来源:影领学苑



卵巢的解剖与组织学
- 卵巢的表面覆盖腹膜间皮细胞,其下是白膜,由薄层致密结缔组织构成;
- 卵巢的实质分为皮质、髓质。
- 皮质由各级卵泡、梭形基质细胞及网状纤维构成;
- 髓质由血管、淋巴管、神经、弹性纤维等构成。
- 卵巢系膜附近有门细胞,可分泌雄激素。











上皮性肿瘤:最常见,恶性多(卵巢癌),良性少。好发于50Y以上,发现时多为中晚期。多呈囊性或以囊性为主的囊实性肿块,完全实性者少见。形态多数不规则,边界模糊,囊壁及房间隔常不规则增厚,菜花样肿物或壁结节,囊实性区域分界不清,实性肿瘤常有不规则低密度或坏死区,可有边界模糊沙粒状或块状钙化,中-高度强化。良性者边界清晰,囊壁薄光整,无壁结节,实性部分呈无或轻度强化。
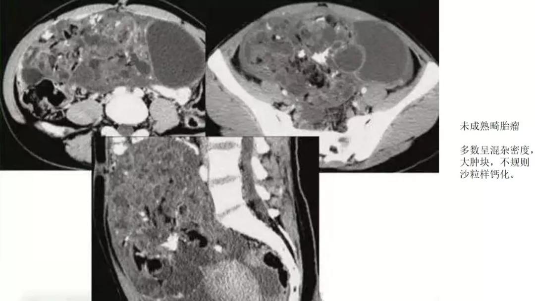
生殖细胞肿瘤占卵巢肿瘤的20%,以成熟畸胎瘤-皮样囊肿多见,良性多,恶性少。表现为囊实性混合性或实性肿块,大多数含有脂肪、钙化等特征。
良性者常呈囊性肿块,脂囊,脂液囊,液囊。少数混合成分,实性。壁光整可稍厚,囊内有脂、液分层现象,多数伴有粗大钙化或骨骼。
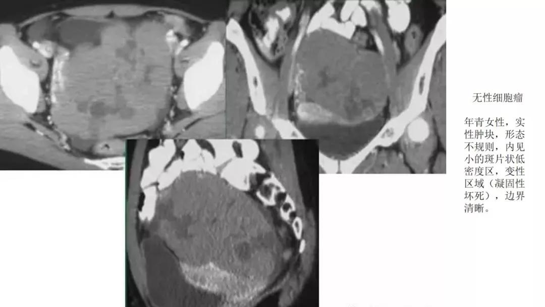
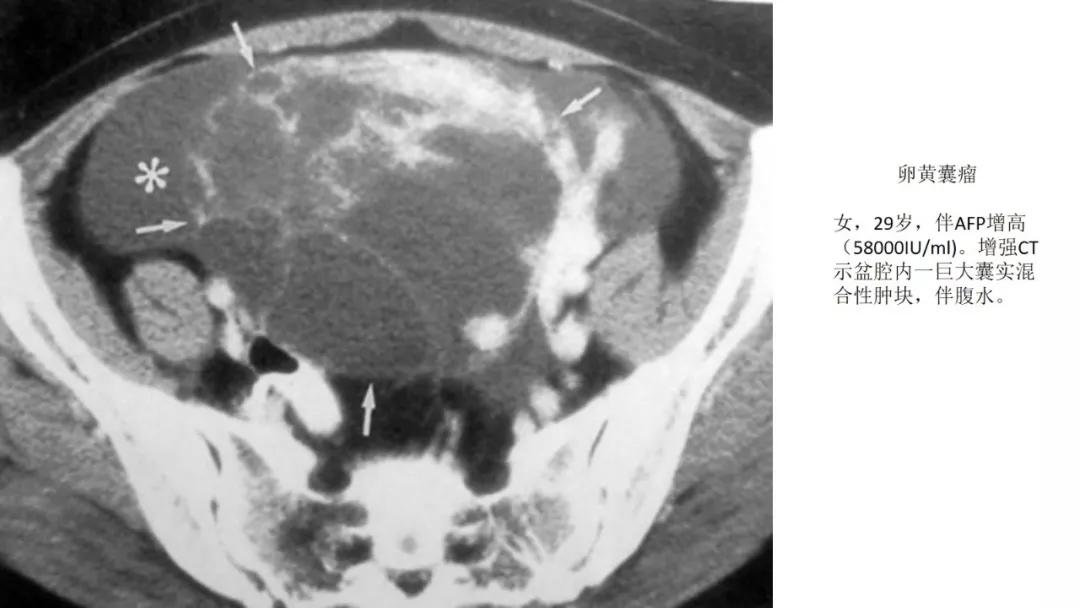
恶性者常呈实性或混杂性肿块,多数边界清楚,可伴有不规则沙粒状钙化。无性细胞瘤常为实性肿块,轻度强化,内胚窦瘤实性成分明显强化,不成熟畸胎瘤呈混杂密度。结合年龄及临床生化检查,有助于诊断。
性索间质性肿瘤:较少见,良性多,多数肿瘤具有内分泌功能,可伴有内分泌症状及子宫内膜增生,内膜癌,乳腺疾病。多呈囊实性及实性肿块,界清,形态规则或欠规则,少有壁结节,多数呈实性伴有大片变性低密度改变,轻中度强化。




























































































常见特征规律的总结
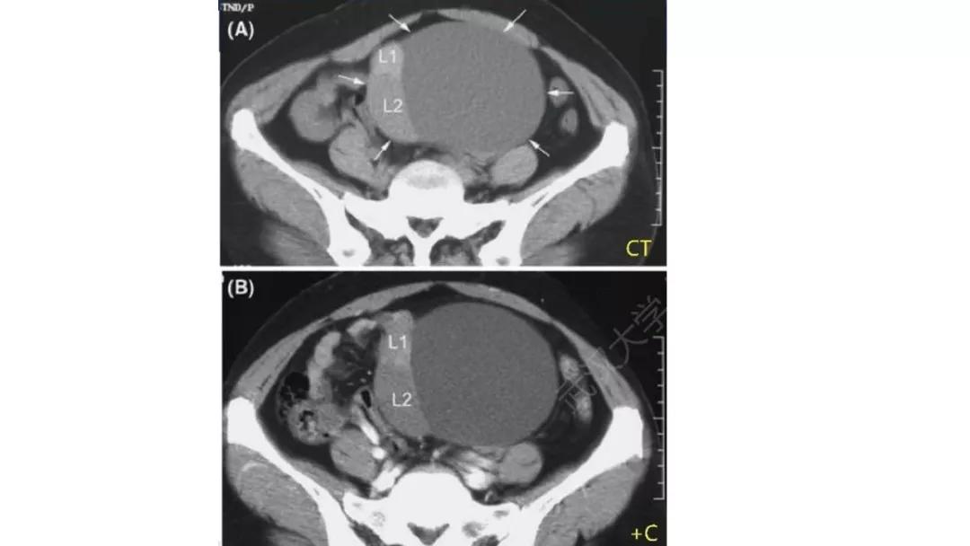
- 良性及低恶肿瘤强化往往比较轻度,高恶肿瘤强化往往比较快而明显,也就是说,迅速、明显强化的卵巢肿瘤往往代表高度恶性
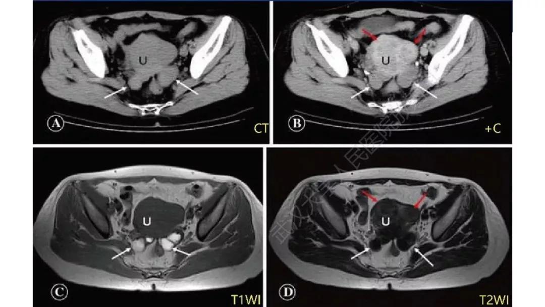
- 残存卵泡、卵巢动脉供血等征象往往有助于肿瘤定位
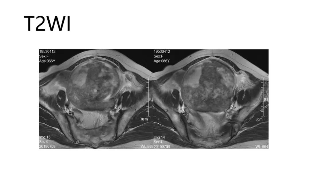
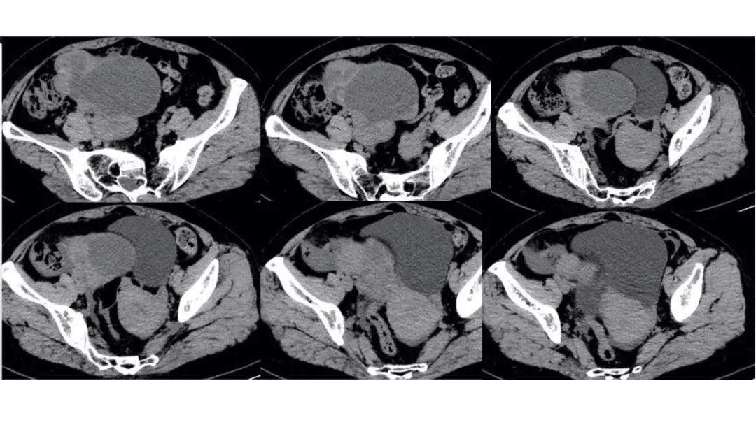
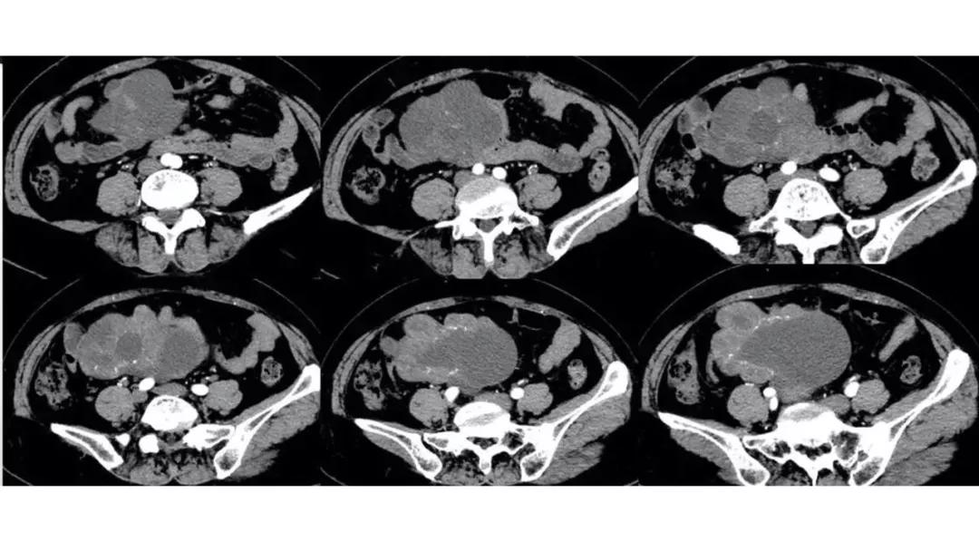
- 子宫内膜样癌与透明细胞肿瘤临床、影像表现比较类似,是微差别的上皮双胞胎
- T2WI抑脂低信号:卵泡膜细胞瘤、纤维瘤
- T2WI抑脂稍高信号:无性、颗粒
- 伴少量腹水:性索间质性肿瘤、Brenner瘤、透明细胞肿瘤、子宫内膜样癌
- 伴子宫内膜增厚:性索间质性肿瘤(颗粒为主)、子宫内膜样癌、透明细胞肿瘤
- 阴道不规则出血、闭经、量大:性索间质性肿瘤、子宫内膜样癌、透明细胞肿瘤
- 纤维血管分隔呈分叶状:无性细胞瘤
- 囊实性无壁结节:最常见于颗粒细胞瘤
- 囊实性伴壁结节:透明细胞肿瘤、子宫内膜样癌
- 婴幼儿好发:卵黄囊瘤
- 老年人少见:生殖细胞肿瘤,新生儿卵泡70-200万个、青春期4万个、快绝经时几百个、绝经后很少
- 老年人好发:性索-间质肿瘤
常见特征规律的总结
出现脂肪:畸胎瘤,囊性为主是成熟、实性为主是不成熟
出现钙化:浆液性肿瘤、卵泡膜纤维瘤、畸胎瘤、Brenner瘤
少见钙化:子宫内膜样癌
双侧肿瘤:转移或浆液性肿瘤首先考虑。
病变内出血病理血管~提示病变恶性
T2WI 低信号病灶:出血、平滑肌、纤维组织、卵巢甲状腺肿(凝胶)
AFP升高:卵黄囊瘤、无性细胞瘤、混合瘤
HCG升高:(首先要排除宫外孕)绒毛膜癌、无性细胞瘤
高雄激素症状:Sertoli-Leydig瘤
高雌激素症状:颗粒细胞瘤、卵泡膜细胞瘤(绝经期后出血及阴道不规则出血、性早熟、子宫内膜增生、乳房胀痛)
几组数据:
- 卵巢肿瘤中最常见的是上皮性肿瘤,约占九成,所以,实际上其它类型的肿瘤并不是特别常见。
- 卵巢癌中最常见的是浆液性囊腺癌,约占1/3。
- 卵巢的生殖细胞瘤绝大多数是良性,这与*丸睾**的生殖细胞瘤大多数为恶性(精原)不同,其中最常见的成熟畸胎瘤,约占九成以上。
- 婴幼儿生殖细胞肿瘤中最常见的是卵黄囊瘤。
- 卵巢非常少见的是支持-间质细胞瘤,此瘤常见于*丸睾**,可分泌雄激素。
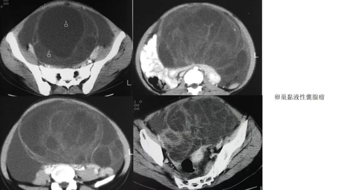
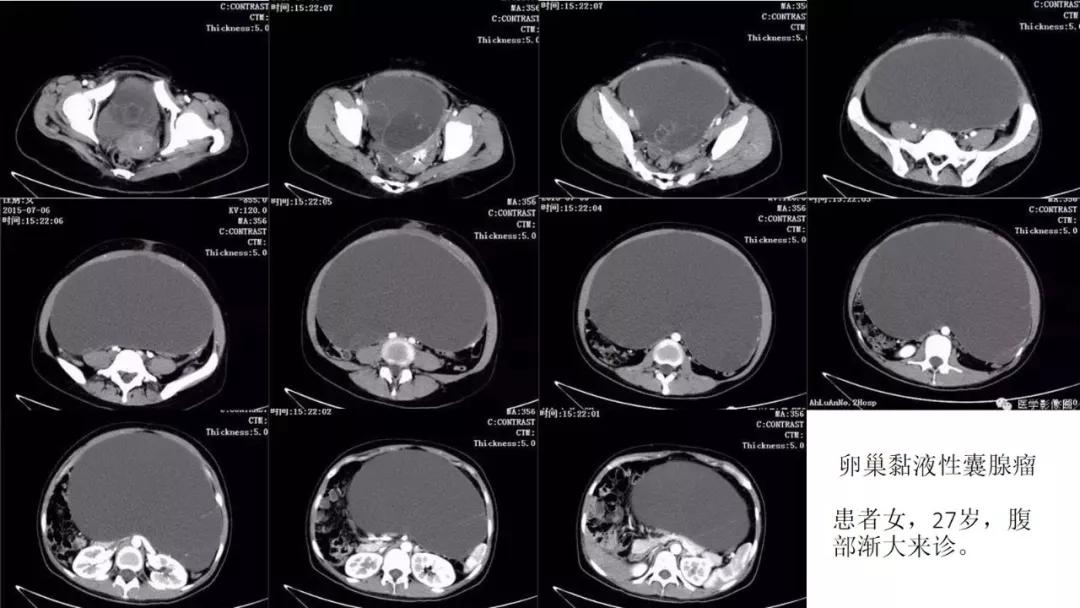
- 卵巢的黏液性肿瘤破裂,上皮和黏液会种植在腹膜引起胶冻样的腹膜假黏液瘤,这一点跟阑尾的黏液性肿瘤类似,都是腹膜假黏液瘤的病因。
- 颗粒细胞瘤与交界性浆液性囊腺瘤虽然恶性程度都不高,但均可在切除多年后复发,因此术后需要及时随访复查,类似的还有透明细胞癌。
- 卵巢癌一旦出现种植转移(比如腹膜)往往预后不良。
病理:浆液性囊腺癌

病理:颗粒细胞瘤

病理:子宫肌瘤粘液样变性
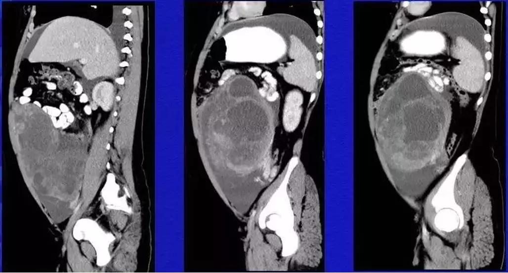
病例4 女,32岁,以“月经量增多伴经期延长半年。”
缘于患者入院前半年无明显诱因出现月经量增多,卫生巾由原来3包余增至5包不等,伴血块,经期由原来7天延长至10-15天不等,无痛经,无月经周期改变,无阴道异常排液,无畏冷、发热,无头晕、乏力等不适,未重视,未诊治。期间症状持续。2月前就诊我院,查彩超示:“子宫体大小约5.7*5.3*4.6cm,内膜厚约0.6cm,回声不均,左卵巢旁探及大小约4.2*3.5cm低回声区。”建议治疗,患者及家属表示考虑。期间症状持续,今就诊我科门诊,要求住院手术治疗,无腹痛等不适,门诊拟“卵巢囊肿”收住入院。既往史:2007年剖宫产一次,术顺。月经史:15 7/25 lmp2018.05.14,量中,无痛经。婚育史:已婚,1-0-3-1,末孕2007年剖宫产娩一男婴,儿子及丈夫体健。个人史、家族史均无特殊。
TCT:见少许非典型细胞;(2018.03.26)HPV:均阴性;
2018-05-28 血常规五分类:白细胞 8.2(10^9/L),中性粒细胞百分比 65.80(%),血红蛋白 108(g/L),血小板 359(10^9/L);凝血功能、肝肾功能电解质、尿常规大致正常;乙肝两对半加丙肝均阴性;
尿HCG 阴性;RPR 阴性,TPPA 阴性,HIV抗体 阴性;
CA125 335.5(U/mL);2018-05-30 彩超:子宫宫体大小约5.6㎝×6.3㎝×4.9㎝,形态正常,宫壁回声欠均,内膜厚约1.8cm,回声不均。CDFI:子宫内未见明显异常彩色血流信号。左附件区探及一混合回声团块,大小约9.8㎝×7.9㎝,CDFI:其实性部分可见少许彩色血流信号。右附件区未见明显包块回声。


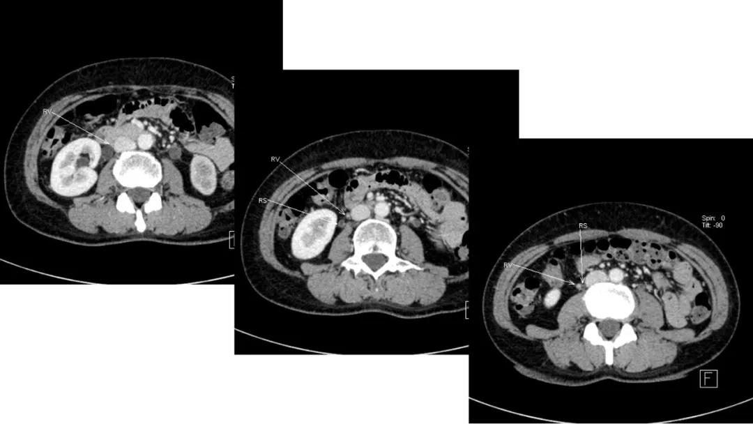
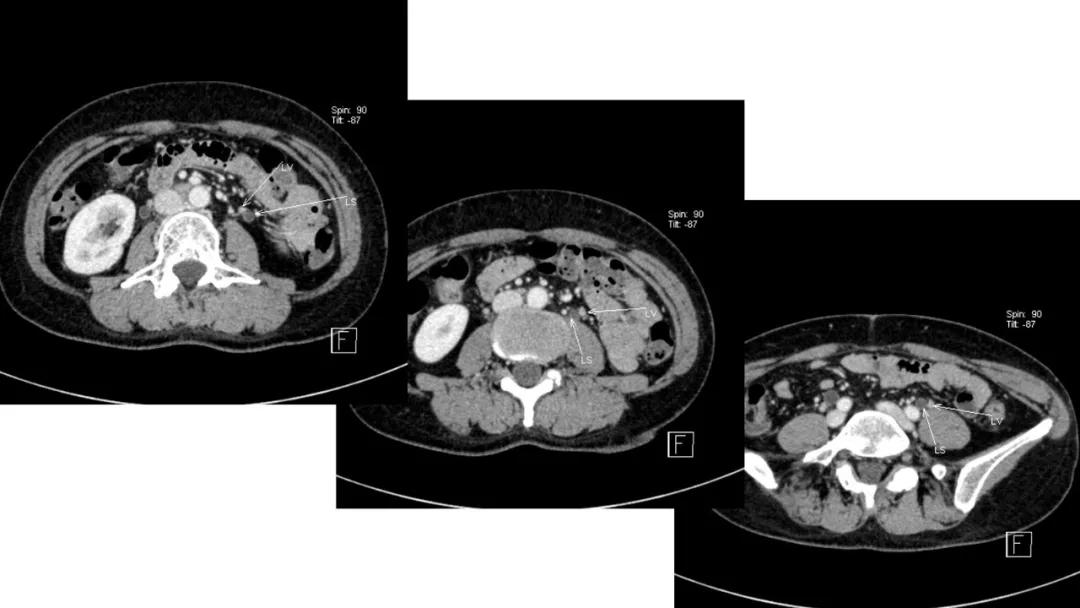
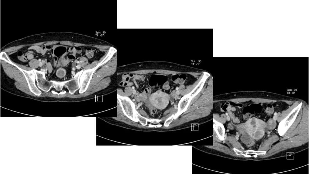
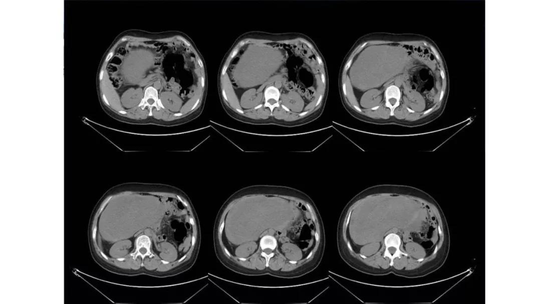
病理:卵巢子宫内膜样癌

























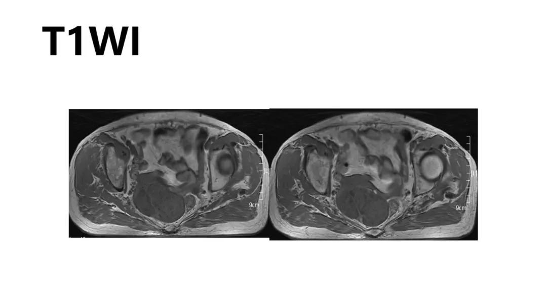
病例10
女,39 岁,体检发现盆腔肿块1月余
CA125:51U/ml



病理:左侧卵巢卵泡膜-纤维瘤
【版权声明】本平台属公益学习平台,转载系出于传递更多学习信息之目的,且已标明作者和出处,如不希望被传播的老师可与我们联系删除