
定焦大叔感言:
我的最爱就在那里,长大以后她会离开我,不那么需要我。在她需要我的时候,我一定要在。

这里是首都医科大学三博脑科医院神外病房的床头柜,摆满了颜色鲜艳的童话人物。定焦大叔一进病房就被这些灵气十足的手工吸引。病床上,是一个三岁的女孩,来自河北。女儿住院一周以来,妈妈每天都坐在女儿床旁边,为她捏各种童话人物。回想起女儿发病的整个过程,这个年轻美丽的妈妈,不时地红了眼圈。从她们的故事里,定焦大叔第一次深刻地认识了一种静悄悄侵袭儿童的疾病,它久久地潜伏,冒头的时候却是那样地轻描淡写,屡次骗过家长和医生,直到最后露出真面目。
故事要从一个月之前说起。
蓉蓉平时和姥姥住在村里,妈妈在800公里外的一个城市里打工,为的是更好的收入。每天妈妈通过手机和女儿视频,每月回家看女儿一次,生活平静,女儿一天天长大。
一个月前,蓉蓉开始变得不爱说话,也不爱搭理人。平时最好的朋友也不去找她玩儿了,而且时常地说自己头疼,在家就想睡觉。一开始,姥姥觉得孩子是不是玩儿累了,就尽量先让她睡觉。
直到有一天,蓉蓉一口气睡了15个小时。姥姥觉得不对劲了,带她到村医那里去看。

村医问了症状,像是感冒,打了三天点滴。
三天之后,蓉蓉症状没有减轻,头疼得更厉害,嗜睡更明显。
这时候,谁都不会知道,蓉蓉的脑子中央,有一个东西正在疯长。
怕女儿担心,蓉蓉的姥姥没有给女儿打电话,自己带着外孙女到了县医院。县医院怀疑脑炎。
大脑受到病毒、细菌、寄生虫等侵害发生了炎性病变就是脑炎。脑炎的表现一般是高热、头痛身痛、呕吐、昏迷、惊厥等,与流感很相像,与蓉蓉现在的情况也颇为相似。
然而按照脑炎治疗一天之后蓉蓉一直昏迷不醒,医院建议做一个脑核磁。

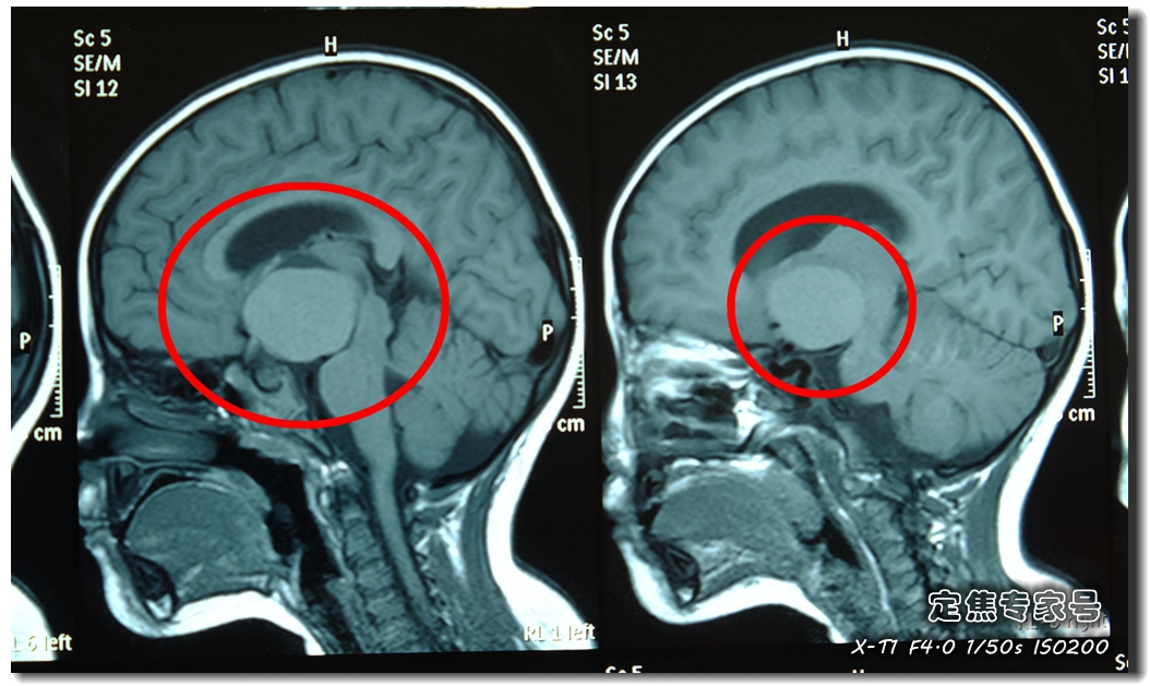
核磁片子下,真相大白。
一个直径将近4厘米的大瘤子,横在蓉蓉的颅脑中央!
县医院已经处理不了这样的病情,建议马上转到省医院。
蓉蓉的姥姥这时候不能隐瞒了,拨通了女儿的电话。此时正是半夜。
蓉蓉的妈妈听到这个消息,当时脑子里轰的一下,随后就是眼泪狂涌。她二话不说,求一个同事开车,连夜向石家庄赶,蓉蓉的外婆也带着她从县城赶往石家庄。深夜奔袭800公里,妈妈的眼泪一直没有断过。
第二天一早,一家人的石家庄会合。然而,省级医院仍然不敢收。
蓉蓉妈妈开始狂打电话,打听北京的医院。
汽车快到北京的时候,医院终于落实。

吴斌,副教授,首都医科大学三博脑科医院副院长,知名神经外科专家。他判断,蓉蓉是儿童常见的颅咽管瘤。
颅咽管瘤多见于儿童及少年, 肿瘤大多位于鞍上区,也就是眉心中间向后的颅脑中间位置。
蓉蓉来到三博脑科医院的时候,已经出现严重的脑积水,不停干呕到了胃出血。医生很快为她做了脑脊液的引流,释放颅内压力。

五天之后,吴斌教授为蓉蓉做了开颅手术。这是肿瘤破皮儿之后的样子,里面是一泡水样的液体,把液体吸走,皮儿清理干净。在瘤子周围是错综复杂的神经和血管,一个手抖都会造成不可逆的伤害,这对于专业知识专业技术都是过硬的要求。三个小时之后,蓉蓉脑子里这个几乎有荔枝那么大的肿瘤,被消灭。

手术结束,蓉蓉回到病房。妈妈和外婆白天晚上轮班倒看着她。蓉蓉不时地醒来,妈妈就为她捏各种小动物。蓉蓉最喜欢的是恐龙,能说出几十种恐龙的名字并辨认出造型。这是妈妈为她捏的窃蛋龙。

病房里的时间一天天过去。楼下这只喵气定神闲地巡视自己的领地。每个医院都是自己的镇院之喵,首医大三博脑科医院的喵,就是这位。定焦大叔每次到病房看蓉蓉之后下楼,都会遇到这个家伙。它的存在,让院子里的家属们,感到一丝的放松。

蓉蓉一天天好起来,床下的彩泥恐龙攒了一个又一个口袋。门口被买光彩泥的小超市,正在抓紧补货。蓉蓉的妈妈自从外出工作以来,还没有像这些日子这样,全心全意地陪过女儿。定焦大叔问她,蓉蓉出院之后,你还要不要回去工作,能争取让孩子在你身边吗?
这也是蓉蓉妈妈这段日子天天在纠结的问题。留在孩子身边,收入少一大半;回到800公里外的公司,她如何放心得下。

蓉蓉枕边的两个恐龙。蓉蓉一天天见好,拔了引流管,精神一天比一天好。妈妈心里现在也许有了最后的决定,它是什么,定焦大叔就不再去问了。在悬崖边抓住了差点坠落的孩子,不会再有任何力量把她们分开。
策划:首都医科大学三博脑科医院 彭雁
医学专业校稿:首都医科大学三博脑科医院神经外科 张腾飞
文:定焦大叔
感谢:亚静 孔令栓