临床工作中经常碰到患者对子宫肌瘤介入栓塞治疗原理存在疑惑,希望通过对以下几个常见问题的解答,来帮助大家解除困惑。

子宫肌瘤介入栓塞示意图
子宫肌瘤栓塞术(UAE)是如何治疗子宫肌瘤的?
子宫肌瘤栓塞术(UAE)是一种创伤微小的微创手术,严重并发症几率远低于传统妇科肌瘤切除术。主要是经桡动脉或股动脉穿刺置入导管,经超选择性插管至双侧子宫动脉,应用非常微小的PVA颗粒或者微球(500-700um)选择性栓塞供应子宫肌瘤的子宫动脉,使肌瘤因缺血而坏死吸收、脱落。

PVA颗粒栓塞瘤体
PVA颗粒栓塞后在体内有何变化?
聚乙烯醇(PVA)材料具有不可降解吸收性,对周围组织刺激性小,具有良好的生物相容性。PVA为永久性血管栓塞剂,临床上广泛应用于各种富血管性实质脏器肿瘤和动脉出血性病变的栓塞治疗。

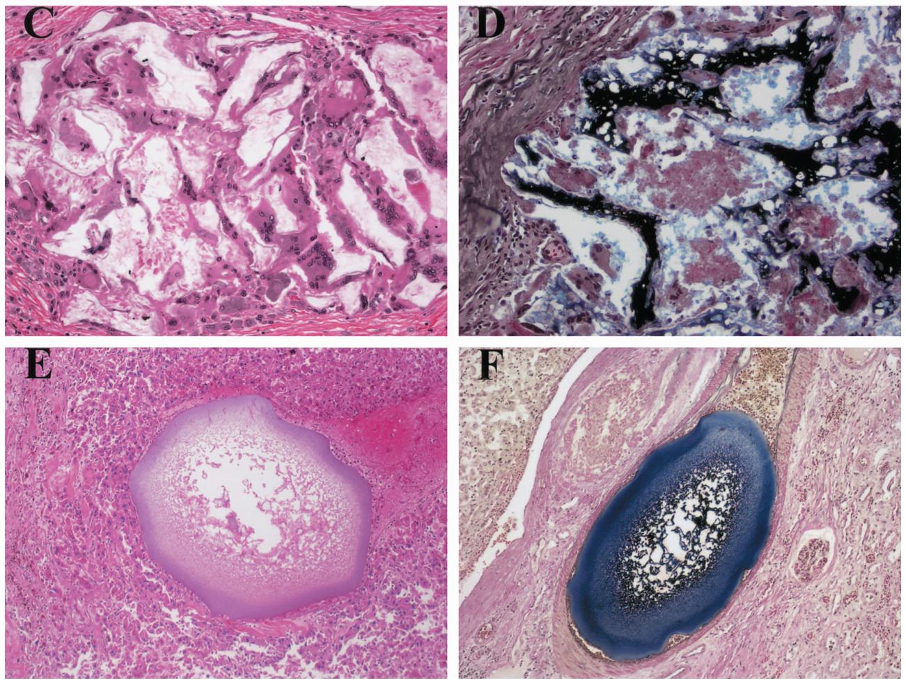
- PVA颗粒栓塞后组织病理检查:PVA颗粒持续存在,周围可见大量巨噬细胞。

PVA颗粒栓塞后组织病理检查情况
通常,UAE后平滑肌瘤病理显示透明型坏死,但也可见少量凝固性肿瘤细胞坏死和急性化脓性坏死。
PVA栓塞剂是否会异位栓塞到其他组织脏器?
异位栓塞大致有3种情况:
1.未能超选择插管至子宫动脉进行栓塞,导致栓塞剂异位栓塞其他正常组织脏器,出现相关脏器异位栓塞并发症;
2.注射栓塞剂过程中未能有效控制栓塞速度及栓塞剂量,未能及时发现异常返流,导致栓塞剂异位栓塞其他正常组织脏器;
3.出现子宫动静脉畸形、异常动静脉分流/瘘等情况,该类型多见于子宫恶性肿瘤等情况下,常见的良性肿瘤疾病中罕见。术中通过细致观察子宫动脉造影情况,依据分流速度/瘘口大小情况,选择适合的较大颗粒PVA颗粒或者微弹簧圈等栓塞剂,有效栓堵异常分流道或者瘘口后,可继续行常规UAE治疗。
因此要求术者术前仔细阅读相关影像检查资料,排除栓塞禁忌证,术中精细操作,密切监视,严控手术风险,方可保障手术安全。
UAE术后子宫及子宫肌瘤退缩变化情况
一般术后3个月肌瘤平均缩小35%-45%左右,栓塞后肿瘤内部坏死率90%以上,在术后6个月左右肌瘤直径缩小一半,体积仅为术前的1/8左右。部分位于粘膜下的肌瘤,术后可经阴道排出,完全消失。

UAE术后子宫及肌瘤体积变化
原装生活,做完整女人!

原装生活,做完整女人!