超声波诊断是20世纪60年代发展起来的检测技术,在畜牧兽医领域的应用目前已经发展到了具有二维图像的B型超声诊断仪(B超)。B型超声是断层扫描的,是一种成熟的高科技诊断技术,能对活体实时影像观察早孕的子宫、胚囊、胚胎发育、测定猪的背膘厚度及眼肌面积,是科研和日常生产中十分有用的检测工具。1985年有研究将其用于检测母猪妊娠,认为这是一种能够快速和高度准确检测母猪怀孕的好方法,适用于配种24d以后[1]。
在我国的养猪生产中,空怀和无效饲养是影响大多数猪场发展和经济效益的一个重要因素。目前,世界上养猪水平高的国家,一头母猪年提供28头肥猪,而我国母猪平均年提供肥猪数在16头,其中一个重要原因是不能准确进行妊娠诊断,从而造成母猪无效饲养期过长,出栏率低。因此,在我国的养猪场大力推广使用B超仪进行母猪妊娠检测,从而提高母猪的生产效率,已经迫在眉睫。目前兽用B超种类较多,价格也不贵,养猪场都能够买得起,关键的问题是能否进行正确使用和准确判断,这是当下需要解决的问题。笔者结合相关资料和自己使用B超进行母猪妊娠诊断的经验介绍了B超在母猪妊娠诊断中的应用,供广大养猪生产者参考学习。
1 超声波妊娠诊断的原理
动物体不同的组织器官具有不同的声阻抗,超声在动物体内传播时如遇到声阻不同的界面,即产生回声反射,剩余超声继续传播,再遇不同界面时再产生回声。反射的回声被接收转换为电讯号,经检波放大后以光点的形式在屏幕上显示为图像,称为声像图。
母畜妊娠后生殖器官的主要变化是子宫中出现胎水、胚胎的发育、胎儿的生长及其一系列活动、子宫动脉及其血流的变化。妊娠超声诊断是利用超声可以在机体内定向传播和遇到不同声阻抗的组织界面时能产生反射的原理,A型超声诊断仪(简称A超,见图1)是将妊娠早期的胎囊、少量胎水、胎体以及胎心搏动检测出来,以声音的形式表达出来(报警式);B超(见图2)是通过断层扫查将子宫和胎体的切面,以图像形式显示出来,这是对生殖器官的直接检查,诊断可以早而准。

图1 A型超声诊断仪图

图2 B型超声诊断仪
2 超声波诊断妊娠的依据
B型超声诊断仪同时发射多束超声,在一个面上进行扫查,显示的是子宫和胎儿机体的断层切面图,诊断结果远较A型和D型清晰、准确。它不仅可以用于诊断妊娠,而且可以监测母畜整个生殖器官的生理和病理状态,并进行测量。如卵泡发育,发情周期子宫的变化,产后子宫的恢复,胎儿的发育、生长和一些生理活动,以及卵巢囊肿、持久黄体、子宫积液,生殖器官肿瘤等病理变化。
结缔组织、脂肪、骨骼等声阻抗差大,回声反射强,影像最白。肝脏、肾脏、脾脏等实质器官声阻抗差小,回声反射较弱,影像为灰色。液体成分如血液、尿液等声阻抗差最小,回声反射最弱或无回声,影像呈黑色。正常的组织器官或异常的病理变化,根据其不同的声阻抗差而显示出不同灰度的图像,称为灰阶,灰阶愈多,分辨力愈高,图像愈清晰。对接收的回声信号能不断处理,连续快速成像,可真实显示活动状态的组织器官,称为实时显像。
3 母猪妊娠诊断
3.1 探测技术
3.1.1 保定 母猪一般不需特殊保定,只要保持安静即可。姿势是侧卧最好,趴卧(图3)、站立(图4)或采食均可。个别难以接近的母猪,可用抓猪器、口绳或用门板等将其挤于墙角进行探查。规模化养猪的条件下可在限位栏内进行[2]。

图3 母猪趴卧B超妊娠测定

图4 母猪站立B超妊娠测定
3.1.2 探查部位 体外探查一般在下腹部左右,后肋部前的乳房上部,从最后一对乳腺的后上方开始(见图5),随妊娠增进,探查部位逐渐前移,最后可达肋骨后端。猪被毛稀少,探查时不必剪毛,但要保持探查部位的清洁[3]。刮除泥土和污物,探查时涂抹耦合剂,增加探头与皮肤的密封性,减少空隙,减少外界干扰,以免影响判定结果。

图5 探头从最后的乳腺上部开始
2.1.3 探查方法 体外探查时,探头要紧贴腹壁,妊娠早期探查探头朝向耻骨前缘,骨盆腔入口方向,或呈45°角斜向对侧上方,探头紧贴皮肤,进行前后和上下的定点扇形扫查,动作要慢(见图6)。妊娠早期胚胎很小,多普勒探查要细心慢扫才能探到。切勿在皮肤上快速滑动探头扫查。有时需将探头贴于腹壁向内紧压(见图7),以便挤开肠管更能接近子宫,提高检出率。因为在妊娠28天以前子宫通常还没有下垂接触到腹壁。一个点探查结束,探头向前移半个至一个乳腺继续探查,直至确诊为止[4]。

图6 探头呈45°角 向上方扫描

图7 B超探头贴于 腹壁向内紧压
3.2 判断标准
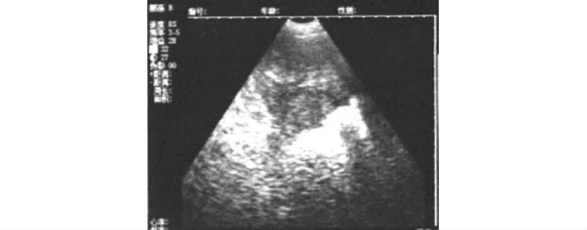
3.2.1 空怀母猪 未妊娠时子宫角位于膀胱的左右或前下方,膀胱内的积尿为液体,对超声波不产生反射,其声像图呈较规则的暗区。未妊娠时子宫角的壁对超声的反应弱,其断面的声像图呈各种不规则圆形的弱反射区(见图8)。子宫角外膜的反射也不强,要注意断面的界线,以与肠管的断面相区别,一周后复查,避免误诊。

图8 空怀母猪B超影像
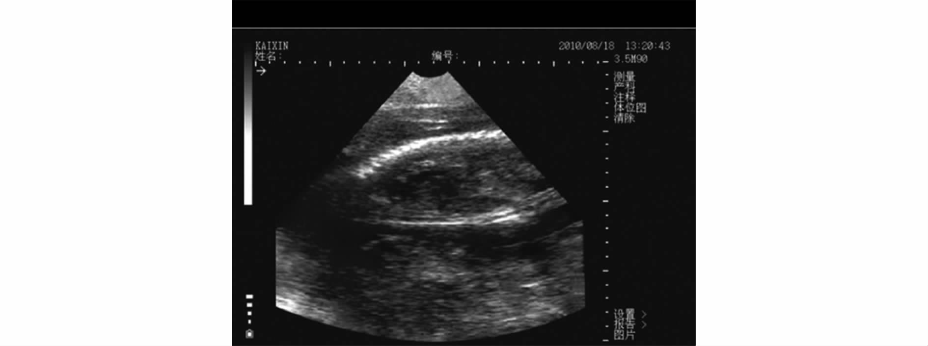
3.2.2 妊娠母猪 母猪妊娠的声像特征:妊娠初期子宫中出现孕囊,又称妊娠囊,内含初期胎水,量很少,对超声不产生反射,呈小的圆形暗区。在配种后19d、20d最早被扫查到时,暗区的直径在1.0cm左右,通常为一个暗区,有时可见2个或3个相邻的暗区(见图9),位于膀胱暗区的前下方或下方。为了便于B超操作者对B超成像进行有效准确地判断,作者专门附了一张母猪妊娠剖面与B超影像对比图(见图10)。

图9 母猪妊娠19日龄B超影像

图10 B超影像与实体剖面图像对比
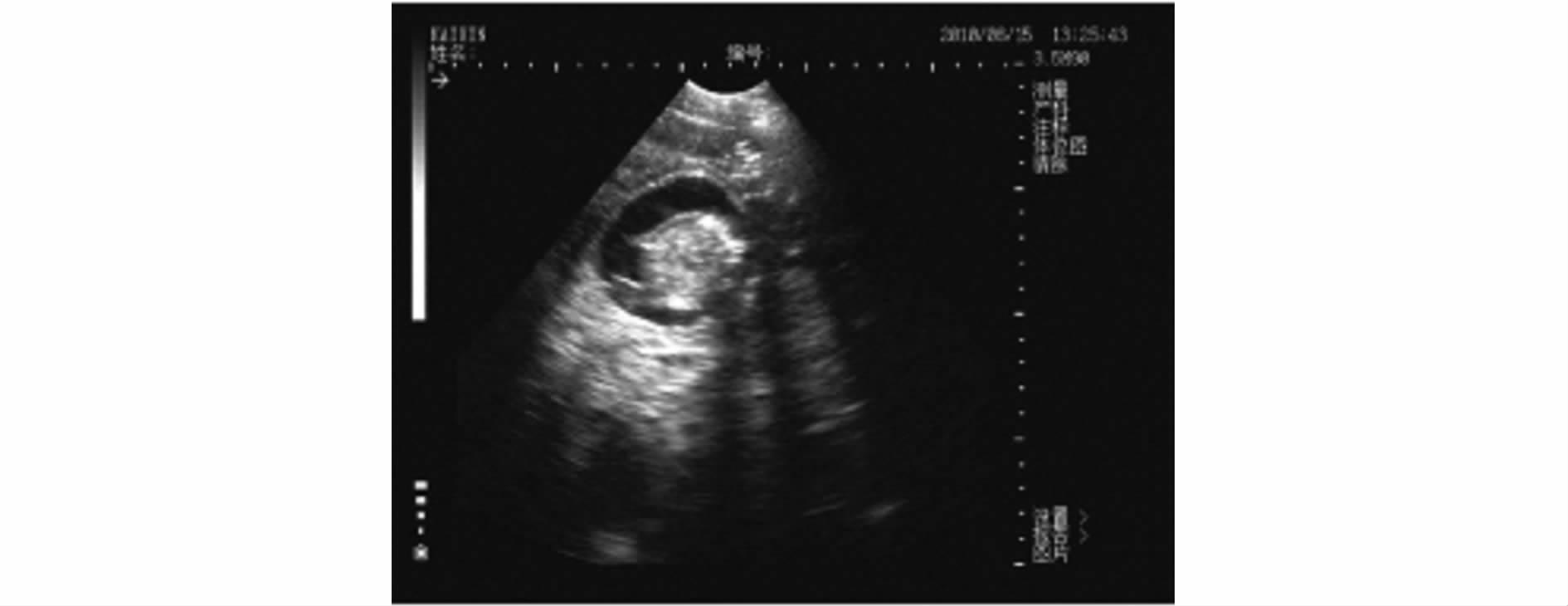
配种后25~30d是B超诊断的最佳时间,此时孕囊影像明显且呈现规则的圆形黑圈,规则的圆形黑圈代表猪的头数(见图11)。怀孕21~35d左右可以观察到羊水,羊水图像呈蜂窝状。黑圈越来越大,羊水越来越少,猪的胎儿在30~35d中像黑皮球浮在空中。未孕母猪的子宫在配种后25~60d左右没有黑色圆圈,会显示规则平整的白云模样。

图11 母猪妊娠25d图像
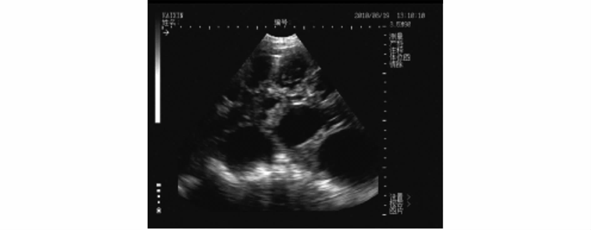
妊娠39d后,胎儿骨骼反射增强,出现胎动;随后反射增强的骨骼逐步出现声影。妊娠47d后可逐步观察到胎儿的肝脏、胃(呈小的圆形暗区、位于躯体中部)(见图12)。这些声像图变化可指示胎儿早期的发育规律,并为鉴别死胎提供科学依据[1]。
妊娠中后期在下腹部可以大范围探到胎儿,胎位各式各样,有向上、向下、平行、重叠等。妊娠85d胎儿脊柱清晰显示(见图13);95d胎儿脊柱、胸骨及体
腔分辨清晰[4]。
3.3 监测时间
每半月检测1次,监测时间可提早到配种后21~35d,无效饲养将会得到很好的控制。

图12 母猪妊娠49d图

图13 母猪妊娠86d图像
4 B超在猪场应用效益分析
4.1 避免无效饲养
判断母猪早孕目前普遍仍采用配种后1个情期不返情,就定为妊娠,但这种方法要到临产前1个月左右才能最后确认,它不能及早发现配种后不发情而又未孕的母猪,这样未孕母猪会产生60~80d的无效饲养时间。如果使用B超进行早期妊娠诊断,那么一头母猪即可节约饲养成本350~450元。据监测结果统计分析,每100头母猪用兽用B超监测早孕后每年可减少无效饲养费用6500元以上。
4.2 保证均衡生产
规模化猪场的生产效益关键在于均衡生产,均衡生产取决于均衡配种,但在实际生产中由于受多种因素的影响,参加配种母猪和妊娠母猪数目难以准确掌握,为确保均衡生产有时不得不增加配种头数,其结果就会发生超量分娩和产仔,不仅达不到真正的均衡生产,而且增加了管理困难,久之反而会影响生产效益。B超监测可及早准确掌握妊娠母猪头数,起到保证均衡生产的作用。
作者:崔炳灿1,卜三平2,张丽君3
黑龙江畜牧兽医杂志社版权所有 转载请标明出处