来源:胸科之窗

病史信息
性别:女
年龄:33Y
病区:呼吸一科病房
主诉:发现左肺病变1天
现病史:患者1天前体检胸部CT提示左肺病变,之前一段时间进食较少,七月初、七月中旬出现咳嗽、胸痛、无法深呼吸,无咯血,无乏力、盗汗,无明显体重减轻,为接受进一步诊治收入院。(2019.7.30)
既往史/个人史/家族史:均无异常








辅助检查
实验室检查:
T-SPOT阴性,PPD阴性;
WBC:4.8×109/L,RBC:4.46×1012/L,PLT:243×109/L
CRP:4.63mg/L,SAA:11.93mg/L(略高)
尿常规正常
AFP/CEA/CA199/CA125/CA153正常,
神经元特异性烯醇化酶(NSE):20.65ng/ml略高,非小细胞肺癌相关抗原(CYFRA211):1.02ng/ml正常
您的诊断?
下一步有何计划?
答案揭晓
01
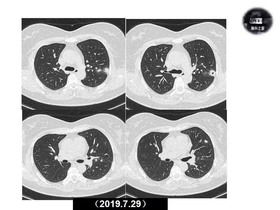
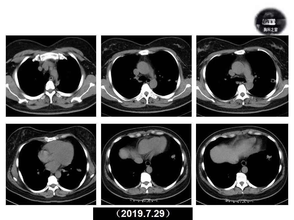
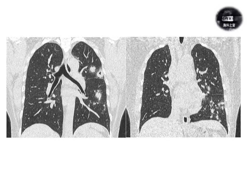
影像诊断
影像诊断:真菌性肺炎,隐球菌可能性大。
追问病史,有近距离接触鸽子史。隐球菌抗原(+)。
02
最终诊断
肺隐球菌病
03
治疗及随访


04
文献回顾
绝大多数免疫功能健全的患者仅表现为肺隐球菌病,其中大约1/3患者缺乏临床症状,而是由于其他原因行胸部影像学检查而被偶然发现。而在有症状的患者中,可表现为咳嗽、咳痰、胸痛、体重下降、发热等。
在免疫功能缺陷的患者,更有可能出现致死性的感染而进展为急性呼吸窘迫综合征 (ARDS) 。
05
发病机理
隐球菌在环境中无处不在,在鸽粪、土壤和腐烂物中常见。肺是隐球菌吸入的必经门户,隐球菌孢子经呼吸道吸入后,可以在肺组织存活,并长期潜伏在肺泡巨噬细胞内。在机体免疫功能受损的情况下,隐球菌可以经血流系统从肺播散至全身任何器官,其中最常见的部位是中枢神经系统。
对于肺隐球菌病的患者,建议行腰穿以排除伴发中枢神经系统(CNS)感染等可能。
06
发病机理

07
病理机理

A、粒细胞
隐球菌到达人体24小时后,荚膜迅速增厚
荚膜物质抑制粒细胞的趋向性和吞噬作用—渗出性炎症反应轻微,临床症状隐匿
B、巨噬细胞
巨噬细胞是体内阻碍隐球菌入侵的第一个免疫细胞
隐球菌被巨噬细胞吞噬后结局:
消亡于巨噬细胞之中
潜伏于巨噬细胞之中
生长繁殖于吞噬体之中—引起巨噬细胞溶解
以一种新的机制排出吞噬细胞,酵母与巨噬细胞均无凋亡
C、T淋巴细胞
活化抗隐球菌的吞噬效应细胞
促进巨细胞和肉芽肿的形成
介导抗隐球菌抗体反应的产生
(易感因素包括:AIDS、血液系统恶性病、器官移植、皮质类固醇治疗、糖尿病等损害T细胞介导免疫的)
08
诊断工具
包括微生物学涂片和培养、隐球菌抗原检测以及组织病理学检查[1] 。
1、肺活检组织隐球菌培养能提供确诊依据,但需要侵袭性操作,临床多通过痰和(或)支气管肺泡灌洗液 (BALF)培养找到隐球菌而诊断。
2、隐球菌抗原检测诊断隐球菌病的敏感性、特异性高,是隐球菌病早期诊断的主要手段,可用于血清、脑脊液、胸水和BALF检测。对于肺部孤立性病灶的患者,血隐球菌抗原检测通常为阴性,可能是由于隐球菌在肺内局限性生长,隐球菌抗原较难释放入血有关[2] 。
3、肺隐球菌病可以通过CT引导下经皮肺穿刺、经支气管镜肺活检或外科手术肺活检等手段取得病理标本而诊断。黏蛋白卡红染色为隐球菌病的一种特殊染色,在病理组织中,有时可以看到一个界限清楚的透明区域,即为酵母的荚膜结构。
[1] 梁丽玲, 梁志欣, 陈良安. 肺隐球菌病临床诊治进展[J]. 中华医院感染学杂志, 2017(06):246-249.
[2] Baddley J W , Oster R A , et al. Pulmonary cryptococcosis in patients without HIV infection: factors associated with disseminated disease[J]. European Journal of Clinical Microbiology & Infectious Diseases, 2008, 27(10):937-943.

09
诊断标准
隐球菌病诊治浙江省专家共识(2017年)
确诊依据:组织病理学检查和无菌部位活检标本如肺穿刺标本的病原涂片或培养阳性;
临床诊断依据:有典型的影像学表现,存在血清隐球菌抗原检测阳性、痰和(或)支气管肺泡灌洗液培养阳性。
【版权声明】本平台属公益学习平台,转载系出于传递更多学习信息之目的,且已标明作者和出处,如不希望被传播的老师可与我们联系删除
*载下**放射沙龙app,获取更多影像科学习资料,更多学习视频等着你哦