卵巢是女性重要的生殖器官,她是分泌雌激素、孕激素和类固醇激素的主要组织,位于子宫两侧,呈双侧卵圆形。
她们是安静的器官,大多数的时候我们都感受不到她们的存在,但她们却始终在默默地储存并孕育着人类生命的种子——卵母细胞。
通常,有性腺功能的组织器官都容易因遗传、环境和内分泌因素而发生核内基因突变形成肿瘤,而卵巢的恶性肿瘤总是在静悄悄中发生,临床上发现卵巢癌时,大多数已发展到晚期,丧失了彻底手术切除的机会。
这个神秘而重要的器官,我们需要对她有更多的了解和关注!
那么,应该如何对卵巢疾病做到早发现、早诊断和早治疗呢?
如何读懂临床实验室的病变标志物数据呢?
如何通过临床超声检查进行卵巢疾病的初筛呢?
又如何进一步通过医学影像学的磁共振检查来诊断卵巢疾病呢?

汤光宇教授
本期我们邀请了上海同济大学附属第十人民医院放射科主任、上海市医学会放射学会委员、MRI学组组长、《临床放射杂志》《上海医学》《中国CT和MRI杂志》《中国临床医学影像杂志》编委、伦琴医疗核心专家汤光宇教授,给我们科普“超声查出卵巢肿瘤,为什么还要做磁共振?”
▌卵巢肿瘤概述
卵巢肿瘤是女性非常常见的一种肿瘤,仅次于乳房肿瘤。卵巢肿瘤,早期没有症状,到医院发现的时候,基本都是晚期,很多甚至已经转移。卵巢肿瘤因为恶性程度比较高,一般预后不好,五年生存率低,只有20%-30%左右。所以,早期诊断卵巢肿瘤,对患者的预后非常有作用。

当出现不明原因的消瘦、贫血,尤其是在腹部、下腹部摸到肿块,大家一定要特别注意,最好及时去医院检查。常规体检包括血液的肿瘤标志物检查和超声检查。

血流的肿瘤标志物,有很多种,常见的有CA125、CA199,这些对肿瘤筛查非常有用。AFP适用于特殊的肿瘤内胚窦瘤筛查,绒癌筛查HCG有作用,更多的卵巢肿瘤病人,需要通过影像学检查来诊断。
▌超声检查

影像学检查做得最多的是超声和磁共振,其中,超声是卵巢肿瘤筛查的一种非常有效手段。通常有两种方式:一是经阴道超声,二是经腹超声。经阴道超声有助于发现一些小的病灶。当病灶或肿块很大时,经腹超声作用比较明显。

超声有常规的二维B超,也有彩色多普勒、超声造影等。由于卵巢肿瘤的构成非常复杂,种类非常繁多,大多数卵巢良恶性肿瘤都没有特异性的声像图像,所以做超声诊断卵巢肿瘤的特异性不是很高,只能够早期发现肿块。
超声的优点是简单、方便、快捷、便宜、价格低。它的缺点也很明显,超声对医生的依赖性非常大,医生的水平高低,直接影响了诊断的效果;超声图像的清晰度、分辨力不如CT、 MRI;患者胃肠道的含气很多,或过于肥胖、腹腔有积液、肿块特别大时,超声诊断的效果不好。
▌磁共振成像(MRI)检查

磁共振成像检查(MRI)是继CT之后,医学影像检查工具的一个重大突破。上世纪80年代以来应用于临床,具有一些特别好的优点,如没有X线,对人体无辐射,软组织分辨率非常高,多参数、多方位成像等,在卵巢肿瘤的诊断方面得到了广泛地应用。
▌MRI多参数成像意义
磁共振多参数成像能够对肿瘤里的成分进行分辨,如水份、脂肪、血液、纤维组织等,同时磁共振还有动态增强,便于了解肿瘤血液动力学的变化。磁共振成像范围大(大FOV),一次性能够完成整个腹部的检查,所以很容易了解肿瘤与临近血管的关系。有些病人,肿瘤可能不大,但是已经出现了转移,磁共振能发现临近的骨盆转移、后腹部区转移、骨转移,所以对卵巢肿瘤的诊断价值非常大。

如图所示是卵巢肿瘤中一种比较常见的畸胎瘤,它含脂肪和牙齿,脂肪组织在磁共振常规序列上呈现为高信号,通过抑脂成像,脂肪信号下降,很容易分辨出肿瘤内含有脂肪。

磁共振增强扫描,可以看到是否有特别的软组织强化,如果没有就是良性的畸胎瘤,如果有增厚的、结节样的肿块,有软组织成分强化,就要考虑是恶性的畸胎瘤。

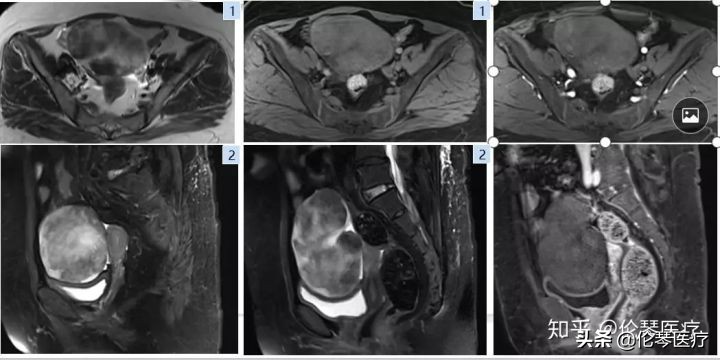
如图所示是卵巢肿瘤中另一种比较常见的实性肿瘤——卵泡膜纤维瘤,在绝经后妇女中发病率比较高。卵泡膜纤维瘤是一种良性肿瘤,如果术前能够很清楚地诊断出来,对患者的预后和心理都非常有帮助。磁共振在这方面,非常有价值。卵泡膜纤维瘤里含有大量纤维组织,这些纤维组织在CT和超声上,都没有特异性,分辨不出来,但在磁共振上,T2WI表现为低信号,非常有特征性,很容易就能得出诊断。

磁共振的另一优势在于多方位成像,成像范围大(大FOV),这也是基于卵巢肿瘤本身具有的特点。因为卵巢肿瘤通常会长很大,占据整个腹部,超声对于这么大的肿瘤,很难了解到细节。而磁共振多方位成像就可以全面了解肿瘤的上下左右关系,以及肿瘤和血管之间的关系。

如图所示病例,初步诊断是常见的卵巢上皮癌,后来通过磁共振的多方位成像,发现肿瘤在腹腔里有几个组成部分,且发现上腹部的胃也有问题。最后,我们术前诊断是胃癌到卵巢的转移,称为库肯勃氏瘤。
▌功能MRI优势

简单地说,磁共振通过功能成像可以了解组织成分的功能状态。扩散加权成像(DWI)可以反映肿瘤组织里水分子的扩散状况。一般来说,恶性肿瘤因为细胞增殖快,细胞里面的水分子弥散速度降低,水分子运动受限,在DWI上表现为高信号。而良性肿瘤,由于组织松散,水分子在细胞之间很容易运动,在DWI上呈低信号。这样就很容易分辨出绝大部分肿瘤到底是良性还是恶性。


如图所示,患者左侧卵巢上有一个非常实性的肿瘤,在DWI上信号非常高,且在增强扫描中也有中度的强化,说明肿瘤细胞很致密,水分子在细胞间不容易运动,可以诊断为恶性肿瘤。实际上,该病例是一个输卵管癌。

功能磁共振另一个技术称为磁共振波谱成像(MRS),可以对活体器官的代谢产物进行定量分析。人体里有些代谢产物能够被特异性地探测到,比如胆碱、肌酐、脂肪、水、NAA等,即MRS能了解肿瘤内分子成分的含量多少。

上面讲的卵泡膜纤维瘤,在病理上有一个重要特征是脂肪含量很高,通过MRS检测,会发现脂肪峰(Lip)非常高,而其他大部分的恶性肿瘤,脂肪峰不高,所以可以说MRS对于卵巢膜纤维瘤的诊断有非常好的特异性。

磁共振功能成像的另一种技术称为磁敏感加权成像(SWI)。SWI对血红蛋白、小静脉和铁质沉积十分敏感,即对一些静脉的显示非常好。当我们要了解肿瘤的血供情况跟血管的关系,而病人肾功能又不好时,不能做增强扫描,不能注射对比剂,就可以选择SWI,可以很好地了解肿瘤周围是否有丰富的静脉。

如图所示SWI图上箭头很低的信号,是非常丰富的血管,这对手术方案的选择和手术医生都非常有帮助。

如图所示是磁共振另一种特殊的功能成像技术——MRA,不注射对比剂就可以显示血管。对于肾功能不好,不能注射对比剂进行增强扫描的病人非常适用。通过MRA可以了解肿瘤的供血动脉,让手术医生在术前就心中有数。
总之,磁共振的诸多优势是超声所不能比拟的。磁共振提供的大量信息对于手术医生非常重要,可以做到术前精确定性,帮助制定手术方案。
▌总结
卵巢肿瘤患者早期症状不明显,早期诊断依赖于定期的血液指标、肿瘤标志物的检查,或定期超声检查。当患者怀疑有卵巢肿瘤,或已经发现卵巢肿瘤,但不能定性,想要了解肿瘤的大小,以及和临近器官的关系时,磁共振检查就非常有价值。如果是孕妇患上卵巢肿瘤,或者肾功能不全、不能注射对比剂、对CT对比剂过敏的患者,想了解肿瘤的大小和血供,也可以用磁共振检查,因为MRI没有射线、没有辐射,也有很多功能成像技术。