疫情期间传统CAB治疗进展到mCRPC阶段的患者,换用醋酸阿比特龙治疗迅速见效。

病例信息
▎ 病史简介
患者男,72岁,2019年7月因“右下肢持续性疼痛4天”外院就诊,查血前列腺特异抗原(PSA)>100ng/ml。MRI提示:前列腺右侧外周代占位性病变,考虑肿瘤性病变,为进一步明确诊治入院。
既往史:高血压病史5年,药物治疗3年余。7年前有脑梗死病史,现已治愈。
个人史:吸旱烟50余年,未戒烟。饮酒40余年,约5两/天,已戒酒1年余。
家族史:否认遗传病史。
▎ 检查结果
查体:直肠指检前列腺2度增大,质韧,未触及异常结节灶,中央沟消失,无压痛。
前列腺特异性抗原:FPSA 13.37ng/mL,tPSA>100ng/mL。
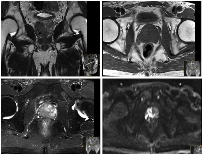
前列腺MRI+DWI:前列腺右侧外周代占位性病变,考虑肿瘤性病变;Th11、L1、3、5椎体及多发附件、骶骨、双侧髂骨、双侧耻骨上支及右侧耻骨下支多发异常信号影,考虑肿瘤性病变。

图1 前列腺MRI+DWI检查结果
全身骨显像:肿瘤多发骨转移。

图2 患者起始治疗前全身骨显像
前列腺穿刺活检:超声引导经会阴穿刺10针,8/10阳性,癌组织占50%~100%,Gleason评分8~9分,分级分组4~5。
初步诊断:前列腺腺癌[转移性激素敏感性前列腺癌(mHSPC),T3aN0M1b]。
治疗经过
▎ 第一阶段
2019年7月27日,患者开始接受抗雄药物(比卡鲁胺)治疗,一周后开始雄激素剥夺治疗(ADT),采用一月剂型(3.6mg),至2019年12月19日换用三月剂型(10.8mg),疫情期间(2020年3月起)继续行ADT+抗雄方案。
▎第二阶段
2020年5月11日,患者因左下肢持续性骨痛加重复诊,5月16日行腰椎适形放疗(95%PTV30Gy/3Gy/10f)5次,5月18日开始接受醋酸阿比特龙(1000 mg)+泼尼松(5mg)+ADT方案,6月16日起使用唑来膦酸(4mg)治疗骨转移。
除疫情期间外,患者治疗过程中全程监测PSA及睾酮指标,变化趋势如下图所示。

图3 患者治疗期间PSA及睾酮变化情况
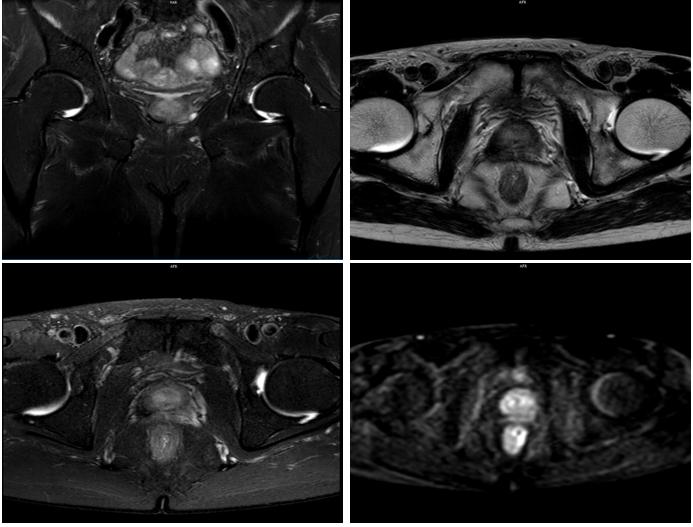
2020年5月12日,复查前列腺MRI+DWI示:前列腺信号欠均,DWI信号略高,外周带及中央带分界不清,盆腔未见明显肿大淋巴结。双侧精囊腺萎缩信号欠均。右侧耻骨联合见斑片状SPAIR高信号。

图4 患者起始醋酸阿比特龙治疗时,复查前列腺MRI+DWI状况
2020年5月13日,复查全身骨显像示:考虑为肿瘤骨转移,与上次检查比较右侧第8前肋为新增病灶,其余病灶数目较前减少。

图5 患者复查骨显像状况
病例提供医生

张平教授
-
主任医师,医学博士
-
宜昌市医学会泌尿外科分会常委兼秘书
-
三峡大学循证医学研究所副所长
-
宜昌市医学会医疗事故技术鉴定专家库成员
-
湖北省腔镜技术联盟委员
-
擅长泌尿系统疾病的微创手术治疗,主攻前列腺疾病的临床诊治及研究
-
发表SCI及核心期刊论文10余篇,主持参与省、市级科研课题三项,获宜昌市科技进步奖2项
病例分析
本例患者初诊分期即为T3a期,结合年龄及Gleason评分,判定属于高危/高瘤负荷mHSPC。
ADT+比卡鲁胺治疗不足一年后,PSA即明显上升,提示患者由mHSPC转为去势抵抗性前列腺癌(CRPC)阶段,换用醋酸阿比特龙+泼尼松+ADT后PSA迅速、深度下降,提示较好的临床疗效。
III期临床研究COU-AA-302显示:相较于安慰剂组(安慰剂+泼尼松),mCRPC患者接受阿比特龙+泼尼松治疗显著延长患者中位生存至34.7个月,降低死亡风险19%(HR=0.81,P=0.0033);且研究发现醋酸阿比特龙联合泼尼松持续治疗降低rPFS进展风险,同时可延缓骨相关时间和疼痛恶化的风险,减轻患者的临床症状并延长生存时间,提高生活质量[1]。因此,我们强调mCRPC阶段的患者要及早应用阿比特龙,延长生存、推迟进展。

图6 COU-AA-302研究OS结果
本例患者虽然换用醋酸阿比特龙治疗的初步疗效较好,但初治阶段方案并未及早使用新型内分泌治疗,传统抗雄治疗的收效不佳,提示对高危/高瘤负荷患者,临床应采取更加积极主动的一线治疗方案,延长患者激素敏感时间。而基于临床III期COU-AA-302研究中阿比特龙治疗mCRPC患者的生存获益[1],本例患者也有望在换用含阿比特龙方案后实现长期总生存(OS)获益,改善生活质量。
专家点评1
在我国等亚洲国家,转移性前列腺癌的初治方案仍主要为ADT/CAB的传统内分泌治疗,但已有研究显示传统内分泌治疗的临床获益有限,部分高危患者可能迅速进展至mCRPC阶段,激素敏感时段缩短,从而影响整体预后[2],本例患者的激素敏感时间即不足一年。
mCRPC是转移性前列腺癌的终末发展阶段,及时确诊并采取措施是患者取得生存获益的前提。最新版美国国家综合癌症网络(NCCN)、中国临床肿瘤学会(CSCO)等国内外前列腺癌权威指南已推荐,如患者已进展至mCRPC阶段,一线治疗应优先选用阿比特龙等含新型内分泌治疗的方案,从而延缓疾病进展、延长患者生存,本例患者的初步疗效已体现含阿比特龙方案的明确效果,期待后续的长期获益。
专家简介

董自强教授
-
三峡大学第一临床学院、宜昌市中心人民医院泌尿外科科主任
-
主任医师、教授、硕士生导师
-
湖北省宜昌市泌尿外科学会主任委员
-
国际尿石联盟委员、中国尿石联盟委员
-
湖北省生物医学工程学会泌外专委会副主任委员
-
三峡大学泌尿外科研究所副所长
-
宜昌市委人才办授“名医工作室”
-
湖北省泌尿外科学会委员、湖北省男科学会常委
-
湖北省性学会理事、湖北省泌外微创学组委员
-
湖北省器官移植学会委员
-
湖北省抗癌协会泌尿生殖肿瘤分会常委
-
湖北省中西结合泌尿分会委员
-
湖北省泌尿外科研究所成员、泌尿腔镜质控成员
-
《临床泌尿外科杂志》编委
专家点评2
mCRPC的治疗近年来也取得明显进展,其中阿比特龙已成为NCCN指南在mCRPC阶段1类推荐的优选方案,获益得到COU-AA-302研究的证实,且该研究的分层分析显示,在患者PSA水平及Gleason评分较低,即疾病仍处于相对早期时,使用阿比特龙能带来更显著的OS获益[3]。
本例患者治疗受到疫情的影响,骨痛事件加重,发现PSA升高,转入mCRPC阶段的时机稍有延迟,但换用醋酸阿比特龙+泼尼松+ADT治疗后,PSA迅速、深度下降,骨转移病灶减弱,体现了阿比特龙对mCRPC阶段患者的良好疗效,后续仍应继续规范化治疗和监测相关指标。
专家简介

胡志全教授
-
华中科技大学同济医学院附属同济医院
-
医学博士、教授、主任医师、博士生导师
-
中华医学会泌尿外科分会肿瘤学组委员
-
中国抗癌协会泌尿男生殖系肿瘤专业委员会常委
-
中国临床肿瘤学会前列腺癌专家委员会常委、微创学组副组长
-
海峡两岸医药卫生交流协会泌尿外科专业委员会常委
-
湖北省医学会泌尿外科分会肿瘤学组副组长
-
湖北省抗癌协会泌尿男生殖系肿瘤分会副主任委员
-
湖北省泌尿外科研究所肿瘤研究室主任
-
武汉市中西医结合学会泌尿外科分会副主任委员
-
SIU委员
-
《肿瘤防治研究》编委
-
《现代泌尿生殖肿瘤杂志》编委
-
《临床泌尿外科编》《中华医师杂志(电子版)》编委
参考文献:
[1] Miller K, Carles J, Gschwend JE, et al. The phase 3 COU-AA-302 study of Abiraterone acetate plus prednisonein men with chemotherapy-naive metastatic castration-resistant prostate Cancer:stratified analysis based on pain, prostate-specific antigen, and Gleasonscore[J]. European Urology, 2018, 74(1): 17-23。
[2]Cheng Y T, Hong J H, Lu Y C, etal. Impact of high-volume disease in Asian population with newly diagnosedmetastatic prostate cancer[J]. Urological Science, 2018, 29(3): 136.
