爱美之心人皆有之,但是一旦经历了手术,手术产生的疤痕成了很多人的困扰。但是你能想像吗?通过手术切除一次性切除两个肝囊肿,而身体表面却几乎没有留下伤口。近日,陈女士(化名)因同时患肝左叶囊肿和肝右叶囊肿而在上海交通大学附属第一人民医院(北院)消化内镜中心接受了这一创新手术。
肝囊肿是较常见的肝脏良性疾病,全球肝囊肿患病率为4.5%~7.0%。人吃五谷杂粮,难免三灾八难。生病是大家都不想遇到的,但真的发生了,就要积极的去把病痛带来的影响降到最低。这也是陈女士的来市一就诊的原因。

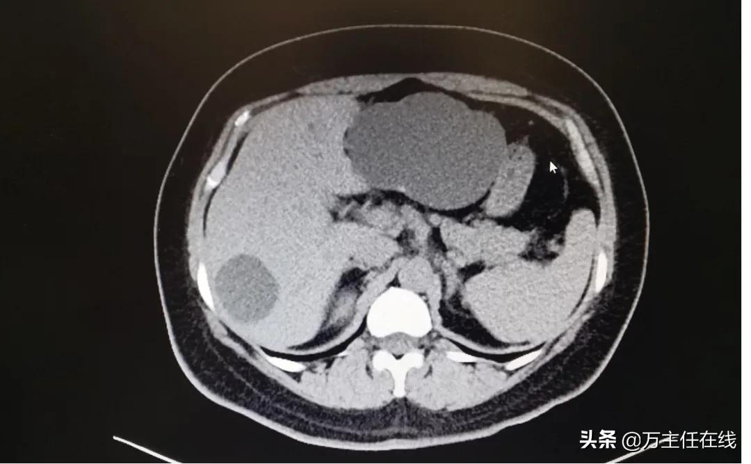
图表 1双侧肝囊肿
陈女士今年五十多了,当从CT中看到2块大的囊肿,得知自己需要手术的时候,对术后留下的疤痕产生了担忧:“切这么大的东西,那要留好长的疤吧”。“我们是从人体自然通道,也就是消化道进入,不会留下疤痕,且对身体负担很小。”消化内镜中心的万荣主任如是说。

图表 2万荣医生团队正在手术中

图表 3成功切除肝囊肿

图表 4完成手术,缝合胃窦切口

图表 5胃部切口缝合
“顺其道而行”的“无疤痕手术”
在完善术前的相关检查后,消化内科万荣团队为陈女士进行了手术。手术进行非常顺利,成功为患者完成了双侧肝囊肿切除术。陈女士醒来后惊讶的发现自己竟无任何腹痛不适,看着自己完美无瑕的肚子,正如同手术路径所展示的那样,陈女士也在手术结束后露出了开心的笑容。

图表 6手术路径示意图
“NOTES作为一项新兴的微创治疗方式,有其独特的优势。该手术的入路隐蔽,体表无创口,术后腹壁无瘢痕,外表美观且创伤小、恢复快,真正做到了“由表及里、由内而外、无孔不入。”万荣医生表示。
据了解,经自然腔道内镜手术(简称NOTES)是指使用软式内镜经口腔、食管、胃、结直肠、阴道、膀胱等自然腔道进入体内,穿越腔道管壁,对胸腹腔疾病开展诊治的一种微创、无瘢痕的手术方式。NOTES技术被认为是继腹腔镜之后的第三代微创技术,代表了微创治疗时代的新标杆。与传统的开腹及腹腔镜手术方法相比,NOTES手术创伤更小,术后恢复时间更短,在取得令人满意的美容及微创效果的同时,还有助于减轻术中及术后疼痛,避免切口感染、切口疝及慢性腹壁疼痛,减少术后腹腔粘连及粘连性肠梗阻等问题的发生。
1994年,国际学者在一项专利中首次提出NOTES的概念。2000年,美国临床医生在《美国消化病周》期刊上报道了经胃内镜下肝脏活检和腹腔探查术的实验研究,其最终成果于2004年正式发表。2003年,海外学者报告了首例人体经胃阑尾切除术。此后,对NOTES的关注及研究日益升温,很快成为国内外微创医学领域的一道亮丽的“风景线”。近十年来,随着相关内镜器械设备的更新发展,NOTES及相关的NOTES衍生技术在国内快速发展,取得了可喜的成绩。
而王女士所接受的正式这种新型的NOTES衍生手术——内镜下经消化道自然通道行肝囊肿切除和巨大囊肿部分切除开窗内引流术。这是目前国际和国内领先的NOTES手术术式,该术式具有囊肿切除确实,出血少、创口小、恢复快,感染率低等诸多优势,且患者疼痛感轻、术后伤口无需换药,最大程度的节省了患者的时间和精力。据了解,陈女士术后无任何腹痛不适,当天即可饮水,第二天可正常下床活动,进流食,术后一周顺利出院。“这项技术的优势不仅体现在美容效果好、术后无痕,更主要的是已从微创逐步向微无创发展,最大程度的减轻病人的身体负担!我们希望能为更多的患者提供‘无痕’的美丽和‘无痕’的治疗体验!”万医生这样说道

关注我!了解更多消化健康资讯!