来源: 即时超声 引言
卵巢囊肿是女胎最常见的腹内包块。胎儿腹内包块的鉴别诊断是很广泛的,而妊娠的预后取决于包块的病因,因此,系统性评估是必须的。
胎儿卵巢囊肿发病率
从1975年开始对死产和死亡新生儿进行的一系列尸检中,共有113例婴儿查出直径大于1mm的卵巢囊肿,其中48例为多发囊肿,特别是低体重儿。
腹部囊肿发生率为1/500-1/1000活产儿。Kirkinen及Jouppila 在21000个胎儿中发现8个卵巢囊肿,相当于发病率为1/2625。根据截至2004年为止的25年病例回顾,Bryant及Laufer认为,活产儿发生具有临床显著意义卵巢囊肿几率的最佳估计是1/2500。
卵巢的胚胎学和解剖
卵巢是腹膜间皮层增厚而形成,它变成性腺脊然后成为原始性腺。部分间皮残余物连接生殖脊,即卵巢系膜。连接卵巢和宫底的引带为卵巢固有韧带,而子宫和阴唇之间的引带为圆韧带。卵巢位置不会低于子宫底,不像男性胎儿的*丸睾**会下降入阴囊内。支持韧带是松弛的,而胎儿及婴儿骨盆较浅,因此,胎儿卵巢是一个腹腔器官,比青春期后卵巢更容易扭转。
卵巢囊肿发病机理
胎儿和新生儿卵巢通常是不生长的,但是滤泡囊肿会增大。关于卵巢囊肿的发病机理尚无一致看法,最为广泛接受的理论是胎儿垂体促性腺激素、胎盘人绒毛膜促性激素及母源性雌激素的暴露,刺激胎儿卵巢并导致滤泡的产生和成熟。胎儿卵巢囊肿通常出现在晚孕期,被认为是激素水平上升的结果。
影像评估方法
在儿科放射学中,腹部包块的影像评估方法就是对包块组织来源的鉴别诊断。然而,由于胎儿体积小、胚胎解剖正常变异及腹部脂肪缺乏导致腹部脏器的鉴别困难。因此,我们更偏向于用囊性或实性来评价胎儿腹部包块。
胎儿腹部囊性包块的鉴别诊断包括:肾囊肿、输尿管囊肿、尿性囊肿、脐尿管异常、扩张的肠管、胎粪囊肿、肠重复畸形、淋巴管瘤、胆总管囊肿和囊性神经母细胞瘤。卵巢囊肿和阴道积液只出现于女胎,而异常膨胀的膀胱则更可能见于有后尿道瓣膜或梅干腹综合征(即先天性腹肌缺如综合征)的男胎。【个案报道有胎儿卵巢囊腺瘤表现为卵巢囊性包块或导致初潮前手术。其他儿童卵巢囊性病变(如皮样囊肿、颗粒细胞瘤)在胎儿影像中尚未报道,而病理证实所有新生儿卵巢囊肿切除的样本中都含有正常卵巢组织。】
胎儿腹部实性包块的鉴别诊断很少,包括肿瘤(如神经母细胞瘤、中胚叶肾瘤和肝脏肿瘤如血管内皮瘤)和支气管肺隔离症。寄生胎很罕见,可能表现为复杂性囊肿或实性包块。本文讨论范围仅限于女胎腹内囊性包块。
影像学表现
Nussbaum等最早将新生儿卵巢囊肿分为单纯性和复杂性。单纯性卵巢囊肿是圆的、无回声的、单房和薄壁的(图1)。它们更经常为单侧而非双侧、更经常为腹内而非盆腔内。单纯性囊肿内偶尔可见单个分隔(图2)。直径小于20mm的卵巢囊性结构被认为是成熟卵泡,为生理性而非病理性。直径大于20mm的囊肿则考虑为异常。“子囊”征描述的是囊内一个小的、圆形、无回声结构(图3)。既往报道认为这是卵巢囊肿的特征。【在一个23例囊性病变的研究中(包括新生儿、婴儿及儿童),11例发现子囊,占卵巢囊肿的82%(敏感度82%,特异度100%,阳性预测值100%),在其他囊性病变中未发现子囊,包括淋巴管瘤、肠重复畸形、肠囊肿、胎粪假性囊肿、阴道积液和脐尿管囊肿。】
超声检查中,复杂性卵巢囊肿是厚壁的,且回声不均质。图像特征包括多个分隔(图4、5)、内部移动性高回声、实性表现(图6),或液液平面(图5、7)。复杂性囊肿被认为是扭转的结果,胎儿比新生儿更常发生。出现复杂性囊肿的表现高度提示需要手术。与胎儿卵巢囊肿伴发的其他影像表现包括羊水过多和腹水,可能是由于漏出或囊肿破裂所致。肠管或肾脏的继发梗阻被认为是扭转时卵巢坏死引起的粘连所致。

图1:单纯性卵巢囊肿。冠状位胎儿超声图像显示一个边界清楚的薄壁无回声囊肿(箭),高于膀胱(B)位于腹内中线之外。注意脐动脉(箭头)在膀胱两侧。

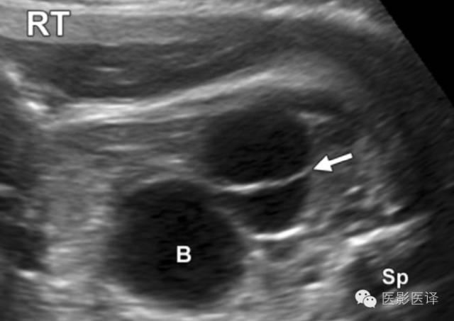
图2:有单分隔的卵巢囊肿:轴位胎儿超声图像显示一个边界清楚有单一薄壁分隔的(箭)腹内囊肿。囊肿位于膀胱外侧,并在其他图像中显示独立于肾脏和胃肠道。超声多普勒图像(未展示)提示囊肿内无血管。RT=右侧,Sp=脊柱。

图3:单纯性卵巢囊肿。(a)矢状位胎儿超声图像显示一个边界清楚薄壁腹内囊肿(箭头),其内可见一个子囊(箭)。囊肿位于膀胱(B)上方腹中线区。Uv=脐静脉。(b)同一病人轴位超声多普勒图像显示在薄壁卵巢囊肿中有两个子囊(箭头)

图4.多分隔卵巢囊肿。冠状位超声多普勒图像显示一个分界清楚的腹内囊肿,位于膀胱(B)上方及肝脏(L)下方,分隔较薄且壁无血管(箭头),双侧脐动脉(箭)是分辨胎儿膀胱的解剖标记。脐静脉(uv)在囊肿上缘上方进入肝内。

图5.双侧出血性新生儿卵巢囊肿。新生儿MR图像用于评估在外院胎儿超声中发现的两个实性腹内占位。(a)轴位脂肪饱和T2WI MR图像显示双侧多房的附件占位(a和b箭),伴有液液平面(箭头),提示出血。(b)冠状位脂肪饱和T1WI增强MR成像显示双侧占位无实性成分(箭)。多囊占位独立于结肠、肝脏、脾脏和肾脏,在膀胱上方。双侧病变均位于中线外侧。强化的子宫(Ut)在膀胱上方。

图6.出血性梗塞导致了卵巢囊肿的实性表现。(a、b)新生儿生后第一天矢状位超声图像显示一个回声团块(a箭),向上推挤充气的肠管。团块与肝脏、肾上腺及子宫(UT)独立。A中的箭头是右侧肾上腺。(c)彩色多普勒超声图像显示团块内无血流。(d)轴位超声图像显示团块从边缘开始凝缩,是确认广泛出血性坏死的征象。(e)切除的卵巢大体照片显示广泛出血性梗死,符合扭转的表现。


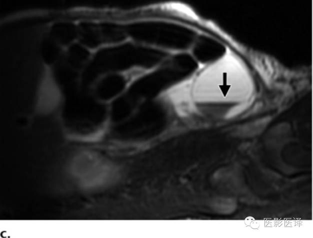
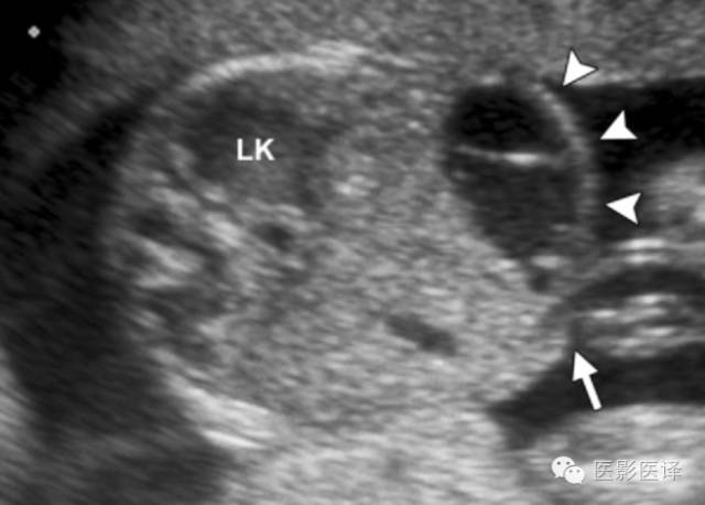
图7 囊肿中的液液平面。(a)轴位胎儿超声图像显示在左肾(LK)前方一个孤立性囊性肿块(箭),脊柱(Sp)另一侧可以看到正常的右肾(RK),三周后的随访图像(未展示)显示团块中出现液液平面。(b)新生儿经腹长轴位图像显示一个薄壁囊性团块,有液液平面(箭),子囊(箭头)是卵巢囊肿的确诊征象。(c)新生儿矢状位T2WI显示一个出血性卵巢囊肿,有液液平面(箭)和低信号血液成分。
MR成像评估的作用
因母亲体型、胎儿位置或羊水过少而声学评价受限的病例,MR成像就很有帮助了(图8)。MR成像也可用于确认女性生殖器官和正常胃肠道及泌尿生殖道,这些是诊断胎儿卵巢囊肿所必须的。快速T2WIMR成像序列有助于显示解剖,TIWI MR成像显示胎粪为高信号,这能显示结肠走向并确认直肠。

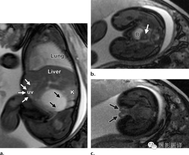
图8MR图像可清晰显示胎儿解剖。(a)稳态进动MR图像矢状位显示一囊肿内伴多发分隔(黑箭),该囊肿位于肝脏下缘、肾脏(K)前缘。可见脐静脉(uv;白箭)进入肝左叶。(b,c)稳态进动MR图像横断位显示胎儿子宫(图b中箭头所示)位于膀胱(B)后方,提示女性内生殖器,阴唇(图c中箭头所示),提示女性外生殖器。证实了女性生殖器存在也就可以支持卵巢囊肿的诊断;若显示为男性生殖器则可以将卵巢囊肿从鉴别诊断中排除。
鉴别诊断
胎儿腹内囊肿的鉴别诊断很广泛,但可以通过确定器官和来源(可以的话)、分辨周围的解剖、确认囊肿在腹盆腔的位置而快速缩小诊断的范围。分辨腹内囊肿来源于泌尿生殖道或胃肠道将有助于进一步分类和诊断,表中总结了卵巢囊肿与其他囊性占位的鉴别特征。

肾囊肿
肾囊肿可以是单发的,由一个孤立的单房囊肿组成,或是球形的,类似于MCDK。单纯性囊肿很少见,多数于孕期自发消失。在一个前瞻性纵向研究中,用阴道超声对连续的29,984例孕周为14-16周的孕妇进行评估,28例可确定为单纯性肾囊肿。其中24例(86%)在孕24周前自行消失。一个单纯性肾囊肿的影像学诊断标准是肾实质内单发的单房性囊肿;囊肿内无分隔,与肾盂不相通。肾的结构大体存在。任何与泌尿系统相关的囊肿都不应与胎儿卵巢囊肿混淆。
多囊性肾发育不良
MCDK(多囊性肾发育不良)是一种非遗传性肾发育不良。MCDK的超声表现包括多发的肉眼可见的、不相通的无回声囊肿替代肾组织,并严重地扭曲肾脏外形(图9)。一个多囊性肿块可依据它位于靠近脊柱肾窝的位置来确定其肾脏起源。肾盂和肾盏无法辨别,几乎总能观察到肾盂输尿管交界处闭锁。大多数MCDK病历是单侧的(80%),受累肾脏无功能。MCDK通常随着时间的推移渐退化;在9个月到10年完全退化率为19%-74%。肾脏初始长度6.2厘米或更少可以很好地预测受累肾脏完全退化。

图9.MCDK.胎儿的彩色多普勒超声横断位图像显示一个多囊性占位(箭),邻近脊柱和主动脉(Ao)。这是MCDK的典型影像表现。
肾盂积水
胎儿肾盂积水,可清晰看到肾盏与肾盂相通(图10)。周围肾实质可能回声正常、变薄、回声增强或者发展为阻塞性囊性发育不良。肾盂积水的位置邻近于脊柱,这有助于与其他腹部肿块如卵巢囊肿进行鉴别。大多数胎儿肾盂积水是轻度的,Sairam等将肾盂前后径4-7mm定义为轻度积水。大多数病例会在产前及产后自发地好转,极少数病例需要外科干预。然而,诸多产后疾病的发生风险,包括肾盂输尿管交界处阻塞、输尿管阻塞、梨状腹综合征、VATER综合征(脊椎缺陷、肛门闭锁,合并食管闭锁的气管食管瘘,肾和桡骨异常),孤立肾、肾肿瘤等,会随着肾盂积水严重程度的增加而增加。

图10.肾盂积水。胎儿的纵向超声图像显示显著的肾盂积水,积水继发于肾盂输尿管交界处梗阻。注意那些与肾盂(*)相通的扩张的肾盏(箭)。肾实质的厚度(箭头)比卵巢囊肿壁厚的多。RT=右侧
输尿管囊肿
输尿管囊肿是由于输尿管末端扩张而形成。超声表现为位于膀胱内的薄壁、无回声囊性肿块,偶尔会形成假分隔。影像上,如果能看到该囊性肿块是输尿管的直接延伸即可确诊输尿管囊肿(图11)。输尿管囊肿可分为单纯性和异位性。单纯性输尿管囊肿位于膀胱输尿管入口处(膀胱三角区)。异位输尿管囊肿通常与肾脏集合系统重复畸形相关,肾脏上半部分的输尿管插入点位于膀胱三角区的内下方。单纯性或异位性输尿管囊肿可能导致输尿管积水及肾盂积水。巨大的单纯性输尿管囊肿可能会阻塞对侧输尿管口,异位性输尿管囊肿可能导致重复集合系统的输尿管口狭窄。通常,肾盂积水是常规超声检查最早发现的。膀胱部分充盈是诊断输尿管囊肿的理想状态,因为膀胱完全充盈时可能压迫输尿管囊肿,而膀胱不充盈时可能将输尿管囊肿误诊为膀胱本身。一旦诊断了输尿管囊肿,还应仔细检查整个泌尿生殖道,排除是否合并集合系统畸形(图12)。
因为尿液是无回声的,一个内部有回声的肿块不应该被误诊为输尿管囊肿。少数输尿管囊肿位于膀胱外,可能会与腹内其他囊肿相混淆,包括那些卵巢来源的。一般而言,输尿管囊肿是在膀胱内而不是与膀胱相邻,它的大小会随尿流量而变化。然而,卵巢囊肿大小不会变化,通常位于膀胱的旁矢状面上方。

图11.输尿管囊肿及输尿管积水。(a)通过胎儿盆腔的超声斜横断面图像显示膀胱(B)内由输尿管囊肿(Ur)引起的“膀胱内膀胱”的征象。注意由此引起的输尿管积水(箭)。箭头指示脐动脉绕过膀胱,(b)同一胎儿,通过右肾的超声冠状面图像显示明显的肾盏扩张(箭)和被阻塞的上半部分肾皮质变薄。

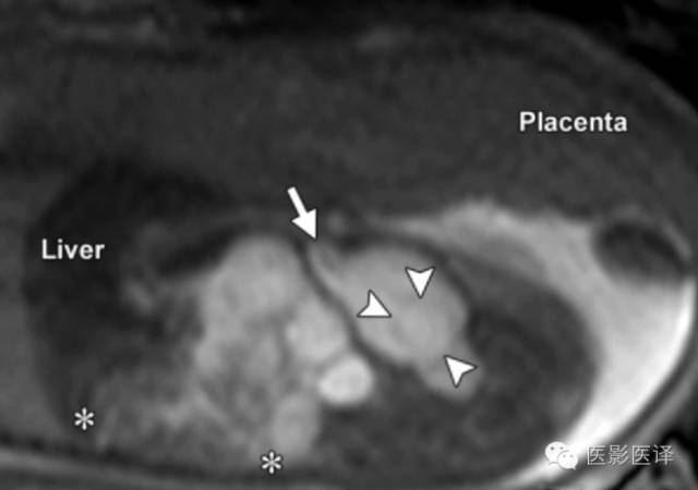
图12.输尿管囊肿和脐尿管未闭。19周胎儿,MRI T2WI序列矢状位图像显示膀胱内一个巨大输尿管囊肿(箭头)和开放的脐尿管(箭)延伸至脐部。这是一例罕见的交叉融合性的肾异位,由于输尿管囊肿,融合肾左半部分可见严重的肾盂积水。膀胱和融合肾右半部分之间的圆形高信号区域是左半部分肾盂积水的一部分。右半部分没有阻塞。鉴于母体情况,该婴儿于37孕周出生,患儿5岁时肾功能正常。
脐尿管囊肿或残留
脐尿管是腹内胚胎尿囊的一部分,它从胎儿膀胱顶延伸至脐部。管状脐尿管通常在孕6周左右退化形成位于正中的脐韧带。当膀胱与脐带插入点的脐尿管闭塞而中份的脐尿管仍然未闭锁时,就会形成脐尿管囊肿。超声显示腹内从膀胱至脐部的一个含液囊肿。脐尿管囊肿仅限于前部中线区,这不同于其他位于后部非中线区的腹内肿块,如卵巢囊肿。MR图像也可用于评价脐尿管残留,中线矢状位常可显示脐尿管。脐尿管囊肿与膀胱相通有助于证实脐尿管未闭(图12/13)。膀胱出口阻塞可能会导致脐尿管永久性开放,可以为膀胱减压。脐尿管囊肿也可与脐带囊肿相通,征象通常很明显。确诊后,建议影像随访。如有感染或恶变倾向,应该进行生后的手术切除。外科干预后,病人的预后非常好。

图13.脐尿管囊肿。胎儿的超声冠状图像显示膀胱顶部上方一个薄壁脐尿管囊肿(*)。脐尿管囊肿的超声主要表现是脐尿管囊肿与膀胱相通(箭)且从膀胱顶部延伸至脐部,这个表现在矢状位显示最佳(未显示).
阴道积液
阴道积液是指由于阴道口阻塞引起的阴道扩张积液。除阴道外,子宫也扩张时,这种情况称为子宫阴道积液。胎儿超声检查显示,盆腔中线区可见一液性肿块位于膀胱后方,可能与子宫相通并延伸至会阴部(图14)。阴道积液可以是处女膜闭锁、阴道横隔、阴道发育不全或闭锁的唯一征象。它也可能与泄殖腔畸形有关;若为双阴道,可能表现为两个充满液体的结构,通常大小不等(图15)。腹内中线区囊肿内发现液液平面或分隔,应该考虑泄殖腔畸形的可能。若发现阴道积液,应该彻底检查泌尿生殖道及胃肠道以寻找其他异常,比如泄殖腔发育不全、永久性泌尿生殖窦及肛门闭锁。MR图像对显示胎儿下消化道尤其有帮助。阴道积液可能与多个综合征有关,包括McKusick-Kaufman综合征、Langer-Giedion综合征和VACTERL综合征(脊柱缺如,肛门闭锁,心脏缺陷,气管食管瘘,肾脏异常及肢体异常)。阴道积液需要与来自于膀胱和直肠的肿瘤进行鉴别。卵巢囊肿和阴道积液都发生于女性胎儿,但是,阴道积液位于中线区并且延伸至会阴部,借此可以与卵巢囊肿鉴别。巨大或膨大的阴道积液压迫膀胱可能引起肾盂积水。阴道积液患儿出生后早期引流非常必要,可预防败血症和穿孔等并发症。

图14.晚孕期胎儿的子宫阴道积液。B=膀胱,U=子宫。(a)超声矢状位图像显示阴道梗阻扩张充满积液,与扩张的子宫通过宫颈相通(箭)。膀胱位于阴道前方,扫描过程中大小和形态会发生变化。(b)MRI T2WI序列矢状位的中线图像显示扩张的阴道延伸至会阴部。子宫向上移位,位于肝下缘胆囊后方(GB)。膀胱受压向前移位。箭=脐带插入位点。

图15:合并苗勒管异常的子宫阴道积液胎儿,可见泄殖腔畸形及阴道隔。超声横断位(a)及T2加权MR(b)横断面显示双阴道内液-液平面(箭头)。膀胱受压向前移位,继发肾盂积水。双侧扩张的输尿管从积水的肾脏延伸到膀胱。
肠重复畸形
肠重复囊肿是一种发生在胃肠道的罕见厚壁囊肿,囊壁由肌层及上皮组成,通常发生在小肠,以回肠居多。它最早可见于孕12周。由于囊壁由肌层和粘膜下层组成,超声检查可见“肠道信号”征,即分层的囊肿壁呈现出不同的回声特点(图16)。尽管“肠道信号”征是肠重复囊肿的一个典型的特征,但是其它的腹部肿物中也可能见到这个征象,因此不能作为确诊依据。若发现胃肠道和囊肿间共用低回声的固有肌层,或是囊壁显示胃肠道管壁的五种回声层,包括粘膜层(两层)、粘膜下层、固有肌层及浆膜层,则可以提高诊断肠重复囊肿的信心。这种五层超声表现在儿科患者中可以见到,在胎儿中则很难发现,但如果使用高分辨率的线性探头可能发现这一特点。一个案例报道甚至在十二指肠重复畸形中看到肠道蠕动,这一征象可以确诊。通常来说,前肠重复囊肿与脊柱畸形有一定相关性,后肠道重复囊肿与胃肠道重复畸形相关。通常建议手术切除以确诊,及预防并发症的发生,如肠梗阻。

图16:肠重复囊肿。(a)超声横断面显示,在胃和脊柱前方可以见到一个肠重复囊肿。注意观察特征性的囊壁“亮-暗-亮”分层现象,使用高频超声探头最易显示这一特征。(b)插图可以看到肠重复囊肿和肠壁的密切关系。
胎粪假性囊肿
胎粪假性囊肿是由于宫内肠道缺血穿孔、感染、或肠道梗阻形成的。肠道内容物漏出能够引起严重的肠道炎性粘连最终形成假性囊肿。超声表现为同腹膜形态及肝脏被膜相贴合的厚壁囊肿(图17)。85%的胎粪假性囊肿可以看到钙化。由于肠道内容物漏出及炎症反应,常可见到腹水。影像学中还可看到肠管扩张,这表明是肠道梗阻是肠穿孔的原因,从而导致了胎粪假性囊肿。缺血性肠管是高回声的,通常不扩张。产前肠梗阻包括胎粪阻塞(表明可能需要检测囊性纤维化的可能)、肠闭塞、肠扭转和肠套叠。如果肝被膜及肝实质内可以见到钙化,应该警惕感染。包含胃肠道的肿物可以除外卵巢囊肿。

图17:男性胎儿体内的胎粪假性囊肿。超声横断面显示该囊肿(箭头)与左肾分离,与腹膜边界贴合;它位于肠管前方,而且深入到腹壁内。胎粪囊肿常可见到内部分隔及囊壁钙化。箭=脐带插入点.
胆管囊肿
胆管囊肿是由于胆胰管连接部畸形所致的肝外或肝内胆管扩张。表现为右肝下间隙上份的单房囊肿,同肝被膜相邻。如果囊性肿物与入肝的扩张胆管直接相通,则可确诊胆管囊肿(图18)。磁共振成像能够更好的评价囊肿与扩张胆管、胆囊和肝脏的关系。如胆管囊肿没有切除,则产后并发症包括恶变、胆管炎和胰腺炎。胆道受累可以排除卵巢囊肿。

图18.胆管囊肿。(a)孕32周超声斜冠状位显示一个卵圆形囊性结构,有分支从肝实质进入该囊性结构。分支位于肝内,囊肿与肝实质关系密切,与胃壁有清楚的分界。(b)插图显示一个胆管囊肿的典型位置与解剖关系。
淋巴管瘤
囊性淋巴管瘤是由于不与淋巴系统相通的异位淋巴组织异常增殖所致良性肿瘤。组织中淋巴液潴留,形成囊性肿物。淋巴管瘤最常见于头颈部及腋窝,但也可发生于腹部。腹部淋巴管瘤大多数位于左侧肠系膜内。超声常表现为小肠系膜上较大的无回声厚壁多房多分隔囊肿(图19)。淋巴管囊肿可侵犯腹膜后或下肢。腹膜后或下肢受累可排除卵巢囊肿的诊断。确诊后建议超声随访,生后应行磁共振检查评估肿物的整体范围。通常需要手术切除以预防儿童期可能出现的并发症。

图19.孕34周6天胎儿淋巴管瘤。超声横断面(a)和T2加权MR横断面(b)显示腹膜后较大肿块(箭),包绕右肾。肿块位于腹膜后,鉴别诊断中可以排除卵巢肿物。LE=下肢,LT=左肾,Sp=脊柱
寄生胎
寄生胎是指同卵双生中的一个胎儿体内寄生有另外一个胎儿的身体。超声表现为边界清晰的复杂包块,内含钙化及混杂囊实性成分(图20)。肿物中看到脊柱的影像可以作为寄生胎的诊断依据,也有助于鉴别畸胎瘤。其他诊断标准需要包块包裹于囊腔中,部分或全部覆盖正常皮肤,可以大体辨认解剖结构,并与血管蒂相连。磁共振影像能够用于更好地评估肿块的起源。多普勒超声能够用于鉴别乏血供的寄生胎及富血供的肿瘤。寄生胎为良性,大多数位于腹膜后,而且需要生后切除。包块位于腹膜后可以除外卵巢起源。

图20.寄生胎。23周胎儿超声横断面显示一个长约36mm的半囊半实性包块(标尺标示)。肿物邻近脊柱,将胃(St)推挤至中线右侧,肝脏(L)向上移位。包块的位置及胃移位的方式表明其来源于腹膜后。卵巢囊肿不太可能在这个阶段的孕期出现。
胎儿卵巢囊肿的治疗
如发现胎儿卵巢囊肿,应该在孕期进行连续的超声检查以监测其大小和内部回声特性的变化。因为无法进行对照试验,胎儿囊肿抽吸术仍有争议,但Bagolan等建议,若产前囊肿直径大于5cm或是每周直径增大超过1cm,应该进行胎儿囊肿抽吸术。大的卵巢囊肿更易发生蒂扭转,而大部分胎儿卵巢囊肿的并发症(例如:坏死、粘连形成、丧失卵巢生育功能等)是由扭转引起的。Bagolan 等报道,卵巢囊肿大于5cm的胎儿中,85%需要卵巢切除术,仅15%会自行缓解,而卵巢囊肿小于5cm的胎儿中,69%可自行缓解,31%需要手术切除。扭转并不是早产的指征,因为扭转持续了多久通常不得而知,而且不论分娩时机如何,患侧卵巢很可能会失去功能。
生后囊肿抽吸术可以减少扭转的几率,且争议较少,因为胎儿出生后诊断更加明确,手术并发症风险更小,因此生后囊肿抽吸术的“价值和安全性是明确的”。新生儿卵巢囊肿达4-5cm或是更大者,应该考虑卵巢抽吸术。生后卵巢囊肿最保守的治疗是观察一段时间,因为卵巢囊肿可能会自发缩小。生后新生儿应该每4-6周进行一次超声检查,直到卵巢囊肿消失、增大、出现症状或持续6个月无变化。手术指征通常包括复杂性、有症状、持续增大及超过6个月的囊肿。Zampieri等发现大于5cm的囊肿通常需要手术治疗。新生儿卵巢囊肿进行腹腔镜术后是可行且安全的。对于巨大卵巢囊肿,为了保存卵巢功能,应该行保守手术治疗,如囊肿剥除术或开窗术。如果观察期间发生卵巢扭转,可以尝试卵巢扭转矫正法来保存卵巢功能(图21)。如果扭转可能导致败血症或血流动力学不稳定,应该考虑行卵巢切除术和输卵管-卵巢切除术。
胎儿卵巢囊肿信号复杂并不是一个手术绝对指征。Enriquez等发现信号复杂的胎儿卵巢囊肿在胎儿出生后只要患儿没有症状或囊肿小于5cm,并不一定需要手术治疗。该作者比较了信号复杂的卵巢囊肿在胎儿出生后观察和立即手术治疗两种方式。他们认为,虽然治疗目标是保留卵巢功能,他们医院及来自全国的许多病例最终仍然进行了卵巢切除或输卵管-卵巢切除术。他们观察了11例产前诊断的复杂性卵巢囊肿;每例均未行手术而自行消失。尽管卵巢囊肿能够自发消失,但囊肿消失后的同侧卵巢不能在影像学上识别。

图21.卵巢扭转。新生儿的术中图片显示子宫、左侧肾上腺及扭转的卵巢蒂(箭)。腹腔镜复位术顺利.
结局
因为产后来自母体及胎盘的激素水平骤然降低,大多数单发小囊肿产后会缩小。很多已发表的文章已经证实了这一发现。因此,即使卵巢囊肿自发消失,患侧卵巢的功能预后也较差。
在我们研究院,从1998年到2012年一共报道了20例胎儿卵巢囊肿(单胎)。诊断的平均孕周是33.5周(标准偏移,2.2周)。一共11例无需干预自行消失,这与我们对卵巢囊肿的预期相一致。11例中9例在出生前或生后6个月内自行消失。1例在出生7个月时自行消失,1例在出生后20个月时自行消失。20例中有2例为预防卵巢扭转行开窗术,术后均缓解(两个囊肿的最大径为6.3及8.8cm)。其它所有囊肿直径均小于6cm。20例中3例发生卵巢扭转,需要行输卵管-卵巢切除。4例失访。我们采用保守性治疗:没有进行抽吸术,根据产科指征进行分娩,无症状的新生儿进行临床及超声随诊。当需要手术时,首选腹腔镜手术。
结论
胎儿卵巢囊肿是由于在子宫内母体及胎盘激素高水平造成的,是女胎最常见的腹部囊肿。大多数胎儿卵巢囊肿在晚孕期诊断。胎儿腹部肿块的鉴别诊断较广泛,因此胎儿卵巢囊肿的诊断前提是胎儿泌尿生殖道及胃肠道无异常。诊断后,需进行连续超声来监测囊肿的大小或内部回声改变。单纯性卵巢囊肿通常自行消失。大于5cm的囊肿发生扭转的风险增加,因此需要密切监测,一些专家主张为防止扭转进行产前囊肿抽吸术。产前囊肿出现扭转征象需要仔细评估,出生后请外科会诊。
如出现并发症且需要手术干预,治疗目标是通过开窗术或囊肿剥除术保存卵巢功能。若扭转复位术失败,则需要进行卵巢切除术或输卵管-卵巢切除术。
【版权声明】本平台属公益学习平台,转载系出于传递更多学习信息之目的,且已标明作者和出处,如不希望被传播的老师可与我们联系删除
喜欢本期内容的 求收藏 求转发
如果您有ct片问题也可以直接头条私信
想要知道更多的放射科相关内容可以微信关注放射沙龙公众号
或者直接在应用商店*载下**放射沙龙app与放射科医生在线互动学习