
人流后,月经量少。。。而且一直怀不上。。怎么办

人流后,都不来月经,会不会一下子就老了?
你们可能碰上了“好孕杀手”——宫腔粘连

宫腔粘连是什么?

宫腔粘连(intrauterine adhesions,IUA),又称Asherman综合征,是由于各种原因引起子宫的创伤,导致子宫内膜基底层受损,使宫腔部分或全部闭塞,从而导致月经量少或闭经、不孕或反复流产。

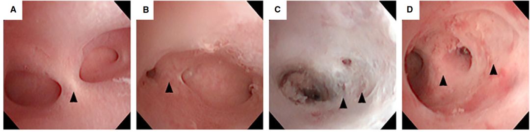
↑宫腔镜下宫腔粘连的表现↑
(图中黑色三角表示宫腔粘连)
新生的子宫内膜“贴附”到子宫腔肌肉上,就如同“花盆”(子宫)和里面的“土壤”(内膜)一样。
在怀孕期间,子宫内膜(土壤)与子宫肌肉(花盆)之间的“贴附”变得十分松软,此时,接受与流产相关的刮宫手术,特别是反复刮宫/清宫, 必然会使大面积子宫内膜遭到破坏, 损伤的内膜被纤维结缔组织“替代”形成瘢痕,可想而知,此时子宫内膜的功能将会大大降低、甚至丧失。

为什么会出现宫腔粘连
简而言之:各种原因导致的子宫内膜损伤
妊娠相关手术
如人流术、清宫术、中孕引产、产后出血子宫动脉栓塞术、胎盘残留清宫术、剖宫产术及妊娠滋养细胞疾病相关手术等,任何可能对子宫内膜造成创伤或影响子宫内膜血流的操作都可能引起宫腔粘连。妊娠期子宫内膜及基底层更容易受伤,妊娠相关手术后雌激素水平下降可能影响内膜增生。
非妊娠相关手术
例如诊刮术、子宫肌瘤剔除术、子宫内膜息肉切除、子宫纵隔切除术、黏膜下肌瘤切除术、子宫内膜消融术、子宫内膜电切术、双侧子宫动脉栓塞术等。
炎症因素
常见的疾病是子宫内膜结核,慢性或亚急性子宫内膜炎也有可能导致宫腔粘连,宫腔操作术后继发感染、产褥期感染等。
其他因素
如宫腔内微波、冷冻、化学药物治疗及局部放射治疗。
我国的人工流产率高居不下(29‰),与世界上流产率最高的国家爱沙尼亚(30‰)接近,使宫腔粘连在我国成为一个常见病。

文献报道不同宫腔操作宫腔粘连的发生率
育龄女性往往会忽略宫腔粘连的危害,轻易进行人流手术,最终可能会导致不孕。

宫腔粘连有啥症状呢
月经量少或闭经
宫腔粘连患者大多没有明显症状,有症状的患者主要表现为月经量减少,严重的宫腔粘连会导致闭经。
周期性下腹痛
宫腔粘连可能会导致月经血流出不畅,这时会出现痛经或周期性下腹坠胀感。
影响生育力
宫腔粘连常常导致宫腔形态、大小、体积等发生异常,对生育有一定影响,可能导致不孕、自然流产、稽留流产、复发性流产,也有可能出现不良妊娠结局如胎盘粘连、胎盘植入、早产等情况。
怀疑宫腔粘连怎么办
对于人流或清宫等宫腔操作后出现闭经或者月经量减少的女性,可以通过B超检查进行初步判断有无宫腔粘连。
三维B超可同时进行宫腔三维重建,有助于宫腔粘连的检出。B超能明确粘连的部位及程度、宫腔内膜的厚度,是一种无创检查,但是B超检查的检出率有限,文献报道约64%-82%。而子宫输卵管造影的假阳性率比较高(高达 39%),并且无法检测子宫内膜纤维化以及无法观察宫腔粘连的程度,应用并不广泛,不推荐常规使用。
因为超声检查有一定漏诊率,所以即使超声检查未提示宫腔粘连,若临床高度怀疑宫腔粘连,尤其是合并不孕或不良妊娠史的患者,建议使用宫腔镜检查明确诊断。
宫腔镜是诊断宫腔粘连的金标准,条件允许时应该首选。与B超检查相比,宫腔镜能更准确的描述宫腔的形态、宫腔粘连的程度以及内膜的质量,并能同时进行治疗。

宫腔粘连要怎么治疗呀

我有宫腔粘连,但我没有不舒服。我有俩孩子了,也不想再生。那我还要治疗吗?
无临床症状+无生育要求=无需治疗

我人流后月经量少,没有不舒服,我也不想再生了,这月经量少咋办呢?
虽有月经过少,但无生育要求,且无痛经或宫腔积血表现的患者,也不需要治疗。

我月经量少,怀不上孩子,检查说宫腔粘连,我咋办呢?
对于不孕、反复流产、月经过少、有生育要求的患者需要治疗,首选宫腔粘连分离手术,根据粘连程度,术前、术后可选择药物治疗。
总结
宫腔粘连并不影响寿命,但会影响生育。因此对于没有生育要求的宫腔粘连患者,除了怀疑有月经流出道梗阻的需手术治疗以外,其余可以随访观察。

药物治疗

最常用的是大剂量的雌、孕激素周期治疗,也就是“人工周期”,模拟女性月经周期刺激内膜生长。
手术治疗
宫腔镜下宫腔粘连分离手术——
在宫腔镜直视下有针对的对粘连带进行切割分离,并根据术中的粘连程度放置节育环或球囊支架、使用防粘连制剂等。由于严重的宫腔粘连复发率高,因此这部分患者可能需要二到三次宫腔镜手术才能达到理想的宫腔形态。
术后随访——
宫腔粘连分离手术后应进行宫腔镜复查,一般选择在术后1-3个月进行。宫腔镜复查将对宫腔形态、子宫内膜状态再次评估,排除影响妊娠的因素,若发现宫腔粘连复发,可再次进行宫腔粘连分离手术。
宫腔粘连分离手术后的宫腔镜复查评估,是指导受孕及辅助治疗的重要依据。

预防为主!
宫腔粘连预防最重要。预防中最关键的是保护好子宫内膜,做好避孕,减少人流,避免不必要的宫腔操作。
当然,如果真的遇到宫腔粘连也要根据自身情况和病情积极治疗哦!

资料来源:
Sedgh G,Singh S, Henshaw SK, Bankole A: Legal abortion worldwide in 2008:levels and recent trends.International perspectives>37(2):84-94.
Hanstede MM,van der Meij E, Goedemans L. et al. Results of centralized Asherman surgery, 2003-2013.[J]. Fertility &Sterility, 2015, 104(6):1561-1568.e1.
Yu, D., etal., Asherman syndrome—one century later. Fertility and Sterility,2008. 89(4): p. 759-779.
中华医学会妇产科学分会.宫腔粘连临床诊疗中国专家共识[J].中华妇产科杂志,2015, 50(12):881-887.
图片来自网络,来源见水印
文:刘丽香 | 编辑:刘晓韵
初审:李田 | 审核:江清浩
审核发布:*党**宣办
