文:柚子医师(本名陈木荣,一个4岁女儿的爸爸,柚子小儿科诊所院长,大家都叫他柚子医师,“柚子”两字缘自“佑子”谐音,只因创立至今一直希望柚子小儿科诊所可以护佑全天下的孩子。)

(本文所有图片来源:柚子医师)
案例一
4岁的小德,流了好多天的鼻涕,最近这几天的鼻涕甚至黄黄绿绿臭臭的,而且都集中在右边鼻孔,左边鼻孔完全没有问题。爸爸妈妈带了小德到儿科诊所就医,医师借着光线照明仔细看小德鼻孔,竟然用镊子从小德鼻腔中拿出了一个比台湾的1元硬币小一点的海绵垫片,小朋友自己说不清楚是什么时候放进鼻孔的,平常忙着工作的爸爸妈妈也不知道。

案例二
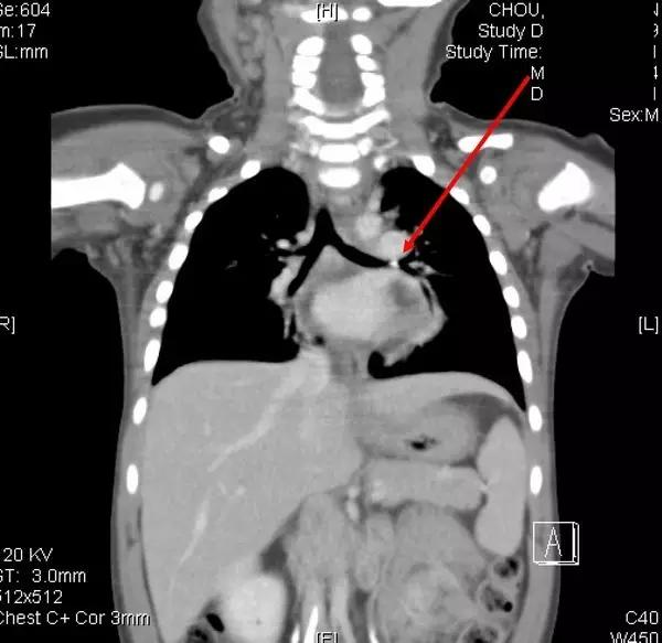
2岁的小光咳了2个月,原本以为是感冒,吃了不少感冒药,因为一直不会好,只好带到大医院,评估安排做进一步的检查。医师在检查之后,竟然用呼吸道内视镜从气管内夹出了一个小玩具车的小轮轴。仔细回想,爸爸妈妈才想到2个月前,小光把小玩具车放到嘴巴里,负责照顾的爷爷虽然手忙脚乱紧急抢下玩具车,却没有发现玩具车的小轮轴不见了。


小朋友上小学以前,除了用视觉听觉及触觉温觉来看看听听摸摸身边的每一项物品,有时候甚至会想要闻闻看以及尝尝看。因此,只要是小东西,都可能塞到鼻孔、耳朵中,也可能放入嘴巴进一步掉入气管或食道,还有些孩子会好奇心把小物品塞到肚脐或是小女生的会阴部,都要请爸爸妈妈多加注意小心。
“小东西放入鼻孔”
很多小朋友都有把小东西放入鼻孔的经验,常见的物品有*B弹B**、小橡皮擦、小玩具等。研究显示,如果小朋友把小东西放入鼻孔中,又没有及时被发现取出,久了之后可能出现浓稠的鼻腔分泌物、腥臭的鼻孔味道、流鼻血、鼻塞及张嘴呼吸等症状。除了以上这些症状,要怀疑鼻孔内可能有异物之外,爸爸妈妈也要特别记得,有一必有二,如果小朋友之前曾经把小东西放入鼻孔中,就很有可能有第二次。

“小东西放入耳朵”
小朋友其实很喜欢把小东西放入耳朵,只要爸爸妈妈及时发现,小朋友年龄又大到可以乖乖的配合医生,把耳朵中的异物拿出来并不会十分困难。但是如果小朋友年龄太小,没有办法安安静静地让医生夹出耳朵中的异物,就得要考虑全身麻醉了,更困难的是爸爸妈妈根本没有发现到小朋友把异物放到耳朵中,那就只能等到小朋友开始抱怨耳朵不舒服,或是某次的感冒看医生例行检查耳朵才会发现。
“小东西进入气管”
比起鼻孔跟耳朵,小朋友更喜欢把玩具放到嘴巴咬一咬。嘴巴是气管跟食道的开口,而气管是维持呼吸很重要的管道,不论那一种东西进入气管,都会有大问题。因为这种情形有73%发生在3岁以下的孩童,也因此各位爸爸妈妈在购买玩具时,常看到玩具的警语上写着:本玩具附有细小配件及电池,3岁以下孩童使用玩耍时应由成人在一旁监督。
虽然进入气管的小玩具小零件偶尔可见,事实上,常见进入气管的异物还是以食物居多,其中有三分之一是坚果类,尤其是花生。不管是那一种物品或食物,如果进入气管的异物完全阻塞呼吸道,会造成窒息,马上就有危险性,应在第一时间施行哈姆立克急救,如果是造成呼吸道的部分阻塞,可能出现哽住、作呕、咳嗽等症状,应尽速就医,以呼吸道内视镜取出異物。
“小东西进入食道”
因为食道原本就是食物通过的管道,因此不会有食物误入食道的问题,但是要小心的就是那些不是食物又被吞下去的东西。6个月至3岁之间的孩童,常常喜欢把他看到的每一样东西放到嘴巴里,最常被误食的異物以硬币及小玩具居多。而且至少有30%的小朋友,吞下东西之后可以完全没有症状的,所以家长平时的小心看顾十分重要。
吞入食道的異物如果是硬币等钝状物品,且没有造成任何症状,可以观察24小时,等待其进入胃部,一旦进入胃部,大部分的异物可自行排出。此时期要小心观察小朋友是否有腹痛、呕吐、持续发烧、吐血或解黑便等症状。如果进入胃部的物体太大,仍然可能卡在胃部而没有自行排出,须用内视镜取出。一定要小心的是,吞入食道的異物如果是别针或是钉书针之类的尖锐物品,就一定要紧急取出異物。
“小心圆形钮扣电池”
再请各位爸爸妈妈多注意小颗的圆形钮扣电池,钮扣电池因为体积大小适中,很容易被小朋友放入嘴巴鼻孔及耳朵。因为钮扣电池的放电及腐蚀能力,可能在1小时内造成黏膜伤害,甚至有可能造成生命危险。因此钮扣电池不论是被放入鼻孔、耳朵,或是进入气管食道,都必须紧急取出,而不能只有观察等待。
综合以上所述,在预防重于治疗的大观念之下,请爸爸妈妈一定要注意,选购玩具及家中所有物品时,一定要配合家中孩子年龄做选购,别把太小的物品给年龄太小的孩子独自使用。而且大家可以发现,所有的异物进入孩童体内,只要爸爸妈妈及时发现,都可以尽快安排医疗处置,但是如果没有在塞入异物的第一时间马上发现,因为后续发生的症状多样变化,许多的医疗检查,都可能令孩子受苦。因此,请各位爸爸妈妈一定要小心地随时注意家中孩子的一举一动。
★本篇文章由【柚子小儿科诊所】授权亲子天下刊登,未经同意禁止转载
★关注亲子天下微信公众号(cn-parenting),好文章天天收得到