利用超声波对输卵管妊娠进行检查时,常规使用经腹超声显像仪检查,经阴道的超声显像检查由于避开了肠道气体的影响,并且利用高频率的超声波,明显优于经腹壁的超声显像检查。输卵管妊娠时超声检查可能有以下发现。
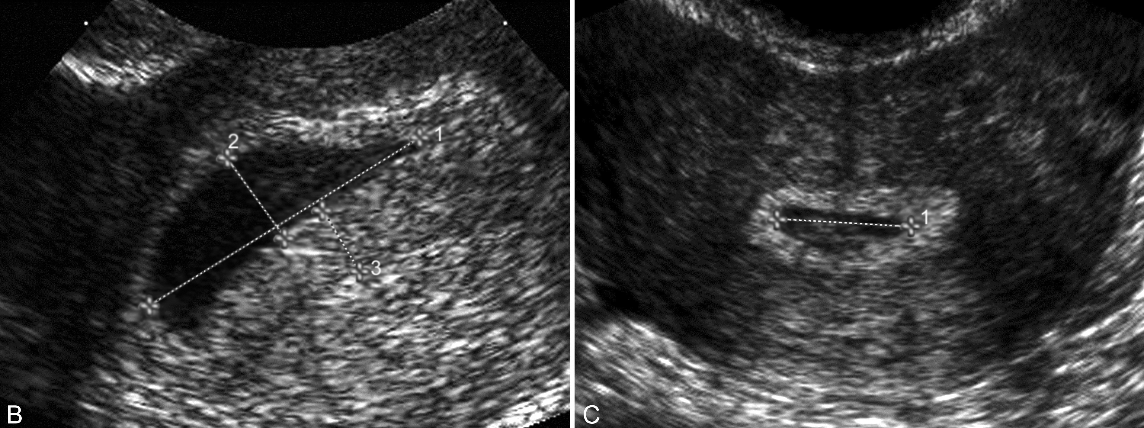
1、子宫增大 在激素的作用下,几乎所有的输卵管妊娠均可引起子宫体积的增大,但大多数小于停经月份;子宫内膜回声增厚,约有10%~20%的患者宫腔内可显示梭形或扁圆形无回声结构(图1,2),称为“假妊娠囊”(false gestational sac)或称为宫腔内积液(intrauterine fluid with ectopic pregnancy)。一般认为,正常的宫内孕囊多位于子宫腔内的一侧,与子宫腔一起形成“双环征”。仔细检查其内部有无卵黄囊及胚胎回声对鉴别宫腔内妊娠和宫腔外妊娠很有价值。部分病人子宫可无明显增大。由于近年来子宫内外同时妊娠的发生率明显增加,当在子宫腔内确定妊娠后,也要仔细检查子宫旁回声,以排除子宫内外同时妊娠的可能。

图1宫外孕并宫内积液:子宫右侧显示异位妊娠(EP),宫腔内显示积液(箭头)

图2宫外孕并宫内积液:B:TVU宫腔内示梭形无回声;C:TVU示宫腔内椭圆形无回声
2、附件区团块 输卵管妊娠未破时显示为附件区圆形或椭圆形团块,形态规则,但内壁整齐、清晰(图3)。一般认为,单纯性囊性包块诊断输卵管妊娠的几率不足5%,显示为混合性包块时提示异位妊娠的可能性超过90%。团块内部呈混合性回声或显示典型的孕囊回声(图3,图4),部分(10%~20%)可以显示卵黄囊、胚胎回声或/和胎心搏动(图3,图4), 甚至可以显示胎动。破裂后常可见由妊娠组织、血凝块和周围组织或器官等形成的不规则团块,边缘不清晰、内部回声不均匀,多数区域显示为较低的回声(图5)。

图3 输卵管壶腹部妊娠:A:附件区示局限性回声;B:内部显示无回声及卵黄囊(YS)

图4 输卵管妊娠:右侧附件区显示完整孕囊回声,胚胎2.3mm

图5输卵管妊娠破裂并腹腔积血:子宫(Ut)右后方显示不规则血块回声(EPM)

图6输卵管妊娠破裂并腹腔积血:肝肾间隙内显示积血无回声,脾脏周围显示积血无回声
极少数情况下可以显示同侧的卵巢回声和黄体回声(图5)。
3、腹腔积液 输卵管妊娠流产或破裂急性发作时,可引起腹腔内的严重出血。超声检查可在盆腔及腹腔肠间显示片状无回声区(图6,图7)。部分未破裂的输卵管妊娠亦可由于绒毛侵蚀输卵管壁、局部血管出血沿输卵管远端流出,以至有一半以上的未破裂或未流产的输卵管妊娠中也有盆腔内少量积液存在。

图7宫内妊娠合并宫外孕腹腔积血