去年,众多抗癌研究取得突破进展,如PD-1为首的免疫治疗不断斩获各类实体瘤的适应症,多靶点广谱抗癌药LOXO-101惊艳的临床数据震撼肿瘤届......如果说2017年是肿瘤进阶的一年,那么2018年在人类抗癌史上将具有里程碑式的意义,因为仅截止到4月,已有众多新研究出炉,每一项都对癌症患者意味着新的希望!全球肿瘤医生网医学部为癌症患者总结了目前肿瘤界及癌友圈最热的五大类研究进展,一起来了解下吧!
一、中国的癌症免疫治疗迈入元年!
以PD-1抗体为首的免疫治疗无疑是近两年肿瘤领域最重要的突破,我们就不再回顾之前的佳绩了,直接奉上最新的研究进展:
2018年1月16日, Keynote 189
默沙东宣布:一个由614位晚期肺癌患者参与的大型的三期临床试验再次证实,肺癌患者一线使用PD-1抗体联合化疗比单独使用化疗效果更好,患者的无进展生存期和总生存期大幅度延长。这个临床试验代号Keynote 189,据称此研究获得的PFS和OS的双重阳性结果,将在即将举行的AACR大会进行报道(4月16日)。
2018年2月,Checkmate-227
我们知道在CM026研究失败后,BMS的Nivo在一线一度沉沦,相反被MSD的Pembro在一线占据极大市场。基于CM227的研究结果,百时美施贵宝(BMS)在2月宣布其PD-1抗体Opdivo联合CTLA-4抗体Yervoy,一线用于肿瘤突变频率高于10mt/MB的肺癌患者的临床试验也获得了阳性结果,可大幅度提高患者的无进展生存期。
该结果是基于TMB的表达,以10mut/mb作为Cut off值,这个数值高表达人群能占到45%的比例。如若能临床获益与检测普及,或许能在一线扳回一局,能否超越Pembro目前的一线地位,令人期待。此外,该研究除了以TMB为Biomarker观察PFS以外,还将依据PD-L1的表达观察OS值。具体数值将在本次AACR公布(4月16日)。
2018年3月,Impower131
罗氏宣布其大型三期临床试验Impower131取得成功:晚期肺鳞癌患者,一线治疗直接使用一线治疗直接使用PD-L1抗体Tecentriq联合化疗(卡铂+白蛋白紫杉醇)比单独使用化疗效果更好,可以显著降低疾病进展或者死亡风险(PFS),中期数据分析暂时没有发现在生存期上的差别,安全性可控,具体临床数据稍后公布。
2018年4月,KEYNOTE-042
4月9号,制药巨头默沙东(MERCK)无比兴奋的宣布:在一个1274位患者参与的大型三期临床试验中,无突变的肺癌患者(PD-L1表达大于1%),一线治疗直接使用PD-1抗体比使用标准化疗的生存期显著延长,副作用也应该更小,开启肺癌去化疗时代。具体的临床数据,会在稍后的肿瘤会议中公布,敬请期待。
这些临床试验共同说明对于没有EGFR/ALK等敏感突变的肺癌患者来说,一线直接使用PD-1/PD-L1抗体或者PD-1抗体+化疗,有效率更高,生存期更长,无突变肺癌患者迎来了新生!
值得一提的是,PD-1在美国上市已经有4年,据统计,从2014年7月到现在,PD-1*制剂抑**药物已经在包括日本、美国、欧美、澳大利亚和中国香港在内的全球60多个地区上市,全球无数的瘤患者已经受益于这种抗癌新药。
2月11日,默沙东PD-1单抗Keytruda的上市申请(JXSS1800002)获得CDE承办受理。同时Keytruda有了一个响亮的中国名字--帕博利珠单抗注射液。这意味着这款风靡全球的抗癌药即将登陆国内,造福无数的肿瘤患者!2018年,中国将迈入免疫治疗的元年!

二、针对17种肿瘤的传奇抗癌药上市在即!
2018.它的出现,让部分本无药可用的肿瘤患者,有了“治愈”的希望!
美国时间2月21日在线的新英格兰医学杂志(NEJM)上公布了传奇抗癌药larotrectinib(LOXO-101)同时进行的三项安全性和有效性研究结果,对于年龄为4个月至76岁的患者,针对17种不同癌症治疗总体应答率为75%!

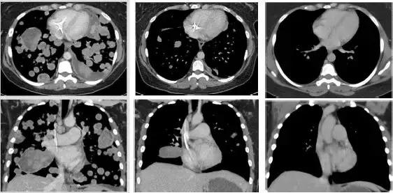
肉瘤双肺转移患者治疗前 治疗13周期肿瘤几乎完全消失!
2018年3月26号,拜耳和LOXO公司宣布已经正式完成了Larotrectinib在美国的上市申请工作,接下来,就是等待FDA的决定。预计将在2018年上半年获批上市,届时全球肿瘤医生网医学部将在第一时间报道!
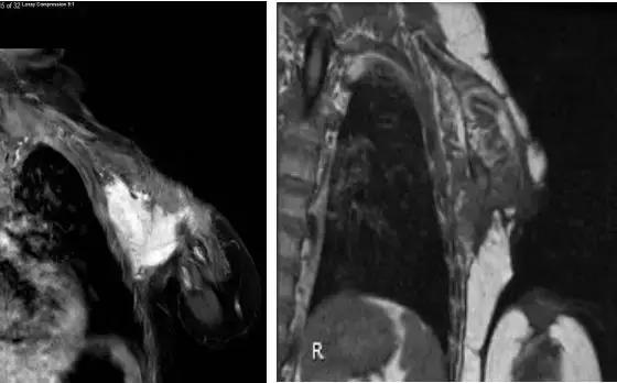
美国时间3月28日在线的权威肿瘤学杂志柳叶刀上又传来传奇抗癌药larotrectinib(LOXO-101)的最新研究数据!此次该药在部分儿童癌症患者达到了93%的治疗应答!其中,有两位儿童纤维肉瘤患者,用药之后肿瘤缩小,随后进行了手术切除,停药4.8个月和6个月之后,肿瘤没有复发,也似乎看到了“治愈”的希望。

2岁纤维肉瘤治疗前,治疗5周期后
究竟哪些患者可以使用传奇抗癌药larotrectinib(LOXO-101)?
与PD-1相同的地方是,拉罗替尼也在多种肿瘤中显示出惊人的效果,不同的是Larotrectinib是一个靶向药,针对的是NTRK1、NTRK2或者NTRK3基因融合的肿瘤患者,只要有这三个基因融合的患者,不限癌症类型,都可以考虑使用Larotrectinib。
根据研究显示,这些癌症患者存在此类突变的概率较大:

因此,这些患者可以积极进行NTRK融合的检测,概率还是很大的。
对于国内常见的肺癌和肠癌,NTRK融合的比例比较低,分别在3.5%和1.5%。国内权威的基因检测公司进行的全基因检测基本都涵盖这些靶点,做过的患者一定去看看检测报告有没有这个NTRK基因融合。虽然概率低,万一碰上了,就真的中大奖了。

国内权威基因检测公司检测位点列表
关于拉罗替尼的抗癌神话仍在继续,我们一起期待它尽快上市,造福患者!
想详细了解的患者可查看这篇文章:重磅新数据!针对17种肿瘤的传奇抗癌药LOXO-101公布新数据,这次有效率高达93%!
三、新型肿瘤疫苗大放异彩!
医学界关于癌症疫苗的探索从未间断,然而取得的成绩却非常有限,直到FDA在2010年批准Provenge(sipuleucel-T)治疗前列腺癌时,癌症疫苗才真正大放异彩!
五年后,古巴和美国的科学家合作开发了肺癌疫苗。他们早期的试验表明,这种治疗方法可以帮助60岁以下的晚期肺癌患者平均比未接种疫苗的患者长11个月!
更重要的是,目前国内的晚期肺癌患者已经可以通过全球肿瘤医生网申请这种经济有效的治疗型疫苗!
2018年1月31日发表在《Science Translational Medicin》上名为“Eradication of spontaneous malignancy by local immunotherapy” 的研究中,斯坦福大学医学院的研究人员成功的将微量的两种免疫刺激剂注射到小鼠的实体瘤中,并有效的消除了小鼠体内所有的癌症痕迹,甚至包括远端未经处理的转移病灶!这一研究成果引起了肿瘤学届的轩然大波,临床医生及肿瘤患者均期待这款癌症疫苗能尽快应用于人体,造福患者!

详情查看:震撼肿瘤界,新型“癌症疫苗”可使小鼠癌症全部消退!已进入临床试验!
2018年4月,该疫苗宣布正式开展人体临床试验,如果它有效,那么在肿瘤手术切除以前可以用这种方法来帮助预防转移,甚至预防癌症复发。另外一项研究是今天刚刚发表在《Science Translational Medicine》上一篇名为“Personalized cancer vaccine effectively mobilizes antitumor T cell immunity in ovarian cancer”,在宾夕法尼亚大学进行的一项初步临床试验中,一种新型癌症疫苗取得了可喜的成果。这一次,不仅仅是小鼠模型。在晚期卵巢癌的人体试验显示:
对该疫苗有所响应的患者们,其2年总生存率为100%!无一例外!
每种疫苗基本上都是针对患者个性化的注射,使用患者自身的肿瘤,该肿瘤具有独特的突变集合,因此具有独特的免疫系统表现。它也是一种全肿瘤疫苗,旨在刺激免疫反应,而不是针对一种肿瘤相关的靶点,而是针对数百种或数千种靶点。
虽然这两种疫苗距离进入临床造福患者还有一段距离,但是我们能看到医学界每天都有新的突破,和对攻克癌症做出的不懈努力,癌症患者一定要坚定信心!我们共同期待更多的癌症疫苗研发上市,造福更多癌症患者。
四、电场疗法有效延长实体瘤患者生存期!
自从2015年FDA批准电场疗法用于新诊断的胶母细胞瘤之后,电场疗法就一直为国内外的癌症专家及患者所关注!由于其原理适用于多种实体肿瘤,因此,电场疗法不仅在脑瘤领域得到神经科肿瘤专家的广泛认可,同时在肺癌、卵巢癌、胰腺癌等临床试验中均公布出惊艳的数据,在不影响患者生活质量的基础上大大延长患者的生存期,给了癌症患者新的选择和希望!
2018年4月14日至4月18日,在即将隆重举行的美国癌症协会年会上,将公布35项电场疗法的重磅研究数据!
这35场报告中,有18场是由外部领导的研究。临床和临床前期研究包括电场疗法在七种癌症类型中的应用,我们将会在第一时间翻译解读敬请期待!
以下是报告的详细时间及摘要,先一睹为快吧!
|
编号 |
时间 |
摘要 |
|
CT086 |
下午1点至5点,4月16日 |
电场疗法和放射治疗(RT)对新诊断的胶质母细胞瘤的安全性:一项临时初步研究的安全性结果。R. Grossman。 |
|
CT081 |
下午1点至5点,4月16日 |
在2期研究中电场疗法与贝伐单抗联合治疗复发性或晚期脑膜瘤。P. Kumthekar。 |
|
CT082 |
下午1点至5点,4月16日 |
电场疗法与标准治疗联合治疗铂类失效后4期非小细胞肺癌(NSCLC):3期LUNAR研究。美国温伯格。 |
|
CT084 |
下午1点至5点,4月16日 |
HEPANOVA:索拉非尼联合电场疗法治疗晚期肝细胞癌的二期试验。A. Grosu。 |
|
CT105 |
下午1点至5点,4月16日 |
电场疗法的安全性分析:对来自四个I-II期试验的176名患者进行的荟萃分析。I. Vergote。 |
|
CT108 |
下午1点至5点,4月16日 |
电场疗法与洛莫司汀(CCNU)联合使用 - 安全性分析的EF-14 3期临床研究。A. Kinzel |
|
CT092 |
下午1点至5点,4月16日 |
电场疗法对复发性或进展性高级别胶质瘤和室管膜瘤患儿的疗效; 小儿脑肿瘤协会PBTC048。S. Goldman。 |
|
CT100 |
下午1点至5点,4月16日 |
新诊断的胶质母细胞瘤中电场疗法对健康相关生活质量(HRQoL)的影响:EF-14随机III期试验的探索性分析。T. Walbert。 |
|
CT157 |
下午1点至5点,4月17日 |
PANOVA-3:电场疗法与nab-paclitaxel和gemcitabine一线治疗局部晚期胰腺癌(LAPC)的第三阶段研究。美国温伯格。 |
|
CT138 |
上午8点至12点,4月17日 |
开放标签,针对性干预,以最大电场强度治疗复发GBM。N. Mikic。 |
|
LB-257 |
下午1点至5点,4月17日 |
新诊断的胶质母细胞接受电场治疗的成本效益比增加。G. Guzauskas。 |
|
CT151 |
下午1点至5点,4月17日 |
在III期METIS研究中,电场疗法和放疗联合治疗1至10例NSCLC脑转移瘤。M. Mehta。 |
|
CT097 |
下午1点至5点,4月16日 |
胶质母细胞瘤患者的定量MR测量:电场疗法加标准治疗对比标准治疗的平均扩散率。J. Vymazal。 |
|
676 |
下午1点至5点,4月15日 |
电场疗法对同时放疗治疗新诊断胶质母细胞瘤的剂量学影响的初步研究。G. Stachelek。 |
|
621 |
下午1点至5点,4月15日 |
评估电场疗法与关键抗肿瘤T细胞功能的相容性。G. Diamant。 |
|
1343 |
上午8时至12时,4月16日 |
在应用电场疗法之后,通过激活AMPK诱导自噬。A. Shteingauz。 |
|
1860 |
上午8点至12点,4月16日 |
电场疗法对胶质母细胞瘤细胞有丝分裂的影响通过检查点抑制得到增强。A. Kessler。 |
|
1865 |
上午8点至12点,4月16日 |
150 kHz电场疗法和索拉非尼联合治疗肝细胞癌。K. Gotlib。 |
|
1463 |
上午8时至12时,4月16日 |
电场疗法和Aurora B激酶*制剂抑**的功效。D. Krex。 |
|
1707 |
上午8时至12时,4月16日 |
电场疗法发挥细胞和免疫作用。E. Wong。 |
|
2273 |
下午1点至5点,4月16日 |
基于肿瘤细胞系对电场疗法反应的Meta分析。GL Shahaf。 |
|
2284 |
下午1点至5点,4月16日 |
电场疗法治疗胶质母细胞瘤的MRI图像处理。 J.J. Timmons。 |
|
3199 |
上午8时至12时,4月17日 |
计算机研究表明电场疗法治疗范围可以到达小脑。S. Levy。 |
|
3195 |
上午8时至12时,4月17日 |
行动的分子机制和电场疗法的细胞目标。A. Kalra。 |
|
3204 |
上午8时至12时,4月17日 |
使用电场疗法治疗胰腺癌的传感器阵列配置优化。A.Naveh。 |
|
3209 |
上午8时至12时,4月17日 |
电场疗法细胞内机制的数值模拟。K.卡尔森。 |
|
3217 |
上午8时至12时,4月17日 |
电场疗法在DNA损伤修复和复制应激途径中的新作用。NK Karanam。 |
|
3208 |
上午8时至12时,4月17日 |
胶质母细胞瘤中肿瘤治疗领域治疗的最佳阵列布局 - 倾斜阵列布局优于标准LR和AP位置。N. Mikic。 |
|
4194 |
下午1点至5点,4月17日 |
电场疗法在体外影响各种癌细胞的侵袭特性和细胞形态。RS Schneiderman。 |
|
4398 |
下午1点至5点,4月17日 |
电场疗法改变患者高级脑膜瘤细胞系的增殖和形态。SK Michelhaugh。 |
|
4376 |
下午1点至5点,4月17日 |
电场疗法在体外减少患者肺癌脑转移细胞的增殖。SK Michelhaugh。 |
|
4111 |
下午1点至5点,4月17日 |
基于wEPT,用于电场向大脑输送的建模。C. Tempel-Brami。 |
|
4637 |
下午1点至5点,4月17日 |
电场疗法对高级小儿脑肿瘤细胞系具有抗增殖作用。J.Branter。 |
|
5828 |
上午8点至12点,4月18日 |
Withaferin A和电场疗法协同抑制神经胶质瘤增殖。E. Chang。 |
|
5898 |
上午8点至12点,4月18日 |
一种确定的成胶质细胞瘤系统治疗方法。C. Dongjiang。 |
暨近两年日本成功引进该技术,并取得显著临床效果后,中国也着手开展此项具有安全、有效、副作用小、预防复发和转移等多项独有优势的新技术,并且已经有多个国内神经外科专家在评估与参与该技术的临床试验。
最后,小编整理了电场疗法的详细数据信息,感兴趣的患者可以点击下文了解详情:临床指南:电场治疗在脑胶质瘤中的进展及应用!(美国临床肿瘤学杂志)。或致电全球肿瘤医生网医学部(400-666-7998).我们希望,这种新型癌症疗法能够早日在国内研发成功。
五、癌症治疗终极解决方案登陆中国!
提起精准医疗,相信所有的癌症患者都不再陌生,最近几年,基因检测靶向治疗成为了癌症治疗领域最炙手可热的热门话题,各类靶向药的研发上市,也让大大小小的基因检测公司彻底火了一把,并且未来10~20年,基因检测仍然是癌症靶向治疗的标准动作。
然而权威数据统计显示:基因检测实际受益的患者不到10%!大部分的患者仍然需要有效的化疗方案。如何帮助癌症患者和临床医生找到最佳的用药方案是癌症临床治疗迫切需要解决的难题!
能够实现全民精准医疗的美国技术--凯瑞思多平台分子分析登录中国!
凯瑞思精准生命科学公司是全球领先的分子科学创新者,是迄今为止最全面的精准治疗技术之一,拥有世界最高级别的实验室认证。多平台分子分析不同于普通的基因检测,不单单提供靶点突变及靶向药靶向治疗选择,而是通过全基因检测+ 多平台分子检测服务,同时从DNA、RNA和蛋白质三大层面(一般的二代测序仅基于DNA),揭示每位癌症患者的分子蓝图,全面分析用药方案,精准的为临床医生及患者呈现化疗、靶向治疗及免疫治疗药物在内的所有治疗选择!
1、凯瑞思检测在超过90%的患者中可发现药物靶标!
在12265名患者基因检测中发现生物标志药物,凯瑞思检测在超过90%的患者中可发现药物靶标!与普通检测相比,凯瑞思让患者的临床治疗获益更大!

2、平均74%凯瑞思检测检测的病人会接受检测报告治疗指导!

普通的二代测序为癌症患者推荐的仅为靶向药物,因为大部分未上市及药品价格昂贵等因素,患者实际上并未受益,而凯瑞思的检测报告中给出的治疗方案有80%是跟癌症患者精准匹配的化疗药物,患者的治疗选择大大增加,可实施性强。
3、40%的癌症患者临床获益!无进展生存期PFS 增加≥ 30%!

通过二代测序,仅有10%的癌症患者能临床获益,原因很简单,大部分癌症患者没有基因突变,或者突变的基因目前无药可解,而凯瑞思不仅提供靶向用药方案,还提供激素治疗、化疗、免疫治疗等全面的药物的方案,让患者大大获益。
4、提高生存率,减少用药次数!

化疗方案有50%的有效率,你当然可以赌一把,用错了就当陪榜,再换下一种方案。。。可是对于癌症患者来说,时间就是生命,手术后的初始用药方案对五年生存率及预后至关重要!研究发现,使用凯瑞思检测的患者平均用药方案为3种,而普通的二代测序为4种,这意味着,凯瑞思能更精准的指导患者用药,减少患者因无效用药更换方案的次数,并降低死亡风险32%!
分子表达图谱可以帮助您:
-
找到潜在的临床有效药物
-
提示可能有效的其他治疗方案
-
避免采用无效的药物
-
寻找临床试验的药物
2018年,凯瑞思多平台分子分析技术登陆中国,可为国内癌症患者提供癌症治疗综合解决方案,帮助临床医生和癌症患者真正找到最佳的用药方案!详情致电全球肿瘤医生网医学部咨询。
2018年,国内外将有更多的靶向药物上市,将有更多的免疫疗法突*局破**限,斩灭各个类型的癌症,也将有更多的癌症患者走出癌症的阴霾,重获新生,让我们坚定攻破癌症的信心,静待佳音!
声明:
本公众号内容仅作交流参考,不作为诊断及医疗依据,仅依照本文而做出的行为造成的一切后果,由行为人自行承担责任。专业医学问题请咨询专业人士或专业医疗机构。
全球肿瘤医生网是由医生组建的专业肿瘤患者服务平台,是国内权威国际诊疗服务机构之一,与国内外知名医院保持密切的会诊和转诊合作关系,可以帮助癌症患者在全球范围内选择适合的医院、专家、技术、药物、临床实验进行治疗,可以为患者提供终身的病情追踪和抗癌服务。