今年现时所谓的"鱼瘟"即水霉赤皮并发症,来势凶猛,气焰嚣张,顽固之极令所有养鱼人心焦意烦,虽经众多人士参与其中,但治疗效果目前仍不尽人意。病情危急,虽然外伤是其主因,但究竟还有好多病因掺杂其中才会导致"鱼瘟"如此久治不愈,众说纷纭。
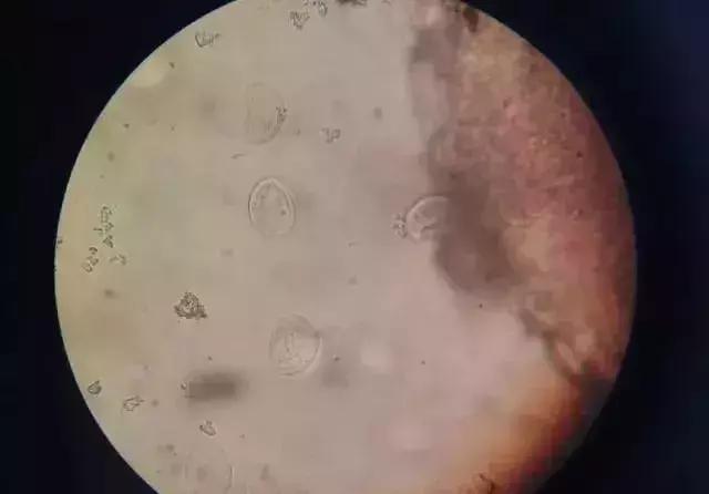
最近有养鱼人朋友发来显微镜视频(见上)经过查看,鱼类斜管虫滋生相当严重,本来在前一段时间就有多人和我交流时也说过现在斜管虫(也有口误说成"血管虫”)寄生很严重。因此,本文就目前低温时段结合"鱼瘟"暴发从寄生虫方向作一个简单分析,从斜管虫的寄生说起,力求寻找一个对"鱼瘟"整(诊)治多一个突破口的参考思路之一。

一、鱼类斜管虫的形体
鱼类斜管虫病的病原体为鲤斜管虫。虫体背面隆起,腹面平坦,前面较薄,后部较厚。腹面观一般呈卵形,刚死去的个体呈圆形。背面除有横行刚毛外,其余部分无纤毛。在纤毛线上长着纤毛,腹面中部裸露。身体后部有一个大核,一般在大核的旁边或后面有一球形小核。身体的腹面前中部有一胞口,胞口由16-20根刺杆作圆形围绕成漏斗状的口管,并与身体纵轴向左成30度倾斜角,故名斜管虫。

(斜管虫的形态结构,A和B是活体标本,C和D是染色标本)
显微镜下的斜管虫会呈现出卵圆形以及鸭梨形的形状,分腹面、背面、侧面三处种形态。因为腹面中部有一胞口,所以会在镜头下面看到类似小气泡的圆圈,而当观察的的斜管虫是背面则没有,如果是侧面则呈现出的是一头大一头小拉长的椭圆,犹如鸭梨形状。

二、鱼类斜管虫的生长特性
斜管虫、车轮虫、指环虫、鳃隐鞭虫是水产养殖中的常见寄生虫病,鱼类的寄生虫最擅长、最喜欢寄生到瘦弱的鱼体上。。斜管虫多在暗沟、阴暗、适温、粪便、污水、淤泥和腐殖质中繁育,适宜斜管虫繁殖的水温为8-18摄氏度,最适繁殖水温为5-12摄氏度。因此,每年3-4月和11-12月是此病的流行季节。夏秋两季比较少见。斜管虫主要爆发的水温在12-18℃,一般在养殖过程中12-22℃都比较容易爆发斜管虫。初冬和春季最为流行,斜管虫最为活跃。

鲤斜管虫形态(仿黄琪琰)
鱼类暴发斜管虫病,多在温度回升较快,池塘底质不良,如果又逢阴雨持续,溶氧不稳定,此时最适合寄生虫的繁殖。斜管虫在养殖环境恶化,鱼体的抵抗力差的时候,据说30度以上的水温也能大量繁殖。

鲤斜管虫形态 (仿R.Herbert)
斜管虫离开鱼体后在水中自由状态下可维持生活1-2天,可以直接转移到其他鱼体或水体中去。斜管虫常常寄生在鳃、鼻孔和皮肤上,如果环境不适应,斜管虫就会形成胞囊,通过直接接触或胞囊进行传染。

镜检斜管虫时要检测新鲜的病鱼,对于死亡两小时以上的鱼,斜管虫会逃离寄主,会给诊断可能带来误诊。斜管虫的活体大小在20至50毫米大小,只有成虫期的小瓜虫十至二十分之一大小。

三、鱼类斜管虫病的症状
鱼类斜管虫病必须用显微镜进行检查才能准确诊断。在苗种培育池塘和小面积的人工水域环境内的鱼对斜管虫感染最敏感,而且斜管虫是鱼苗的大敌,能引起严重的死亡。如果在触摸鱼体时手感体表粘液很多,观察鳃丝苍白或有的呈淡蓝色,即可诊断为疑似斜管虫寄生。

(体表粘液很多)
由于鳃上多粘液且鳃丝受到虫害损伤,通过鳃小片进入鱼体内的溶氧就会减少,鱼就会出现缺氧(或欠氧)浮头,也会有吃食减少的现象,鳃上常伴有淤泥现象。

(斜管虫的超微结构,A是在鳃丝上的虫体,B是虫体外观,C和D分别是纤毛细微结构)
斜管虫主要侵袭鱼的鳃和皮肤,以鳃和皮肤上的粘液作营养。病鱼体表、鳃部有大量粘液。体表形成苍白色或淡蓝色的一层粘液,组织坏死,呼吸困难。患病鱼食欲减退,靠近池边浮于水面上或侧卧于水面上。
当鱼被斜管虫大量寄生时,鱼的鳃和皮肤遭受破坏,并刺激皮肤和鳃大量分泌粘液,使鳃丝间严重粘合在一起使鱼的呼吸困难,鱼体表现瘦弱发黑,游动迟钝,随即死亡。一般可见病鱼靠边,漫游,鳃丝挂有脏物比较严重,镜检可见扁形的虫体,一般沿着鳃丝边缘游动。

(感染斜管虫的鱼,图为鳃丝挂有脏物)
四、鱼类斜管虫与车轮虫的区别
斜管虫与车轮虫、指环虫、鳃隐鞭虫可以同时并发并存的,但斜管虫与车轮虫两者是相似但仍有区别的。斜管虫是很扁形的,喜欢在鳃丝边缘游动,车轮虫会打转,一般在鳃丝外边游动,车轮虫一般危害小规格的鱼苗。斜管虫一旦大量感染会造成鱼儿大量死亡,并且比较迅速,需要及时发现并及时处理。

(在显微镜下的斜管虫和车轮虫的区别)
斜管虫在晴天转雨天气时,因气候突变会激活虫卵,斜管虫病便会有大机率的发生,当水质偏酸时的池塘,斜管虫病发生的机率也大。鱼苗越小,斜管虫病的危害越大。车轮虫在连绵阴雨时的发生概率很大。

(感染斜管虫的鱼,图为鳃丝挂有脏物)
如果发现有斜管虫基本不动或者活动强度不大的话,一般危害不大。如果发现斜管虫数量多并且游动能力又好,那就说明斜管虫伤害攻击力很强,必须及时杀虫以免虫情恶化。

五、防治方法
防治虫害最好的方法是建立良好的池塘生态系统,池塘有一定的浮游动物也是寄生虫的天敌,水中浮游动物常常是寄生虫幼虫或原生动物类寄生虫的食用者,如果一味的主张杀灭浮游动物,造成浮游动物的缺失,就是这些原生动物类寄生虫或寄生虫幼虫的“天敌”就消失了,从而失去了生物控制寄生虫病害的生态方法。

(浮游动物)
在水体氨氮高时用什么杀虫药都效果差或者容易复发。寄生斜管虫的病程一般都较忙急,一旦发病,如果不及时处理,就会造成苗种及鱼类的大量死亡。有时要重复用药一次或者一到两种方法隔时联合运用,才能达到最终杀虫的目的。鱼类寄生虫一般都很容易灭杀,使用杀虫剂即可治疗。一般用药量精准时,用药8小时左右,鱼类斜管虫病即可治愈。
寄生虫的反复性:寄生虫的反复性和顽固性很强,多数杀虫药一般只是有驱虫作用而不死杀死虫子,有些寄生虫因为受不了杀虫药的刺激,就会形成包囊以求自保,然后沉入塘底,待药效消失或条件适宜又会重新繁殖。这也是很多人说杀虫后又生虫的原因。因此,杀灭寄生虫时用药两次为宜。

斜管虫与车轮虫、指环虫、鳃隐鞭虫可能同时并发,杀灭方法基本相同。
1.前期预防:用生石灰彻底清塘消毒。
2.后期预防:在鱼类寄生虫宜生时节用普通的杀虫剂全池泼洒。
3.预防从底质开始:池塘底质差,寄生虫就比较容易繁殖,遇到温度适宜寄生虫就繁殖进入水体,然后侵入鱼体上。彻底清塘消毒和经常"底改"的池塘,寄生虫爆发的概率就会很低。
4.甲醛(福尔马林):每立方米水体用20~30毫升,稀释1000倍全池泼洒。甲醛虽然刺激性不大,但是比较污染水体,使用后需要及时解毒调水,晚上容易缺氧,甚至是第二天晚上最容易缺氧。
5.鱼虫净:每亩/米水体用鱼虫净溶液200毫升;春秋季水温低于18℃、水清瘦发生寄生虫病时,用量为100-150毫升/亩/米水体,稀释5000-6000倍均匀泼洒。
6.硫酸铜浸浴:用8克/立方米水体的硫酸铜溶液浸浴30分钟。
7.高锰酸钾浸泡:用20克/立方米水体的高锰酸钾溶液浸泡,水温10~20℃浸洗病鱼20~30分钟;水温在20~25℃时,浸洗15~20分钟;水温在25℃以上时,浸洗10~15分钟。
8.食盐溶液浸洗:用2%食盐溶液浸洗5~15分钟,
9.硫酸铜、硫酸亚铁合剂:每立方米水体用0.7-1.0克硫酸铜与硫酸亚铁合剂(5:2)全池遍洒。
10.敌百虫:每立方米水体用0.5-2.0克全池泼洒。
11.硫酸铜、硫酸亚铁合剂与强氯精组合:每立方米水体用0.7-1.0克硫酸铜、硫酸亚铁合剂(5:2)与0.3-0.5克强氯精混合,稀释后全池遍洒。病情严重的池塘,可连用2次。
12.阿维菌素、伊维菌素:每立方米水体用0.2~0.3毫克阿维菌素溶液(以阿维菌素计),稀释2000倍,全池泼洒;第二天每立方米水体用0.3-0.5克二氧化氯(含量8%)化水全池泼洒。
13.苦楝枝叶汁:水深1米,每亩用25~30千克苦楝树枝叶煮水全池泼洒,每15天1次。或者扎捆苦楝枝叶浸泡于塘中也有效果。
14.施用杀灭寄生虫专用药物。
附:赤皮水霉并发症---"鱼瘟"的参考防控措施
近期"鱼瘟""怪病"暴发流行,本文建议按以下措施疗程救治,三至五天为一疗程,每天一次,仅供参考!
1.近期停止鱼类捕捞和转塘,待水温18度以上后再行操作为宜。
2.增开、加开增氧机,保持足够的溶氧量。
3.使用暴血停(平)等止血因子类药物,按使用说明全池泼洒。
4.食盐和小苏打合剂。每亩水面1米水深使用食盐5斤加小苏打5斤混合全池泼洒。
5.大蒜素+二氧化氯。每亩用250克大蒜素加250克二氧化氯混合后全池泼洒。
6.中药大黄。每立方米水体用大黄2.5-4.0克,用0.3%*水氨**(可在化工试剂店购买)浸泡后,连水带渣进行全池均匀遍洒。购买*水氨**不便的,按500克大黄加10公斤碳酸氢铵的比例混合,加水浸泡12小时后全池泼洒,使池水药液浓度为3克/立方米。还可用大黄、硫酸铜(各0.53克/立方米)全池泼洒。
7.中药五倍子。将五倍子捣碎,用开水全部溶解后,用池水稀释全池泼洒,用量为2-4克/立方米。
8.使用"草鲫四病灵"1瓶(100毫升)+"花白鲢暴发止"1瓶(100毫升)可分别或(最好)合用施用3-5亩的水面积,全池泼洒。
9.生石灰。施用生石灰(每亩15-30公斤)溶液全池泼洒,有较好的效果。
10.三合剂。每立方米水体用敌百虫克1、高锰酸钾0.8克、食盐5克合剂全池泼洒,隔天一次,用一至两次。
11.强氯精(1公斤/5亩)+戊二醛(125毫升/亩)合剂,全池泼洒。
12.硫酸铜、硫酸亚铁合剂与强氯精。每立方米水体用0.7-1.0克硫酸铜、硫酸亚铁合剂(5:2)与0.3-0.5克强氯精混合,稀释后全池遍洒。病情严重的池塘,可连用2次。
13.内服药。发病初期可用三黄散,氟苯尼考等药物拌料投喂。
来源丨水花鱼