编前语
近期阿根廷出现不明原因致死性肺炎,经鉴定为军团菌肺炎。我科近期也诊治1例重症军团菌肺炎,是一名54岁中年人,在深圳建筑工地打零工,发热、伴有咳嗽、气促10天,路倒1小时,幸得路人呼叫120……入院后发现他的临床症状有哪些特点?面临呼衰、脓毒症伴肺、肾、肝、心脏、皮肤、骨骼肌及神经系统多系统功能受损等等困境,积极救治还能否挽救生命?在诊治过程中,遇到了哪些突破和「不合常理」值得我们思考?
患者信息: 杨某,男,54岁,主因「发热、咳嗽、气促10天,加重半天」2022年6月27日入中山大学附属第七医院。
现病史: 患者10天前出现发热,初为低热,体温37+℃,咳嗽、咳黄痰,伴有活动后气促、呼吸困难,伴全身乏力、肌肉酸痛、头晕不适,无视物旋转,自行药店购药服用无明显好转,后症状逐渐加重,无法在工地工作,遂居家休息,咳嗽、咳黄痰、气喘加重,稍事活动感气促,全身乏力、纳差显著,进食极少,频繁饮水,伴有头晕,无畏寒、寒战,无恶心、呕吐,当日外出时上述症状加重,头晕、乏力,走路不稳倒在路边,路人呼120接回我院急诊,120接诊医师发现患者神志清楚,气促、讲话不能连贯,嘴唇发绀,无肢体活动障碍,无大小便*禁失**,测体温38.2摄氏度。患者气促明显,病情重,无亲属,患者诉经济困难难以支付医疗费用,请示我院医务科,立即开通绿色通道抢救治疗。急诊查感染指标升高,低钠低钾,肝功、肾功损伤,肌钙蛋白、肌红蛋白、肌酶升高,胸部CT示左肺炎症,予吸氧、舒普深3g抗感染及补液治疗,为进一步诊治拟「肺部感染」收入我科。起病以来,患者精神差,睡眠一般,胃纳差,二便正常。近期体重变化不详。否认新冠中高风险地区旅居史,24h核酸阴性。
既往史、个人史及其他: 既往体健,否认慢性病史。几十年前曾有头颅外伤手术病史。有吸烟史,平均 7支/日,已吸 20年。从事建筑工地零工。
入院查体: 体温38.8℃ ,脉搏122次/分, 呼吸40次/分 ,血压122/83mmHg, SpO2 93%(3L/min吸氧) 。急性面容,腹部散在淡红色 充血疹 及抓痕,双下肢散在 出血性皮疹 。未见焦痂、溃疡。无杵状指,未及颈静脉怒张。可见 口唇紫绀,呼吸浅促 ,双肺呼吸音粗, 双下肺可闻及湿性啰音 ,左侧为著,未闻及哮鸣音及胸膜摩擦音。心律齐,各瓣膜听诊区未闻及病理性杂音。腹软,无压痛、反跳痛, 肠鸣音活跃 ,6次/分。双下肢无水肿。
辅助检查: 2022-06-27 我院急诊
血气分析:吸氧浓度29%,PH 7.52,pCO2 18mmHg,pO2 66mmHg, 氧合指数227.6mmHg 。
血常规+CRP: WBC 9.63×10^9/L, NEUT% 92.3% ,Hb 146g/L, PLT 110×10^9/L, CRP 352.95mg/L 。
乳酸(LAC)2.43mmol/L。 PCT 33.02ng/ml 。
Na 130.26mmol/L , K 3.38mmol/L, Cl 95.50mmol/L, Ca 2.03mmol/L, GLU 9.23mmol/L, ALT 57U/L, AST 96.85U/L,TBIL 48.78μmol/L,未结合胆红素(Bu)26.46μmol/L,δ-胆红素(δ-BIL)20.55μmol/L,阴离子间隙(AG)21.77mmol/L, ALB 32.47g/L, 脂肪酶 365.39 U/L, 肌酐 226.97μmol/L , 尿酸(UA)605.21μmol/L。
INR 1.17, Fbg 11.43g/L ,D-D二聚体 1.8mg/L。
急性心肌损伤四项:Mb 671.08ng/mL, NT-proBNP 266pg/ml, cTn-I 0.0427ng/mL。AMM、急诊术前筛查四项未见异常。
胸部CT平扫,颅脑CT平扫:1. 左肺下叶炎症 。2.右肺下叶胸膜下区条片灶,考虑肺通气不良所致。3.纵隔多发稍大淋巴结,左肺门散在钙化淋巴结。4.胸4、胸7椎体骨岛可能。5.脂肪肝。6.左侧基底节区小软化灶可能;桥脑左侧份条状稍低密度,拟伪影干扰。7.左侧额骨局部骨质不连,请结合病史。8.副鼻窦少许炎症。



入院诊断
重症肺炎(社区获得性)
I型呼吸衰竭
呼吸性碱中毒
电解质紊乱
低钠血症
低钾血症
低钙血症
肾功能不全
高尿酸血症
肝功能损害
低蛋白血症
单纯性脂肪肝
脑基底节区软化灶
慢性鼻窦炎
入院后完善相关检查及诊治经过:
CURB65 评分3分,PSI 163分。SOFA评分8分。APACHE II评分 16分。
患者重症肺炎合并I型呼吸衰竭,合并多脏器损伤,SOFA评分8分,脓毒症诊断明确,予告病重、面罩吸氧、注射用头孢哌酮钠舒巴坦钠(舒普深)3g q8h+莫西沙星0.4g qd po抗感染及化痰、补钾、护肝等治疗,并予NSAIDs退热处理,后患者大汗淋漓。患者夜间出现谵妄等精神症状,不排除与莫西沙星有关,予停用莫西沙星。2022-06-28复查血气分析:吸氧浓度37.0%, PH 7.36,pCO2 22mmHg,pO2 96mmHg,乳酸(LAC)1.5 mmol/L。血常规+CRP: WBC 7.18×10^9/L, NEUT% 92.4%, Hb 137g/L, PLT 82×10^9/L, CRP 336.76mg/L。PCT 48.08ng/ml 。急诊cTnI:0.0388ng/mL。 肌红蛋白(Mb)816.09ng/mL 。钠(Na)138.14mmol/L ,钾(K)3.68mmol/L ,氯(Cl)105.02mmol/L , GLU 7.50mmol/L , ALT 58 U/L, AST 91.49U/L , 阴离子间隙(AG)20.76mmol/L ,δ-胆红素(δ-BIL)19.80μmol/L ,白蛋白(ALB)27.74g/L, 脂肪酶(LIPA)401.14 U/L, 肌酐(CRE)301.82μmol/L, 乳酸脱氢酶(LDH)491.14U/L, 肌酸激酶(CK)544.51 U/L , 肌酸激酶-MB同工酶活性(CK-MB)31.93U/L。尿液常规分析(尿液干化学+尿沉渣):尿糖(GLU)+++, 尿蛋白(PRO)+, 尿隐血(BLD)++, 白细胞43.00个/ul, 镜检红细胞+/HP, 红细胞49.70/ul, 镜检白细胞+/HP, 上皮细胞32.00个/ul, 管型7.47/ul, 镜检上皮细胞多量/LP, 镜检管型颗粒管型1-3/LP。考虑患者感染重,PCT升高显著,白细胞升高不显著,革兰阴性杆菌感染可能性大,6.28停用舒普深升级为注射用美罗培南抗感染(根据肾功能调整剂量)。
患者6.29、6.30仍反复高热,热峰39℃以上,复查感染指标PCT及CRP下降,但临床症状改善不显著,仍反复高热。 气促症状无好转,查床边胸片提示病灶范围较前明显增加。 追问病史, 患者曾在地下车库扫水 ,入院前至今反复有腹泻、解稀烂便或水样便3-4次/日。


是否病原体未覆盖?发热伴显著全身症状,是否是流感?患者有腹泻、肠鸣音亢进等消化道表现,全身散在皮疹,是否什么特殊病原体感染?比如*虫病恙**、登革热、军团菌?
流感A+B抗原检测、急诊登革病毒NS1抗原测定、急诊登革热IgG/IgM抗体测定结果陆续回报均阴性。病原体未明,经验性治疗效果不佳,二代基因测序可能会为我们提供答案,但该患者经济困难,无力支付mNGS费用。联系基因检测公司说明患者情况,予申请慈善检测名额后获批, 6-30外送外周血NGS,并经验性加用多西环素0.1g bid覆盖特殊病原体。后结果回报见 嗜肺军团菌 (序列数631)、EBV病毒(序列数493)。外送军团菌尿抗原,结果阴性。


予停用美罗培南,改利福平0.6g qd联合多西环素强化抗军团菌治疗5天,治疗后患者7.1热峰下降,7.2开始未再发热,治疗后症状逐渐好转,指标改善。

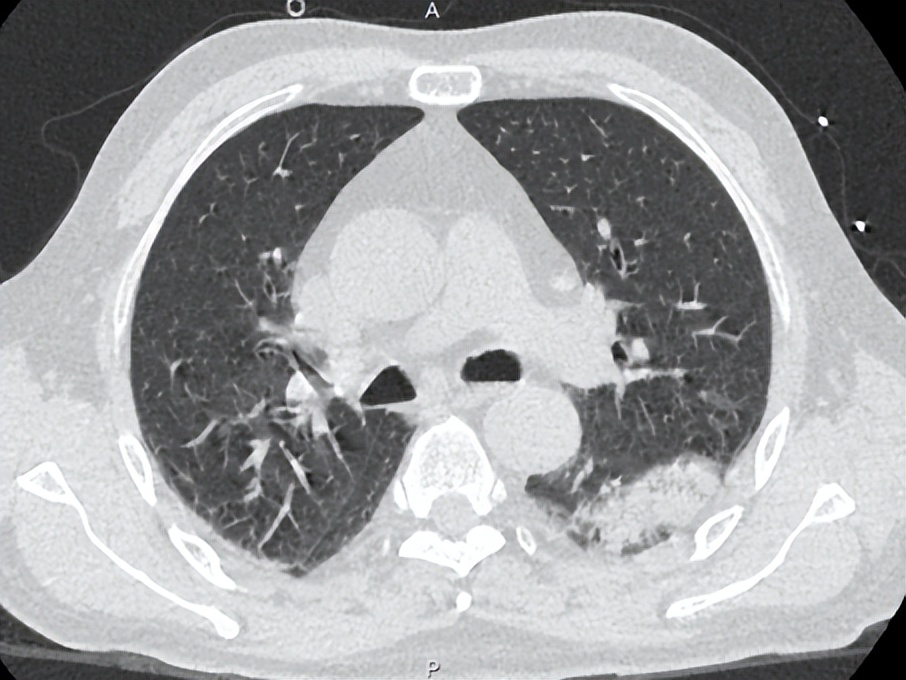
治疗后患者湿罗音减少,左肺可闻及Velcro啰音,7-6复查胸部CT如下:

考虑感染继发机化性肺炎,7.6加用泼尼松30mg po qd治疗机化性肺炎,继续多西环素0.1g bid治疗军团菌肺炎,并办理出院。
出院诊断
重症肺炎(社区获得性)
军团菌肺炎
I型呼吸衰竭
呼吸性碱中毒
脓毒症
肾功能不全
肝功能损害
心肌损伤
血液系统损害
凝血功能异常
电解质紊乱
低钠血症
低钾血症
低钙血症
机化性肺炎
高尿酸血症
低蛋白血症
单纯性脂肪肝
脑基底节区软化灶
慢性鼻窦炎
出院后随访
患者出院带药多西环素0.1g bid及泼尼松30mg qm,服药3天后因尿潴留,自行停药,仍有乏力、胸闷,自觉头晕、走路不稳等不适,无发热,无咳嗽、咳痰,予改善前列腺增生药物治疗,尿潴留改善后继续多西环素及泼尼松治疗。出院1周后返院复诊,予复查血常规及肝功能基本正常,胸片肺部病灶较前明显吸收,停用强的松,继续服用多西环素,总疗程共3周。出院1月电话随访,患者无咳嗽、胸闷、气促、头晕等不适,仍有少许乏力,一般情况良好。

军团菌肺炎:
军团菌是一种胞内、需氧、无孢子革兰氏阴性菌。军团菌在世界各地均有发现,主要来自土壤和天然或人工蓄水水库,包括淡水溪流、湖泊、淋浴、游泳池、喷头或冷却塔。大多数人类感染是由嗜肺军团菌引起的,也有其他的致病型,包括澳大利亚和新西兰的长滩军团菌。军团菌是社区获得性肺炎的重要致病菌之一,占社区获得性肺炎总数的2-9%;然而,由于诊断不足、诊断方法不同、认识水平不同,据预测,只有不到5%的病例得到了正确的报道和诊断。据美国数据,军团病的发病率逐年增高,且重症患者多,需重症监护病房(ICU)住院率在20 - 27%之间,军团病的总死亡率为4-18%。移植受者或医院获得性感染的死亡率接近40%。
军团菌病的临床表现可无明显症状或至多器官损伤。典型临床表现为亚急性发病,有发热(常高于39℃,呈弛张热)、畏寒、头痛、寒战、有厌食、乏力和肌痛。肺部表现主要为咳嗽、伴少量非脓性痰,胸痛,咯血;呼吸困难。肺外表现可涉及全身各器官系统,以神经、消化、泌尿系统最多见。神经系统方面主要表现有神经状态改变,意识模糊,严重额部头痛、嗜睡和定向力障碍,偶见谵妄、言语障碍,精神错乱和步态失常,其严重程度与发热、低氧、氮质血症或代谢紊乱无明显关系。消化系统表现主要出现发病初期,主要为恶心、呕吐、腹泻或稀便,可有腹痛、肠鸣音亢进,也可有肝功能异常。泌尿系统主要表现为镜下血尿、蛋白尿等,10%可发生急性肾功能衰竭。心脏方面,可出现相对缓脉,是心脏侵犯的表现,偶可引起心内膜炎、心肌炎、心包炎。血液系统方面可导致白细胞及血小板减少。还可导致纤维蛋白化脓性肌炎,肌溶解,肌酶升高。军团病另一种临床表现是非肺炎型(庞蒂阿克热),临床表现无特异性,类似上感,病程3-5天,有发热、咳嗽、头痛、肌痛、呕吐、腹泻等,症状轻微可自愈,不需要抗生素治疗1周内完全康复。
军团病的诊断依据临床和(或)放射影像和实验室检查。影像学上主要表现为迅速进展的非对称性、边缘不清的肺实质性浸润影,呈肺叶或肺段性分布,以下叶多见,早期单侧分布,继而涉及两肺,半数患者可发展成多叶性肺炎,胸腔积液见于1/3患者。肺炎病理改变为急性纤维蛋白化脓性肺炎,多病灶实变或小叶性分布。根据2019年欧洲疾病预防和控制中心(ECDC)的一份报告,欧洲的大多数病例(90%)是使用尿液抗原测试(UAT)方法诊断的。在过去的十年中,聚合酶链反应(PCR)检测到总报告病例数的9%,病原学培养诊断或确诊病例的比例为10%。全世界90%以上的军团病病例都是由嗜肺军团菌引起的。在欧洲,大多数人类病例(80%)仅由嗜肺军团菌血清型1 (Lp1)引起,在澳大利亚和新西兰,长滩军团菌是优势种,2019年报告的病例多达60%。尿液中嗜肺军团菌抗原的酶联免疫分析所检测到的抗原是一种细菌脂多糖(LPS),目前市售商品化是针对Lp1型血清型,对其他血清型的菌株检测效果不佳,对Lp1的检测的敏感性74-86%。大多数患者在症状出现后1-3天可检测到该抗原,可持续数周或数月。该患者尿军团菌抗原为阴性,可能原因为:1、患者为非Lp1型军团菌感染;2、该患者的尿军团菌抗原未达到检测阈值,假阴性。近年来,第二代高通量测序方法(mNGS)在少见、罕见、重症感染患者中的应用,提高了相应患者的诊断正确率,尤其对重症患者很重要,可能因此改善预后。
影响军团菌肺炎患者预后的几个因素包括: 高PCT水平、抗生素延迟使用等。入院后延迟使用抗生素是军团菌肺炎死亡率较高的因素。有研究表明,在确诊肺炎后,死亡患者开始治疗前的中位延迟时间为5天,而存活患者开始治疗前的中位延迟时间为1天。此外,症状出现后到开始治疗的延迟时间中位数为6天,死亡患者中位数为11天)。两组数据均存在统计学差异。我们的患者在入院当天即使用喹诺酮药物覆盖非典型病原体,但因患者出现谵妄等神经系统症状后停用。停用后3天,炎症指标下降但体温未相应降低,因此在入院后第4天,外送血液标本行mNGS检测同时,加用多西环素覆盖非典型病原体,在mNGS结果出来之前,体温高峰随即下移。
该患者的另一个临床特征是高PCT水平,据文献报道高PCT水平与需ICU治疗和高死亡率相关。 我们注意到,在病程中,PCT水平与体温未成平行下降关系,可能的原因为: 患者在入院初存在胃肠道症状和体征,包括腹泻、肠鸣音亢进。肠道作为细菌的蓄水池,此类患者可能存在肠道菌群移位。虽然没有相应的文献支持,我们在明确病原体为军团菌后,仍然将美平保留到7月2日,与多西环素重叠使用3天,直至PCT下降到安全范围。尽管在多西环素介入后, 6月30日床边胸片提示病灶较前明显增多,左肺大片浸润影,考虑到患者重症肺炎以及多个死亡相关预后因素存在,加用利福平5天联合抗军团菌。 患者在有效抗感染治疗基础上,7月6日复查胸部CT提示机化表现 ,氧合改善欠佳,给予短程激素应用,7月14日复查胸片提示病灶显著吸收。1个月后电话随访,患者原有咳嗽、气促等症状消失。
该患者留给我们的一些思考包括:
1、患者起初的包含喹诺酮药物的经验性抗感染治疗方案,因为患者出现谵妄等神经系统症状而停用,并且在随后未继续使用。喹诺酮和大环内酯类药物均是军团菌肺炎的一线治疗方案。该例患者的神经系统症状可能为军团菌病表现,或者重症肺炎表现,而非喹诺酮类药物的不良反应,需要鉴别;
2、高PCT水平及系统性损害的重症军团菌肺炎,是否存在肠道菌群移位,需要我们进行相应的临床研究证实。我们的患者未能提供相应的结果,可能跟经验性应用强效的覆盖革兰氏阴性杆菌的抗感染治疗有关;
3、当CAP出现伴相对缓脉的发热、急性发作性头痛、非药物引发的意识障碍或嗜睡、非药物引起的腹泻、休克、急性肝肾功能损伤、低钠血症、低磷血症、对β-内酰胺类抗菌药物无应答时,需高度怀疑军团菌感染,完善军团菌病原学相关检查,必要时可采取mNGS的新型诊断策略;
4、目前可用于治疗军团菌感染的常用药物包括:喹诺酮类、大环内酯类、多西环素、复方新诺明、利福平等。轻中重度一线治疗方案为早期大环内酯类或喹诺酮类单药治疗,对于危重症,可应用喹诺酮类联合大环内酯类或利福平进行治疗。
作者简介

黄秀姬
中山大学附属第七医院,主治医师。医学硕士,现中山大学医学博士在读。发表SCI论文4篇,累计影响因子19分,主持院内基金项目1项。

李慧
医学博士,副主任医师,硕士研究生导师。中山大学附属第七医院呼吸与危重症医学科副主任。
* 文章仅供医疗卫生相关从业者阅读参考
本文完
责编:Jerry