一位姑娘平时没有任何异常,自认为身体健康,可是婚后无论怎么努力就是怀不上孕,直到有一天去检查才发现有宫腔积液。在不了解宫腔积液为何物的情况下,自行上网查资料,吓出一身冷汗不说,还对自己患病的原因百思不得其解: 平时并没有觉出任何异常,怎么就得了这个病呢?

小编首先要跟大家说,很多时候,患者对于自己身体的情况并不了解。在这样的情况下盲目上网查资料,很容易被一些不相关的疾病吓到。因此, 疾病相关并不建议大家“自行百度”。
话说回来这个宫腔积液,的确是生殖界的一大“杀手”。这么一来,我们更得给各位好好科普一下宫腔积液啦。
宫腔积液究竟是什么?
宫腔积液简单说,就是子宫腔内存在一定量液体。其中包括生殖道分泌的生理性积液,如月经血,和病理性的积液,如炎性渗出液、积血、积脓等。
积液有可能影响子宫内膜的微环境,对怀孕的结局产生影响。

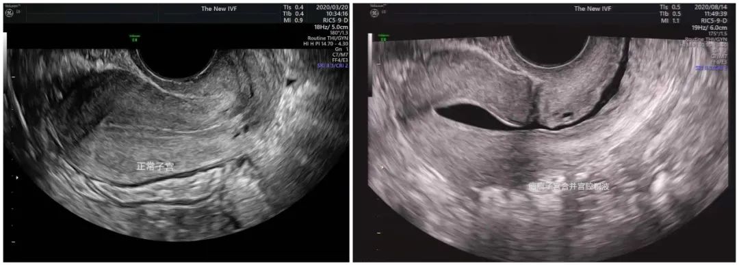
▲左图示:正常子宫;右图示:疤痕子宫合并宫腔积液
◎生理性积液
生理性积液通常出现在排卵前后。这个时候,子宫内膜呈分泌期改变,存在很多腺体。这些腺体分泌的产物就有可能导致宫腔产生生理性积液。
生理性积液可自行消失,因此不用特殊处理。
◎病理性积液
病理性积液的发生,分为以下几种情况:
1.输卵管炎症
输卵管慢性炎症、梗阻时常伴有输卵管积水的产生。
促排卵过程中,雌激素水平很高,引起输卵管分泌物更多, 输卵管积水加重,管腔内压力增大,液体就会倒灌进入宫腔, 出现宫腔积液。
2.子宫内膜炎
子宫内膜炎时,宫腔内的炎性渗出液蓄积而形成宫腔积液。 严重的宫腔感染、慢性炎症、子宫内膜结核等可进一步引起宫腔炎症反应,内膜功能破坏,无法调节细胞的渗透压,加重宫腔积液。
3.生殖道畸形或病变
宫颈发育畸形、阴道横隔、处女膜闭锁、宫颈腺癌、宫颈管狭窄、宫颈和宫腔粘连、重度盆腔粘连等,这些情况下, 月经期分泌物排出的通路被堵上 , 液体就会积聚在宫腔或者阴道内,均有可能引起子宫内膜细胞的炎性反应,进而导致宫腔积液的发生。
4.癌症
这类情况虽然比较少,但我们还是说一下。子宫内膜恶性病变,引发子宫内膜癌,也会形成宫腔积液。
宫腔积液如何影响孕育呢?
◎机械冲刷
常见于输卵管积液导致的宫腔积液,长期的输卵管积液必然产生一定压力,宫 腔积液对移植胚胎产生机械冲刷的副作用 ,从而影响妊娠结局。
◎降低子宫内膜容受性
所谓子宫内容受性就是指子宫内膜接受胚胎的能力, 宫腔积液将出现内膜的全线分离, 在短暂的“移植窗”,影响子宫内膜容受性的因子表达失平衡,影响种植成功率。
◎免疫方面
当子宫内膜炎发生时,会 激活体液免疫,产生一些免疫因子,引起细胞毒性作用 ,从而降低助孕成功率。
宫腔积液如何治疗呢?
◎结合不同病因,对症治疗
首先要看究竟是什么原因引起宫腔积液的。 比如说,由于输卵管积液引起的,那首先要治疗输卵管,看是切除,还是结扎输卵管等;或是由于生殖道畸形引起的,那可能就要做手术打开“通路”,积液自然就消失了。
◎期待治疗
一些患者的积液可能只是 暂时性的、少量的,不需要特殊处理 可以自然消失,那就先观察一段时间。
◎积液抽吸
在超声介导下 , 经阴道抽吸出宫腔液体 , 这也是是目前较简单有效的方式,多数抽吸后可消失。
◎手术或放化疗
前文提到,少部分患者出现宫腔积液是因为生殖系统癌变。这种情况下,一定要去妇科,经医生全面评估后制定治疗方案,看是手术还是放化疗等。
◎中药调理
有中医学者采取 清热化瘀 的治疗方法,对于积液治疗也能能取得较好的效果。