神经炎性疾病和免疫介导的疾病常伴有脑干体征和症状。本综述讨论了根据临床表现、MRI特征及其他检查手段对炎症性脑干疾病,包括多发性硬化(MS)、视神经脊髓炎谱系病(NMOSD)、神经白塞病(NBD)、类固醇激素反应性慢性淋巴细胞性炎症伴脑桥血管周围强化症(CLIPPERS)、神经结节病(NS)、Susac综合征(SS)和组织细胞疾病等进行鉴别诊断。

医脉通编译整理,未经授权请勿转载。
多发性硬化
多发性硬化(MS)是中枢神经系统的获得性炎性脱髓鞘疾病,在MRI上病灶通常为卵圆形且界限清晰,T2和FLAIR序列呈高信号改变(图1)。在慢性病变过程中当轴突受损时,T1序列上可见低信号的黑洞征,但急性期也可能见到。新发病灶在3天到3个月内(平均3周)可见强化。虽然MS病灶会出现弥散受限,但当弥散发生变化时,弥散率通常会增加。当存在弥散受限时,特别是多发病灶和不在典型部位时,应考虑其他病因,例如SS或血管炎。
MS的病灶通常发生在脑室周围、胼胝体周围、深部白质、皮层和近皮层部位、脑干、小脑以及视神经和脊髓。在T2 *序列上的中心静脉征有助于MS病变与其他炎性和非炎性疾病(包括NMOSD)的鉴别,超过80%的MS病变位于静脉周围。而相比之下,NMOSD为32%,CNS血管病变为14%。
MS常累及脑干,在儿科MS中可能更常见。脑干病变可预测临床孤立综合征的残疾程度及向MS转化的概率。核间性眼肌麻痹(INO),尤其是年轻患者双侧INO高度提示MS。
MS病灶通常位于脑干的外围,如脑桥前部或三叉神经进入区,或位于导水管周围灰质的腹侧,而慢性小血管疾病会影响穿支动脉的区域(例如脑桥中央),并常伴有其他血管病变(腔隙性梗塞或微出血)。
与NMOSD不同,MS更容易发生于脑桥,并且在背侧和腹侧脑干中均可发生。脑干中孤立的MS样脱髓鞘病变可能是所谓的孤立性硬化症的唯一表现,少数(7%)患者表现为短暂的增强。
当MS具有典型的临床表现和MRI特征时,可能不需要进行CSF检查,但是当诊断不确定时CFS可提供帮助,因为在超过85%的MS患者中CSF可见寡克隆带。CSF检查还可以帮助典型临床孤立综合征早期诊断为MS,以及对MRI上可见病灶空间播散者早期诊断为MS。如果出现CSF细胞增多,通常为单核细胞,且一般不超过50个细胞/μL。

图1多发性硬化症患者的MRI影像。 轴位T2加权(A,B)显示脑桥外围界限清楚的卵圆形病灶(箭头)。 矢状位FLAIR图像(C,D)显示胼胝体下表面的病灶(C)和垂直于胼胝体的病灶(Dawson指征)(D)。
NMOSD和髓鞘少突胶质细胞糖蛋白(MOG)抗体介导的脱髓鞘
NMOSD定义为视神经炎、急性脊髓炎或脑干综合征的核心临床综合征。血清水通道蛋白4(AQP4)-免疫球蛋白G(IgG)抗体的存在和MRI的特征[如纵向广泛性横贯性脊髓炎(LETM≥3个脊髓节段)]有助于诊断。NMOSD在东亚和加勒比非洲黑人后裔更为普遍。
大多数NMOSD患者常可见头颅MRI异常,并且位于幕下(图2,A–E)。脑干受累似乎在AQP4-IgG血清反应阳性的NMOSD中更为常见,而延髓最常见。尽管不是完全特异性,但有些病变相对于MS更常见于NMOSD,包括与第四脑室相邻的背侧延髓的线性病灶。围绕第三脑室的间脑和中脑头端的病灶是NMOSD的特征性表现。NMOSD病灶一般呈斑片状,“云状”样增强,尤其是在脑室和胼胝体周围,而MS不会有这样的增强。弥散加权成像和表观扩散系数(ADC)在 NMOSD中均显示出与血管源性水肿一致的高信号。其他典型表现包括纵向广泛的视神经病变(> 50%长度)和有症状的、广泛性实质白质病变。
根据2015年的NMOSD共识诊断标准,高达42%的AQP4-IgG血清阴性的NMOSD患者血清MOG抗体阳性。MOG-IgG血清阳性NMOSD通常较年轻,与AQP4-IgG阳性的患者相比,双侧视神经炎或同时发生视神经炎和脊髓炎的可能性更高。与炎症性皮层相关的癫痫发作在MOG-IgG阳性中比AQP4-IgG阳性更常见,一些患者呈单相病程,而高达60%的患者则是慢性复发性病程。
在MRI上,MOG-IgG引起的脱髓鞘更可能累及深部灰质,球后(前部)视神经和脊髓圆锥(AQP4-IgG血清阳性患者更常累及视交叉和颈髓)。脑桥病灶通常呈蓬松样外观,在MOG-IgG中比在AQP4-IgG CNS疾病中更常见(图2,D和E),而间脑和四脑室(包括背侧延髓)高信号均可见于AQP4-IgG和MOG-IgG血清反应阳性患者。极后区综合征和LETM不足以区分MOG-IgG和AQP4-IgG。MOG-IgG脱髓鞘引起的皮层病灶通常较大且伴水肿,在标准的T2 / FLAIR序列上清晰可见,与MS中的皮层病灶不同,后者通常很小,在标准的1.5T和3T MRI T2 FLAIR序列中很难观察到。大的皮层病灶非AQP4-IgG NMOSD的典型表现。
在AQP4-IgG和MOG-IgG血清反应阳性的NMOSD中,CSF寡克隆条带并不常见(<20%),但在急性脊髓复发期间可能短暂出现。CSF在急性发作期间嗜中性粒细胞增多、嗜酸性粒细胞增多或细胞增多> 50个细胞/μL提示NMOSD(AQP4-IgG或MOG-IgG)而非MS。

图2 NMOSD患者的MRI影像。(A-C)顽固性恶心和呕吐(极后区综合征)且血清aquaporporin-4阳性NMOSD患者MRI影像。矢状位T2加权(A)、轴位FLAIR(B)和矢状位FLAIR(C)显示脊髓背侧线性病灶(箭头)。(D-E)髓鞘少突胶质糖蛋白糖蛋白阳性NMOSD患者MRI影像。轴位T2加权(D)和矢状位FLAIR(E)显示在右侧脑桥/小脑中脚以及延髓/桥髓交界处边缘不清的蓬松样病灶(箭头)。
神经白塞病
白塞病(BD)是一种以血管为中心的炎性疾病,在古丝绸之路从东亚延伸至地中海的人群中最普遍。在土耳其患者中发现HLA-B51的患病率较高,表明存在免疫易感性。
复发性口腔溃疡被认为是BD的必要条件。其他表现包括生殖器溃疡、葡萄膜炎、皮肤病变(如结节性红斑和假性毛囊炎以及关节炎)。生殖器溃疡通常是疼痛的,典型部位为男性阴囊、女性阴唇和外阴。针刺试验阳性有助于诊断。
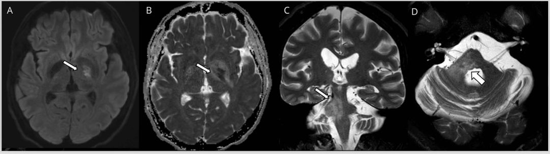
脑干受累,单独或与半球或脊髓疾病相结合,是NBD中最常见的实质表现。神经系统表现通常与诸如口腔溃疡、皮肤病变和发烧等有关。没有口腔溃疡病史的NBD极为罕见。急性发作期间最常见的MRI表现是孤立的、大的、不对称的、汇合的脑干上部病变(图3,C和D),其可能延伸到基底神经节区并横穿间脑。与MS相反,NBD病灶边缘模糊,并呈锯齿状;病灶常伴有水肿和增强,在缓解期间会消退或消失,很少表现为占位病变。脑干、基底神经节和内囊的边缘不清的病灶是较不常见的表现。弥漫性半球高信号病变也可见,常涉及脑室周围和皮质下深部白质。既往研究显示较在NBD急性期,ADC上的信号增加,即弥散增加,但也可在病灶中心看到小范围的弥散受限,提示坏死(图3,A和B),慢性过程会变成黑洞。在慢性或进展性病程中,脑干萎缩可能较明显,但仅在急性发作后12个月或更长时间的少数患者中可见。有学者提出脑干萎缩更支持NBD(相对于MS),尤其是在没有皮质萎缩的情况下。
NBD的原发性出血与脑静脉窦血栓形成或颅内动脉瘤无关,并不常见。既往研究显示8%的NBD患者发生脑出血。最近使用的磁敏感加权成像(SWI)的研究显示在84%的病灶中显示出与出血一致的信号变化。另一项研究显示75%的进展性NBD会出现黑洞。
蛋白质升高和嗜中性粒细胞增多是NBD早期常见的CSF表现。CSF中嗜中性粒细胞的存在和没有寡克隆带有助于NBD与MS的鉴别区分开。

图3 神经白塞病患者的MRI影像。弥散加权(A)成像和表观弥散系数(B)序列显示左侧内囊后肢中央弥散受限病灶。T2加权冠状位(C)和轴位(D)显示大的不对称性脑干右侧病灶延伸到小脑白质(箭头)。
CLIPPERS
CLIPPERS是一种罕见的疾病,会产生以脑干和小脑为中心的脑干体征和特征性病灶。对皮质类固醇激素的治疗具有显著的临床和影像学反应。病变部位的活检与诊断的确定性有关,表现为血管周围淋巴细胞浸润,通常为浆细胞;此外,CSF中可见T细胞(CD4> CD8),提示该病为免疫介导并导致轴突损伤。
头颅MRI显示脑桥独特的T2和FLAIR病灶伴均匀或曲线样增强(<3 mm)(图4);病灶通常无弥散受限,占位效应不明显。T2信号异常病灶不应大于强化病灶。小脑脚、延髓、中脑以及小脑和大脑半球均可累及。即使对皮质类固醇激素有反应,也可以看到桥小脑萎缩,这可能与残疾有关。该病的特点是皮质类固醇治疗后症状和MRI上强化的病灶会改善,一旦脑干出现萎缩,治疗效果就较差。
在考虑CLIPPERS的诊断时,全面评估导致脑干病灶增强的其他原因至关重要。对于怀疑CLIPPERS的患者,尤其需要评估和连续监测是否会发生CNS淋巴瘤,CNS淋巴瘤和CNS结核病在早期都可能对皮质类固醇有反应,从而可能导致CLIPPERS的误诊。一般来说,如果经治疗临床和影像学未达到预期的改善,则应进行组织活检诊断。
脑脊液的表现为非特异性(蛋白质或细胞计数正常或轻度升高),尽管通无寡克隆带,即使有也是短暂性存在。

图4 CLIPPERS患者的MRI影像。轴位T1增强(A,C)和FLAIR序列(B),冠状位T1增强(D,E)显示整个脑干点线状病变并延伸到小脑脚和白质,所有病灶在T 1增强上比T2或FLAIR序列更明显。
神经结节病
结节病是一种肉芽肿性疾病,全身变化包括经常偶然发现的肺部表现、葡萄膜炎和结节性红斑。估计至少有5%–10%的结节病患者会发生神经结节病(NS)。大约20%的病例会发生脑干或小脑综合征。
MRI可表现表为脑膜、下丘脑-漏斗状和颅神经等受累,或脑积水、实质和硬脑膜占位病变(图5)。颅底或广泛的软脑膜增强是NS的特征性表现。增强模式可为弥漫性、结节状或沿血管周围空间扩散。NS脑干病灶的形态为非特异性,如果存在实质病灶时可出现增强,并常伴软脑膜强化。这种典型的“由外而内”的外观强烈支持NS。硬脑膜的不连续增强和T2低信号认为是区分位于后颅窝轴外肉芽肿样占位与脑膜瘤等肿瘤的特征。尽管颅底周围血管存在炎症,但脑干梗死还是罕见。当脑干改变与纵向广泛性脊髓炎同时发生,脊柱背侧强化提示NS。CSF蛋白水平中度升高(> 1g/L),且通常无寡克隆带可能有助于NS与MS的鉴别诊断。CSF血管紧张素-转化酶(ACE)的水平既不特异也不敏感。

图5 神经结节病患者的MRI影像。轴位T2加权显示中脑外侧(A)和脑桥(B)存在病灶(箭头),病灶伴结节样增强(C,D)。冠状位T1增强图像(E)显示进一步的病灶增强,延伸至大脑脚下外侧缘。矢状位T1增强图像(F)显示颈、延髓增强病灶(箭头),颈髓多发病灶表现为“由外而内”的增强模式(宽箭头)。轴位T1增强图像(G,H)显示多发硬膜外脑干、小脑和颅底增强病灶(宽箭头),延髓增强病灶(宽箭头)和基底脑膜增强(长箭头)。
Susac综合征
Susac综合征(SS)是一种小动脉内膜疾病,临床表现包括脑病、视网膜分支动脉闭塞和低频感觉神经性听力损失。SS被认为具有免疫介导的病因,涉及体液和细胞致病途径。
耳科受累可通过听诊确认。包括荧光素血管造影在内的视网膜检查可发现视网膜分支动脉闭塞、Gass斑和荧光素泄漏。通常通过头颅MRI证实神经系统受累,其中高度特征性的是胼胝体病灶呈冰锥样、轮辐样或雪球样改变。其他典型的MRI表现为点状脑室周围白质和深部灰质T2 / FLAIR高信号改变。急性病变典型表现在MRI上为弥散受限,内囊多发“珍珠串”病灶。薄的软脑膜增强较常见,尤其是小脑上方,急性期实质病灶可以增强。而在NS,软脑膜增强常为结节状,在AQP4-IgG阳性NMOSD中,软脑膜增强常为线性增强且在急性复发期间会出现实质或实质周围增强。SS的磁共振血管造影常为正常,而SWI通常不会显示出铁血黄素的沉积。据报道,SS患者中有30%的患者有脑干受累。病变的点状性质可能被误认为CLIPPERS的脑干病变,但SS病灶增强较少见,急性期可见弥散受限,胼胝体和大脑其他部位的特征性MRI表现通常可以将SS与其他疾病鉴别开(图6)。CSF蛋白显着升高较常见(通常>1.5g / L),很少有细胞增多,无CSF寡克隆带。

图6 Susac综合征患者的MRI影像。矢状位FLAIR序列(A)显示胼胝体存在典型的“雪球”病变。(B)冠状位FLAIR图像还可见脑桥上另外有一处点状和更大的病灶(箭头)。弥散加权成像(C)和表观弥散系数序列(D)显示活动性病灶存在弥散受限(箭头)。
组织细胞疾病
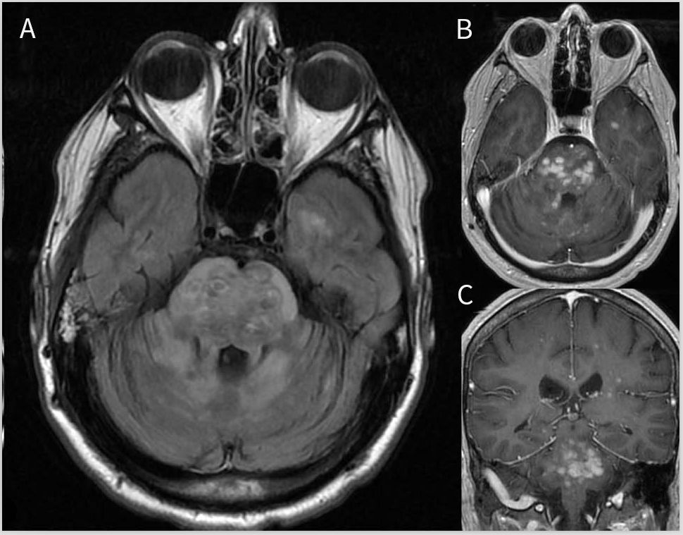
朗格汉斯细胞组织细胞增生症(LCH)和非朗格汉斯细胞组织细胞增生症[包括Erdheim Chester病(ECD)]被列为恶性疾病,通常在脑干中出现实质性炎症性病变。LCH一般儿童期发病,而ECD见于成年期。全身表现包括骨痛(LCH累及颅骨/ ECD累及长骨)、皮肤和内脏受累,以及中枢神经系统。
20%至50%的LCH患者会累及中枢神经系统。尿崩症很常见,垂体茎、脉络丛、脑膜、脑干或眼眶可能会出现明显强化性占位病变。小脑、基底神经节(尤其是苍白球)和脑桥的神经退行性病变表现为进展性对称性T2高信号病变。
在27%的LCH患者的MRI中可见脑干受累,通常与齿状核和白质受累同时发生,冠状位可见蝴蝶翅征。在脑桥锥体束或被盖白质中可见斑片状T2高信号病灶,可出现斑驳状外观,蔓延至小脑脚(图7)。LCH和CLIPPERS的MRI表现可能非常相似,但LCH往往具有较大的结节,T2高信号病灶范围比T1强化病灶更大;还可见增大的血管周围间隙、实质强化和弥漫性白质脑病。
与LCH一样,ECD中可能会累及单个器官(通常是骨骼)或多个系统。23%的ECD患者会出现神经系统症状。蝶鞍区域和眼眶受累较为常见。ECD的头颅MRI表现与LCH相似,但ECD的脑膜病灶更广泛。病灶强化可持续数天至数周,很可能是组织细胞中造影剂存留的结果。在ECD中可见椎基底动脉系统动脉周围浸润,但在LCH中则没有,该浸润病变可能导致脑干缺血。上述两种组织细胞增生症的CSF通常都为正常。

图7 朗格汉斯细胞组织细胞增生症患者MRI影像。轴向FLAIR(A)显示脑桥和邻近的小脑半球弥漫性和不均匀性高信号,呈斑驳的外观。轴位(B)和冠状位(C)T1增强图像可见脑桥病灶呈斑点状强化。
脑干可能受累的其他炎症和免疫介导的疾病
1. 急性播散性脑脊髓炎
急性播散性脑脊髓炎(ADEM)是一种炎症性脱髓鞘疾病,其特征是脑病和多灶性神经功能缺损,可继发于感染或疫苗接种。头颅MRI表现为大的、边缘不清的不对称性病灶,可能累及深部和皮层灰质。脑干和小脑病灶很常见,与MS相比,ADEM中的脑干病灶边缘不清,较大,并且更可能位于中脑腹侧。出血性脑干病变,称为急性出血性白质脑炎,是ADEM的罕见表型。MOG抗体与ADEM之间的联系日益得到认可。
2. Bickerstaff脑干脑炎
Bickerstaff脑干脑炎(BBE)是Guillain-Barr'e综合征的一种罕见变体,表现为意识障碍、共济失调、眼肌麻痹和上运动神经元体征。据报道高达30%的患者可见MRI异常,包括脑干(特别是中脑)、小脑和丘脑T2高信号病变。随着时间发展,信号强度可能会下降、减弱或消退。血清或CSF中的高度特异性抗GQ1b抗体(也见于Miller Fisher综合征)有助于BBE的诊断。但即使抗体存在,MRI也可能正常。
3. 自身免疫性脑炎
自身免疫性和副肿瘤性脑炎是一组炎症性脑病,与针对突触受体、细胞表面蛋白或细胞内抗原的抗体有关。脑脊液或血清自身抗体的检测有助于自身免疫性脑炎的诊断。边缘性脑炎患者通常在T2 FLAIR影像上显示双侧颞叶内侧高信号。在抗NMDA受体脑炎中,MRI可能正常,但是当存在异常时,大脑或小脑皮质、颞叶内侧中可能存在非特异性异常信号,脑干也会出现异常信号,但较少见,异常信号在随访时会缓解。僵人综合征和二肽基肽酶样蛋白6(DPPX)抗体相关性脑炎可有脑干表现,但MRI通常无相关的异常表现。
副肿瘤性抗Ma脑炎常表现为孤立性脑干综合征或合并边缘性和间脑症状,常见于男性*丸睾**生殖细胞肿瘤患者。MRI 上可见中脑FLAIR高信号改变,可同时合并下丘脑、丘脑和边缘系统异常,强化少见,如有强化一般为结节状增强。
4. 中枢神经系统血管炎
原发性中枢神经系统血管炎患者通常出现隐匿性头痛、认知能力下降和局灶性神经功能缺损。MRI表现包括皮层和皮层下梗塞、实质性病灶和脑膜增强,实质占位病变和较少见的出血。一项纳入60例患者的影像学病例系列研究显示,脑干缺血性病变发生率为12.7%。另一项较小的系列研究显示,11%继发性中枢神经系统血管炎患者出现脑干高信号,而原发性中枢神经系统血管炎则为0%。
5. 系统性红斑狼疮和干燥综合征
由于表型的异质性以及缺乏相关的生物标志物,系统性红斑狼疮(SLE)和Sjogren综合征累及中枢神经系统很难诊断。个案报告或小的系列报道显示SLE和Sjogren综合征可以累及脑干。伴有脑干病变的SLE可能为血管病变所致,但也可能与NMOSD有关。
诊断提供重要线索
本文总结了累及脑干的免疫介导和炎症性疾病的临床和MRI特征。对于炎症性脑干病变,必须仔细检查病史,并寻找其他器官受累的证据,以指导有针对性的检查。病程以及MRI上的病灶部位、形态和增强模式,可以为诊断提供重要线索(表1-表4)。
对于大多数患者,脊柱MRI对诊断很有帮助。例如,LETM可以指示AQP4-IgG NMOSD、MOG抗体相关的脱髓鞘、ADEM、NBD或NS,但在MS中不常见,在CLIPPERS或SS中不出现。如果不确定MRI脑部病变是由于慢性微血管病还是脱髓鞘所致,而脊髓中存在短节段、偏心,通常为圆形的病灶可帮助诊断为MS。
MRI虽然有价值,但可能为非特异性,在确定诊断时应与临床和生物学数据(尤其是CSF的表现和寡克隆带的存在)相结合。此外,包括诱发电位(脑干听觉,有时甚至是体感和视觉)的神经生理学检查、荧光素血管造影以及包括血清结缔组织筛查、ACE、GQ1b-IgG、AQP4-IgG和MOG-IgG在内的血清学检查也可以帮助诊断。CT-PET扫描对于评估系统性结节病和排除肿瘤非常有价值。对于某些患者,可以寻求组织病理学诊断,但是如果在术前怀疑是非恶性原因,并且脑干活检具有很高的死亡风险,则立体定向脑干活检的诊断性会<50%。
尽管本综述着重于炎症和免疫介导的病因,但在鉴别诊断中也需要考虑脑干病变的许多非炎症性原因,包括血管(例如慢性微血管病、卒中和硬脑膜动静脉瘘以及其他血管畸形,这些病变常可见弥散受限,并可能显示含铁血黄素的变化)、恶性(例如淋巴瘤和脑干神经胶质瘤,病变通常具有实体增强的核心和周围水肿,具有占位效应)、感染性(例如李斯特菌性菱脑炎,通常具有完整的环形增强脓肿和周围水肿;Whipple病;肠病毒性脑干脑炎,通常见于儿童,表现为对称性脑干病变;单纯疱疹病毒;梅毒;结核性脑膜炎,其特征是中脑前的大脑脚间池增强,并且还常常伴有视觉疾病和视力丧失)、代谢/毒性和退行性疾病(例如中央桥脑髓鞘溶解、脆性X震颤共济失调综合征、威尔逊病、Leigh综合征和Alexander病)。
原发性和继发性中枢神经系统淋巴瘤常模拟炎症性脑损伤。很难将淋巴瘤占位与肿瘤性脱髓鞘或NS或NBD的肿瘤样病灶区分开来。此外,脑膜淋巴瘤与NS、SS和血管炎的软脑膜改变无法区分。尽管最初对皮质类固醇有反应但仍有进展、均匀的增强和持续的弥散受限,有助于淋巴瘤的诊断。
重要的是,尽管有明确的脑干体征,但一些累及脑干的免疫介导性疾病却没有MRI相关表现。除BBE和抗NMDA受体自身免疫性脑炎外,还包括副肿瘤性脑干脑炎、眼阵挛 -肌阵挛-运动失调和其他非特异性脑干综合征。
由于治疗和预后不同,区分各种神经炎性疾病和免疫介导的疾病显然很重要。在诊断不确定的情况下,通常需要进行连续MRI检查以评估脑干病变的时间特征,监测可能有助于诊断的新病灶的发展,并跟踪治疗反应。在慢性微血管病和代谢性疾病中,MRI通常在很长一段时间内较稳定,而脑干病变的连续扩展应考虑肿瘤。
表1 临床表现对诊断的提示

表2 血清学检测对诊断的提示

表3 脑脊液对诊断的提示

表4 MRI对诊断的提示

原文索引:Law LY, Riminton DS, Nguyen M, Barnett MH, Reddel SW, Hardy TA. The spectrum of immune-mediated and inflammatory lesions of the brainstem: Clues to diagnosis. Neurology. 2019 Aug 27;93(9):390-405. doi: 10.1212/WNL.0000000000008015.
