大河报·豫视频记者 林辉 通讯员 杨勇豪
2021年5月
国际权威杂志《癌症研究》
刊发了河南省肿瘤医院免疫细胞疗法研究成果
近年来,
河南省肿瘤医院免疫治疗科开展了多项相关临床研究。
越来越多的案例印证着,
前沿疗法令人欣喜的治疗结果。
病例1

2012年8月,时年23岁的王女士刚生完宝宝没多久,无意中发现脖子上多了个黄豆大小的褐色肿块。
去医院进行了手术切除,术后病理报告竟是 恶性黑色素瘤 。
在当时,恶性黑色素瘤几乎无药可治,一旦出现转移,预后极差。
于是,王女士赶快做了局部扩大切除,以及颈部淋巴结清扫术,术后进行了10个月的干扰素治疗。
以为病情缓解了,不想在2015年3月,肿瘤复发,全身多处皮肤出现肿块。
尽管接受了化疗及干扰素治疗,但王女士的病情仍持续进展。
到了2016年10月,肿瘤已扩散至全身多处淋巴结、肺部以及腹腔,而且腹腔巨大的肿瘤导致了肠梗阻。
王女士被急诊被推进了手术室。
值得欣慰的是,手术成功解决了肠梗阻。
但全身多处的肿瘤,仍快速侵蚀着这个年轻的生命。

2016年底,王女士来到河南省肿瘤医院免疫治疗科寻求治疗。
望着这个对生命充满渴望的年轻妈妈,还有她身边天真活泼的孩子,免疫治疗科主任高全立陷入了深思。
王女士的肿瘤已在肺部、腹腔以及多处淋巴结转移,且肿瘤体积较大、进展快。
即便用了当时刚在香港上市的PD-1抗体,治疗希望也十分渺茫,因为PD-1抗体治疗恶性黑色素瘤一般需要3个月才能显效,王女士的病情怕等不了这么久了。
为王女士仔细体检后,发现她的腹部皮肤也有肿瘤转移,高全立心里闪过一线希望: TIL疗法 。免疫治疗科曾经应用TIL疗法治疗过20多例恶性黑色素瘤患者,一些患者取得了较好结果。
高全立介绍,TIL(tumor infiltrating lymphocyte)疗法,又叫肿瘤浸润淋巴细胞疗法,是将手术切除的肿瘤组织在实验室中分离培养出淋巴细胞,再将此回输给患者。美国开展的临床研究结果显示,该疗法对于常规治疗手段失败的恶性黑色素瘤、宫颈癌、肺癌及头颈部鳞癌有较好疗效。
高全立当即决定,应用TIL联合PD-1抗体为王女士治疗,*管双**齐下,才有可能扼制快速恶化的肿瘤恶魔!
由于国内没有批准TIL疗法在临床上收费应用,高全立用自己的科研经费为患者做了免费的治疗。

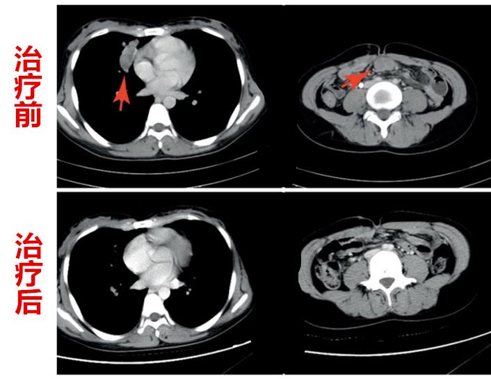
PD-1抗体和TIL联合治疗一月多后,王女士的肿瘤明显缩小,3个月后,肿瘤完全消失不见了(如上图所示)。
更加让人欣喜的是,应用3次PD-1抗体后,王女士停止了治疗,但肿瘤一直没有复发。
如今,5年多过去了,王女士已达到了临床治愈的标准,她也重新回到了工作岗位。
病例2
无独有偶,今年32岁的李女士,也经历了类似的坎坷与幸运。
2015年9月,李女士发现自己背上的黑痣逐渐增大,进行了手术切除,病理报告显示恶性黑色素瘤。
尽管检查结果提示是早期,但在一年之后,肿瘤已转移到肺部及脑部。

2016年10月,她到北京一家医院切除了脑部转移的肿瘤,随后参加了PD-1抗体治疗恶性黑色素瘤的临床研究。
尽管PD-1抗体治疗后,肺部肿瘤明显缩小,但时隔一年,出现了耐药。
此后,她又进行了化疗及抗血管生成治疗,均以无效告终。
无奈之下,2019年11月,李女士从北京回到老家河南,到河南省肿瘤医院免疫治疗科参加了一项临床研究:“ 应用L-TIL治疗PD-1抗体治疗后出现继发耐药的实体瘤 ”。

依照研究方案,李女士再次应用PD-1抗体治疗,同时应用了4次L-TIL治疗。
1个多月后,肿瘤明显缩小,3个月后,肿瘤完全消失(如上图所示)。
李女士的治疗至今已超过了2年,肿瘤处于完全缓解状态。
“没想到这个临床试验是我重生的起点,听说还是咱们肿瘤医院的创新!”李女士满怀感激地说。
“L-TIL(liquid tumor infiltrating lymphocyte),即液体肿瘤浸润淋巴细胞疗法。该疗法是基于TIL疗法的创新。我们应用体外扩增的PD-1+T细胞替代肿瘤浸润淋巴细胞(TIL),从外周血中培养TIL,为晚期肿瘤患者提供了新的治疗方法,将此命名为L-TIL疗法,相比以往从肿瘤组织中取得TIL细胞,L-TIL细胞取材更方便,且培养成功率达100%。我们的研究结果发表在癌症研究顶级期刊《Cancer Research》上,越来越多的L-TIL治疗病例效果得以印证。目前,L-TIL细胞联合PD-1抗体一线治疗恶性黑色素瘤的临床研究正在招募中,治疗PD-1耐药的肺癌患者的临床研究也即将开展,希望能为处于治疗困境的患者带来希望。”高全立说。