小孩牙龈一碰就出血是什么原因 (牙龈轻轻一碰就出血是什么原因)

葉子口腔科普 2018-05-17

作者 葛瑶

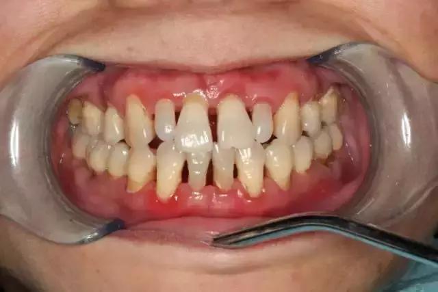
牙齿与牙龈缝处发黑一碰就出血,远离牙龈出血的一点小科普

不少人都曾经发生过牙龈出血,但很多人却不当回事。“反正不痛不痒,只是偶尔牙龈出血,照样吃嘛嘛香,没必要理会”,一位牙龈出血者说道。

牙齿与牙龈缝处发黑一碰就出血,远离牙龈出血的一点小科普

然而,你并不知道,牙龈出血可能隐藏的大问题:

会让牙齿掉光光的牙周病

会让血流不止的血小板减少症

甚至是致命的心血管疾病

……

那么,到底为什么牙龈会出血?牙龈出血了怎么办呢?我们请来了香港大学牙周病学(含种植学)硕士——葛瑶 主治医师 为大家讲解。

01

为什么会牙龈出血?

1.细菌因素导致的牙龈出血

大多数情况都是来自外在的因素(如细菌)导致的出血,比如刷牙不到位导致牙菌斑、牙结石等附着在牙齿表面,长期刺激牙齿周围的牙龈及牙周组织。

虽然起初没有任何的不适症状,但是会使牙龈由健康慢慢变为炎症状态:充血红肿、由坚韧的质地慢慢变得很脆,一旦受到刷牙和咀嚼时的机械摩擦就极易出血。

牙齿与牙龈缝处发黑一碰就出血,远离牙龈出血的一点小科普

还有一些是因为不太理想的假牙或者补的牙有一些不光滑的地方导致经常有食物嵌塞,这些都极易导致细菌聚集而刺激牙龈,发生炎症性出血。

2.非细菌因素导致的牙龈出血

当然也有一些情况不是细菌引发炎症导致的牙龈出血。比如对某种修复材料过敏而引发牙龈的过敏反应,需要及时去除过敏原。

牙齿与牙龈缝处发黑一碰就出血,远离牙龈出血的一点小科普

另外由于身体里一些激素的改变,比如处于青春期青少年性激素的提高,怀孕的妇女孕酮激素的提高,都会使牙龈变得极易出血。

牙齿与牙龈缝处发黑一碰就出血,远离牙龈出血的一点小科普

此时需要加强日常清洁维护,必要时需接受专业的诊断与治疗。如果是在外伤、牙龈手术后的流血则要及时就医止血。

3.全身疾病导致的牙龈出血

另外还有一些情况需要牙科医生与内科医生协作治疗,它就是全身其他疾病导致的牙龈出血。通常的疾病包括血液系统疾病(如血小板减少、白血病等)、糖尿病、高血压、心血管疾病、肝肾功能异常、艾滋病、肿瘤等等。

02

牙龈出血怎么办?

1.由细菌因素导致的牙龈出血

这种情况下,建议大家及时接受医生的专业治疗(如洗牙),去除对牙龈的刺激。因为一旦牙龈处于炎症状态,必须及早治疗才有可能恢复到健康状态,明显减少出血甚至不出血。

牙齿与牙龈缝处发黑一碰就出血,远离牙龈出血的一点小科普

一旦病情发展,引起牙齿周围牙槽骨的吸收,这种破坏将是不可逆的,治疗也复杂得多。

2.非细菌因素导致的牙龈出血

此时,需要加强日常清洁维护,必要时需接受专业的诊断与治疗。如果是在外伤、牙龈手术后的流血则要及时就医止血。

3.全身疾病导致的牙龈出血

此时,需要看全科医生,诊断全身疾病。同时,对患有全身疾病的牙龈出血者,洗牙时需要加倍呵护。

这里我们主要介绍一下血小板减少时的日常清洁与专业牙科清洁的注意事项。

血小板减少症的检查指标

血小板对人体的止血和凝血起着至关重要的作用,当血液中的血小板数量减少或功能减退时会导致凝血时间延长甚至出血不止。

因此,如果牙龈反复出血或经常出血不止就要引起重视,就医化验以排除血小板减少症的可能。通常用直接计数法测量血小板的正常范围在10万~30万/μl,低于10万/μl即为血小板减少,而治疗主要依据是否有出血症状。

血小板减少症患者的牙周治疗注意事项

对于血小板减少症的病人,在洁治前要进行血常规和凝血时间检测,必要时应遵从内科医生的医嘱输入血小板。

这类患者在治疗前也要告知牙科医生自己的病情及服药情况,通常病情控制稳定可以接受洗牙治疗,但洗牙后要严密观察,一旦发现有血流不止的情况要及时就医止血。

就医止血的方法,如使用牙周塞制剂局部压迫止血,或局部使用止血药,必要时全身应用止血药物,但应严格控制适应证,与患者的内科医生做好沟通工作。

03

如何预防牙龈出血?

预防永远大于治疗

当我们了解牙龈出血的原因后,就应该更加注重日常的维护,尤其是特殊人群如孕妇、患有全身疾病的病人都应该更加注重口腔卫生。

做好日常的清洁,同时定期洁牙,不要等到牙龈炎症严重到出血疼痛了而不敢治疗,这样会导致更加严重的牙周疾病。

……

以上,是牙龈出血的常见原因与治疗方法。对于牙龈出血,你曾经遇到过哪些问题?

图片 | 网络

作者 | 葛瑶【牙周病学(含种植学)硕士】

编审&排版 | 牙医麻麻Debbie(口腔医学硕士)

猜你喜欢:

定期洗牙,能远离老掉牙。但是,你的洗牙方式选对了吗?

葛瑶 主治医师

• 上海交通大学医学院口腔专业学士、硕士

• 香港大学牙周病学(含种植学)硕士学位

• 2013-2015 : 美国南加州大学访问学者

• 2010-2013 : 工作于北京大学口腔医院第二门诊部

• 2011年5月:赴瑞典哥德堡参加 Astra Tech World Congress国际口腔种植会议

投稿、合作、加入:dentalleaf@gmail.com

牙齿与牙龈缝处发黑一碰就出血,远离牙龈出血的一点小科普

阅读原文2阅读 1639投诉留言精选留言

留言

  • 宸默

  • 幸福就是三个人

牙齿与牙龈缝处发黑一碰就出血,远离牙龈出血的一点小科普

  • 正畸期间偶尔有一次两次刷牙会流血,或者是用水牙线的时候会流血,但是第二天就不会了,这样是什么情况呢?谢谢

牙齿与牙龈缝处发黑一碰就出血,远离牙龈出血的一点小科普

  • 宝宝19个月 最近两天刷牙 上面的一颗*牙虎** 不让刷 一刷就流血 需要去看牙医吗?

  • 昨天

    作者需要看牙医的亲。

    7小时前

  • 昨天

    作者复诊看看呢~~刷牙出血的原因很多,比如刷牙太硬、刷牙不规范、牙龈发炎等等。

    7小时前