在年幼时的小*牙虎**总是觉得俏皮又可爱,可随着面容成长和身体发育,*牙虎**越来越影响笑容美观。

如果说*牙虎**在小时候是可爱,那长大后除了让牙齿看起来不齐,还让牙齿清洁很不方便,常常会出现牙齿龋坏的各种问题。
今天给大家分享一个【牙列拥挤有*牙虎**的矫正案例】
01 患者主诉
牙齿拥挤不齐,有*牙虎**,嘴巴前突;笑起来没自信,还因牙齿重叠拥挤,不易清洁,容易蛀牙,希望通过正畸排齐牙齿,改善嘴巴前突。

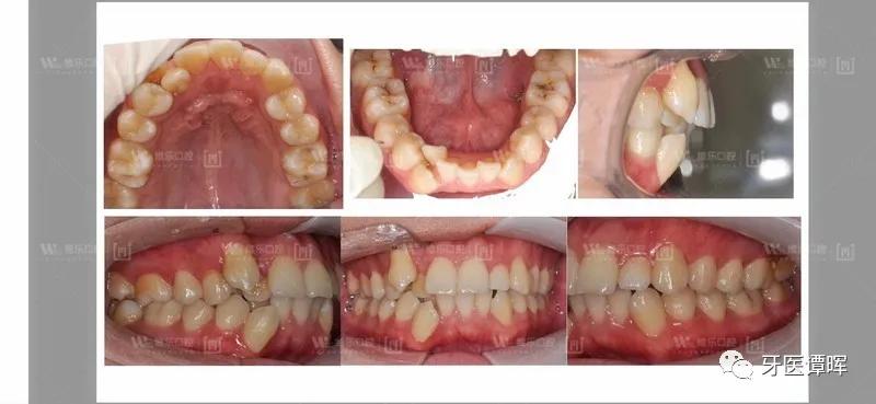
牙齿正畸前
02 检查结果
上排牙齿排列呈现拥挤,*牙虎**突出明显;下排牙齿排列错位拥挤,中线不齐,轻微深覆盖。

正畸前口内照
03 治疗方案
1.拔牙矫治,拔除4颗牙齿解除拥挤,内收前牙,改善面型;
2.上颌种植支抗钉;
3.压低上前牙,减轻露龈笑;
4.调整咬合关系,恢复正常覆颌覆盖。

牙齿正畸中
04 治疗周期:2年

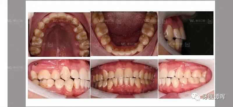
正畸后口内照
正畸治疗结束后通过照片可以看出,上排牙齿及*牙虎**得到了排齐,下牙错位得到了很大的改善排齐后咬合也恢复正常了,最主要的是大大改善了前牙及嘴唇的突度,使脸型更为协调,笑容自信饱满。

正畸后
正畸改变了他的生活,让他从曾经的腼腆男孩变成了爱笑且自信的活泼少年!