据Buzz世界网站9月24日报道,马来西亚一名妇女患子宫囊肿住院7天,仅需要支付吉214令(约合人民币364元),其中还包括了手术费用。

网友@TijanTijan87在Twitter上分享了自己母亲的经历。9月22日,她在帖子中写道:“我的母亲因为子宫囊肿住院7天。我们仅需要支付214令,其中包括住院和手术的费用。手术只花了50令吉(约合人民币85元),所有费用还可以通过保险报销!哈哈!心存感激,马来西亚。”
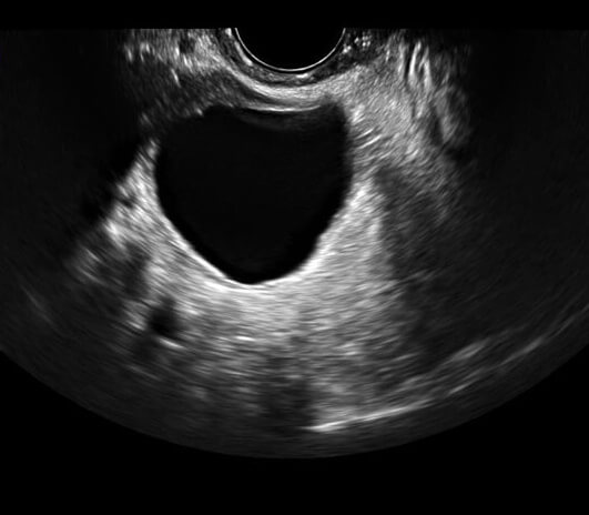
@TijanTijan87表示,去年,她的母亲一直抱怨肚子疼,月经周期不稳定。所以,她带着母亲去了附近的Klinik Kesihatan医院做超声波检查。医生们在她的肚子里发现了一个4-5cm的囊肿,之后她被转到了沙捞越总医院的妇科。

医生建议她先住院观察,说不定囊肿会自行消失。@TijanTijan87说:“但是我妈妈的情况并没有好转,囊肿一天比一天大,2019年7月,医生建议她接受手术切除囊肿。由于7月和8月的预约已满,我的母亲终于在9月进行了移除手术。手术前,我母亲看起来好像怀孕了。她的囊肿长约12厘米,重近4公斤!
“这个手术(腹部肌瘤切除术)在私立医院需要花费2.8万令吉,但在公立医院仅需要50令吉!之前,我因为心脏问题住过几次医院,我只需要支付大约170令吉,因为政府补贴了大约2.5万令吉!”
@TijanTijan87还表示,尽管收费非常便宜,但医院在基础设施和设备方面仍有改进的空间。尽管如此,她还是非常感谢所有的医护人员和政府的资助!她说:“这项补贴真的帮助了社会各阶层的人们,我们应该感谢我们的医疗体系!”
然而,在一些欧美国家,医疗费用是非常昂贵的,普通人根本生不起病。据《太阳报》4月20日报道,美国俄克拉荷马州一男子自杀未遂后,醒来发现他的一张93424美元(约合人民币62.6万元)的医疗账单,这让他比自杀还感到绝望。