引言
这种疾病可以累及呼吸系统多个器官,但是因SSc呼吸肌受累致肺泡低通气情况比较少见,故其在鉴别诊断中非常容易被忽视。该病例提示我们合理使用无创正压通气治疗,对改善该类患者的生活质量及预后至关重要。
3年胸闷气促,双下肢浮肿,秋冬发作,每次持续半月……肺动脉栓塞和双下肢动脉硬化并多发斑块,双下肢小腿肌间静脉血栓是病因?
患者为75岁女性,主诉「胸闷气促伴双下肢浮肿3年,加重3天」于2019年1月27日入住中南大学湘雅二医院呼吸与危重症医学科。患者于3年前就开始出现胸闷、气促症状,偶伴阵发性咳嗽,咳少量白色黏液痰,伴双下肢轻度浮肿,无胸痛、无低热、盗汗等,每年多在秋末冬初时发作,每次发作约持续半个月,但从未到专科就诊和行相关检查。2019年1月25日,患者无明显诱因出现双下肢水肿,遂于2019年1月28日入院。自起病以来,患者精神食纳差,入睡浅。
患者既往有「高血压病」病史10余年,血压控制尚可;否认结核病及密切接触史,无药物过敏史。个人否认吸烟、饮酒史,但工作环境常吸「二手烟」。患者已婚,家族史无特殊。
入院查体温:36.5℃,脉搏:75次/分,呼吸:20次/分,血压:125/70mmHg,指脉氧饱和度81%,身高165cm,体重60kg,BMI22kg/m2。手指肿胀。胸廓无畸形,双侧呼吸动度对称,语颤无减弱,双肺叩诊清音,双肺呼吸音低,可闻及散在湿性啰音。心界向左扩大,心率75次/分,律齐,心音减弱,P2>A2,双下肢重度浮肿。四肢肌力对称、肌张力正常,无明显肌肉萎缩,无感觉异常。
1月28日的血气分析:PH 7.28,PaO2 72.9mmHg,PaCO2 82.8mmHg;N末端脑钠肽2201.05pg/ml;D二聚体5.5ug/ml;血常规、肝肾功能、电解质、心肌酶、炎症指标、甲功五项等均未见明显异常。
心脏彩超(左房42mm,左室49mm,右房47mm,右室44mm,左室射血分58%,估测肺动脉压力66mmHg):提示左房、右心增大,室壁运动欠协调,主动脉内径稍宽,主动脉硬化并斑块形成,主动脉瓣轻度返流;肺动脉增宽,估测肺动脉压力增高(中-重度);左室舒张功能减退(见图1)。

图1.心脏超声
肺功能: 用力肺活量(FVC)0.95L,FVC/预计值36.1%,第一秒用力呼气容积(FEV1)0.78L,FEV1/预计值39.4%,FEV1/FCV 82%,提示限制性通气功能障碍(重度),支气管舒张试验阴性。
肺部CT: 肺纹理增多,肺内散在斑片状、条片状渗出(见图2)。

图2:2019年2月3日胸部CT提示肺纹理增多,肺内散在斑片状、条片状渗出。
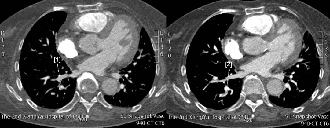
肺部CTA: 右肺下叶后基底段动脉可见充盈缺损影,提示右肺下叶后基底段动脉栓塞,余各肺动脉走行正常(见图3)。

图3:肺部CTA(2019年2月12日):右肺下叶后基底段动脉可见充盈缺损影。
双下肢血管超声: 双下肢动脉硬化并多发斑块形成,双下肢小腿肌间静脉血栓形成。
鉴于患者以上情况,首先对其临床特点进行回顾:
1、症状:胸闷气促伴双下肢浮肿3年,加重3天。
2、体征:指脉氧饱和度81%。手指肿胀。双肺呼吸音低,可闻及散在湿性啰音。心界向左扩大,心率75次/分,律齐,心音减弱,P2>A2,双下肢重度浮肿。四肢肌力对称、肌张力正常,无明显肌肉萎缩,无感觉异常。
3、辅助检查:①实验室检查:血气分析提示2型呼吸衰竭;N末端脑钠肽2201.05pg/ml;D二聚体5.5ug/ml;②心脏彩超:左房、右心增大,肺动脉增宽,估测肺动脉压力增高(中-重度),左室舒张功能减退;③肺功能:重度限制性通气功能障碍;④肺部CTA:右肺下叶后基底段动脉可见充盈缺损影,提示右肺下叶后基底段动脉栓塞。
思考题: 总结患者的病例特点,结合其病史、查体、心脏彩超及肺部CTA结果,患者肺动脉高压的诊断明确。应该以哪些病因诊断为切入点进行分析呢?
我团队认为,该老年女性因「胸闷气促伴双下肢浮肿3年,加重3天」入院。血气分析提示PaCO2>50mmHg,伴肺动脉高压、肺源性心脏病和2型呼吸衰竭,肺泡低通气综合征诊断明确。结合其病史、查体、心脏彩超及肺部CTA结果,患者肺动脉高压诊断明确,应以肺泡低通气综合征和肺动脉高压的病因诊断为切入点进行分析。
您认为该患者肺动脉高压属哪一型或哪几型?
- 1型肺动脉高压
- 2型肺动脉高压
- 3型肺动脉高压
- 4型肺动脉高压
- 5型肺动脉高压
根据肺泡低通气综合征的常见病因应进一步完善哪些检查?肺动脉高压有5种类型,该患者应该属于哪一种?
如上述所讲,我们以患者的肺泡低通气综合征和肺动脉高压病因诊断为切入点:
1、肺泡低通气综合征发病机制: 主要包括效应器、感受器及控制中枢异常,其中引起效应器异常的疾病主要包括神经肌肉疾病、胸廓及肺病变等。肺泡低通气综合征的的常见病因主要包括:
(1)呼吸系统疾病:慢阻肺病,间质性肺病,胸廓畸形,大气道阻塞等;
(2)中枢神经器质性疾病;
(3)药物,代谢,内分泌因素如甲状腺功能低下;
(4)脊髓和外周神经病变:脊髓灰质炎后综合征、肌萎缩性脊髓侧索硬化,吉兰-巴雷综合征,重症肌无力等导致的肺泡低通气[1]。
进一步完善以下检查:
多导睡眠呼吸监测:(呼吸暂停低通气指数(apnea hyponea Index,AHI) 8.2次/h,最低血氧饱和度69%)提示符合轻度阻塞性睡眠呼吸暂停综合征;夜间重度睡眠低氧血症。
结缔组织疾病相关抗体:类风湿因子IgM 78u/ml,自身免疫性肝病九项;免疫球蛋白等均未见明显异常。
头部核磁和头部脊髓影像未见异常。
根据上述已有检查结果,患者肺泡低通气综合征鉴别诊断可排除常见呼吸系统、中枢和外周神经系统、代谢内分泌系统疾病,患者肺泡低通气综合征病因仍不明确。
2、肺动脉高压的病因诊断:
基于病因的不同,肺动脉高压有5种类型[2]:
1型肺动脉高压:其病因是肺内动脉的动脉壁处于疾病状态,动脉壁重构、狭窄、增厚和/或硬化;
2型肺动脉高压:左心疾病相关性肺动脉高压,当左心功能出现障碍时,影响左心泵血功能,从而提高肺血管内的压力;
3型肺动脉高压:肺部疾病导致的肺动脉高压,这一类包括由慢性肺疾病和/或缺氧(低氧水平)导致的肺动脉高压;
4型肺动脉高压:肺部慢性血栓栓塞导致的肺动脉高压;
5型肺动脉高压:不明原因引起的肺动脉高压,在本组中,肺动脉高压继发于其他疾病,其发病机理不清楚。
本例患者病程中有严重限制性通气功能障碍,呼吸运动减弱,而后出现肺泡低通气,晚期处于慢性二氧化碳潴留、低氧状态,因此,肺动脉高压主要系慢性缺氧引起肺小动脉痉挛所致,即3型肺动脉高压。本次肺动脉CTA可见肺动脉栓塞,4型肺动脉高压因素在本次病程中参与了肺动脉高压的进一步加重。
患者的3、4型肺动脉高压使病情加重,考虑到患者就诊的主要表现,此时应注意哪些细节和特征?
我们并没有忘记患者就诊的主要表现:右心衰竭和2型呼衰,夜间睡眠低通气更严重,肺泡低通气诊断明确。因此,追问患者病史中发现,患者有口干、眼干20余年、手指肿胀、有雷诺现象,有双下肢乏力,按摩、理疗后无明显好转,因此应进一步外送肌炎抗体谱检查,检查报告提示PM-Scl 75 ++,余项阴性。
膈肌X钱透视:动态观察膈肌运动减弱,膈肌上抬(见图4)。
超声动态观察膈肌运动:平静呼吸下,双侧膈肌运动减弱,左侧4cm,右侧6cm(正常值8-10cm以上);深呼吸下,双侧膈肌运动正常。
肌电图未见异常。

图4:X钱透视(2019年2月13日):提示膈肌上抬
根据患者心脏彩超提示的肺动脉高压,肺功能提示限制性通气功能障碍,超声动态观察提示双侧膈肌运动减弱。根据系统性硬化症(systemic sclerosis,SSc)的诊断标准[3],SSc评分达9分,符合SSc的诊断。因此考虑患者系SSc累及呼吸肌致限制性通气功能障碍、肺泡低通气。
系统性硬化症是一种全身性的自身免疫性疾病,可累及包括呼吸系统的全身多个脏器。自身抗体PM-Scl 75阳性常见于肌炎/皮肌炎、系统性硬化症,尤其是在肌炎/皮肌炎与系统性硬化症重叠综合征中检出率最高,可与其他自身抗体合并存在,约66%患者合并类风湿因子抗体阳性[4]。SSc在老年患者中表现可不典型,对诊断带来困难, 且与发病年龄较轻的患者相比,患肺动脉高压、心血管病、肌无力和肾功能损害的风险更大[5]。由于肺和胸膜均富含胶原、血管等结缔组织,因此SSc可累及呼吸系统多个器官, 包括呼吸肌、胸膜、肺血管、气道、肺实质和肺间质等[6]。SSc的呼吸系统累及以间质性肺疾病最常见,仅累及呼吸肌的病例报道少[7,8],通常被认为是SSc少见的一种并发症。SSc肌肉受累可导致胸壁肌肉变硬,呼吸肌肌力下降,膈肌运动减弱和严重的限制性通气功能障碍,从而导致肺泡低通气综合征的发生发展,随着病情进展,患者则可能出现肺动脉高压、右心衰等[9,10]。
该患者年龄较大,免疫力低下,予以BIPAP呼吸机治疗后症状较入院时明显好转,暂未予激素+免疫*制剂抑**治疗。1月29日患者出现精神差、嗜睡状态,血气分析示:PH 7.14,PaO2 47mmHg,PaCO2 120mmHg;予无创呼吸机辅助呼吸(呼吸机参数:PEEP 3cmH2O,PC 13cmH2O,FiO2 38-42%)、利尿、抗心衰、雾化化痰、护心、抗感染、抗凝等治疗后,患者一般情况好转、意识清楚,但动态监测血气分析示PaCO2仍波动在52-67mmHg。经皮CO2监测(见图5):日间tcPCO2波动在33-60mmHg,夜间tcPCO2波动57-70mmHg,予BiPAP呼吸机治疗后夜间tcPCO2波动在45-54mmHg(治疗压力为IPAP 17.2cmH2O,EPAP 4.8cmH2O)。治疗肺泡低通气综合征关键在于改善患者的通气状况,大多数患者应用无创气道正压通气效果良好[1]。住院期间对患者予以BiPAP呼吸机夜间治疗后复查血气分析、AHI、右心衰及肺性脑病较前好转,患者胸闷气促症状较前明显好转后办理出院。出院后患者坚持家庭氧疗、家庭无创呼吸机辅助呼吸治疗,胸闷气促症状未再发,治疗效果良好。

A:日间经皮二氧化碳监测提示日间tcPCO2波动在33-60mmHg

B:呼吸机治疗前夜间经皮二氧化碳监测提示夜间tcPCO2波动在57-70mmHg

C:BiPAP呼吸机治疗后夜间经皮二氧化碳监测提示夜间tcPCO2波动在45-54mmHg
图5:经皮CO2监测
至此,该患者诊断为:1)系统性硬化症所致肺泡低通气综合征,2型呼吸衰竭,中度肺动脉高压,慢性肺源性心脏病失代偿期,心功能III级;2)轻度阻塞型睡眠呼吸暂停综合征,重度低氧血症;3)肺动脉栓塞(中低危);4)社区获得性肺炎可能性大;5)高血压病2级,很高危组。主要诊断依据如下:
1、症状:胸闷气促伴双下肢浮肿3年,加重3天,有口干、眼干20余年。
2、体征:双肺呼吸音低,可闻及散在湿性啰音。心界向左扩大,心音减弱,P2>A2,双下肢重度浮肿。手指肿胀、有雷诺现象,有双下肢乏力。
3、辅助检查:①外送肌炎抗体谱检查提示PM-Scl 75 ++;②肺功能提示限制性通气功能障碍;③超声动态观察提示双侧膈肌运动减弱;②心脏彩超:左房、右心增大,肺动脉增宽,估测肺动脉压力增高(中-重度),左室舒张功能减退。
经验与体会
本例患者最终诊断为系统性硬化症致肺泡低通气综合征、阻塞性睡眠呼吸暂停,经无创气道正压通气治疗后并病情好转。因此,本例病例提示系统性硬化症可累及呼吸系统多个器官,因SSc呼吸肌受累致肺泡低通气情况少见,故其在鉴别诊断中容易被忽视,合理使用无创正压通气治疗对改善该类患者的生活质量及预后至关重要。
参考文献
[1] 韩芳.肺泡低通气及低通气综合征[J].中华结核和呼吸杂志,2015,38(9):648-650.
[2] 中国肺动脉高压诊断与治疗指南(2021版)[J].中华医学杂志,2021,101(01):11-51.
[3] Hoogen F V D, Khanna D, Fransen J, et al. 2013 Classification Criteria for Systemic Sclerosis: An American College of Rheumatology/European League Against Rheumatism Collaborative Initiative[J]. Annals of the Rheumatic Diseases, 2013, 72(11):1747-1755.
[4] Mahler M, Raijmakers R. Novel aspects of autoantibodies to the PM/Scl complex: clinical, genetic and diagnostic insights.[J]. Autoimmun Rev, 2007 Aug;6(7):432-437.
[5] Ramos-Casals M,Brito-Zerón P,López-Soto A,et al.Systemic autoimmune diseases in elderly patients: atypical presentation and association with neoplasia[J]. Autoimmun Rev, 2004; 3: 376–382.
[6] Hughes M, Herrick AL. Systemic sclerosis.[J]. Br J Hosp Med (Lond), 2019 Sep 2;80(9):530-536.
[7] Pugazhenthi M, Cooper D, Ratnakant BS, et al. Hypercapnic respiratory failure in systemic sclerosis[J]. Clin Rheumatol, 2003 Feb;9(1):43-46.
[8] Chausow AM, Kane T, Levinson D, et al. Reversible hypercapnic respiratory insufficiency in scleroderma caused by respiratory muscle weakness[J]. Am Rev Respir Dis, 1984 Jul;130(1):142-144.
[9] Wells AU, Steen V, Valentini G. Pulmonary complications: one of the most challenging complications of systemic sclerosis[J]. Rheumatology (Oxford), 2009 Jun;48 Suppl 3:iii40-44.
[10] 李慧敏,董明林,胡克.神经肌肉疾病患者的睡眠呼吸障碍[J].中华全科医师杂志,2018,17(12):1030-1033.
[11] Dowman L, Hill CJ, May A, et al.Pulmonary rehabilitation for interstitial lung disease. Cochrane Database Syst Rev. 2021 Feb 1;2(2):CD006322.
[12] 关力理,刘妮,陈荣昌,等. 呼吸康复在限制性肺疾病中的应用[J]. 中国康复医学杂志,2022,37(2):256-260.
专家介绍

罗红
教授,一级主任医师,博士生导师;中南大学湘雅二医院呼吸与危重症医学科主任、危重症亚专科主任;中华医学会呼吸病学分会呼吸危重症学组委员;中国医师协会内科医师分会委员;中国医师协会呼吸医师分会危重症医学工作委员会副主任委员;中国残疾人康复协会肺康复专委会常委兼ICU肺康复学组副组长;湖南省医师协会呼吸医师分会会长;湖南省医学会呼吸病学专业委员会副主任委员。

欧阳若芸
中南大学湘雅二医院呼吸与危重症医学科主任医师,教授,医学博士,博士生导师。2012年赴美国南加州大学医学中心访学1年。研究方向:睡眠呼吸障碍、肺部罕见病。担任中华医学会呼吸病学分会第十一届委员会睡眠呼吸障碍学组委员,中国医师协会呼吸医师分会睡眠呼吸障碍工作委员会委员,中国首届研究型医院学会罕见病分会理事,中国罕见病联盟呼吸病学第一届常务委员。主持国家级课题1项,参加国家级课题3项,主持省部级课题4项,获省级成果奖3项,发表专业学术论文60余篇,其中以第一作者或通讯作者发表SCI论文10余篇,Medline论文10余篇,获院医疗新技术奖2项。

沈冲
中南大学湘雅二医院内科学博士研究生在读,研究方向为睡眠呼吸障碍与肺部罕见病,发表学术论文5篇。
* 文章仅供医疗卫生相关从业者阅读参考
本文完
采写编辑:冬雪凝;责编:Jerry