注:由于平台篇幅限制,逐章发布,全文参考:
- 英文版:https://waitbutwhy.com/2017/04/neuralink.html
- 中文完整版文档:关注 “鹤啸九天” ,回复“脑机接口”

waitbutwhy.com官方中文内容源
本文作者Tim Urban:
Wait but Why的作者Tim Urban 是埃隆马斯克(特斯拉/SpaceX创始人)强烈推荐的科技博主。他写的AI文章是全世界转发量最高的。他的粉丝还包括:Facebook创始人马克扎克伯格,Facebook COO谢丽桑伯格等。Tim也是TED演讲平台上有史以来最受欢迎的演讲者之一
(2020-1-16,浙大的国内首例脑机接口成功,用意念控制机械臂)
在一个由人工智能和“其他所有生物”组成的未来, 人类只有一条出路:“ 变成人工智能 。

Tim Urban,之前火热的文章《为什么有很多名人让人们警惕人工智能》也是出自他手,英文原文刊载于waitbutwhy.com,点击文末的阅读原文可以跳转到原文链接。
本翻译版本由谢熊猫君提供,全文共六万字。两百余张图片,分成六个章节,将分成五篇推送完成。
第一章:人类巨灵 (约7000字)简述人类语言、智能和人类巨灵的崛起
第二章:大脑 (约8000字)简述大脑结构,为了解脑机接口提供基础知识
第三章:脑机接口(约12000字)讲述脑机接口的基本原理和目前的技术水平
第四章:挑战(约8000字)讲述目前脑机接口跨越到全脑接口所要面临的挑战
第五章:魔法纪元(约13000字)全脑接口实现后未来的人类会是怎样
第六章:大融合(约10000字)人类唯一的出路:变成人工智能
Elon mush本人的评价:


第二章 大脑
这一段会让大家明白为什么我平常喜欢把大脑画成这样一个可爱的样子:

因为写实的大脑非常的不可爱,让人起鸡皮疙瘩。
但是为了写这篇文章,我过去一个月在谷歌图片搜索上看了太多血淋淋的照片,所以各位读者也要看一些啦
我们从头的外面开始。生物学研究有一点好,很多研究让人看了很有满足感,而脑本身有很多让人很满足的东西,其一就是人的头部其实跟个俄罗斯套娃一样。
我们的理解是,最外面是头发,下面是头皮,然后就是头部。其实不是这样的,头皮和头骨之间其实隔了19层东西。

而头骨下面,还有很多东西,然后才是大脑。

头骨下面,有三层膜包裹着大脑:
最外层的,叫硬脑膜,一层紧实、凹凸不平的防水层。硬脑膜紧贴着头骨。据说,大脑本身不能感知痛觉,但是硬脑膜可以,硬脑膜几乎和脸部的皮肤一样敏感。置于硬脑膜上的压力,或者硬脑膜的瘀伤是很多人头痛的原因。
硬脑膜下面是蛛网膜,是由一层皮和一层结缔组织组成的。我原以为我的脑是漂浮在一些头骨里面的一些液体里面的,然而其实头骨和脑之间唯一的空隙,其实就是蛛网膜的结缔组织间的孔。这些结缔组织使脑不会过多移动,当你的头撞到别的东西时能够起到减震的作用。这些空间里面充满了脊髓液,脊髓液的密度和水相近,所以大脑几乎是漂浮在其中的。
最后一层是软脑膜,一层柔软的和脑外部贴合在一起的皮。当你看到脑的照片的时候,很多时候脑都是被一层恶心的血管包裹住的,而这些血管其实并不是处在脑的表面,而是嵌在软脑膜里面。
下图是一个(应该是)猪头的三层膜的总览:

从左往右,分别是皮肤(粉色部分),然后两层头皮,然后头骨,接着才是硬脑膜、蛛网膜和软脑膜,最右边的是大脑。
当我们把外面这些东西都剥去后,剩下的就是这个:

这个看起来很荒唐的东西是宇宙里我们已知的最复杂的东西,重约三磅,功率约等于20瓦,相比之下,一个同等强大的计算机的功率约是2千4百万瓦。Tim Hanson教授把大脑称为“已知的信息密度最大、最有结构性,并且最能够自我构建的物质”
MIT教授Polina Anikeeva把大脑称为“能用勺子舀的布丁。”脑外科医生Ben Rapoport则更准确的把材质描述为“介于布丁和果冻之间”。Ben还解释说,如果把一个大脑放在桌上,重力会让它变形,变扁一点,就像个水母一样。我们的印象中脑不是这么湿软的,因为我们看到的脑常常悬浮在水中。
当你照镜子的时候,你看到自己的身体和脸,然后觉得那就是你,但其实你的肉体只是“你”所乘坐的一台机器。实际上,你就是这块布丁——希望你不要为此感到压抑。
大脑是如此的奇怪,以至于亚里士多德、古埃及人,还有很多其他人,都假设其实大脑是没什么意义的“颅内填充物”而已。亚里士多德甚至认为心脏才是智慧的中心。
最后,人类还是发现了大脑的真相,但也不是发现的很彻底。
Krishna Shenoy教授把我们对大脑的认知类比人类在16世纪时对世界地图的认知一般。
而Jeff Lichtman教授,则更为犀利点。他在开课之前会问他的学生:“如果我们需要了解的大脑的知识是一英里那么长,那么我们现在处在什么距离上呢?”他的学生会给出四分之三英里,半英里,四分之一英里等答案,但是他觉得正确的答案应该是“三英寸”左右。

第三个教授,神经科学家Moran Cerf, 跟我分享了一个神经科学的老说法,意指任何试图完全了解大脑的行为都类似第22条军规:“如果人类的大脑简单到我们都能够理解它,那它也会太简单,使得我们没有足够的脑力来做到这件事。”
也许有了我们正在建造的知识巨塔的帮助,我们会达到那个目标。但是现在,我们只能从我们所掌握的关于我们脑的理解开始了——先从粗略的说起。
大脑,拉远了看。
我们先通过一个脑半球切片来看一下大脑的几个主要部分:

我们把大脑从头部取出,然后移除左半球,然后我们就能好好看看内部了。

神经科学家Paul MacLean做了一个简单的图,来阐述我们前面提到的爬虫类脑最早出现——然后是哺乳动物对脑进行了完善——最后又进行了完善后成为了我们现在的大脑三元件的理论。

这就是我们的脑的大概分布:

我们分部分来看 :
爬虫类脑:脑干和小脑
这是我们大脑里最古老的一部分

就是图中青蛙大佬所占据的那部分。事实上,一个真的青蛙的脑和人类脑的这一部分是非常相似的,下图是青蛙脑的照片。

当你理解这部分脑的功能后,这部分脑的“古老”就显而易见了——这部分脑能做到的功能,青蛙和蜥蜴也能做到。
延髓基本上做着那些让你不要死的工作。它控制那些无人赏识但是至关重要的无意识行为,好像心脏的跳动、呼吸、血压,以及当它觉得你中毒的时候让你呕吐。
脑桥则是这也做点,那也做点的百搭。脑桥控制吞咽、膀胱、脸部表情、拒绝、唾液、泪水和体态。
中脑则比脑桥更杂。中脑的地位其实很尴尬,它的每一个功能都和大脑另外某个部位的功能重复。中脑涉及视觉、听觉、运动控制、警觉、体温控制,以及其它若干个由脑的其它部位已经在做的事情。大脑对于中脑也不是很买账,整个大脑可以分为前脑、中脑和后脑,前脑和后脑都由多部分组成,范围很大,唯有中脑是孤立的一小块。

脑桥和中脑有一个值得单独提出的功能是它控制眼球的自主移动,所以如果你现在在转动你的眼球的话,其实就是脑桥和中脑帮你达成的。
小脑保证你能够平衡、协调和正常的移动。
古哺乳动物脑: 边缘系统
脑干上方的就是边缘系统,也正是边缘系统让人类如此神经质。

边缘系统是一套生存系统。一般来说,当你做任何你的宠物狗也会做的事情的时候,比如:吃,喝,*爱做**,打架,躲藏,逃跑等,背后都是你的边缘系统在控制。不管你的个人感觉是怎么样的,当你在做这些事情的时候,你都处在一种原始的生存模式中。
边缘系统也是情绪产生的地方,归根结底来说,情绪也是和生存有关的。情绪是更高级的生存机制,对于生活在复杂社会结构中的动物是很必要的。
笔者在以前的作品中提到“及时行乐猴”、“社交生存猛犸”和其它人类的动物性具象的时候,说的其实都是边缘系统。任何时候你的脑子里产生内部斗争的时候,其实都是边缘系统在催促你去犯下一桩桩你之后会后悔的事情。
我非常确定控制好自己的边缘系统,是一个人成熟的定义,也是人类的核心斗争任务。这并不是说没有边缘系统我们会变得更好,人之所以为人,有一半要归功于边缘系统,而生命中绝大多数的快乐都是和情绪或者满足自身动物欲相关的。然而,这里要强调的是边缘系统并不知道你生活在一个文明社会,如果你让边缘系统过多干涉你的生活,它会很快毁了你的生活。
不管如何,我们还是要仔细看看边缘系统。边缘系统里面有很多小组件,我们这里就只关注那些最重要的啦:
杏仁体就是人类情绪的车祸现场。杏仁体负责焦虑、悲伤以及对恐惧的反应。杏仁体有两个,很奇怪的是,左边的那个更加平衡,有时会在负面情绪外产生一些正面感觉,但是右边那个杏仁体却一直是在糟糕的情绪中的。
海马体就好像记忆的草稿本。当老鼠开始记忆迷宫中的方向的时候,它们的记忆就是被编码存储在海马体里的。处在迷宫中的不同位置的时候,老鼠的两个海马体的不同部位会各自产生不同的反应。但是如果在记住一个迷宫之后,这只老鼠又被派去干了些别的任务,在一年后再把这只老鼠放回原本的迷宫中,它就很难记得迷宫的方向了。这是因为海马体这个草稿本上的记忆很多被擦除掉,从而腾出空间来给其它新的记忆了。
电影《记忆碎片》中主角的症状是真实存在的一种病,叫作顺行性遗忘症。这种症状就是海马体的损害导致的。阿尔兹海默症也是从海马体开始发病,然后蔓延到脑的其它部位,所以在阿尔兹海默症的所有症状中,记忆力衰退是最早出现的。
丘脑位于整个脑的中间位置,干的也是感官信息中间人的角色。丘脑接收到感官器官发来的信息,然后把信息传递到皮质去处理。当你睡着的时候,丘脑也会入睡,也就意味着传递感官信息的中间人下班了。所以在沉睡的时候,声音、灯光、触摸有时不会把你唤醒。如果你想要把一个沉睡的人唤醒,动作要激烈到把他的丘脑唤醒。
这里唯一的例外是你的嗅觉,嗅觉是唯一不经过丘脑的感官。所以给昏迷的人闻盐是一个常用的唤醒手段。顺带一提,嗅球(olfactory bulb)是最古老的感官。与其它感官不同,嗅觉位于边缘系统的深处,和海马体与杏仁体合作紧密,所以嗅觉才会与记忆和情绪紧密关联。
新哺乳动物脑: 皮质(Cortex)
终于,我们要开始讨论皮质了。它还有其它一些称呼大脑皮质(cerebral cortex),新皮质(neocortex),大脑(cerebrum),皮层(pallium)
很尴尬的是我们对于整个脑中最重要的这部分的称呼非常混乱。下面是一些背景知识:
大脑(cerebrum)是脑的整个外部的部分,当然它其实也包括一些内部的部分。
皮质(cortex)是拉丁文里树皮的意思,它也被用来称呼许多其它器官的外层。比如小脑的外层叫作小脑皮质,而大脑(cerebrum)的外部就被叫作大脑皮质。只有哺乳动物才有大脑皮质,爬行动物脑的外层叫作皮层(pallium)
新皮质这个称呼和大脑皮质基本可以换着用,但是其实它是专指那些更发达的哺乳动物才有的大脑皮质的特殊外层,大脑皮质剩下的部分叫异型皮质(allocortex)
下文中,我们将主要谈论新皮质,但是简单起见,我们还是把它叫做皮质吧。
皮质负责几乎所有处理相关的事情——你看到、听到和感觉到的东西,以及语言、运动、思考、计划和人格。
它总共分成四叶:

要描述这四叶分别做什么是件很恼人的事情,因为每一叶都做很多事情,并且互相之间的功能有重叠,但是极端简化的来说:
额叶(frontal lobe)掌管你的人格,以及很多思考相关的东西,比如理论、计划和执行功能。这里要指出,你的很多思考,是在额叶的前端进行的,这部分叫作前额皮质(prefrontal cortex)。前额皮质是那些内心斗争中另一个会出现的角色,那个理性的决策者,那个推动你好好做事的人,那个告诉你不要在意别人想法的真诚的声音,那个希望你能有大格局的领路人。
额叶还负责你身体的运动,额叶最上面的一带,是你的运动皮质。

接着是顶叶(parietal lobe),顶叶控制触觉,这一部分功能主要在体感皮质实现,体感皮质在运动皮质旁边。

运动和体感皮质很有趣,因为它们和人体的对应关系非常工整。神经科学家清哪楚地知道每个皮质的各部位分别对应身体的那些部分, 下面我们要放出本文中最奇怪的一张图:何蒙库鲁兹(homounculus)

何蒙库鲁兹由神经外科医生Wilder Penfield创造,用来呈现运动和触感皮质如何对应到人体部位。图中的人体部位越大,代表运动和触感皮质中有越多的部分是与该部位对应的。这张图有一些有趣的点:
首先,皮质中负责脸和手的运动和触感的部分,比全身其它部分加起来都要大。当然这不难想通,人脸需要能做出各种微妙的表情,而手需要能够无比的灵巧。而身体的其它部位,比如肩膀、膝盖、背部,在移动和触感上可以粗糙很多。所以人们用手指,而不是脚趾,来弹钢琴。
其次,运动和触觉皮质各自对于不同身体部位的分配比例基本是一致的。也就是说人体中越是需要灵活运动的部位,也越是触觉最灵敏的。
最后,如果我们把何蒙库鲁兹3D化的话,它应该长这样:

继续
颞叶(temporal lobe)是你的记忆储存的地方,而因为颞叶离耳朵很近,它也包括了听觉皮质。
头后方的是枕叶(occipital lobe),这里包括了你的视觉皮质,而枕叶几乎是完全为视觉服务的。
一直以来,我觉得这四个是几个组成大脑的大块,但其实皮质只是大脑最外层两毫米的物质,和一个硬币差不多厚,皮质下面的那些“肉”基本上是连接线。
我们之前讨论过了,大脑的演化是一个向外构建的过程,它不断在已有的模型上加上新的更酷的功能。但是往外建造有它的极限,因为人的出生需要通过母亲的阴道,而这就限制了我们的头能长到多大。
所以演化过程就另辟蹊径。因为皮质很薄,增加表面积就能增加它的数量,所以加入了很多折叠后,脑的体积基本不变,但是表面积能够增加几乎三倍。当胎儿还在子宫中 ,胎儿的大脑刚开始形成的时候,大脑是光滑的,大脑表面的折叠基本上是在孕期的最后两个月形成的。

如果你能把皮质从大脑上取下来,你获得的其实是2毫米厚,2000-2400平方厘米的一块物质,大概是48厘米见方的一块餐巾的大小。

这块餐巾就是你脑内大部分行为发生的地方,它让你能够思考、移动、感知、看、听、记、说话和理解语言。真是块很酷的餐巾。
还记得之前我说你是个果冻吗?其实“你”基本上就是你的皮质,也就是说你其实是块餐巾。
当我们把一个大脑,和我们的餐巾做对比,就能看出来折叠的巨大效果了。

所以现代科学对大脑的理解虽然不完美,但是对于一些大概念的理解还是不错的。当然对于一些小概念我们的理解也不错,下面我们来说一下:
虽然我们很早就知道了大脑是我们智慧的基座,但科学家直到最近才知道大脑是由什么组成的。科学家们知道身体是由细胞组成的,在19世纪后期,意大利医生Camillo Golgi发现了一个用染色来研究脑细胞结构的方法,结果非常让人惊讶:

细胞不应该长这样的。虽然自己还不知道,但是Golgi医生发现了神经元。
科学家们很快发现,神经元是几乎所有动物的脑和神经系统里巨大的通信网络的核心元件。
但直到二十世纪五十年代,科学家才知道神经元之间是怎样互相沟通的。
神经元用来承载信息的长条物轴突(axon),一般来说直径都很小,所以直到最近科学家才能对他们做测试。在二十世纪三十年代,应该动物学家发现鱿鱼可以改变我们的认知,因为鱿鱼体内有一根非常大的轴突可以供我们做实验。二十几年后,靠着鱿鱼的大号轴突,科学家Alan Hodgkin和Andrew Huxley发现了神经元是怎样传递信息的——动作电位。它的工作原理是这样的:
神经元有很多种:

但为了简单的叙述,我们只讨论最简单的一种—— 锥体细胞。要画一个神经元,我们可以先画一个小人:

然后我们给他多画几条腿,一些头发,去掉他的手臂,再把他拉长,我们就画好了一个神经元小帅了。

然后我们再画几个神经元。

动作电位的工作原理比较复杂,里面很多技术信息很无趣,而且和我们的讨论关系不大,所以我们就用一个简单的模式来谈论一下吧。
神经元小帅的身体,也就是轴突,有一个负的静息电位,当轴突休息的时候,它的电荷是负的。好多神经元的脚会触碰到神经元小帅的头发(树突),这些脚会把神经传递素传递到小帅的头发上,神经传递素会经过小帅的头,然后根据传递素的不同,提高或者降低轴突的电荷。

当足够多的神经传递素把小帅的电荷提高过了一个点——阈电位的时候,这时就会产生一个动作电位,而小帅此时就被电击了。

这是一个二元的情况,神经元小帅要么没事,要么被完全电击。他不能被半电击,或者过度电击,他每次都是被完全电击。
当电击发生时,一个电流脉动会从小帅的身体到达他的脚,当动作电位到达他的脚的时候,脚会向所接触的别的神经元的头发传递化学物质,这些化学物质可能会也可能不会导致别的神经元产生电击。

这其实就是信息在神经系统中传递的方式,化学信息在脚和头发之间传递,然后形成电力信息穿过神经元。当然,在身体需要非常快的传递信息的时候,神经元之间的连接可能本身就是电的。
动作电位的移动速度在1-100米每秒。这个不确定范围的产生原因是神经系统里面的另一种细胞(雪旺细胞)会一直把一些轴突包裹在厚厚的髓鞘中。
除了保护和绝缘外,动作电位在髓鞘包裹的轴突中传播的更快。


一个关于速度差的例子是这样的,当你不小心踢到了自己的脚趾,你会先意识到自己踢到了脚趾,然后痛感才会出现。这里发生了两件事,你的脚趾踢到东西的信息和所伴随的锋利痛感,通过髓鞘包裹的轴突快速传递到了脑中。而顿挫的疼痛没有没有通过髓鞘包裹的轴突传播,所以以每秒一米的速度慢慢的到达了脑。
神经网络
神经元就好像电脑晶体管一样,它们通过二元的方式传递信息,1就是动作电位,0就是没有动作电位。但和晶体管不同的是,脑内的神经元是不断在变化的。
有没有过这种体验,有时候你学会一个新技能,然后第二天再试的时候又生疏了?这是因为让你一开始学会新技能的是神经元之间化学物质的浓度的调整。重复的练习能不断的调整这些化学物质,这也帮助你能够进步。但是第二天,当这些化学物质回归原来样子的时候,这些进步就消失了。
但是如果你继续练习,你会长久的擅长一项技能。因为长久的练习后,你告诉大脑:“这是我想要一直存在的一个东西”,然后脑就会在结构上改变神经网络,使得这些技能能能够长久存在。在这些改变中,神经元改变了自己的形状、位置,加强或者削弱了各种连接,使得一条关于这项技能的通路会一直存在。
神经元对于自身的化学、结构、甚至功能的改变,使得脑内的神经网络能不断针对外部世界优化自己,这叫作神经可塑性。婴儿的脑的神经可塑性最强。当一个婴儿诞生的时候,它的脑并不知道自己要变成一个擅长冷兵器作战的中世纪勇士,或是一个擅长拨弦琴的十七世纪音乐家,还是一个需要存储和整理大量信息并且掌握复杂社会构建的现代知识分子。但是一个婴儿的脑为所有的可能性做好了准备。
婴儿是神经可塑性的巨星,但是神经可塑性在人的一生中都存在,所以人类才能成长、转变和学习新东西。所以我们才能形成新习惯,打破旧习惯——一个人的习惯是脑内回路的外在表现。如果你想要改变习惯,你需要很强的毅力来克服脑内的神经通路,但是只要你能坚持够久,你的脑早晚会明白你的意图然后改变那些通路,而新的习惯将不再需要毅力来维持。你的脑会在物理结构上帮你建立一个新习惯。
总共,大脑内有大约1000亿个神经元来组成这个难以想象的复杂网络,这个数量和银河系里的恒星数量相近。大约150-200亿的神经元在皮质中,其它的在你的爬行动物脑和古哺乳动物脑中,神奇的是,小脑里面的神经元数量有皮质里的三倍多。
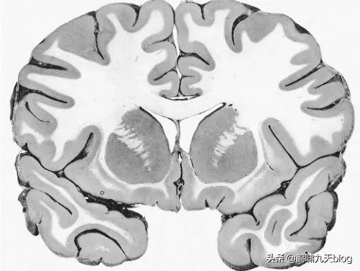
接下来,我们退出去,再看一下脑的横切面,这次不是从前往后切,而是从中间切。

大脑的材料可以分为灰质和白质。灰质看上去颜色更深,由神经元的细胞组成,白质则主要由链接轴突组成。白质之所以是白色是因为这些轴突通常被髓鞘包裹着。
灰质主要有两个部分——边缘系统的内部和脑干,以及皮质外层硬币那么厚的部分。剩下来的大块的白质主要就是皮质神经元的轴突组成的了。皮质就像一个指挥中心,把很多命令通过白质中的轴突传播下去。
对于这个概念最酷的展现是Greg A. Dunn博士 和Brian Edwards博士绘制的图:


这些皮质轴突可能是在把信息传递给皮质的另一部分,或者是去到大脑的下部,或者通过脊髓直接到身体的其它部位。
接着我们来看看整个神经系统。

神经系统分为中枢神经系统(脑和脊髓)和周围神经系统。
大部分的神经元都是中间神经元,也就是和其它神经元沟通的神经元。当你思考的时候,有很多中间神经元互相通信,中间神经元大部分在脑内。
另外两种神经元是感觉神经元和运动神经元。这些神经元在脊髓和周围神经系统里面。这些神经元可以长达一米。

还记得前面提到的运动皮质和体感皮质吗?

这两条皮质是周围神经系统发起的地方。 感觉神经元的轴突从体感皮质出发,通过大脑的白质,进入脊髓,然后到达身体的各个部分。你皮肤的每一部分都是体感皮质发起的神经相连。对了,神经其实就是数根轴突绑在一起。
我们用苍蝇飞到你手上的例子来说明一下神经系统的工作方式:
苍蝇碰触到了你的皮肤,然后刺激了一些感觉神经。神经里面的轴突端子开始行动和产生动作电位,把信号传导到脑里。信号先是进入脊髓,然后进入体感皮质。体感皮质然后告知负责肩部的运动皮质说现在手上有一只苍蝇,需要做点什么。连接到手臂肌肉那部分的运动皮质于是开始产生动作电位,把信号通过脊髓再发送到手臂的肌肉里。手臂肌肉附近的神经元的轴突端子开始行动,于是你抖动手来甩脱苍蝇,然后苍蝇(经过了苍蝇自身的神经系统的一系列反应后)就飞走了。
然后你的杏仁体意识到发生了事情,于是杏仁体告诉你的运动皮质这个时候要开始尴尬的跳起。如果落到你手上的是一只蜘蛛,那么杏仁体还会告诉你的声带要不自主的喊出来,给周围人留下你怕虫子的印象。
所以至今为止我们好像还蛮了解大脑的,是吧?那为什么之前我们提到如果我们需要了解的脑的知识是一英里的话,我们现在只是了解了三英寸呢。
是这样的。
比如说我们对互联网是有个大致的了解的,比如大概有多少网名,有哪些大网站,最近流行什么。但是对互联网中间发生的那些东西,互联网整个的内部工作机制,我们其实是很迷糊的。
又比如经济学家能够告诉你一个个体消费者的行为,也能告诉你宏观经济学的概念来帮你理解背后的种种操控力,但是没有哪个人能够真正的告诉你经济体是怎样运作从而来预测明年的经济会是怎样的。
大脑就和这些东西是一样的。我们知道了一些细节的东西,比如神经元怎么运作,我们也知道了一些宏观的东西,比如大脑里有多少个神经元,有那些主要的脑叶,以及各自的控制结构,和脑的大致耗能。但是中间的那些东西,比如大脑的每个部分具体是怎么做到这些事情的,我们就不得而知了。
真正让我们理解我们的无知有多深的,就是听一下神经科学家对于我们目前最了解的大脑部位的理解。
譬如视觉皮质,我们理解的就不错。
科学家Paul Merolla这样跟我描述:
“视觉皮质在解剖和结构上都很工整。当你看到视觉皮质的时候,就像看地图一样。当你的视野的特定位置出现一个东西的时候,你能看到视觉皮质的那一部分亮起来。而当那个东西开始移动的时候,对应皮质周围的细胞会展现出对应的图形测绘。这就好像现实世界的笛卡尔坐标能够对应到视觉皮质的极坐标一样。你可以从视网膜开始追溯,经过丘脑,到达视觉皮质,然后能够看到视觉空间中位置与视觉皮质中位置的对应。”
这么看来好像还行嘛,但是Paul接着跟我解释:
“这种位置对和视觉皮质互动来说很有用,但是视觉皮质有很多区域,如果你深入研究视觉皮质,就会发现整个事情变得越来越模糊,之前的图形对照不再行得通了。脑里有很多不同层次的事情在发生,而视觉感知是其中一个例子。我们看着这个世界,我们看到的只是个3D的物理世界。比如你看着一个杯子,你看到的就是个杯子,但是你的眼睛看到的真的只是一些像素,而当你看向视觉皮质的时候,这个图像被解析成了20-40个图。我们把第一个负责这些图的区域称作V1,V1负责追踪边缘和颜色等。其它的区域则观测到了一些更复杂的物件,于是在你的脑的表面,产生了很多很多不同的展现。但是最后这些复杂的的信息被绑在一起,然后经过一些编码,让你相信你看到的只是一个简单的物件。”
运动皮质是另一个我们理解的比较好的区域,但是运动皮质的理解会比视觉皮质更难。虽然我们知道运动皮质如何对应到各个身体部分的,但是单个的神经元们在运动皮质上的位置不是拓扑分布的,而神经元们怎么合作产生身体运动我们也不知道。Paul这么跟我们解释:
“每个人的神经“语言”都不太一样,神经元可不会对着手说普通话“手,你动一下”,也没有一个统一的电位规律来做这一些,所以每个人都不太一样。而这个“语言”本身要求很高,神经元需要能够无缝的告诉手“你把手往左边移动,然后往上,抓那个东西,抓的时候用这么多力道,用这么快的速度去抓”等等。当我们移动手的时候,我们不会这样去想这一系列动作,但是我们能够毫无困难的完成这一切。所以每一个大脑和肌肉沟通的时候用的语言都是不一样的。”
神经可塑性也很难理解,因为每个大脑本身的工作机制都与脑自身的可塑形相关,也和这个人生活的环境与生活经验有关。
而这已经是我们了解的最深入的大脑部分了,按照专家的说法,“当我们要探讨一些更复杂的东西,比如语言、记忆、数学,的时候,我们就真的不明白了。”比如对于“母亲”的概念,对于每一个人来说,都是用不同的编码方式存储在脑的不同位置。而额叶,也就是前面提到最重要的脑叶,根本就没有任何拓扑。
然而,这些困难都不是一个有效的脑机接口的制造难点。脑机接口之所以难,是因为工程上的挑战非常巨大。要和大脑进行物理的交互,使得脑机接口是工程行为上最难的一件事。
现在我们知道了关于脑的背景知识这个树干,下一章谈一下第一根树枝——脑机接口。
下期预告:第三章 脑机接口