:非小细胞癌,考虑腺癌。

没等基因检测结果回报,李先生夫妇就毅然回了家。
他们回到了老家的赤峰市医院。因为当时李先生胸闷气短的症状日趋严重,为了控制症状,赤峰市医院直接为李先生进行了一线标准化疗。
和中国大多数农民一样,李先生家里收入不高,他这一病,不仅家里少了干活的主力,还要花掉原本的积蓄。
治疗期间,基因检测回报:EGFR基因阴性,KRAS基因阴性,ALK融合基因阳性。
ALK又被称为“钻石突变”,在NSCLC人群中,只有5~7%的NSCLC患者会发生ALK突变,这类患者有机会口服靶向药“克唑替尼”,不仅疗效好,副作用也小,这完全符老百姓眼里对“好药”的定义!
但这类“好药”,很多人是没办法用的。原因就是:太贵了!
克唑替尼一盒的价格是53500元,几乎是普通老百姓年收入的2倍。这高昂的药价,令李先生夫妇望而却步。他们果断选择了继续化疗。总共完成了6个周期的培美曲塞+卡铂方案治疗,紧接着又是4个周期的培美曲塞单药维持。
幸运的是,李先生的治疗效果不错。胸闷气短的症状明显改善,用他自己的话来说:“感觉自己越来越舒服”。原本被判了死刑的李先生,因为病情的好转,对控制疾病越来越有信心,对我们的诊疗也越来越信任。
但是一趟趟回医院化疗,夫妻俩折腾得有些疲累了。
时间来到2016年的4月,在复查疾病维持稳定之后,夫妇俩和我们商量:可不可以选择一种更便捷的治疗方式。
医生再次推荐了“克唑替尼”。将近1年的治疗过后,夫妇俩对治疗很满意,基于对医生的信任,这一次,李先生咬牙用上了“克唑替尼”。
神药就是神药,不服不行,李先生的肿瘤奇迹般的再次缩小了。而且吃药2年多之后,2018年的10月份,克唑替尼被纳入医保,价格直降71%,每盒价格由之前的53500元降到15600元。
2019年6月,李先生再次复查CT,肺部原发灶已经缩小到几乎看不见,胸腔积液也明显减少了。

不需要定期去医院输液,不需要忍受恶心、呕吐这些副作用,李先生夫妇的日子完全恢复了正常。
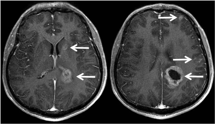
可是好景不长,同年8月,李先生在干活的时候,突然出现头晕,而且逐渐加重,并出现双下肢乏力,腿脚不灵活等症状。紧急去医院复查,做了一个头颅MR,提示:颅内多发异常信号,转移瘤可能性大。

克唑替尼耐药了!无奈,平静的生活不得不再次中断,迎接李先生的是全脑放疗。
再次回到肿瘤内科,张明晖主任向他推荐了一个代号为X-396的国产ALK*制剂抑**。李先生夫妇俩一开始半信半疑,因为网上查不到这个药的任何信息,让李先生同意试验性用药的一个很大原因,是因为这个药,免费!
奇迹再次发生,在放疗并配合药物治疗之后,颅内转移灶,在持续缩小!在后期的随访中,颅内的病灶一直没有再复发。

得益于很多个像李先生这样的病人,2020年11月19日,X-396,也就是贝达药业的恩沙替尼,在中国获批上市,成为中国第一个用于治疗ALK阳性NSCLC的国产1类新药。
在李先生得病的那一年,中国有73万人罹患肺癌,其中有将近58.4万人为非小细胞肺癌,这当中又有3.27万属于ALK阳性患者。而克唑替尼在中国的年销售额,大约是20亿人民币!
没过多久,瑞士人带着两款二代ALK*制剂抑**——诺华的色瑞替尼和罗氏的阿来替尼先后登陆中国,与克唑替尼三强鼎立,牢牢霸占着ALK市场!

与此同时,日本武田的二代ALK-TKI布加替尼、美国辉瑞的三代ALK-TKI劳拉替尼已经在美国上市,都在虎视眈眈地盯着中国市场这块蛋糕。
在被对手团团包围的背景之下,恩沙替尼作为第一款国产ALK*制剂抑**的异军突起杀出重围,这种勇气,一时间竟让我想起了叶问!

此次《JAMA Oncology》发表的恩沙替尼一线研究数据显示,在ITT人群中,恩沙替尼的中位无进展生存期(mPFS)为25.8个月,克唑替尼的中位无进展生存期(mPFS)为12.7个月。而且,恩沙替尼对脑转移的控制率,要明显好于克唑替尼。
也就是说,中国自主知识产权第一个ALK*制剂抑**超越了进口同类药物。
神药打架,国产赢了!
但是谁赢谁输,对于李先生这样的病人来说,并不重要。
他看重的是,医生有没有给他更好的药。
后续复查,李先生的病情依然很稳定。
李先生的媳妇含泪说道:“我们得病的时候,真的没想到能活到今天,一直是张明晖主任在帮我们想办法,到后来吃恩沙替尼也是免费的,所以我们对张主任的感激和依赖,是你们都不能理解的!”
其实,身为医生,我们太理解了。
药是我们手中的*器武**。一片药的背后,是一整套复杂的知识体系,信号通路、分子靶向的机制、药物代谢途径、半衰期……
拿到药的病人,不需要了解背后复杂的知识体系,只需要简单的按医嘱吃药就好了。药,以一种简单的形式,交付给病人一个复杂的认知体系,是医学解决方案的物质载体。
像恩沙替尼这样的国产新药,其实代表了中国医学整体认知水平的提高。
像李先生这一幸运的人,生存期已经超过了6年。
这其实就是我们肿瘤科大夫经常挂在嘴边的:
“医学在进步,活着就有希望!”
#哆咖医生超能团##健康明星计划#