
导读
医脉神经每周五个工作日都有雷打不动的早餐病例学习,每天3个短小精悍的小case,每天掌握3个知识点。每个群的群主轮流提供早餐病例,感谢各位群主及老师们的辛苦付出,也感谢参与讨论的众多群友。大家思想的碰撞,产生了无数的智慧火花,常在群里逛逛,每天都有新的收获。上周的精彩晨读病例摘选如下。
晨读总结: 赵伟,赵莲花
感谢为晨读三分钟病历提供、整理、审校的老师: 郭阳、赵尧辉、李芳、吕华东、许丹丹、薛慧如、谭小林、李惠明、梁新明 申永国、黄波涛。
病例1
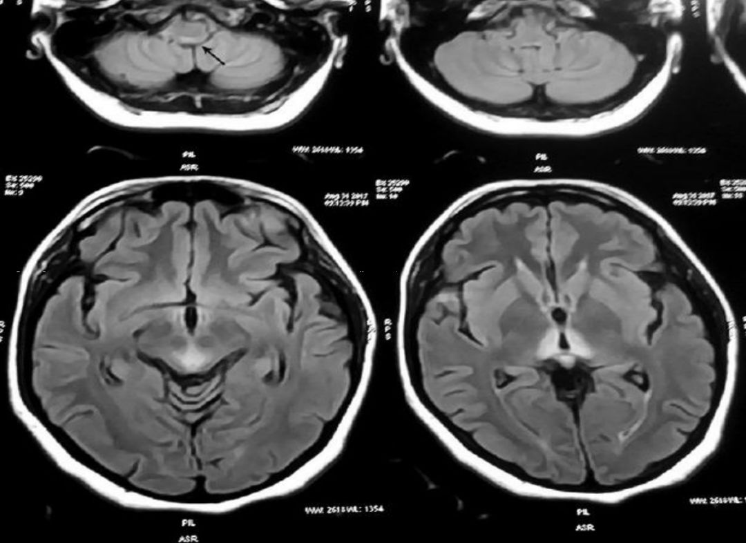
男性18岁,发热、恶心、呕吐3天。(补充:自行口服甲硝唑1.2g/d 后出现共济失调、眩晕。)

答案: 甲硝唑相关脑病(Metronidazole-induced encephalopathy MIE)。
本周一的晨读病例都是良心病例,难度程度均不高。特征性影像表现剑指甲硝唑和山豆根。甲硝唑的神经毒性主要包括前庭小脑系统损害、自主神经损害、视神经损害、周围神经损害及癫痫发作等。甲硝唑引起的CNS损害多具有可逆性,及时停药后,临床症状可短期内改善。MIE的MRI改变:典型病变区域在小脑齿状核、中脑、脑桥被盖、延髓背侧及胼胝体压部,通常双侧对称受累。小脑齿状核和中脑下丘对称性病灶被认为是MIE的特征性表现。MIE鉴别诊断:中枢神经系统脱髓鞘疾病及其他代谢性和中毒性脑病。其中,Wernicke脑病最需与MIE鉴别。WE特征MRI表现:第三、四脑室旁、导水管周围、乳头体、四叠体、丘脑对称性病灶。
病例2
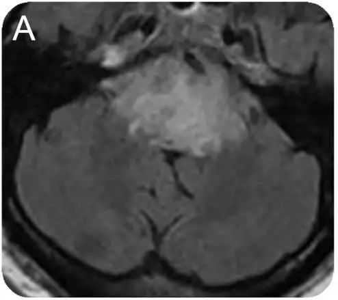
女性45岁,视物模糊、视物成双2周。既往:2年前曾出现眩晕、步态异常、频发呕吐、反复呃逆伴随味觉、嗅觉受损。延髓背侧曾出现一个病灶(可疑脱髓鞘),应用甲强龙冲击后症状消失。PE:嗜睡,嗅觉减退,瞳孔大小正常,对光反射及调节反射正常,双眼上下视不能,双外展受限,双眼水平复视。味觉减退,余颅神经未见明显异常。运动及感觉无明显异常。

答案: NMOSD。
频发呕吐、反复呃逆+延髓背侧的病灶提示极后区综合征。辅助检查:CSF:细胞数:10个/mm3,30%多型,70%淋巴细胞。蛋白质和糖正常。AQP-4抗体:阳性。该患者的特征表现是双侧垂直性眼肌麻痹,无脊髓炎也无视神经炎,这种情况也很少见。该患者在发病初期和当前发作期间均存在味觉和嗅觉明显受损。水通道蛋白4存在于嗅神经末梢和嗅上皮细胞中,这可能解释了嗅觉减退的原因。脑干中味觉通路的参与,丘脑的味觉中继站可能是导致味觉减退的原因。AQP4高表达的区域为间脑、下丘脑和中央导水管周围,本患者的影像也很典型。
病例3
女性47岁,进行性左侧偏身不自主运动2年。既往甲状腺切除20年伴甲状旁腺功能减退。

答案:甲状旁腺功能减退。
患者为甲状旁腺功能减退导致的成人起病的孤立性偏侧舞蹈症和双侧基底节钙化。典型的小鸟对话征,相关分析见往期晨读,再次学习以加深印象。
病例4
男性35岁,注意力进行性下降,智力低下。体检发现左侧跟腱黄色瘤。

答案:脑腱黄瘤病 (Cerebrotendinous xanthomatosis, CTX)。
MRI显示⼩脑和脑萎缩,双侧齿状核对称性FLAIR高信号[图1b]、苍⽩球[图1c]、黑质[图1d]、为CTX特征。CTX患者由于固醇27-羟化酶的缺陷致使胆固醇无法转化为胆汁酸和鹅去氧胆酸,造成胆固醇及其前体物质在神经系统和非神经系统蓄积。CTX发病率低,临床表现多样,在新生儿期多以胆汁淤积性黄疸和不明原因的顽固腹泻为首发症状,绝大多数患者在儿童期表现为白内障,70%的患者当中有肌腱黄瘤,神经系统症状包括:智能损害、痴呆、精神行为异常、锥体束征、共济失调、肌张力障碍等。MRI表现为弥漫对称性幕上白质+灰质核团高信号,小脑齿状核钙化,以及VRs扩大。也可见小脑白质高信号、脑萎缩,脊髓有时也受累。CTX的治疗主要包括低脂饮食和药物治疗。药物包括鹅去氧胆酸和HMG-CoA还原酶*制剂抑**。鹅去氧胆酸通过负反馈作用于胆汁合成途径,减少胆固醇及其前体物质的产生。
病例5
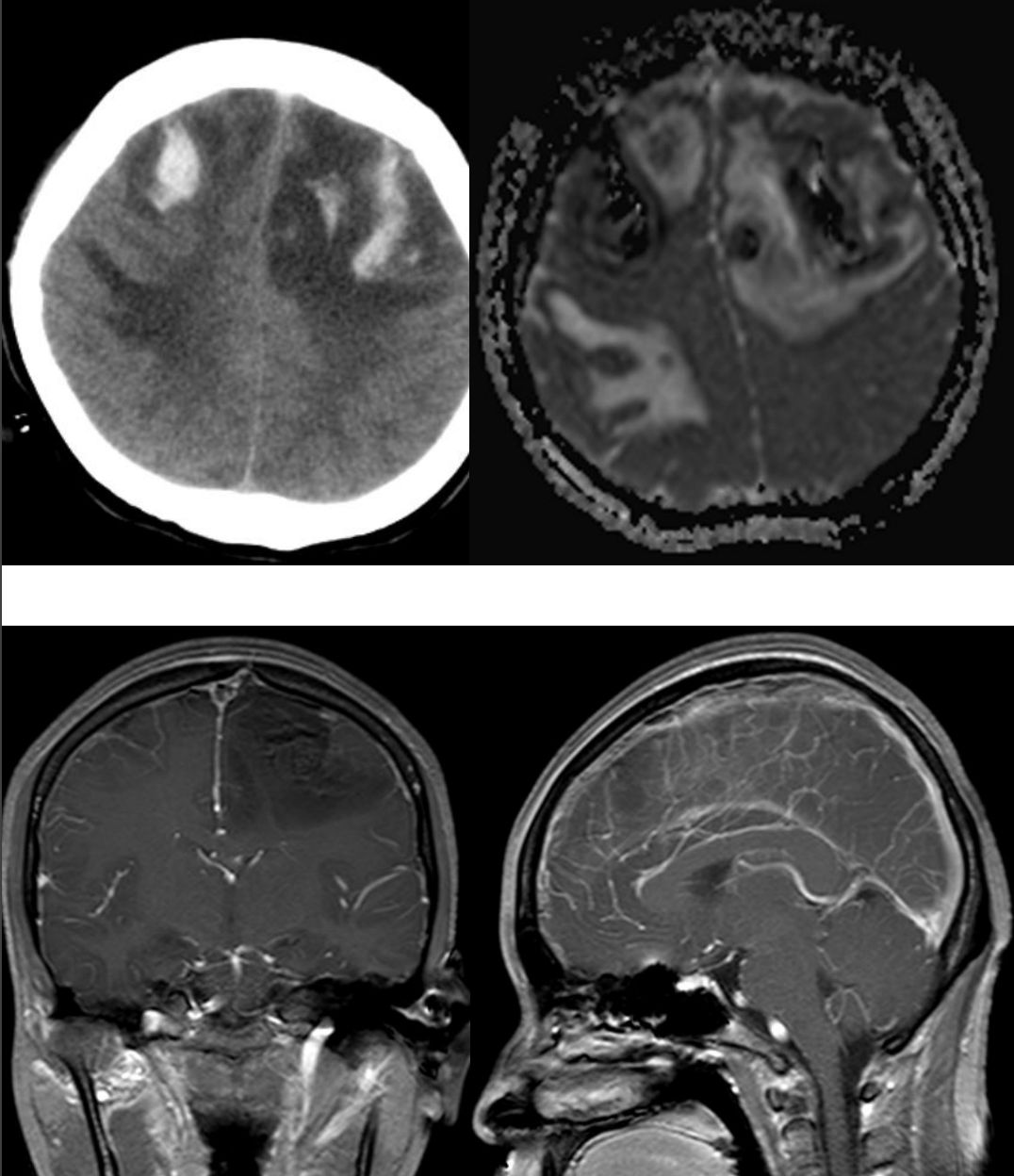
61岁,男性,右腿间歇性无力,轻度头痛(全脑),进行性认知功能障碍和嗜睡;血液及脑脊液检查无感染证据,无肿瘤细胞。

答案:巨大动脉瘤伴瘤内完全血栓形成。
本病例较难,在文献中也是通过手术才得到确诊。东非逗留个人史+脑脊液囊虫抗体滴度(1:20)最初诊断考虑脑囊虫病。术中诊断:左侧大脑前动脉巨大动脉瘤伴瘤内完全血栓形成,伴载瘤动脉血栓形成(原因可能为部分血栓形成的动脉瘤不断增长或血栓的逆行扩散而使母血管受压)回顾分析:MRI双侧额叶巨大肿块,T1WI病灶新月形高信号;T2WI病灶内无血管流空影,灶周水肿;CT平扫高密度肿块伴部分壁钙化伴少许瘤内出血;注射对⽐剂后未见明显强化(载瘤动脉血栓形成导致造影剂无法进入)导致误诊的主要原因。
巨大颅内动脉瘤(giant intracranial aneurysm)生长过程:自发性血栓形成→缓慢生长形成占位效应,破裂形成SAH。巨大动脉瘤腔内完全血栓形成事实上非常罕见。颅内动脉瘤伴血栓形成CT特征是环状强化,囊壁环状钙化,管腔内混杂高密度,可见靶征。MRI特征包括“洋葱皮征”,肿块内血管流空影,T2WI的瘤周水肿,病灶明显强化。总而言之,首先颅内球形肿块伴病灶内出血和壁钙化,鉴别诊断需考虑完全血栓形成的GIA;其次颅内球型肿块未出血、未钙化需鉴别颅内巨动脉瘤。
病例6
患儿女性,8岁,反复呕吐半年,3年前有癫痫发作,未诊治。

答案:Sturge-Weber综合征(SWS)。
补充资料:患儿右侧眼眶、颜面部见大片红色斑块,无溃疡。患儿癫痫、呕吐,颅内皮层脑回状钙化,大血管未见畸形,考虑SWS。在没有CT的情况下,本病例诊断存在困难。Sturge-Weber综合征又称脑颜面血管瘤病、脑颜面三叉神经血管瘤病、软脑膜血管瘤病等,是先天性颜面与脑混合性血管畸形,病变的主要特点为面部三叉神经分布区皮肤血管瘤和同侧软脑膜血管瘤。钙化多发生于软脑膜血管瘤下的脑皮质,并可累及整个皮层,但常见于第2~3层。钙化早期位于血管周围,以后位于血管瘤和周围组织之间。钙化有脑回状、斑块状、点状、条状等多种形态,以脑回状为特征。
病例7
60岁,女性,头痛头晕5天。

答案:淋巴瘤。
颅内淋巴瘤分为原发性和继发性两类,颅内原发性淋巴瘤是属于少见原发脑肿瘤的一种,仅指淋巴细胞起源且不存在中枢神经系统以外淋巴瘤的中枢神经系统淋巴瘤。脑内原发性淋巴瘤起源于胚层组织,生长迅速,恶性程度高。MRI 表现:平扫时 T1WI 呈略低或等信号,T2WI 呈等及稍高信号,周围可有水肿,增强扫描病灶多数呈明显均匀强化;当强化不均匀时提示肿瘤存在坏死。DWI 呈高信号是淋巴瘤的一个特点,此外,有学者认为增强扫描时呈现的「脐凹征」或者「握拳征」是淋巴瘤较为特征性的一个表现。
病例8
患者,男,60岁,以"被发现不省人事7小时" 为主诉入院。查体:(呼吸机辅助呼吸)浅昏迷,急性面容,双眼向右侧凝视,双瞳孔直径约3mm,对光反射存在,四肢肌张力偏高,双侧巴氏征阳性。

答案:低血糖脑病(HE)。
补充资料:急诊测血糖2.4mmol/L。低血糖脑病(HE)是一种代谢性脑病,病因是血糖极低,该病发病迅速,症状包括反应迟钝,精神恍惚,行为异常。若患者未得到及时的治疗,症状会在短时间内恶化,患者可能出现嗜睡甚至昏迷。HE有很强的区域选择性,主要侵犯海马、大脑皮质、基底节区、胼胝体压部和皮质下白质,而小脑和脑干很少受累,部分患者发现早,病变可逆,广泛大脑皮质受损者预后差。上期就总结皮层 “缎带征”,多见于如下疾病:低糖高氨上吊死;疯牛病脑偏头疼;假酒中毒持续抽;一氧化碳来凑数;低钠渗透髓鞘脱。
病例9
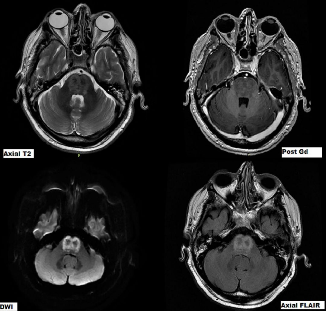
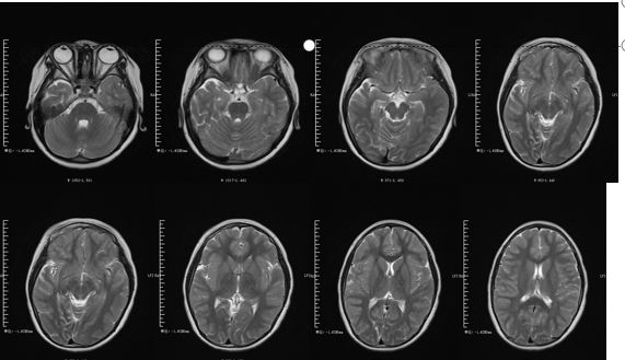
52岁,丙型肝炎患者,进行肝移植治疗肝硬化后使用免疫*制剂抑**等(他克莫司、霉酚酸酯、强的松)治疗。治疗3个月后出现间歇性头痛,复视(多为下视时出现),步态不稳,无全身症状。查体:血压136/73mmHg。眼球震颤,步态共济失调,腱反射正常。

答案:他克莫司相关神经毒性致脑干损伤。
补充辅助检查:血沉阴性,C-反应蛋白,艾滋病毒、半乳甘露聚糖、1,3-b-D-葡聚糖、隐球菌,结核均阴性。脑脊液中有1个白细胞,蛋白质101 mg/dL,革兰氏阴性染色,细菌性真菌培养,EB病毒,巨细胞病毒,单纯疱疹病毒,人类疱疹病毒6型,JC病毒,以及寡克隆带均阴性。免疫球蛋白G指数为正常。胸片呈阴性。脑PET扫描未发现PET摄取异常。在患者住院期间,他克莫司的治疗剂量为6.3~9.0ng/ ml。经治医生不排除他克莫司导致脑干脑炎的可能,并将药物改为环孢菌素。患者入院2周和6周各进行了一次MRI 检查,结果显示脑干病变较前好转 (图B、C)。6个月后随访,患者的神经系统检查和MRI 均未见明显异常。B为他克莫司停药后2周MRI。C为 6周后脑磁共振Flair图像。
他克莫司是抑制神经钙蛋白磷酸酶活性和T淋巴细胞化的免疫*制剂抑**。可引发一系列神经系统的不良反应,包括轻微头痛、震颤痫性发作、皮质性失明和昏迷,且不良反应的发生与他克莫司剂量无相关性。
当患者出现T2及Flair序列的脑桥高信号时,要考虑到他克莫司神经毒性导致脑干脑炎的可能。
病例10
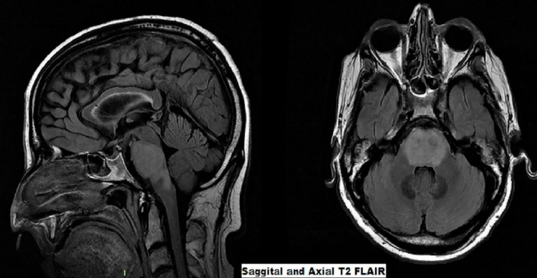
59岁,男性,急性高热伴视物模糊就诊。查体:左眼视力下降,部分左上睑下垂,左侧轻偏瘫。病情进行性加重,逐渐出现嗜睡、呼吸衰竭、进行性延髓麻痹和自主神经功能障碍(多汗、流涎、心动过速、高血压)。48h后出现面部及四肢无力、反射减弱,转入重症监护室。

4周时MRI:

答案:脑干脑炎与戊型肝炎并发急性多发性神经病。
脑脊液检查:WBC:20*106/L,蛋白1.6g/L,病毒和细菌均阴性。莱姆病、血液传播病毒、梅毒、自身抗体阴性。神经传导提示明显的周围神经受累,急性运动和感觉轴突神经病变。接受了脑干脑炎和格林巴利综合征的感染性和炎症性治疗。完善脑脊液戊肝病毒(HEV)RNA阳性。经过治疗后好转出院。脑干脑炎的病因大致分为:①感染性:李斯特菌、肠道病毒或单纯疱疹病毒感染等;②自身免疫性:多发性硬化、白塞病;③肿瘤和(或)副肿瘤性:与抗Yo抗体和抗Tr抗体相关的副肿瘤综合征。其他罕见的病因包括:JC 病毒感染、CLIPPERS 综合征、淋巴瘤、亚急性硬化性全脑炎等。
病例11
看图识病,文献病例,未提供病史。

答案:弥漫性内生性桥脑胶质瘤(Diffuse intrinsic pontine glioma,DIPG)。
多在儿童期中起病,大多数儿童诊断在5-10岁之间。大多数患者有脑干功能障碍或脑脊液阻塞的迹象,尽管少数肿瘤被认为是偶然发现。通常,症状出现的时间很短(即<1个月),但在诊断前几个月出现全身或细微症状并不罕见。常见的症状包括眼球运动异常或受限、复视、面瘫、笨拙、行走困难、平衡障碍和虚弱。梗阻性脑积水可能会出现颅内压升高的症状和体征。其他症状,包括行为改变、夜惊和学习困难。在磁共振成像上,肿瘤表现为一个巨大的脑干扩张性肿块,而不是一个压迫脑桥的外部肿块。肿瘤经最小阻力途径扩张,可能存在外生成分,但DIPG位于桥脑内,病变累及桥脑大部分。DIPG在T1加权成像上呈低或等信号,在T2加权成像上呈高信号,在Flair序列上常表现为相对均匀。典型DIPG的其他MRI表现包括桥脑腹侧受累和基底动脉包绕。增强无特异性,但病变在诊断时往往没有明显增强。预后极差。
病例12
男,44岁,2月前无明显原因颈部疼痛,伴左上肢放射痛,放射至食指、中指、无名指及小指,休息后无缓解,夜间加重。无发热、盗汗等症状。

答案:脊柱原发淋巴瘤。
原发性骨淋巴瘤多为非霍奇金淋巴瘤(NHL),是一种罕见类型的结外淋巴瘤,占所有NHL的1%。脊柱原发性淋巴瘤全身症状不明显,多表现为局部疼痛,预后较好。一般认为脊柱原发性淋巴瘤起源于硬膜外静脉丛内的淋巴组织,因此肿瘤常沿硬膜外腔浸润性生长。影像学特征:病变邻近骨质破坏不明显而椎旁软组织肿块明显是重要特征,软组织肿块MR信号均质,增强呈中到明显强化。肿瘤还可经破坏的椎体后缘、椎弓根或经椎间孔侵入椎管内,围绕硬膜外环形生长,并向上、下方向发展呈袖套状,亦具有特征性。
病例13
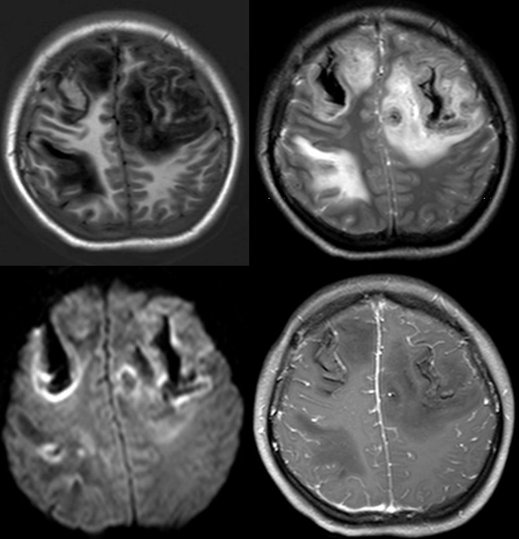
女性29岁,突发头痛1天伴左下肢麻木无力。头痛呈持续性胀痛,进行性加重,不伴恶心呕吐,无意识障碍等。二便正常。血压120/80mmHg;体温36.8℃。

答案:静脉性脑梗死。
静脉性脑梗死好发生于年轻女性,病程急,于静脉窦血栓形成关系密切,尤以上矢状窦栓塞为著。典型影像表现为上矢状窦引流区单发或多发出血性梗塞,周围脑组织肿胀,增强扫描上矢状窦出现“空三角征”,MRV上常可见到上矢状窦周围侧枝形成。比较遗憾的是本例患者并未行MRV检查,但其发病年龄、临床表现及影像学特征均支持静脉性脑梗死的诊断。
病例14
女,48岁,头痛1月余。

答案:乳腺癌脑转移。
本例为小脑半球囊实性占位性病变,灶周水肿轻,弥散无明显受限,囊性部分T2WI信号很高且均质,易误诊为中年女性好发的血管母细胞瘤,但病灶右后部实性部分无论平扫还是增强都表现的非常模糊,缺乏清晰的边界,不符合良性肿瘤的特征;囊壁局部厚薄不均、T2WI病灶实性部分未见明确流空血管、增强实性部分未呈较均匀显著强化、病灶囊性部分呈分散多囊改变,以上特征均与典型的血管母相去甚远。另外,患者年龄较大,病灶实性部分未呈较均匀显著强化,可排除毛细胞星型细胞瘤。脑内转移瘤影像学表现千变万化,因此,任何颅内占位性病变都应该首先与转移瘤相鉴别,不能明确排除转移性病变的可扩大检查范围或行PET检查。
参考文献:
[1] Sagvekar Y, Shah V, Rohatgi A, et al. Short-course self-medication of metronidazole leading to acute toxic encephalopathy and ataxia. Annals of Indian. Academy of Neurology. 2019; 22:543-545.
[2] Mathew J, Mohan M, Menon A. Neuromyelitis optica spectrum disorder with vertical gaze palsy and hypersomnolence. Annals of Indian Academy of Neurology. 2019; 22:530-532.
[3] K, Walzade P, Ravat SH, Agarwal PA. Adult-onset isolated hemichorea revealing iatrogenic hypoparathyroidism and bilateral basal ganglia calcification. Annals of Indian Academy of Neurology. 2019; 22:496-499.
[4] Shaji B, Srikumar B, Ramachandran D. A Preventable Ataxia: Cerebrotendinous Xanthomatosis. Ann Indian Acad Neurol. 2019;22(4):493–496. doi:10.4103/aian.AIAN_126_18.
[5] Chihi, M., Jabbarli, R., Gembruch, O. et al. A rare case of a completely thrombosed bilobed giant intracranial aneurysm of the anterior cerebral artery with spontaneous parent vessel thrombosis: case report. BMC Neurol 19, 297 (2019) doi:10.1186/s12883-019-1529-6,
[6] 不可不防:药物相关神经毒性导致脑干损伤[J]. 临床误诊误治杂志,2017年,第3期。
[7] Altaf Saadi, Jeremy D. Schmahmann. Pearls & Oy-sters: Tacrolimus neurotoxicity presenting as an isolated brainstem lesion. Neurology Mar 2016, 86 (11) e109-e111; DOI: 10.1212/WNL.0000000000002467
[8] Salim OJ, Davidson A, Li K, Leach JP, Heath C. Brainstem encephalitis and acute polyneuropathy associated with hepatitis E infection. BMJ Case Rep. 2017;2017:bcr2017220799. doi:10.1136/bcr-2017-220799
[9] Warren KE. Diffuse intrinsic pontine glioma: poised for progress. Front Oncol. 2012; 2:205. doi:10.3389/fonc.2012.00205
.